Ei ung kvinne med brystsmerter og dyspné

    ()

    sporsmal_grey_rgb
    Artikkel

    Ei kvinne i 30-åra vart akuttinnlagt grunna dyspné og brystsmerter. Årsaka til symptoma skulle vise seg å vere ein uvanleg manifestasjon av ein sjeldan sjukdom.

    Ei kvinne i byrjinga av 30-åra, som tidlegare stort sett hadde vore frisk, vart innlagt akutt ved hjarteavdelinga under diagnosen brystsmerter. Ho hadde den siste tida hatt gradvis aukande funksjonsdyspné.

    Den siste veka før innlegginga hadde ho hatt respirasjonsavhengige brystsmerter med utstråling mot hals og kjeveregion. I tillegg hadde ho fleire gonger dei siste vekene hatt febertoppar. Ho hadde gjennomgått ein spontanabort om lag seks veker tidligare, etter 8 – 9 svangerskapsveker.

    Anamnese, alder og risikofaktorar gav i utgangspunktet liten mistanke om koronarsjukdom som årsak til symptoma. I aldersgruppa kvinna tilhøyrde, ville andre årsaker til brystmerter, som lungeembolisme, pleuritt, pneumothorax, perikarditt og gastroøsofageal refluks, vore meir sannsynlege.

    Ved innkomst vart følgjande vitale teikn noterte: puls 106/min, regelmessig, blodtrykk 110/77 mm Hg, temperatur 37,0 °C, respirasjonsfrekvens 16/min. Ved auskultasjon over hjartet kunne ein høyre ein bilyd over heile prekordiet. I abdomen vart det palpert ei fast oppfylling i nedre høgre kvardant som var direkte øm ved palpasjonen.

    EKG-undersøking viste sinustakykardi, utan noko sikkert patologisk. Blodprøver viste eit moderat forhøgd CRP-nivå på 59 mg/l (< 5 mg/l) samt forhøgd D-dimer på 1,80 mg/l (< 0,50 mg/l), troponin T 66 pmol/l (< 15 pmol/l) og pro-BNP 244 pmol/l (< 33 pmol/l).

    Bilyd over hjartet er uttrykk for turbulens i den normale blodstraumen. Turbulens kan oppstå som følgje av skade på hjarteklaffar eller på grunn av defektar i anatomien i hjartet, høg strøymingsfart eller redusert blodviskositet.

    Etter funnet av bilyden vart det gjort ein orienterande ekkokardiografi i akuttmottaket. Denne viste to store oppfyllingar på høgre side i hjartet. Den største oppfyllinga målte 3,5 x 3 cm, var lokalisert i atriet og adherent til trikuspidalklaffeapparatet. I tillegg var det ei mindre oppfylling som òg penetrerte inn i høgre ventrikkel.

    Det var tydeleg obstruksjon av den normale blodstraumen i trikuspidalostiet. I tillegg vart det påvist perikardvæske, mest uttalt langs høgre ventrikkel, med største brem målt til 1,5 cm, men utan at det var haldepunkt for tamponade. Det var normale forhold over mitral- og aortaklaff på venstre hjarteside. Funnet vart stadfesta med CT-undersøking av hjartet, som også gav mistanke om infiltrasjon av tumormassar i veggen til høgre ventrikkel med perikard (fig1).

    Oppfyllingar i hjartet finn ein relativt sjeldan. Dei kan klassifiserast som neoplastiske eller ikkje-neoplastiske (1). I den siste kategorien finn ein tromber, perikardcyster, valvulære vegetasjonar eller prominerande anatomiske strukturar som lipomatøs hypertrofi av interatrialt septum.

    Mellom neoplastiske oppfyllingar skil ein mellom primært benigne, primært maligne eller metastatiske forandringar. Av dei primært benigne tumorane er myksom den vanlegaste forma. Maligne tilstandar er sjeldne.

    Symptom i form av brystsmerter og dyspné og klinisk funn av bilyd hos pasienten vart oppfatta å vere relatert til tumorforandringar i hjartet, med ein primær trikuspidal obstruksjon. Perikardvæska vart vurdert å ha liten hemodynamisk betydning og ein valde difor å la vere å tappe.

    Det kan vere vanskeleg å skilje tumormassar frå andre oppfyllingar, som vegetasjonar eller trombemassar. Av den grunn valde ein primært å behandle pasienten både for primær kardiogen trombe, med lågmolekylært heparin, og med breispektra antibiotika i form av penicillin og gentamycin, som ved endokarditt.

    Det vart vidare utført ytterlegare bildediagnostikk, med CT thorax, abdomen og bekken. Denne verifiserte funna frå ekkokardiografien, ein ekspansiv prosess i høgre hjartehalvdel med perikardvæske. I tillegg vart det funne ein stor ekspansiv prosess til høgre i abdomen som målte 11 x 8 cm, med varierande tettleik og kontrastopplading, forkalkingar og rikeleg vaskularisering. Det vart også påvist mindre kontrastladande oppfyllingar og fri væske i fossa Douglasi (fig 2).

