Kronisk pankreatitt – utredning og behandling

    ()

    sporsmal_grey_rgb
    Artikkel

    Kronisk pankreatitt er en kompleks sykdom når det gjelder etiologi, sykdomsforløp og symptomer. Konsekvensen for pasienten er nedsatt livskvalitet, smerter og ernæringssvikt. Sykdommen er sannsynligvis underdiagnostisert og får for lite oppmerksomhet – det gjelder både forekomst og kliniske konsekvenser for pasientene. I artikkelen gir vi et oppdatert overblikk over sykdommen, sammen med råd for utredning og behandling av kronisk pankreatitt.

    Kronisk pankreatitt kan defineres som endestadiet i en prosess med kronisk inflammasjon, fibrose og destruksjon av normalt vev i bukspyttkjertelen (1–3). Diagnosen stilles ut fra en kombinasjon av symptomet klassiske smerter, objektive funn ved bildediagnostikk og påvisning av eksokrin og endokrin svikt (1–3). Differensialdiagnostisk må det avgrenses mot andre kroniske øvre abdominale smertesyndromer og pancreaskreft.

    Kronisk pankreatitt er sannsynligvis underdiagnostisert, og det er vanskelig å angi presise estimater for forekomst. I en europeisk studie estimeres prevalensen til 120–143/100 000, med størst hyppighet hos menn (4). Dette er betydelig høyere enn tidligere estimater (1).

    Pasienter med kronisk pankreatitt har økt risiko for pancreaskreft, med en livstidsrisiko på < 5 %. Risikoen synes hovedsakelig å være knyttet til arvelig kronisk pankreatitt (1–3). Kronisk pankreatitt har varierende presentasjon – alt fra symptomfrihet til uttalte symptomer med betydelig forringelse av livskvaliteten. Sannsynligvis bidrar spennet i klinisk presentasjon sammen med dårlig definerte kriterier for tidlig sykdom og mangelfull legesøkning hos pasienter i risikosonen til at sykdommen i mange tilfeller ikke erkjennes.

    Norsk interessegruppe for pancreassykdommer har nylig utformet en norsk veileder for behandling og oppfølging av kronisk pankreatitt (5). Denne artikkelen er basert på rådene i denne veilederen samt på anbefalinger fra internasjonale interessegrupper for pancreassykdommer.

    Klinisk presentasjon

    Klinisk presentasjon

    Sentralt i symptombildet er abdominale smerter og symptomer på eksokrin og endokrin svikt. Flertallet av dem med kronisk pankreatitt har smerter lokalisert dypt og sentralt i abdomen, med utstråling til flanke og rygg (6). Smertemønsteret kan være intermitterende, med smertefrie intervaller, eller kontinuerlig, med eller uten forverringer. Smertene kan også komme fra andre organer. De kan lede til opiatavhengighet og kan få sosioøkonomiske konsekvenser (6).

    Ved eksokrin pancreassvikt resulterer sviktende sekresjon av enzymer og bikarbonat/væske fra pancreas etter måltidene i malabsorpsjon (1–3). Symptomer som vekttap og steatoré opptrer sent i sykdomsforløpet, men kan også være til stede på diagnosetidspunktet. Mangel på fettløselige vitaminer kan ses i tidlig fase av eksokrin svikt (1–3). Eksokrin svikt ved kronisk pankreatitt oppgis i en nordisk database å ha en forekomst på 68 % (7).

    Diabetes debuterer oftest sent i forløpet, med en forekomst i den nordiske databasen på 43 % (7). Diabetes ved kronisk pankreatitt kan være av type 1, type 2 eller en mer spesifikk type 3, der manglende insulin- og glukagonproduksjon oppstår ved destruksjon av langerhansøyer som følge av pankreatitten (1, 2).

    Komplikasjoner kan gi endring i symptombildet og medfører både dårligere prognose og lavere livskvalitet. Likevel overses slike ofte, da pasientgruppen har et høyt basalnivå av symptomer. De viktigste komplikasjonene omtales i ramme 1.

