Kreftpasient i 50-årene med plagsom hjertebank

    ()

    sporsmal_grey_rgb
    Artikkel

    En sprek, tidligere stort sett frisk mann i 50-årene, startet strålebehandling for utbredt kreftsykdom. Noen få dager senere oppsto en livstruende tilstand. Det som startet som plagsom hjertebank ble etter hvert ledsaget av sterke brystsmerter, dyspné og metningsfall. Tverrfaglig utredning avdekket en sammensatt og sjelden etiologi.

    En tidligere stort sett frisk mann i 50-årene ble innlagt på lokalsykehus med spørsmål om transitorisk iskemisk attakk (TIA) grunnet følelse av kraftløshet og nummenhet i alle fire ekstremiteter. CT-utredning avdekket derimot utbredt kreftsykdom intrakranialt, i mediastinum, muskulatur, binyre og pancreas. Det var metastasesuspekte lymfeknuter i begge lungehili og prekarinalt. Vena cava superior var markert komprimert, men uten sikker tumorinnvekst. Ved endoskopisk bronkial ultralyd med biopsitaking fra lymfeknuter paratrakealt ble det funnet adenokarsinom. Etter immunhistokjemiske undersøkelser ble det konkludert med lunge som sannsynlig utgangspunkt. Pasienten hadde kjent hypertensjon, og grunnet hjertebank hadde han gjennomført Holter-registrering ett år tidligere uten funn av arytmi. Han sto på 50 mg metoprolol og 100 mg losartan daglig. Han var tidligere røyker.

    Lungekreft var den nest vanligste kreftformen blant norske menn i 2015, og 3 035 nye tilfeller ble påvist dette året, kvinner og menn sett under ett (1). Histopatologisk er 85 % av disse svulstene ikke-småcellede karsinomer, i all hovedsak adeno- eller plateepitelkarsinom. Prognosen for pasienter med metastaserende lungekreft er dårlig, med femårsoverlevelse på rundt 1 % (1). Disse pasientene tilbys livsforlengende, symptomlindrende behandling med stråleterapi og/eller medikamentell behandling.

    For å redusere intrakranialt ødem og lindre pasientens nevrologiske plager ble det ved diagnosetidspunktet på lokalsykehus startet med metylprednisolon 16 mg x 4 med tillegg av 40 mg pantoprazol daglig som ulcusprofylakse. Grunnet smerter i underekstremitetene ble det forskrevet 4 g paracetamol og 40 mg/20 mg oksykodon/nalokson daglig. Pasienten ble henvist Radiumhospitalet for palliativ strålebehandling mot symptomgivende metastaser i hjernen og mot metastasene i mediastinum som komprimerte sentrale strukturer. Få uker etter at diagnosen ble stilt og helgen før behandlingsoppstart, ble han reinnlagt på lokalsykehus grunnet økende hjertebank. Her ble det for første gang bekreftet atrieflimmer på EKG. Doseringen av betablokker ble økt til 100 mg metoprolol, og det ble startet lavmolekylært heparin i dosering 5000 IE x 2. Han ble etter få dager utskrevet til hjemmet med oppfølgingsavtale på hjertepoliklinikken for videre utredning av atrieflimmer. Han møtte til oppstart av strålebehandling som planlagt. Han var da i god allmenntilstand med et normalt fysisk funksjonsnivå (Eastern Cooperative Oncology Group funksjonsstatus (ECOG-status) 0). Følelse av nummenhet og kraftsvikt i ekstremitetene var godt kupert med steroider. Han klaget stadig over hjertebank og følelse av rask, uregelmessig puls, men ingen brystsmerter. Ved klinisk undersøkelse var han afebril, han hadde blodtrykk på 110/80 mm Hg og uregelmessig puls med frekvens på 110 slag/minutt. Det var ellers normale funn ved auskultasjon av hjerte og lunger. Det ble rekvirert ti strålefraksjoner à 3 gray (Gy) mot hele hjernen gitt over to uker, og to fraksjoner à 8,5 Gy mot mediastinum. Han startet poliklinisk behandling få dager senere.