    Det var altså påvist to distinkte forandringar hos pasienten: ei oppfylling i hjartet og ein tumor i abdomen/bekkenet. I den vidare utgreiinga var det sentralt å avdekkje om det var to separate funn eller om det var samanheng mellom dei. I slike tilfelle vil ei tverrfagleg tilnærming vere viktig.

    Pasienten vart tverrfagleg diskutert mellom kardiologar, thoraxkirurgar, onkologar, gynekologar og gastrokirurgar. Risikoen ved intervensjon mot forandringane i hjartet vart vurdert som for stor. Akutt hjartekirurgi vart vurdert som siste utveg, men vart kontinuerleg vurdert på vital indikasjon.

    Forandringane i abdomen og bekken i relasjon til høgre ovarium vart oppfatta som relativt lett tilgjengeleg for biopsi. Dette vart gjort ultralydrettleia, og preparatet vart laga som frysesnitt med prioritet for raskt svar. Pasienten vart, etter at prøven vart tatt, sett på høgdose steroidar i form av deksametason 3 mg x 3.

    Pasientar med uavklart diagnose med affeksjon av fleire organssystem treng ofte ei brei tilnærming som inkluderer fleire spesialistar. Risiko og nytte ved ulike diagnostiske og terapeutiske intervensjonar må vurderast nøye. Vevshistologi vil i dei aller fleste tilfelle av oppfyllingar av ukjent genese vere diagnostisk klarerande og er fundamentet for vidare handtering av problemstillinga.

    Dagen etter biopseringa låg det preliminære svaret frå patologiavdelinga føre: høggradig malignt lymfom. Same dag starta ein på nærast vital indikasjon direkte antitumorretta behandling for pasientens lymfom med cyklofosfamid og deksametason i auka dose til 4 mg x 4. Allopurinol og væskebehandling vart gjeve som tumorlyseprofylakse.

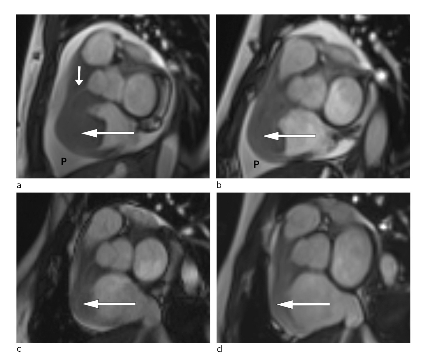
    Allereie timar etter at behandlinga tok til merka pasienten avtakande brystsmerter og mindre dyspné. To dagar seinare var det mogleg gjennomføre MR-undersøking av hjartet. Denne bekrefta persisterande tumormassar i høgre atrium og høgre ventrikkel med gjennomvekst av ventrikkelvegg og samanlodding av trikuspidalsegla (fig 3).

    Disseminerte maligne sjukdomar og lymfom kan i svært sjeldne tilfelle affisere hjartet, då som oftast i form av perikardial effusjon. Intrakardiale oppfyllingar i hjartet som ledd i lymfom er svært sjeldne (2).

    Sjølv om oppfyllinga i hjartet ikkje var direkte biopsert hos vår pasient, vart det vurdert som svært sannsynleg at hennar intrakardiale oppfylling var ein manifestasjon av det påviste lymfomet. Klinisk og radiologisk respons på behandling ville kunne vere argument for ein slik konklusjon.

