Diskusjon
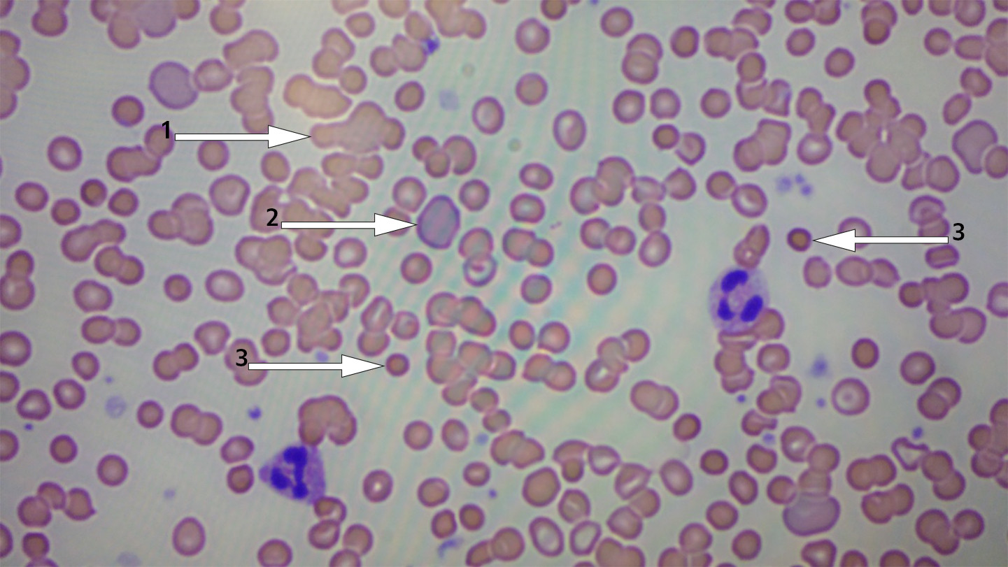
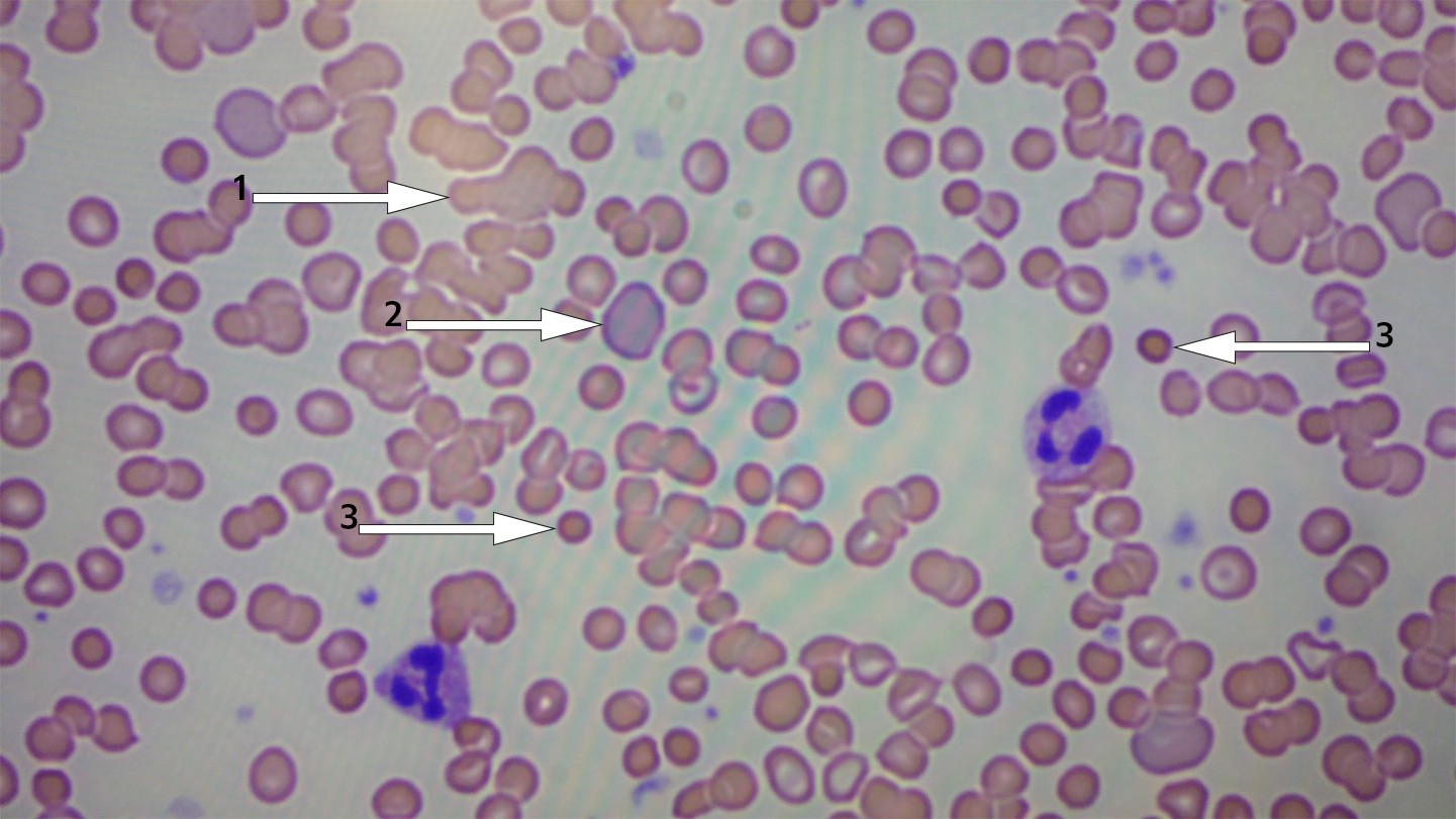
Denne kasuistikken beskriver en sjelden komplikasjon til M. pneumoniae-infeksjon. Når man påviser anemi, skal man alltid lete etter årsaken. I dette tilfellet dreide det seg om autoimmun hemolytisk anemi, hvor autoantistoffer av kuldeantistofftypen binder seg til erytrocyttenes overflate og forårsaker hemolyse. Autoimmun hemolytisk anemi kan klassifiseres som vist i ramme 1 (1)
Ramme 1 Klassifisering av autoimmun hemolytisk anemi (1)
Varmeantistofftype
Primær
Sekundær
Kuldeantistofftype
Primær kronisk kuldeagglutininsykdom
Sekundært kuldeagglutininsyndrom
– Assosiert med malign sykdom
– Akutt infeksjon
Paroksysmal kuldehemoglobinuri
Blandet type
Vår kasuistikk er et eksempel på kuldeantistofftypen, som utgjør ca. 25 % av alle typene av autoimmun hemolytisk anemi (1, 3). Kuldeagglutininer fører til agglutinering av erytrocytter ved lav temperatur (temperaturoptimum 3–4 oC), men det kan også skje ved høyere temperaturer, avhengig av den termale amplituden. Denne defineres som den høyeste temperaturen der antigen-antistoff-reaksjonen kan finne sted. Kuldeagglutininer er nesten alltid IgM-antistoffer, men en svært sjelden gang av IgG- eller IgA-klasse (2).
Kuldeagglutininer kan forekomme hos friske mennesker (1, 2). Slike kuldeagglutininer har lav termal amplitude og forårsaker ikke hemolyse (5, 6). Dersom den termale amplituden er høy nok, kan antigen-antistoff-reaksjonen inntre ved fysiologisk kroppstemperatur eller normal avkjøling av blodet i perifere kroppsdeler – kuldeagglutininene er da patogene (1, 4).