    Ramme 1 Komplikasjoner ved kronisk pankreatitt

    Konkrementer og strikturer i pancreasgangen: Endring av smertekarakter og økt frekvens av akutt pankreatitt gjør at man bør være oppmerksom på obstruksjon av pancreasgang

    Pseudocyster: Kan obstruere gallegang/pancreasgang og duodenum og gi smerter, kvalme eller icterus

    Duodenal obstruksjon: Kan forårsakes av store pseudocyster/inflammatoriske masser i caput pancreatis

    Akutt pankreatitt: Pasienter med kronisk pankreatitt har økt risiko for akutt pankreatitt, som gir intermitterende sterke smerter

    Pancreaskreft: Bør vurderes ved endring i smertebilde, icterus eller plutselig vekttap

    Annet: Bakteriell overvekst, gastroparese, opiatindusert tarmparalyse, avhengighetsproblematikk, ulcussykdom og vaskulære tromboseringer er eksempler på ekstrapankreatiske komplikasjoner

    Etiologi og patofysiologi

    Etiologi og patofysiologi

    Den dominerende teorien bak pancreasskade er aktivering av trypsin, kraftig repetitiv inflammatorisk respons og sekundær vevsskade og fibrose. Den enkeltes risiko for kronisk pankreatitt ved eksponering for risikofaktorer er variabel. Et mindretall av dem med akutt sykdom utvikler kronisk pankreatitt. Årsaker til akutt og kronisk pankreatitt oppsummeres i TIGAR-O-klassifikasjonen (ramme 2). Hos 20 % finner man ikke noen sikker årsak (8).

    Ramme 2 Etiologi ved kronisk pankreatitt: Tigar-O-klassifikasjonen

    Toksisk-metabolsk: Alkohol, røyking, hyperkalsemi, hyperlipidemi, kronisk nyresvikt

    Idiopatisk: Tropisk pankreatitt, ukjent etiologi

    Genetisk: Autosomalt dominant (PRSS1-mutasjon), autosomalt recessiv/modifiseringsgener (CFTR-mutasjoner, SPINK1-mutasjoner, andre)

    Autoimmun: Type 1, type 2

    Residiverende: Postnekrotisk, vaskulær, stråleskade

    Obstruktiv: Pancreas divisum, duktal obstruksjon (konkrement, tumor, posttraumatisk), sphinchter Oddi-dysfunksjon (kontroversiell)

    Alkohol har vært ansett som viktigste årsak til kronisk pankreatitt. Nye studier viser at røyking er like viktig – og sannsynligvis en uavhengig faktor (1–3). Terskelverdien for alkoholinntak anslås til fem alkoholenheter per dag i mer enn seks år (2). Risikoen hos røykere er tredoblet. Terskelverdier er ikke avklart (2). Hyperlipidemier, hyperkalsemi, kronisk nyresvikt og medikamenter er andre årsaker til kronisk pankreatitt.

    Genetiske faktorer spiller en rolle. Arvelig sykdom karakteriseres ved akutte pankreatitter i barne- og ungdomsår og kronisk pankreatitt i 20–30-årsalderen. Disse pasientene har høy livstidsrisiko for pancreaskreft (1–3). Genetisk utredning tilbys til personer under 25 år med første gangs idiopatisk akutt pankreatitt og til dem som har flere førstegradsslektninger med kronisk pankreatitt (1–3). En rekke mutasjoner er beskrevet (2).

    Autoimmun pankreatitt er en aktuell differensialdiagnose (1, 2, 9). Denne deles inn i to typer. Type 1 er en systemsykdom som er karakterisert av IgG4-positive plasmaceller i affiserte organer og økt IgG4-nivå i serum. Type 2 er en ren pancreassykdom, uten forhøyet IgG4-nivå. Begge responderer godt på steroider. Tilbakefall etter behandling er vanligst ved type 1. Langvarig, oversett autoimmun pankreatitt kan utvikle seg til kronisk pankreatitt.

    Obstruksjon som følge av gallesten, akutte pankreatitter, svulster eller medfødte misdannelser, som for eksempel pancreas divisum, kan hindre pancreassekresjonen og gi residiverende akutte pankreatitter og etter hvert kronisk pankreatitt.

    Diagnostikk

    Diagnostikk

    Ved uttalte morfologiske forandringer stilles diagnosen på grunnlag av bildediagnostikk alene. Mer utfordrende er det når de tidlige symptomene kommer før det er radiologiske funn. Sentralt i utredningsbeslutningen er opplysninger om risikofaktorer og genetiske forhold. Kombinasjonen av endoskopisk ultralydundersøkelse og direkte funksjonstesting anses som gullstandard for diagnostikk av tidlig pankreatitt (1, 2). Gangen i diagnostiseringen presenteres i figur 1.