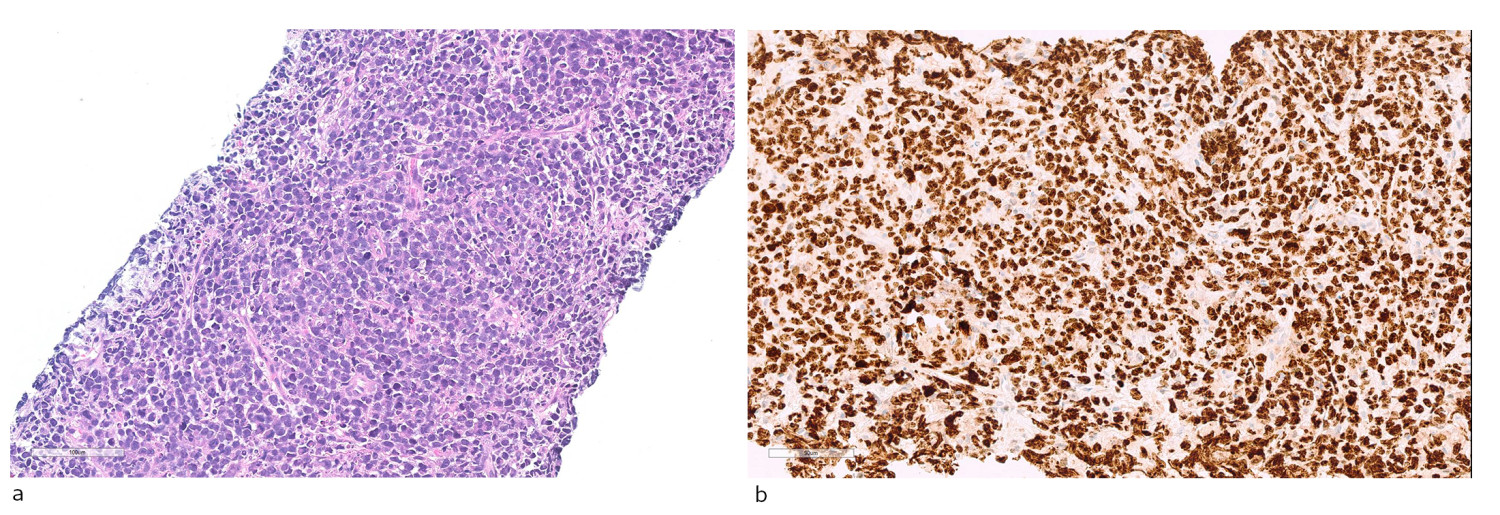
    Etter få dagar kom det endelege svaret frå patologiavdelinga. Konklusjon var at det låg føre eit høggradig malignt lymfom, morfologisk og immunfenotypisk forenleg med diffust storcella B-cellelymfom av kimsentersubtype (positiv for B-cellemarkørar og BCL6, negativ for BCL2, MYC, CD10 og MUM1). Det var teikn til svært høg celleomsetning, proliferasjonsmarkøren Ki-67 var nær 100 % positiv (fig 4).

    Sjukdomen var erkjent i høgre hjartehalvdel, bilateralt i nyrer og som tumor i abdomen og bekken. Alle manifestasjonane var ekstranodale, og lymfomet klassiffiserte såleis til stadium IV. Etter initial behandling kontinuerte ein til første hovudkur, der pasienten fekk behandling med det standardiserte cytostatikaregimet for non-Hodgkins lymfom i form av CHOP-kur: cyklofosfamid, vinkristin, doksorubicin og prednisolon.

    Pasienten vart i denne fasen observert i hjarteovervakingsavdelinga. Det vart ikkje observert arytmiar eller andre komplikasjonar til behandlinga. Ho fekk lågdosert fraksjonert heparin som tromboseprofylakse. Repetert MR-undersøking som vart gjort tre dagar etter oppstart med CHOP-regimet, viste betydeleg regress av oppfyllinga i høgre hjartehalvdel og nærast total regress av intrakavitære komponentar. Den atrioventrikulære opninga på høgre side var betydeleg større enn ved den initiale MR-undersøkinga (fig 3).

    Ved nydiagnostisert høggradig malignt lymfom er rask start av behandling indisert (3). CHOP-regimet er godt etablert og har vore grunnpilaren for behandling av non-Hodgkins lymfom dei siste 20 åra. Det monoklonale CD20-antistoffet rituksimab vil ofte bli nytta i tillegg, det såkalla R-CHOP-regimet (3).

    Ein valde å avstå frå rituksimabterapi i den initiale behandlinga av denne pasienten. Radiologisk remisjon er viktigaste indikator for at den maligne sjukdomen er sensitiv for kjemoterapibehandling.

    Pasienten responderte godt på den initiale behandlinga. Tilstanden var derimot karakterisert som høgrisikosjukdom grunna ekstranodal affeksjon, difor valde ein å gje pasienten behandling vidare med såkalla blokkurar. Ho kunne begynne med første blokkur 25 dagar etter første hospitalisering. Dette vart gjeve utan nemneverdige komplikasjonar, og ho kunne utskrivast til heimen etter avslutta observasjon etter kuren. Det var då gått 40 dagar sidan første gong ho vart innlagt.

    Pasienten gjennomgjekk ytterlegare blokkurbehandling. Radiologisk evaluering etter andre behandling viste nærast total regress av tumormanifestasjonat i abdomen (fig 3). Ein har heldt fram med R-CHOP-regimet, som har helde sjukdomen i remisjon sidan.

    Diskusjon

    Diskusjon

    Ved klinisk undersøking av pasienten vart det funne både ein bilyd ved auskultasjon over hjartet og ei palpabel oppfylling i abdomen, begge viktige funn og grunnlaget for den vidare diagnostikken. Ekkokardiografi er ein ikkje-invasiv prosedyre som i øvde hender kan gje mykje informasjon om hjartefunksjonen. Estimering av pumpefunksjonen til hjartet og vurdering av klaffeapparatet er dei to viktigaste forholda.

