Kardial sarkoidose

    ()

    sporsmal_grey_rgb
    Abstract

    Sarcoidosis is characterised by granulomatous inflammation in one or more organs, including the heart. Cardiac sarcoidosis generally has non-specific symptoms, and the disease is often diagnosed at a late stage. The condition is associated with cardiomyopathy and arrhythmia and may be fatal.

    Artikkel

    Sarkoidose kjennetegnes av granulomatøs betennelse i ett eller flere organer, blant annet hjertet. Kardial sarkoidose har uspesifikke symptomer, og diagnosen stilles derfor ofte sent. Tilstanden er assosiert med kardiomyopati og arytmi og kan være fatal.

    Sarkoidose er en immunmediert systemsykdom av ukjent etiologi som kjennetegnes av granulomatøs betennelse i ett eller flere organer (1). Organdysfunksjon kan oppstå som følge av granulomdanning og/eller ledsagende fibrose (1). Sykdommen rammer oftest lungene, men tilnærmet alle organer kan affiseres, og nær halvparten av pasientene har ekstrapulmonal sykdom (2). Tilstandens symptomer og prognose avhenger av sykdomsutbredelse og grad av organpåvirkning, og behandlingen består i hovedsak av kortikosteroider (1).

    Affeksjon av hjertet (kardial sarkoidose) kan forekomme som ledd i multiorganaffeksjon, eller som isolert kardial sarkoidose (3). Det er avgjørende å identifisere disse pasientene, da kardial sarkoidose er assosiert med kardiomyopati og arytmier og forårsaker om lag halvparten av sarkoidoserelaterte dødsfall.

    Uspesifikke symptomer og mangel på klare retningslinjer for utredning og behandling gjør at kardial sarkoidose representerer en klinisk utfordring. Endomyokardbiopsi regnes som diagnostisk gullstandard, men har lav sensitivitet og potensielt alvorlige komplikasjoner (4). MR-undersøkelse av hjertet med gadoliniumkontrast brukes nå i større grad, og anbefales hos pasienter med kardiale symptomer og/eller unormale EKG-funn (4).

    Epidemiologi

    Epidemiologi

    Skandinavia har en av verdens høyeste forekomster av sarkoidose, med en anslått årlig insidens på 50–60 tilfeller per 100 000 (3, 5, 6). Symptomgivende kardial sarkoidose forekommer hos 2–7 % av personer med sarkoidose (3), men i obduksjonsstudier er det funnet sarkoidoseforandringer i hjertet hos 25–58 % av personer med tilstanden (4, 7, 8).

    Hjerteaffeksjon ses hyppigere hos japanske pasienter (4). Genetiske faktorer er kun delvis kartlagt, men i japanske studier har forskere beskrevet en sammenheng mellom HLA-DQB*0601 og TNFA2 og utvikling av kardial sarkoidose (7, 9). I en retrospektiv studie fra Kina med 1 815 pasienter med sarkoidose fant man symptomgivende kardial sarkoidose hos 4 % (10). I gruppen med hjerteaffeksjon var det lett mannlig overvekt (55 %), og pasientene fikk påvist tilstanden ved en medianalder på 46 (20–71) år. Omtrent alle (94,5 %) pasientene hadde en samtidig lungeaffeksjon, og ingen hadde isolert kardial sarkoidose (10). Allikevel er det viktig å påpeke at sykdommen kan forekomme uten ledsagende affeksjon av andre organer (3, 9), og i en studie av 52 pasienter med kardial sarkoidose hadde 63 % isolert hjerteaffeksjon (11).

    Patogenese

    Patogenese

    Immunpatogenesen til sarkoidose er bare delvis kartlagt, men genetiske, miljømessige og infeksiøse faktorer antas å bidra til sykdomsutviklingen (1). En ledende teori er en patologisk immunrespons som spenner over to faser. I den første fasen stimulerer et utløsende antigen CD4-positive T-hjelpeceller av Th1-subtype (CD4+ Th1-celler).