    Det er usikkert hvor lenge pasienten hadde hatt atrieflimmer. Hypertensjon og annen hjertesykdom er vanligste årsak til denne arytmien, men det kan også oppstå sekundært til infeksjon, inflammasjon eller dehydrering, samt i forbindelse med endokrinologisk og pulmonal sykdom. Atrieflimmer kan således tjene som en markør for alvorlig underliggende sykdom. Hos 20 – 30 % avdekker man derimot ingen direkte årsak.

    Etter tre strålebehandlinger mot hjernen, og før strålebehandling mot mediastinum hadde startet, ble lege kontaktet, da pasienten ble vurdert som for dårlig til å fortsette behandlingen poliklinisk. Han kom til sengeposten i rullestol. Han fortalte at han hadde følt mindre hjertebank de seneste timene, men at det hadde vært svært plagsomt de foregående dagene. Han følte seg utmattet og trett.

    Ved undersøkelse fremsto han blek og sliten, og funksjonsnivået var nedsatt sammenholdt med dagen før (ECOG-status 2). Respirasjonen var normofrekvent og ubesværet, og han var smertefri. Ved klinisk undersøkelse var han afebril, pulsen var regelmessig med frekvens på 80 slag/minutt og blodtrykket var 109/64 mm Hg. Blodprøvene viste hemoglobin på 10,9 g/dl (ref. 13,(4)-17,0 g/dl), leukocytter på 25,4 x 109 /l (ref. (3),(5)-10,9 x 109 /l) med nøytrofile granulocytter på 22,4 x 109 (ref. (1),(5)-7,(3x)109 /l). CRP var 39 mg/l (ref. < 4 mg/l). Troponin-T (TnT) var 11 ng/l (ref. 0 – 14 ng/l), CK-MB 1,4 mcg/l (ref. < 5 mcg/l)og NT-proBNP 80 pmol/l (ref. < 30 pmol/l). EKG viste ingen tegn til akutt koronar iskemi, men tegn til venstre ventrikkel-hypertrofi. Røntgen thorax viste et normalt stort hjerte uten tegn til stuvning, med lett breddeøkt øvre mediastinum og lett markante lungehili sekundært til hans kjente lymfadenopati. Han ble innlagt på sengeposten for å fortsette strålebehandlingen.

    Pasientens allmenntilstand var nedsatt sammenlignet med første polikliniske konsultasjon noen dager tidligere. Med utgangspunkt i blodprøvene var infeksjon en viktig differensialdiagnose, men klinisk virket han ikke infeksjonspreget. Understøttet av normal puls, blodtrykk og temperatur, ble leukocytosen og trombocytosen tolket som steroidindusert. Det var ingen holdepunkter for akutt koronarsyndrom klinisk eller biokjemisk. Det ble vurdert at pasienten hadde paroksysmal atrieflimmer med mulig sekundær lettgradig hjertesvikt.

    Dagen etter ble pasienten brått dårligere med akutt innsettende inspiratoriske smerter sentralt i thorax med lett utstråling til høyre scapula. Han klaget over hodepine. Han var blek, men tørr og varm i huden. Blodtrykket var 110/80 mm Hg, pulsen var regelmessig med 117 slag/minutt, og han var afebril. Ved auskultasjon var det normale tarmlyder. Han var bløt i buken, men trykkøm under høyre kostalbue. Ved auskultasjon av hjerte og lunger var det ingenting avvikende å bemerke utover rask hjerteaksjon. Blodprøvene viste stigende CRP (nå 99), leukocytter (nå 32) og nøytrofile granulocytter (nå 27,5). TnT og CK-MB var stabilt lave. ALAT var 371 U/l (ref. 10 – 70 U/l), pancreasamylase 262 U/l (ref. 10 – 65 U/l), ALP 208 U/l (ref. 35 – 105 U/l) og LD 303 U/l (ref. 105 – 208 U/l). EKG var tilnærmet uforandret fra foregående dag.