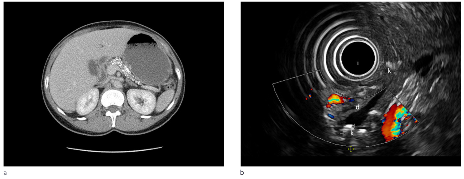
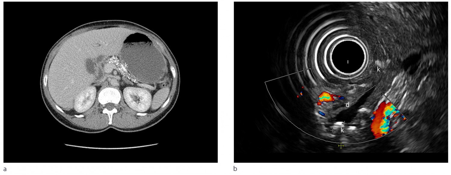
    Radiologiske modaliteter som computertomografi (CT), magnetisk resonanstomografi (MR) og endoskopisk eller ekstern ultralydundersøkelse brukes til å påvise forandringer ved kronisk pankreatitt. Ved milde forandringer er endoskopisk ultralyd den mest sensitive metoden (1, 2). Fordeler og ulemper med de enkelte metoder med eksempler presenteres i figur 2 og ramme 3.

    Ramme 3 Bildediagnostikk ved kronisk pankreatitt

    Ultralyd pancreas: Ultralyd er ofte første kliniske undersøkelse som gjøres ved smerter i øvre abdomen. Undersøkelsen kan påvise forkalkninger, cyster og større forandringer i pancreasgang

    CT pancreas: CT-undersøkelse brukes i primærutredning og er gullstandard for å påvise forkalkninger ved kronisk pankreatitt. Undersøkelsen gjøres ved endring i symptombildet for å evaluere komplikasjoner som akutte pankreatitter, cyster, konkrementer eller malignitet

    MR pancreas: Fremstiller cyster og strukturelle forandringer i vevet. MR-pankreatografi gir god fremstilling av hovedgangen, men pancreaskalk fremstilles ikke

    Endoskopisk ultralyd: Gir god fremstilling av gang- og vevsforandringer og er førstevalget ved tidlige kroniske pankreatittforandringer. Gir mulighet for biopsi av lesjoner i pancreas og tapping av pseudocyster

    Endoskopisk retrograd kolangiopankreatografi (ERCP): Gir god fremstilling av pancreasgangen. Undersøkelsen er invasiv og forbundet med risiko for pankreatitt og brukes derfor sjelden i primærdiagnostikk. Gir mulighet for å fjerne konkrementer, legge avlastende stenter og drenere pseudocyster

    Eksokrine pancreasfunksjonstester brukes i diagnostikk og i vurdering av behov for enzymterapi. Fekal elastase i avføring (FE-1, monoklonal ELISA-test) er den vanligste. En verdi < 200 µg/g indikerer eksokrin pancreassvikt. Testen har dårlig sensitivitet for tidlig pancreassvikt. Diaré kan gi falskt positiv test (1–3).

    Utvidet pancreasfunksjonstesting anvendes der det er tvil om førstelinjetesten (1, 2, 5). I Norge er endoskopisk sekretintest, c13-blandet triglyserid-pusteprøve og sekretin-MR tilgjengelig. Måling av fett i avføring over tre døgn utføres i dag sjelden (5).

    Behandling

    Behandling

    Ved kronisk pankreatitt er behandlingen hovedsakelig konservativ. Det legges vekt på forebygging, smertebehandling, pancreasenzymsubstitusjon, ernæringsråd og håndtering av diabetes (1–3). En mer aktiv tilnærming – endoskopisk eller kirurgisk intervensjon – kreves ved komplikasjoner eller når konservative tiltak ikke gir tilstrekkelig effekt.

    God smertebehandling bedrer livskvaliteten. Smerten ved kronisk pankreatitt er kompleks og kan ha pankreatiske og ekstrapankreatiske årsaker (6). Ved opptrapping av smertebehandling anvendes smertetrappen (6). Tidligere misbruksproblematikk, langvarig behandling og opiater i økende doser gir utfordringer og kan kreve samarbeid med spesialisert smerteklinikk.

    Behandling av eksokrin pancreassvikt er sentralt. Enzymsubstitusjonsbehandling startes ved vekttap eller annen indikasjon på underernæring eller malabsorpsjon. Målet er å unngå ernæringssvikt og osteoporose. Pancreasenzymsubstitusjon gis i form av kapsler som inneholder flere pancreasenzymer. Doseringen oppgis etter lipaseinnhold og tilpasses grad av svikt, symptomer og fettinntak. Vanlig dose for et hovedmåltid er 50 000 enheter lipase, den halveres til mindre måltider. Dosene kan dobles eller tredobles. Ved manglende effekt eller behov for høye enzymdoser gis protonpumpehemmer for å øke enzymenes effekt. Enzymer tas ved måltidets start (1–3).

    Pasienter med eksokrin pancreassvikt bør tilbys kostveiledning (1–3). Fettrestriksjon er ikke indisert. Ved bruk av næringstilskudd kan man velge formuleringer som absorberes lett. Tilskudd av kalsium, fettløselige vitaminer og B-vitaminer anbefales. Ved redusert næringsinntak på grunn av smerter gis adekvat smertebehandling (6).