    Dette utløser produksjon av cytokiner som interferon-у (IFN-у), noe som fører til makrofagaktivering. De aktiverte makrofagene produserer tumornekrosefaktor (TNF), som i sin tur stimulerer Th1-cellene. Resultatet er en positiv tilbakereguleringsmekanisme med oppregulering av begge celletypene. Kronisk cytokinstimulering gjør at makrofagene omdannes til epiteloide celler som deretter fusjonerer til multinukleære kjempeceller (1).

    En ansamling av epiteloide celler og multinukleære kjempeceller omringet av lymfocytter utgjør et granulom. Granulomatøs betennelse kan i visse tilfeller være en gunstig immunrespons mot patogener som er vanskelige å utslette, siden innkapslingen avgrenser infeksjonen og dermed forhindrer spredning og skade på nærliggende vev. Et eksempel på dette er infeksjon med mykobakterier.

    Sarkoidose kjennetegnes derimot av patologisk granulomdanning, hvor en akkumulering av multiple granulomer fører til skade i affiserte organer. Senere i forløpet ses fase to av patogenesen som kjennetegnes av differensiering av T-hjelpecellene til Th2-subtype (CD4+ Th2-celler). Cytokiner fra Th2-cellene stimulerer fibroblaster til økt kollagenproduksjon som kan resultere i fibrosedanning (1). Organdysfunksjon kan oppstå og er blant annet avhengig av størrelse, antall og lokalisasjoner av granulomer, i tillegg til eventuell fibrose.

    Ved kardial sarkoidose ser man granulomene oftest i myokard, men endokard og perikard kan også affiseres (6). Granulomdanning oppstår hyppigst i venstre ventrikkels frie vegg og/eller distale ventrikkelseptum, mens forandringer i høyre ventrikkel og atriene er mindre vanlig (6). Hjerteveggen kan være fortykket grunnet granulomatøs inflammasjon og ødem, eller tynn som følge av kardiomyocyttdød og fibrose.

    Symptomer og funn

    Symptomer og funn

    Kardial sarkoidose kan gi varierende symptombilder, avhengig av lokalisasjon og utbredelse av granulomer og fibrose (9). Noen pasienter har asymptomatiske kardiale granulomer, mens andre utvikler progredierende hjertesvikt og fatal arytmi (9). I tillegg til symptomer relatert til hjerteaffeksjon kan pasientene ha uspesifikke symptomer som feber, nattesvette og vekttap som uttrykk for underliggende kronisk inflammasjon.

    Arytmi

    Arytmi

    Arytmier forekommer hos opptil 65 % av pasienter med kardial sarkoidose (7). Ventrikulær brady- eller takyarytmi er den hyppigste dødsårsaken hos denne pasientgruppen, og det er beskrevet tilfeller av antatt arytmibetinget plutselig hjertedød som første manifestasjon av kardial sarkoidose (9).

    Tilnærmet alle typer arytmi kan oppstå. Totalt atrioventrikulært (AV) blokk er den vanligste arytmien, etterfulgt av ventrikulære arytmier som ses hos henholdsvis 30 % og 20 % av pasienter med kardial sarkoidose (8). Sarkoidose bør være en sentral differensialdiagnose hos unge pasienter som får påvist totalt AV-blokk eller ventrikkeltakykardi uten annen åpenbar årsak. Likeledes bør hjerteaffeksjon overveies hos pasienter med kjent ekstrakardial sarkoidose som synkoperer eller har andre arytmisuspekte symptomer.

    Flere mekanismer kan lede til arytmi ved kardial sarkoidose. Granulomdanning i ventrikkelseptum kan affisere ledningssystemet, mens granulomer og/eller fibrose i andre deler av myokard kan være utgangspunktet for takyarytmi gjennom reentrymekanisme eller økt fokal automatikk. Arytmier kan oppstå i alle faser av sykdommen, sekundært til utvikling av granulomer (tidlig fase) og/eller fibrose (sen fase). Det er anført at pasienter med myokardfibrose har høyest risiko for ventrikulære takyarytmier (4).