Kuldeagglutininene binder seg oftest til antigener innen I/i-blodgruppesystemet, som finnes på erytrocyttenes overflate hos nesten alle mennesker. Bindingen skjer i perifer sirkulasjon, hvor temperaturen er tilstrekkelig lav til å initiere agglutinering. Hemolysen er komplementmediert.
Antigen-antistoff-komplekset (IgM bundet til I eller i) binder komplementproteinkompleks C1 på erytrocyttoverflaten. Via aktivering av den klassiske komplementreaksjonsveien dannes store mengder komplementprotein C3b på celleroverflaten. Den påfølgende hemolysen skjer først og fremst via fagocytose av C3b-opsoniserte erytrocytter i det mononukleære fagocyttsystem (tidligere kalt retikuloendoteliale system) i leveren (ekstravasal hemolyse). I mindre utstrekning kan erytrocytter også hemolyseres intravasalt via terminal komplementaktivering (1, 4).
Ved funn av hemolytisk anemi bør man kartlegge om denne er av autoimmun genese ved hjelp av direkte antiglobulintest. Ofte bruker man først et polyspesifikt reagens, deretter går man videre med monospesifikke reagenser for bestemmelse av immunglobulinklasse og/eller komplementprotein på erytrocyttenes overflate.
Ved kuldeantistofftypen er monospesifikk direkte antiglobulintest positiv for C3d, som er et produkt av aktivering av den klassiske komplementreaksjonsveien (1, 4). Ved autoimmun hemolytisk anemi forårsaket av kuldeagglutininer er kuldeagglutinintiteret minst 64, men som oftest mye høyere (1–3). Anamnese, kliniske funn og enkle supplerende undersøkelser er som regel tilstrekkelig for å skille mellom primær kuldeagglutininsykdom og sekundære kuldeagglutininsyndromer (1).
Det foreligger ingen norske eller internasjonale retningslinjer for utredning av autoimmun hemolytisk anemi, men en oversiktsartikkel som tidligere er publisert i Tidsskriftet, gir god veiledning (4). En diagnostisk algoritme for kuldeantistofftypen er vist i figur 3 (1).
