Dukknakket

    ()

    sporsmal_grey_rgb
    Artikkel

    En ellers frisk kvinne i 50-årene, som tidligere var operert for brystkreft, hadde de siste tre årene gradvis utviklet et langsommere bevegelsesmønster. I starten var det vanskelig å bevege venstre hånd, men raskt ble det i tillegg treghet og stivhet i venstre ben og i høyre kroppshalvdel. Etter hvert fikk hun økende stivhet og smerter i nakkemusklene og en betydelig fremoverbøyning i nakken. Hun klaget over hyppig (men ikke ufrivillig) vannlating.

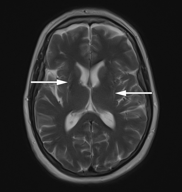
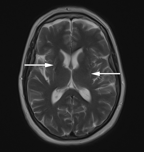
    Ved undersøkelse var det rigiditet i alle ekstremiteter. Primitive reflekser var til stede, som tegn på skade av hjernebarken. Videoen viser resten av den nevrologiske undersøkelsen med bruk av Unified Parkinson’s Disease Rating Scale. Hennes antecollis med nakkefleksjon på 70 grader vises i starten og mot slutten av videoen. Hun var mimikkfattig og hadde uregelmessig og stillingsavhengig tremor (jerky tremor) i høyre tredje finger. Motorisk tempo var moderat redusert, med tendens til trettbarhet bilateralt. Det var upåfallende gange og fottramping. MR av hjernen med T2-vektede sekvenser viste en brem med høyt signal lateralt i putamen (piler) med symmetrisk volumreduksjon av putamen bilateralt (bildet).

    Pasientens uttalte antecollis, uten fleksjonsstilling ellers i ryggsøylen, er et karakteristisk «rødt flagg» som tyder på multippel systematrofi (MSA), spesielt når dette kommer tidlig i sykdomsforløpet (1). Rask utvikling av symmetrisk parkinsonisme og manglende levodoparespons taler for parkinsonistisk multippel systematrofi (MSA-p) (2). Høy signalintensitet på MR-bilde i putamen med atrofi av putamen er nevroradiologiske tegn med høy spesifisitet og støtter diagnosen MSA-p (2). Dysautonomi med vannlatingsforstyrrelser tidlig i forløpet er et av kriteriene for å stille diagnosen «sannsynlig multippel systematrofi» (2).

    Multippel systematrofi er en sporadisk nevrodegenerativ tilstand, uten kurativ behandling. Den kjennetegnes ved opphopning av α-synuklein i oligodendrocytter i hjernen. Det finnes to subtyper: MSA-p og multippel systematrofi med hovedsakelig cerebellare utfall (MSA-c). Tidlig dysautonomi er karakteristisk for begge typene. MSA-p er den dominerende subtypen i den vestlige verden. Symptomatisk behandling (som botulinumtoksininjeksjoner) kan gi økt livskvalitet i denne pasientgruppen.

    Behandling av pasientens parkinsonisme med levodopa (400 mg/døgn) over noen måneder ga ingen effekt, men hennes antecollis og nakkesmerter ble bedre etter behandling med botulinumtoksininjeksjoner bilateralt i m. sternocleidomastoideus (totalt 40 enheter) og m. levator scapulae (totalt 60 enheter).

    Pasienten har gitt samtykke til at artikkelen og bildematerialet blir publisert.

    Kommentarer  ( 0 )
    PDF
    Skriv ut

    Anbefalte artikler