    Hjertesvikt

    Hjertesvikt

    Kardial sarkoidose kan føre til hjertesvikt gjennom flere mekanismer, og i en studie fant man redusert venstre ventrikkel-ejeksjonsfraksjon (EF < 40 %) ved ekkokardiografi hos 48 % av pasientene (10). Hjertesvikten kan være uttrykk for dilatert kardiomyopati som opptrer sekundært til en akkumulering av granulomer og/eller fibrose i ventrikkelveggen. Andre utløsende årsaker kan være takyarytmi, klaffepatologi (f.eks. grunnet affeksjon av papillemusklene), konstriktiv perikarditt eller cor pulmonale. Sistnevnte kan oppstå sekundært til affeksjon av pulmonalarterier og/eller lungesarkoidose med eller uten kardial affeksjon.

    Andre manifestasjoner

    Andre manifestasjoner

    Brystsmerter er ikke et typisk symptom ved kardial sarkoidose, men sarkoid perikarditt kan gi brystsmerter og/eller perikardeffusjon (7). Ubehandlet hjerteaffeksjon kan resultere i myokardaneurismer, som i sin tur kan forårsake arytmi og hjertesvikt (7). Noen manifestasjoner ved kardial sarkoidose kan gi et tilsvarende ekkokardiografisk bilde som ved annen patologi. For eksempel kan granulomdanning i proksimale septum feiltolkes som hypertrofisk kardiomyopati, mens atriale granulomer kan ligne myksom (9, 12).

    Utredning og diagnostikk

    Utredning og diagnostikk

    Utredningen vanskeliggjøres av uspesifikke og varierende kliniske symptombilder kombinert med undersøkelser av begrenset positiv og negativ prediktiv verdi. Det er foreslått forskjellige kliniske diagnosekriterier, blant annet fra det japanske helsedepartementet (JMHWG), World Association of Sarcoidosis and Other Granulomatous Disorders (WASOG) og Heart Rhythm Society (HRS) (4). Sistnevnte er presentert i ramme 1.

    Ramme 1 Diagnosekriterier for kardial sarkoidose, fra Heart Rhythm Society (HRS). Rammen er omarbeidet etter Hulten og medarbeidere (4)

    Histologisk diagnose (sikker kardial sarkoidose)1

    Endomyokardial biopsi med funn av granulomatøs betennelse og samtidig eksklusjon av andre granulomatøse sykdommer

    Klinisk diagnose (definert som > 50 % sannsynlighet for kardial sarkoidose)

    • Biopsiverifisert ekstrakardial sarkoidose i kombinasjon med en eller flere av følgende2:

    • Kardiomyopati eller AV-blokk med terapeutisk respons på immunsuppresjon

    • Uforklarlig redusert venstre ventrikkel-funksjon målt med ejeksjonsfraksjon (< 40 %)

    • AV-blokk grad 2 av Mobitz type II eller AV-blokk grad 3

    • Funn forenlig med kardial sarkoidose ved 18F-FDG PET

    • Sen kontratutvasking ved MR cor

    • Positivt galliumopptak i et mønster forenlig med kardial sarkoidose3

    1Histologisk diagnostikk er gullstandard, men brukes i liten grad grunnet lav sensitivitet og risiko for komplikasjoner

    2Klinisk diagnose krever eksklusjon av andre kardiale årsaker til nevnte funn

    3Nukleærmedisinske undersøkelser med galliumsitrat er blitt erstattet av MR- og PET-undersøkelse, og galliumundersøkelsen brukes nå i svært liten grad

    Hos alle pasienter med sarkoidose bør man forsøke å avdekke symptomer som kan peke i retning av kardial affeksjon, inkludert symptomer på arytmi (palpitasjoner, nær-/synkope og anstrengelsesintoleranse) og hjertesvikt (ortopné, paroksysmal nattlig dyspné, deklive ødemer og nokturi). Dyspné, som ikke samsvarer med spirometrifunn hos pasienter med lungesarkoidose, bør også vekke mistanke om mulig hjerteaffeksjon.

    Alle pasienter med sarkoidose bør vurderes for utredning med elektrokardiografi (EKG), Holter-monitorering (24-timers EKG) og ekkokardiografi (7), men det er viktig å innse at disse undersøkelsene har lav sensitivitet og begrenset diagnostisk nytteverdi.