    Diabetes ved kronisk pankreatitt behandles etter vanlige retningslinjer (10). De fleste med type 3-diabetes trenger insulin for å oppnå blodsukkerkontroll. Behandlingsinduserte hypoglykemier er vanlig, spesielt ved underernæring (1–3).

    Det bør gis råd om redusert inntak av alkohol og røykestopp/mindre røyking for å stoppe progredieringen ved tidlig sykdom og redusere symptomene ved etablert sykdom (1–3). Der det er påvist arvelig pankreatitt, bør genetisk veiledning kombineres med generelle livsstilsråd, men det finnes få tiltak for å bremse progredieringen ved denne sykdommen (1, 2).

    Behandling av komplikasjoner

    Behandling av komplikasjoner

    Ved endring i smerter, ernæring eller endokrin/eksokrin status gjøres radiologisk utredning for å avdekke komplikasjoner. Tidlig intervensjon mot reversible forandringer kan bedre prognosen og høyne livskvaliteten (1–3). Endoskopiske eller kirurgiske tiltak er aktuelt når lokale komplikasjoner gir symptomer som følge av kompresjon eller obstruksjon eller ved intraktabel smerte som ikke kan håndteres med konservative tiltak (1–3), (11). Indikasjoner for endoskopi og kirurgi bør diskuteres i multidisiplinære team.

    Symptomgivende pseudocyster dreneres med endoskopisk ultralyd, eventuelt i kombinasjon med transpapillær stent (11). Endoskopisk retrograd kolangiopankreotografi (ERCP) med papillotomi, konkrementekstraksjon/stenting er aktuelt ved papillnær obstruksjon med dilatasjon av pancreasgangen. Ekstrakorporeal sjokkbølgelitotripsi (ESWL) kan forsøkes ved større konkrementer. Vellykket dekompresjon kan motvirke ytterligere tap av eksokrint vev (11).

    Kirurgisk behandling er aktuelt ved behov for avlastning av pancreasgangen der endoskopisk behandling ikke lykkes eller som alternativ til gjentatte endoskopiprosedyrer. Kirurgisk behandling har bedre langtidseffekt på smerte enn gjentatte endoskopiske inngrep, spesielt dersom det gjøres før omfattende remodellering av smertefibre inntrer. Derfor bør kirurgi vurderes på et tidlig tidspunkt ved behandlingssvikt under konservativt regime (1, 2).

    Duodenumbevarende pancreasreseksjon og pankreatikojejunostomi (Freys prosedyre) gjøres ved dilatasjon av pancreasgangen og samtidige konkrementer/fibrose i pancreashodet (fig 3). Hepatikojejunostomi er et alternativ ved stenose i ductus choledochus. Kirurgisk gastrocystostomi gjøres der pseudocysten ikke er tilgjengelig for endoskopisk drenering. Whipples operasjon utføres ved mistanke om malignitet. I sjeldne tilfeller kan total pankreatektomi være indisert ved intraktable smerter. Øycelletransplantasjon bør da tilbys.

    Oppfølging

    Oppfølging

    Oppfølging av stabile pasienter med lavt symptomnivå kan foregå i samarbeid med primærlegen, mens pasienter med endret eller høyt symptomnivå henvises til annenlinjetjenesten. Pasientene bør følges opp regelmessig når det gjelder ernæringssvikt (vekt, fettløselige vitaminer), smerter (smerteskala) og utvikling av eksokrin og endokrin pancreassvikt (FE-1-undersøkelse årlig hos pasienter uten eksokrin svikt, HbA1C-måling to ganger årlig). Bentetthetsmålinger gjøres annethvert år hos pasienter med eksokrin svikt.

    Regelmessig radiologisk overvåkning med tanke på pancreaskreft kan være aktuelt for pasienter med arvelig kronisk pankreatitt, men det foreligger ingen konsensus om modalitet eller intervall (5).

    Konklusjon

    Konklusjon

    Kronisk pankreatitt er en livslang sykdom. Sykdommen har fått lite oppmerksomhet og er nok underdiagnostisert i Norge. Pasienter med kronisk pankreatitt har høyere dødelighet enn normalpopulasjonen.

    God oppfølging og håndtering av reversible faktorer som røyking og alkoholinntak har innvirkning på sykdomsprogredieringen, og god håndtering av smerter og ernæring forlenger livet og gir høyere livskvalitet.

    Kommentarer  ( 0 )
    PDF
    Skriv ut

    Anbefalte artikler