    Anamnese sammenholdt med troponin T-verdi og EKG-funn passet ikke med akutt koronarsyndrom. Smerter under høyre kostalbue, økning i transaminaser og amylase, samt stigende CRP og leukocytter kunne peke i retning av gallestase og infeksjonsutvikling sekundært til metastase i pancreas. Bruk av steroider kunne ha dempet immunfunksjonen, slik at febrilia ikke oppsto. Pasienten sto i tillegg på paracetamol. Situasjonen kunne også passe med malign progresjon i lever/galleveiene. Pasientens inspiratoriske smerter kunne passe med lungeemboli, men da han var antikoagulert, var dette mindre sannsynlig.

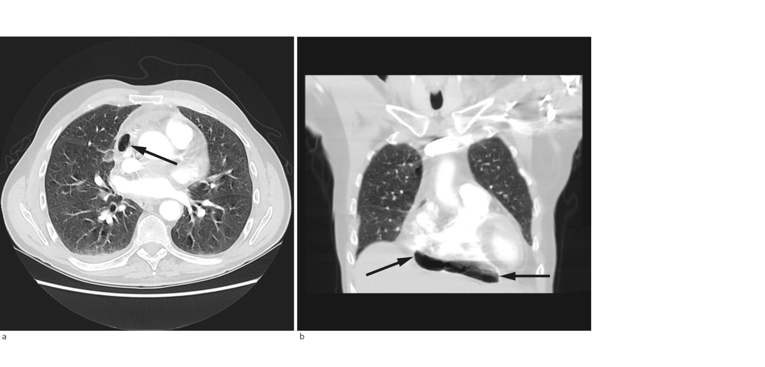
    På mistanke om infeksjonsutvikling med utgangspunkt i lever/galleveier eller pancreas, ble intravenøs behandling med cefotaxim 1 g x 4 startet. Ultralyd abdomen viste slanke galleveier, men radiolog anbefalte CT abdomen for endelig avklaring. Dette ble utført samme dag supplert med CT thorax med lungeemboliserie. Underveis i denne undersøkelsen fikk pasienten akutt økende dyspné med metningsfall til 70 %, takypné med respirasjonsfrekvens på 22/minutt og takykardi med puls på 130 slag/minutt, ledsaget av kraftig forverring av smertene i høyre hemithorax. Onkolog og anestesilege ble tilkalt. Med ventilasjonsstøtte på maske klarte pasienten å gjennomføre undersøkelsen som viste fri luft i mediastinum, hovedsakelig i perikard, samt noe perikardeffusjon (fig 1). Lekkasjestedet kunne ikke påvises. I buken var det ingen fri luft.

    Pneumomediastinum er definert som fri luft i mediastinum. Dette oppstår enten fordi alveoler sprekker eller fordi luft lekker fra respirasjons- eller gastrointestinalkanalen. Mediastinalt emfysem er oftest traumatisk betinget fra stumpt traume mot thorax eller iatrogent forårsaket, men kan også oppstå spontant (2). Luften kan bevege seg inn i perikardhulen, pneumoperikard, og forårsake perikardial tamponade. Ubehandlet kan dette være fatalt. Retrosternale brystsmerter som forverres ved inspirasjon og dyspné er vanlige symptomer på pneumoperikard. Ekkokardiografi kan bekrefte tilstanden og eventuell tamponade, og man kan utføre perikardiocentese for akutt avlastning. Dette gir også mulighet for biokjemisk analyse og histologi.