    Pasienter med symptomer forenlig med arytmi eller hjertesvikt og/eller unormale funn ved EKG-undersøkelse, Holter-undersøkelse eller ekkokardiografi, bør henvises til videre utredning med MR-undersøkelse av hjertet (4).

    Elektrokardiografi (EKG) og Holter-monitorering

    Elektrokardiografi (EKG) og Holter-monitorering

    EKG-undersøkelse er anbefalt hos alle pasienter med ekstrakardial sarkoidose for å vurdere potensiell hjerteaffeksjon. Om lag 50 % av pasientene vil ha EKG-forandringer, som varierende grad av AV-blokkering og/eller intraventrikulære ledningshindre (8, 9). Undersøkelsen er anbefalt supplert med Holter-monitorering for å oppdage eventuelle paroksysmale arytmier.

    Ekkokardiografi

    Ekkokardiografi

    Som ledd i utredningen bør det gjennomføres ekkokardiografi for å se etter strukturell hjertesykdom, klaffepatologi, pulmonal hypertensjon og for å vurdere pumpefunksjon. Ekkokardiografi kan være normal hos pasienter med kardial sarkoidose, og undersøkelsen er dermed ikke sensitiv nok til å ekskludere hjerteaffeksjon (3).

    Magnettomografi (MR) med kontrast

    Magnettomografi (MR) med kontrast

    MR-undersøkelse av hjertet (MR cor) med intravenøs gadoliniumkontrast anses å være den beste undersøkelsen for diagnostikk av kardial sarkoidose, med en rapportert 100 % sensitivitet og 78 % spesifisitet (6). Myokarditt, hypertrofisk kardiomyopati og infiltrerende kardiomyopatier av andre årsaker kan gi tilsvarende kontrastopptak, og kan derfor bli feiltolket som kardial sarkoidose.

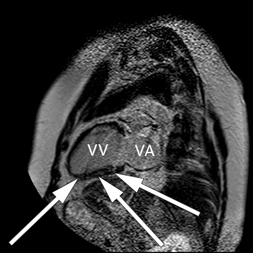
    Som ved alle andre undersøkelser er sensitivitet og spesifisitet avhengig av sykdommens prevalens, undersøkelsesmetode og legen som vurderer resultatet av undersøkelsen. Ved MR cor kan man oppdage både inflammatoriske og fibrotiske forandringer som er assosiert med kardial sarkoidose (fig 1–3) (7).

    Den aktive, inflammatoriske sykdomsfasen kjennetegnes av økt gadoliniumkontrastopptak ved tidlig undersøkelse og veggfortykkelse som oppstår sekundært til granulomatøs infiltrasjon og ødem (6, 7). Dersom pasientene har utviklet fibrotiske forandringer, vil MR-undersøkelsen vise kontrastopptak ved sen undersøkelse, kalt sen kontrastutvasking (4). Fibrotiske forandringer ved MR-undersøkelse kan være en prognostisk markør som er assosiert med ventrikulære arytmier og mortalitet (4). Fibrosen forekommer som regel ikke i klassiske arterielle forsyningsområder, i motsetning til ved aterosklerotisk hjertesykdom (5). I tillegg vil kontrastoppladningen ved et hjerteinfarkt alltid involvere subendokard (med varierende grad av transmuralitet), mens ved kardial sarkoidose kan kontrastoppladningen forekomme i alle deler av myokard (6).

    Gjentatte MR-undersøkelser kan også brukes til å vurdere behandlingsresponsen (se senere). Det finnes ingen klare retningslinjer om pasienter med sarkoidose – uten kardial kontrastoppladning – skal ha gjentatte MR-undersøkelser (4). Nyere teknikker for kvantitativ vevskarakterisering av myokard med T1- og T2-mapping kan vise endringer i myokard før kontrastoppladning er synlig (13). Betydningen av disse teknikkene for vurdering av pasienter med kardial sarkoidose er ikke avklart.

    Hovedutfordringene ved bruk av MR-undersøkelse i utredning og oppfølging av pasienter med kardial sarkoidose er begrenset tilgang til MR-apparater, i tillegg til at gadoliniumkontrast er kontraindisert hos pasienter med kronisk nyresvikt stadium 4–5 (4). Til tross for at stadig flere pasienter får MR-kompatibel pacemaker eller implanterbar defibrillator (ICD) er det fremdeles pasienter som har MR-inkompatible systemer (4, 6).

