Gutt med misdannede tenner

    ()

    sporsmal_grey_rgb
    Artikkel

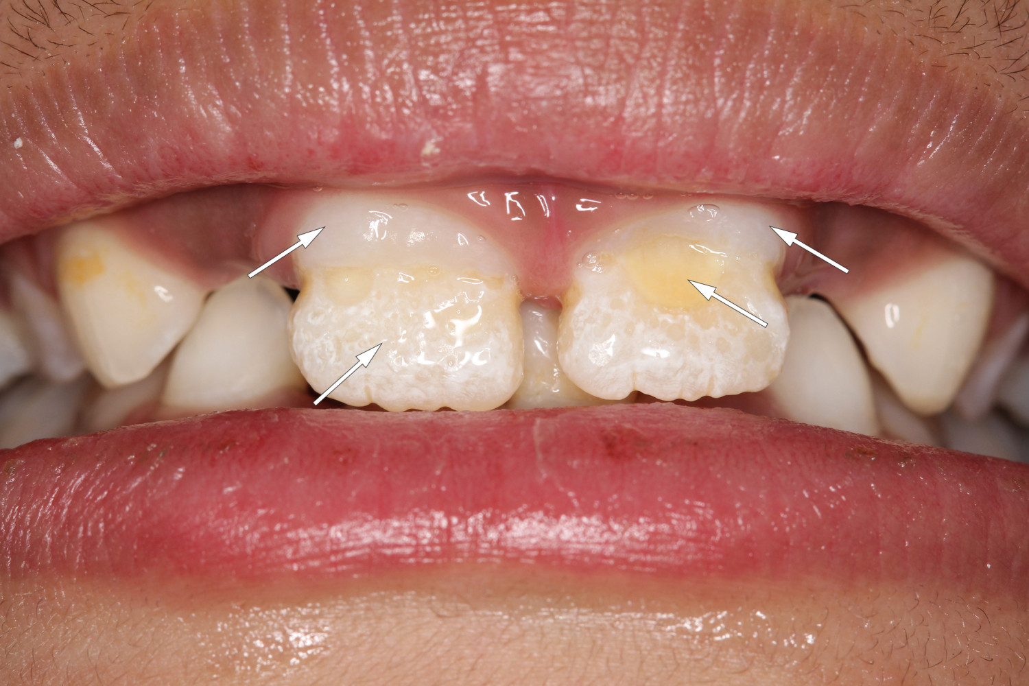
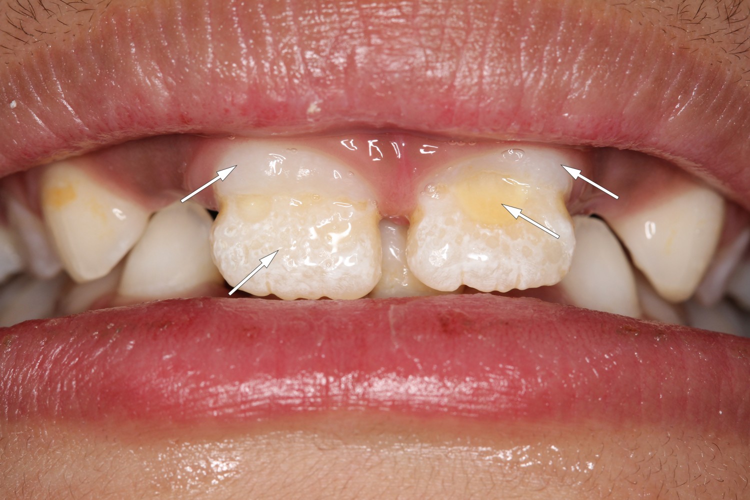
    Forstyrrelser i kalsium- og fosfatstoffskiftet påvirker både ben- og tannutvikling (1). En tidligere frisk gutt ble henvist til spesialist i pedodonti fordi fortenner og seksårsjeksler hadde utviklingsskader. Fortennene var smale og tynne med hvite og gule flekker hvor emaljen stedvis manglet (se de to nederste pilene). Tilsvarende defekter kunne også ses på seksårsjekslene. Gutten ble ertet på skolen for stygge tenner. I tillegg til det rent estetiske var han plaget med ising i tennene. Melketennene var i hovedsak normale.

    I henvisningen kom det frem at gutten hadde fått påvist jern- og D-vitaminmangel da han var rundt 18 måneder. Legejournalen viste at dette hadde medført sykehusinnleggelser. Gutten var hemmet motorisk, og sykehuset konstaterte rakitt. Han ble behandlet med jern og D-vitamintilskudd og begynte etter dette raskt å gå.

    D-vitaminmangel er et økende problem i Europa, også blant barn (2). En viktig risikogruppe for D-vitaminmangel i Norge er innvandrere fra Asia og Afrika (3). Vår pasient er født i Norge og har innvandrerforeldre fra Asia.

    Mineralisering av permanente fortenner og seksårsjeksler starter rundt fødselen. Funnene hos denne gutten er forenlig med manglende kalsiumopptak på grunn av D-vitaminmangel frem til 18 måneders alder. Vi ser at emalje dannet etter at tilskudd ble gitt, har normal struktur (se de to øverste pilene), og rotutviklingen av de aktuelle tennene er helt normal. Røntgenbilder viser at også spissen på hjørnetennene er underutviklet. Disse starter mineraliseringen noen måneder senere, og skadene på hjørnetennene er dermed ikke forventet å være like omfattende. Skadene han har fått, vil medføre omfattende tannbehandling resten av livet, og det blir trolig behov for kronebehandling på mange tenner.

    Leger oppfordres til å henvise pasienter som har rakitt de første leveårene, til tannhelsetjenesten for diagnostikk og oppfølging av mulige skader på tennene.

    Pasientens pårørende har gitt samtykke til at artikkelen blir publisert.

    Kommentarer  ( 0 )
    PDF
    Skriv ut

    Anbefalte artikler