    Hos denne aktuelle pasienten vart det funne ei oppfylling i hjartet, med ei betydeleg innsnevring av trikuspidalostiet, som i stor grad forklara kvifor ho vart så tungpusta ved den minste aktivitet. Kardiale oppfyllingar representerer sjeldne funn (1). Dei viktigaste årsakene til funn av oppfyllingar i hjartet er oppsummert i tabell 1. Biopsi vil vere nøkkelen til vidare diagnostikk, men representerer ein invasiv prosedyre med ikkje ubetydeleg morbiditets- og mortalitetskomplikasjonar.

    Tabell 1

    Klassifisering av oppfyllingar i hjarte, modifisert etter Kassop og medarbeidarar (1)

    Ikkje-neoplastiske forandringar

    Benigne neoplasme

    Maligne neoplasme

    Lipomatøs hypertrofi
    Intrakardiale tromber
    Perikardcyster
    Større koronararterieaneurisme
    Valvulære vegetasjonar

    Myksom
    Lipom
    Fibrom
    Hemangiom
    Teratom
    Rabdomyom

    Angiosarkom
    Rabdomyosarkom
    Fibrosarkom
    Liposarkom
    Lymfom
    Metastase

    Hos pasienten vår vart det også funne ei oppfylling i abdomen, og sjølv om det ikkje kunne dokumenterast sikker samanheng mellom dei to funna, var det naturleg å starte med biopsi her, då dette var teknisk lettare. Rask patologiservice er i slike tilfelle viktig for straks å kunne starte målretta behandling, og for den aktuelle pasienten vart dette gjort på nærast vital indikasjon.

    Kortikosteroidbehandling vart starta før endeleg histologisvar låg føre. Kortikosteroid har ein generell antiinflammatorisk effekt, i tillegg til ein direkte cytotoksisk effekt på lymfoide celler. Då histologisvaret låg føre, kunne ein begynne med meir målretta behandling av kreftsjukdomen. I dette tilfellet var det viktig å følgje med på behandlingsresponsen både for primærtumoren i abdomen og oppfyllinga i hjartet fordi ein kausal samanheng ikkje var sikker. Ved respons (fig 3) var det naturleg å tenkje seg ein slik samanheng.

    Lymfom som affiserer hjartet er sjeldne, men kan finnast, og då vanlegvis i form av perikardeffusjon (4, 5). Intrakardiale massar som representerer lymfom er endå meir uvanleg, men kan finnast ved disseminert sjukdom (6), og i autopsimateriale ved langtkommen sjukdom er det funne hjarteaffeksjon i 10 – 15 % av tilfella (7, 8). Høgre hjartehalvdel er overrepresentert i slike tilfelle, og atria er overrepresenterte, samanhalde med ventriklane (6, 9). Fleire kammer er oftast involverte, som hos pasienten vår (10, 11).

    Hematogen spreiing er sannsynlegvis den vanlegaste årsaka til hjarteaffeksjon. Trombosetendens med intrakardial trombosering og sekundær embolisering er ikkje uvanleg (12). Meir høgmaligne lymfom, som diffust storcella B-cellelymfom, Burkitts lymfom og ein del former for T-cellelymfom synest å vere overrepresenterte ved kardial affeksjon (6, 11). Komorbiditet i form av immunsuppresjon og immunsvikt, inkludert hivinfeksjon, aukar mogleg risikoen for hjarteaffeksjon ved lymfoproliferative tilstandar (5, 6, 13).

    Behandling av maligne prosessar som involverer hjartet kan vere utfordrande og er knytta til ein ikkje ubetydeleg komplikasjonsrisiko. Fatale resultat, inkludert perforasjon av myokard, er beskrive, og ofte blir diagnosen først erkjent ved autopsi (6, 9, 14). Behandlingsmodalitetar inkluderer kjemoterapi, stråleterapi og kirurgi.

    Lymfom representerer generelt kjemosensitive svulstar, og kjemoterapi vil oftast vere førstelinjeval òg ved hjarteaffeksjon (9). Hos pasienten vår vart det starta med steroidar i form av deksametason og alkyklerande kjemoterapi i form av cyklofosfamid. Både steroidar og cyklofosfamid har dokumentert antineoplastisk effekt ved lymfoprolifertive tilstandar og er hjørnesteinar i behandling av lymfom (3).

    Denne sjukehistoria illustrerer kor viktig tverrfagleg tilnærming og rask diagnostikk av ein sjeldan tilstand er for at han, som i dette tilfellet, kunne behandlast i kurativ intensjon.

    Pasienten har samtykt til at artikkelen blir publisert.

    Kommentarer  ( 0 )
    PDF
    Skriv ut

    Anbefalte artikler