    Positronemisjonstomografi (PET) med 18F-fluorodeoksyglukose (18F-FDG PET)

    Positronemisjonstomografi (PET) med 18F-fluorodeoksyglukose (18F-FDG PET)

    Ved pågående inflammasjon vil det være økt glukoseopptak i aktiverte immunceller i affisert vev. Av denne grunn brukes PET-undersøkelse med glukoseanalogen 18F-FDG til å identifisere områder med aktiv inflammasjon. Undersøkelsen er blitt rapportert til å ha 89 % sensitivitet og 78 % spesifisitet ved kardial sarkoidose (7).

    Det virker som om 18F-FDG PET har høyest diagnostisk verdi i tidlige stadier av sykdommen, hvor immunpatologien i hovedsak består av aktiv inflammasjon fremfor fibrose (4). MR-undersøkelse er foreslått som førstevalg i diagnostikk, men kan suppleres med PET-undersøkelse i tvilstilfeller (4).

    I tillegg er PET-undersøkelse et alternativ hvis MR-undersøkelse er kontraindisert (6). Det er blitt beskrevet en sammenheng mellom tilbakegang av glukoseopptak ved gjentatte PET-undersøkelser, bedret systolisk funksjon og økt overlevelse (4). Flere studier kreves for å etablere den prognostiske verdien av gjentatte PET-undersøkelser i oppfølgingen av pasienter med kardial sarkoidose.

    Endomyokardial biopsi

    Endomyokardial biopsi

    Endomyokardial biopsi med påvisning av intrakardiale granulomer med samtidig eksklusjon av andre granulomatøse sykdommer, som tuberkulose og berylliose, regnes som diagnostisk gullstandard. Siden sarkoidose ofte rammer hjertemuskelen flekkvis er det stor sannsynlighet for en falskt negativ biopsi, og sensitiviteten er blitt angitt til kun 20 % (5). En viktig årsak til falskt negative biopsier er at predileksjonsstedene for kardial sarkoidose er basale avsnitt av hjertet og den laterale (frie) vegg av venstre ventrikkel. Dette er områder som er lite tilgjengelige for biopsi. Lav diagnostisk verdi, kombinert med assosierte komplikasjoner, gjør at undersøkelsen brukes i liten grad.

    Forslag til utredning

    Forslag til utredning

    Svensk lungemedisinsk forening publiserte i 2014 et forslag for utredning av pasienter med mistenkt kardial sarkoidose (14). Ved høstmøtet i 2015 besluttet Norsk forening for lungemedisin å støtte bruken av disse anbefalingene. Man anbefaler Holter-undersøkelse, arbeids-EKG, ekkokardiografi og MR cor hos sarkoidosepasienter med unormale EKG-funn og/eller kardiale symptomer. Ved negativt MR-resultat bør undersøkelsen gjentas etter seks måneder. Pasienter med sarkoidose med normalt EKG-funn og ingen kardiale symptomer bør screenes med EKG-undersøkelse og anamnese årlig.

    Behandling

    Behandling

    Medikamentell behandling

    Medikamentell behandling

    Det finnes ingen randomiserte kontrollerte studier knyttet til behandlingen av pasienter med kardial sarkoidose (4). Ved symptomgivende sykdom anbefaler de fleste eksperter prednisolon (0,5–1,0 mg/kg daglig) med gradvis dosereduksjon og en behandlingsvarighet på minst 6–12 måneder (15). Studier som viser gevinst av kortikosteroider til denne pasientgruppen, mangler imidlertid (4, 9).

    Langtidsbehandling med glukokortikoider gir risiko for binyrebarksvikt ved interkurrent infeksjon/akutt sykdom, i tillegg til andre steroidrelaterte bivirkninger som osteoporose og diabetes mellitus. Flere immunsupprimerende og immunmodulerende medikamenter, inkludert metotreksat og azatioprin, er blitt foreslått for å redusere den kumulative steroiddosen og assosierte bivirkninger (4), men det finnes ingen klare retningslinjer for bruk av slike steroidsparende medikamenter.