    På sengepost ble pasienten og hans pårørende informert om den alvorlige tilstanden som var avdekket, og at prognosen var dårlig. Med bakgrunn i hans alvorlige kreftsykdom og korte forventede levetid, var det ikke aktuelt med intensiv behandling ved eventuell hjertestans, og unnlatelse av å gi hjerte-lunge-redning (HLR minus) ble journalført. Med utgangspunkt i at det kunne være en infeksiøs komponent, valgte vi å kontinuere intravenøs antibiotika- og væskebehandling. Han fikk symptomatisk lindring med oksygen på nesegrime, beroligende medisiner og smertepumpe med morfin. Han ble økende somnolent utover kvelden og døde neste morgen. Da dødsfallet kom som resultat av en uventet komplikasjon, ble det rekvirert obduksjon.

    Obduksjonen viste organisert fibrinbelegg på epi- og perikard samt 100 ml puss i perikardhulen. Perikard var intakt uten påvisbar fistel. Histologisk så man fibrin epikardialt med infiltrasjon av nøytrofile granulocytter og enkelte store, pleomorfe tumorceller med hyperkromatiske kjerner som var positive for anti-pan cytokeratin (AE1/AE3). Lungene var makroskopisk tunge, preget av uttalt ødem og fokalt emfysem. Tumor i lungene ble ikke påvist makroskopisk eller histologisk på de uttatte snittene. Det ble bekreftet metastaser i musculus teres minor, pancreas, begge binyrer, paratrakeale lymfeknuter, lever og hjerne fra en malign tumor som immunohistokjemisk var positiv for TTF-1, CK7, AE1/AE3 og vimentin. Dyrkning av perikardvæske viste moderat vekst av Enterococcus faecium, Streptococcus anginosus og rikelig vekst av anaerobe bakterier og candida species.

    Obduksjonen bekreftet at pasienten hadde utbredt kreftsykdom med utgangspunkt i lunge, av type adenokarsinom eller storcellet karsinom på grunn av immunprofilen og kreftcellenes morfologi. Som umiddelbar dødsårsak ble det anført fibrinøs epi/perikarditt med karsinomatose og generalisert lungeødem.

    Inflammasjon er den vanligste sykdommen som opptrer i perikard (perikarditt), og den kan være reaktiv eller infeksiøs. Virale perikarditter er vanligst. Immunsuppresjon og malign sykdom er assosiert med høyere risiko for å utvikle perikarditt (3). Ved bakteriell perikarditt kan det utvikles makroskopisk puss i perikard med risiko for kardial tamponade, enten direkte eller sekundært til restriktiv kardiomyopati. Dersom dette ikke behandles, vil utfallet være fatalt. Brystsmerter er et kardinalsymptom ved purulent perikarditt, ofte beskrevet som posisjonsavhengige, skarpe og lokaliserte. Perikardial effusjon kan gi dyspné, og mer uspesifikke symptomer som feber, hoste, slapphet og palpitasjoner. Hos noen kan en perikardial gnidningslyd auskulteres når fibrinbelagt epi- og perikard gnis mot hverandre. Pasienten vår hadde ikke generelle ST-elevasjoner i EKG som kan ses ved akutt perikarditt (4). Ekkokardiografi kan avdekke perikardial effusjon, men kan også vise normale funn tross bakteriell perikarditt. Biokjemisk kan man se stigende CRP og leukocytter, og eventuelt forhøyede troponin- og CK-MB-verdier dersom myokard er affisert. Ved purulent perikarditt kan perikardiocentese gi diagnostisk avklaring og mulighet for agenspåvisning, i tillegg til å gi symptomatisk lindring. Internasjonale retningslinjer for behandling anbefaler intravenøs antimikrobiell behandling, drenasje og eventuelt kirurgisk intervensjon (3).