Primært kronisk kuldeagglutininsykdom skiller seg fra sekundære kuldeagglutininsyndromer ved at det er en klonal, lymfoproliferativ benmargssykdom, der kuldeagglutininene er monoklonale og har spesifisitet for I-antigenet (1). Denne sykdommen omtales ikke nærmere her.
Sekundært kuldeagglutininsyndrom forekommer sjeldnere enn den primære sykdommen og oppstår som følge av malignitet (særlig aggressive lymfomer) eller spesifikke infeksjoner, oftest M. pneumoniae- eller Epstein-Barr-virusinfeksjoner, i sjeldne tilfeller andre infeksjoner. Ved M. pneumoniae-infeksjon er kuldeagglutininet polyklonalt og har spesifisitet mot I-antigenet, mens man ved Epstein-Barr-virusinfeksjon finner polyklonalt kuldeagglutinin med spesifisitet mot i-antigenet (3, 4).
M. pneumoniae-infeksjoner er vanligst i vinterhalvåret, med epidemier hvert 4. –6. år i Norge (7). Inkubasjonstiden er 1–3 uker og forløpet ofte langtrukkent, 3–4 uker. Asymptomatiske infeksjoner forekommer, men eldre og immunsupprimerte kan utvikle alvorlig sykdom. M. pneumoniae gir vanligvis et mildt sykdomsforløp, med influensalignende symptomer, feber, sår hals, heshet, hodepine og langvarig tørrhoste, og rundt 10 % av pasientene utvikler pneumoni (7).
I to norske studier fant man at henholdsvis 2 % og 4 % av samfunnservervede pneumonier som krevde sykehusinnleggelse skyldtes M. pneumoniae (8, 9). M. pneumoniae-infeksjon kan i sjeldne tilfeller i tillegg til autoimmun hemolytisk anemi gi nevrologiske komplikasjoner som encefalitt, myelitt, Guillain-Barrés/Miller-Fishers syndrom og kan ha kardiologiske manifestasjoner som perimyokarditt samt hudmanifestasjoner (10, 11).
Ved en sykehistorie på under fire uker kan diagnosen stilles ved PCR-undersøkelse av nasopharynxsekret eller halsprøve, mens antistoff kan påvises omtrent to uker etter symptomdebut. Det kan være nødvendig med serumpar tatt med to ukers mellomrom for å påvise serokonversjon eller signifikant stigning i antistoffnivå, men kontrollprøve gir ikke tilleggsinformasjon dersom den tas mer enn fire uker etter sykdomsdebut (7), (12).
Det ble hos vår pasient tatt kontrollserologisk undersøkelse med antistofftiter mot M. pneumoniae fire uker etter innleggelsen. Dette ga i så måte ikke tilleggsinformasjon. Infeksjoner med M. pneumoniae har ofte et mildt forløp og krever ikke antibiotikabehandling. Ved pneumoni eller andre behandlingstrengende manifestasjoner anbefales erytromycin eller doksysyklin i 7–10 dager (7, 13).
Kuldeagglutinin ved atypisk pneumoni ble først beskrevet av Peterson og medarbeidere i 1943 (14) og er trolig en del av den fysiologiske immunresponsen ved M. pneumoniae-infeksjon. Før spesifikk diagnostikk var tilgjengelig ble påvisning av kuldeagglutininer brukt som en diagnostisk test, men spesifisiteten var lav.
Ved M. pneumoniae-pneumoni vil kuldeagglutininet vanligvis ikke gi signifikant hemolyse, men av og til kan man se alvorlig, transfusjonskrevende hemolytisk anemi, som hos vår pasient (1). I en studie med 295 pasienter med autoimmun hemolytisk anemi ble M. pneumoniae eller atypisk pneumoni vurdert som årsak hos 8 % (5).
Behandling ved sekundært kuldeagglutininsyndrom forårsaket av M. pneumoniae-infeksjon er først og fremst adekvat håndtering av infeksjonen (1). Transfusjon kan gis dersom det er indisert, forutsatt at man følger nødvendige forsiktighetsregler for transfusjon til pasienter med kuldeagglutininmediert hemolytisk anemi, som referert i pasientbeskrivelsen (1, 4).
Behandling med kortikosteroider er beskrevet i kasuistikker og oversiktsartikler, men det foreligger ingen prospektive studier (1, 15). Kasuistisk dokumentasjon er usikker, siden den hemolytiske anemien likevel helbredes spontant, ofte i løpet av 4–6 uker (1). Medikamentell hemming av den klassiske komplementaktiveringsveien er teoretisk sett lovende og har dokumentert effekt ved primær kronisk kuldeagglutininsykdom, men er foreløpig ikke undersøkt ved sekundært kuldeagglutininsyndrom (16).
M. pneumoniae-infeksjoner gir vanligvis milde sykdomsforløp, men der sykehusinnleggelse er nødvendig, kan pasienten ha et mer alvorlig sykdomsbilde, slik som vår pasient. Ved uforklart anemi hos slike pasienter bør man umiddelbart vurdere muligheten for kuldeagglutininmediert autoimmun hemolytisk anemi.