    Alle pasienter med kardial sarkoidose som gis steroidbehandling, bør gjennomføre en ny MR-undersøkelse av hjertet etter 3–6 måneder for å evaluere behandlingsresponsen (9). Dersom man ser tilbakegang av kontrastopptak i myokard, anbefales videre steroidbehandling i gradvis nedtrapping, mens man hos dem som ikke responderer, bør vurdere alternativ immunsuppresjon som metotreksat eller azatioprin (6). Hos pasienter med medikamentelt behandlingstrengende takyarytmi er amiodaron foreslått som førstevalgsantiarytmikum, men medikamentets bivirkningsprofil, inkludert lungefibrose, kan være en viktig begrensende faktor, særlig hos pasienter med samtidig lungesarkoidose (8).

    Betablokade kan vurderes ved takyarytmi og vil også være fordelaktig hos pasienter med kompensert systolisk hjertesvikt. Samtidig må man være klar over at betablokade kan medvirke til utvikling av AV-blokk (8). Sarkoidoserelatert hjertesvikt behandles som hjertesvikt av andre årsaker.

    Pacemaker og implanterbar defibrillator (ICD)

    Pacemaker og implanterbar defibrillator (ICD)

    Steroidbehandling reverserer oftest ikke AV-blokk og vil heller ikke redusere forekomsten av ventrikulære arytmier (4, 6). Ved bradyarytmi vurderes pacemakerimplantasjon etter standard retningslinjer (4). Hos pasienter med kardial sarkoidose og symptomgivende ventrikulær takyarytmi og/eller hjertestans gir man i de europeiske retningslinjene for forebygging av plutselig hjertedød en sterk anbefaling om sekundærprofylaktisk ICD-implantasjon (16).

    Ved kardial sarkoidose med arytmogen synkope eller symptomatisk hjertesvikt og EF < 35 %, tross optimal medikamentell behandling, bør implanterbar defibrillator vurderes på primærprofylaktisk grunnlag (4, 10, 16). Det samme gjelder pasienter som ved elektrofysiologiske undersøkelser demonstrerer induserbare, vedvarende ventrikulære arytmier (9).

    Prognose

    Prognose

    Hos pasienter med symptomatisk kardial sarkoidose er fem års overlevelse anslått til 40–60 % (6). Den viktigste prognostiske faktoren virker å være redusert venstre ventrikkel-funksjon målt med ejeksjonsfraksjon (EF) (9). Andre prognostiske faktorer inkluderer New York Heart Association (NYHA) funksjonsklasse, vedvarende ventrikkeltakykardi, sen kontrastutvasking ved MR cor (forenlig med fibrosedanning) og aktiv myokardial inflammasjon ved PET-undersøkelse (4).

    I den før omtalte kinesiske studien fant man at alder over 46 år ved diagnosetidspunktet og fravær av implanterbar defibrillator eller pacemaker hver for seg predikerte et statistisk signifikant dødelig utfall i løpet av seks år (10).

    Oppsummering

    Oppsummering

    Hjerteaffeksjon ved sarkoidose er assosiert med økt sykelighet og dødelighet. Kardial sarkoidose bør være en sentral differensialdiagnose hos unge pasienter med totalt AV-blokk eller ventrikkeltakykardi uten annen åpenbar årsak. Kardial affeksjon bør overveies hos alle pasienter med sarkoidose, og terskelen bør være lav for utredning ved klinisk mistanke.

    Kontrastbasert MR-undersøkelse kan vise kardiale granulomer og fibrose og kan i fremtiden få en sentral rolle i diagnostikk og valg av behandling. Anbefalinger rundt diagnostikk, behandling og oppfølging baseres i stor grad på observasjonsdata og konsensusuttalelser. Mer kunnskap kreves for å etablere diagnostiske og terapeutiske retningslinjer, og i fremtidige studier bør man rette søkelyset mot den prognostiske verdien av MR-undersøkelsen.

    Kommentarer  ( 0 )
    PDF
    Skriv ut

    Anbefalte artikler