Oculomotoriusparese

    ()

    sporsmal_grey_rgb
    Artikkel

    En kvinne i 80-årene våknet en morgen med hodepine og hengende øyelokk på venstre side. Hun hadde kjent kronisk obstruktiv lungesykdom (kols), bilateral carotisstenose og tidligere gjennomgått hjerneinfarkt uten sekvele. Ved innleggelse i nevrologisk avdeling samme dag ble det ved inspeksjon av det venstre øyet påvist ptose. Øyet devierte lateralt og nedad, og pupillen var dilatert og lysstiv. Ved undersøkelse av øyemotilitet fremkom det diplopi og paralyse for adduksjon, elevasjon og depresjon. Det var ingen andre nevrologiske utfall. Funnene var forenlig med en isolert oculomotoriusparese med pupillinvolvering.

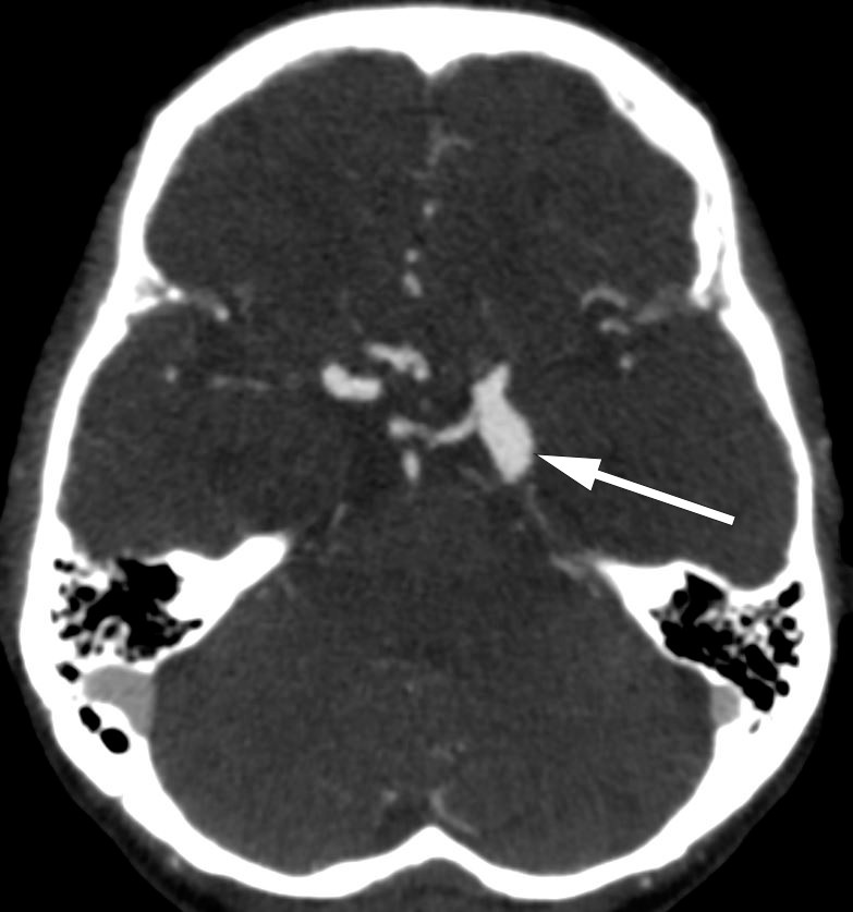
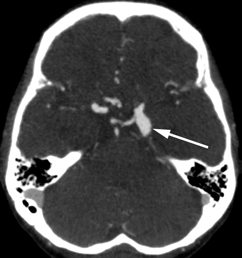
    Pasienten hadde få år tidligere ved utredning av holokranial hodepine fått påvist et 10 x 4 mm stort venstresidig aneurisme på arteria carotis interna ved avgangen av arteria communicans posterior samt et proksimalt aneurisme på høyre arteria cerebri anterior. Disse ble ansett å være tilfeldige funn, og det ble ikke anbefalt sikring på bakgrunn av risiko ved operasjon. Det ble heller ikke anbefalt radiologisk oppfølging.

    CT caput med angiografi gjort ved innleggelse viste vekst av det førstnevnte aneurismet til 15 x 9 mm. Nevrokirurgisk avdeling ble kontaktet på grunn av mistanke om truende ruptur, og det ble avtalt snarlig vurdering påfølgende morgen. Samme kveld fikk imidlertid pasienten hyperakutt bakhodepine med ledsagende nakkestivhet og hypertensjon, men ingen bevissthetsreduksjon. CT caput viste nytilkommet subaraknoidalblødning. Pasienten ble umiddelbart overflyttet til nevrokirurgisk avdeling hvor det ble utført kraniotomi og sikring med klipsligatur av det rumperte aneurismet. Pasienten overlevde, men fikk et betydelig nevrologisk sekvele.

    Ved mistanke om unormal funksjon i en eller flere hjernenerver er det viktig å lokalisere skaden og identifisere årsaken (1). Oculomotoriusparese kan oppstå på bakgrunn av lesjoner langs hele nervens forløp fra hjernestammen til orbita. En av de mest fryktede årsakene til akutt oculomotoriusparese er kompresjon av et voksende aneurisme, oftest på a. communicans posterior, med truende ruptur innen kort tid. Isolert, komplett oculomotoriusparese med dilatert pupill skal alltid gi mistanke om aneurisme og medføre rask utredning. Om pupillen ikke er affisert, er årsaken som regel mikrovaskulær nevropati, som har en god prognose med spontan bedring i løpet av tre måneder. Ved isolert, inkomplett oculomotoriusparese kan man imidlertid ikke stole på pupillfunnene. Oppfølgingen bør da være tett (2).

    Pårørende har gitt samtykke til at artikkelen blir publisert.

    Kommentarer  ( 0 )
    PDF
    Skriv ut

    Anbefalte artikler