    Diskusjon

    Diskusjon

    I foreliggende pasienthistorie var det spredning av både kreftceller og bakterier til epi- og perikard. Ved obduksjonen ble det ikke påvist økt luft/gass i perikard. Dette kan likevel ikke utelukkes, da man ikke spesifikt undersøkte for dette. Fistel mellom perikard/mediastinum og øvre gastrointestinalkanal eller trachea ble heller ikke avdekket, skjønt en liten åpning kan heller ikke utelukkes. På CT-undersøkelsen tatt dagen før dødsfallet er luft godt synlig (fig 1), men det var ikke mulig å identifisere lekkasjestedet. Sannsynligvis har maligne celler erodert perikard og epikard fra mediastinum, som ledd i det infiltrative vekstmønsteret, hvilket kan ha skapt en ventil for bakterier og luft. Fri luft/gass kunne også tenkes å ha oppstått som et (bi-)produkt av en bakteriell superinfeksjon med autolyse og vekselvirkning mellom bakterielt toksin og karsinomceller. Infeksjoner med gassproduserende bakterier i tarm eller bløtvev gir imidlertid som regel kun små gasslokulamenter på CT. Mikrobene som ble påvist er heller ikke typisk gassproduserende. Pasienten hadde ikke gjennomgått invasive prosedyrer utover biopsitakning fra lymfeknuter i øvre mediastinum, som ble utført tre uker tidligere. Denne prosedyren er rapportert å kunne forårsake penumomediastinum, men da som en akutt komplikasjon (5). Bruk av steroider og antibiotika i kombinasjon kunne potensielt forårsaket kolonisering eller infeksjon av sopp i oesophagus, med påfølgende ruptur. Det ble derimot ikke sett tegn til dette under obduksjonen. Pneumomediastinum kan utløses av kraftige hosteanfall, uten at en slik rift i luftveiene er synlig på CT. Iomeron, kontrastmidlet som gis i forbindelse med CT, kan utløse hoste, men dette er ikke journalført som et fremtredende symptom hos denne pasienten.

    Retrospektivt burde bakteriell perikarditt ha vært vurdert som en differensialdiagnose i løpet av dette sykdomsforløpet. Diagnostikken ble derimot komplisert av malign sykdom og fravær av flere av de klassiske tegnene vi forbinder med denne tilstanden. Dette gjorde at bakteriell perikarditt ikke ble erkjent før obduksjonsrapporten forelå. Det er dog vanskelig å se for seg at infeksjonen i seg selv var dødelig. 100 ml puss er neppe tilstrekkelig til å forårsake tamponade, og pasienten var ikke septisk preget. Gassen i perikard truet imidlertid med tamponade, selv om det ikke var tegn til dette på CT-undersøkelsen tatt dagen før pasienten døde. Kompresjon av høyre ventrikkel kunne gi redusert slagvolum med fall i blodtrykk og takykardi, eventuelt rask atrieflimmer eller ventrikkelflimmer og sirkulatorisk kollaps. Ekko ville gitt diagnostisk avklaring, og perikardiocentese kunne ha drenert luften. Fordi vi ikke har ekko tilgjengelig på Radiumhospitalet, ville dette medført overflytting til intensivavdeling. Vi mener det kan diskuteres hvorvidt det ville vært riktig i denne situasjonen, gitt pasientens utbredte kreftsykdom og korte forventede levetid. Kasuistikken illustrerer viktigheten av bred differensialdiagnostisk tenkning ved uspesifikk symptomatologi hos pasienter med kreft. Disse pasientene har økt risiko for sjeldne og alvorlige infeksjoner og komplikasjoner. Kasuistikken belyser også en etisk problemstilling knyttet til behandling av pasienter med inkurabel kreftsykdom og kort forventet levetid: Når akutte komplikasjoner oppstår, hvor mye skal gjøres? Fordeler og ulemper ved eventuelle tiltak må vurderes nøye opp mot hverandre.

    Pasientens pårørende har gitt samtykke til at artikkelen blir publisert.

    Kommentarer  ( 0 )
    PDF
    Skriv ut

    Anbefalte artikler