Perikarditt hos et nyfødt barn

    ()

    sporsmal_grey_rgb
    Artikkel

    Perikarditt med gule stafylokokker er beskrevet hos voksne (1) og barn (2). Kardiale manifestasjoner av bakteriemi med gule stafylokokker er imidlertid sjelden blant friske immunkompetente barn uten sentrale katetre (2).

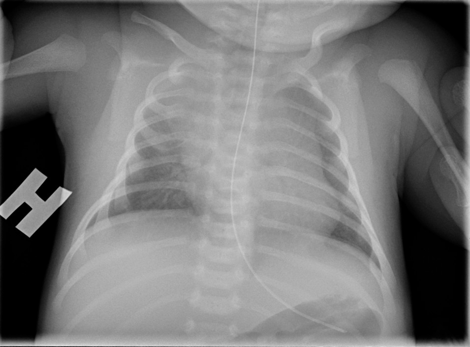
    En 14-dager gammel lett prematur gutt ble innlagt grunnet redusert matinntak og mindre spontanbevegelse av høyre arm. Klinisk undersøkelse ga upåfallende funn, bortsett fra asymmetrisk spontanbevegelse av armene. C-reaktivt protein (CRP) var 29 mg/l (< 5 mg/l), og det var normale b-leukocytter. Røntgen thorax var upåfallende (bilde 1). Dagen etter innleggelsen ga MR mistanke om bløtvevsinfeksjon langs høyre thoraxvegg, og man startet med ampicillin og gentamycin intravenøst. Barnet hadde ikke feber. Senere på dagen steg CRP til 60 mg/l, og ultralyd av brystveggen viste høyresidig subkutan inflammasjon. Det var ingen synlige inflammasjonstegn i overliggende hud, men gutten var uttalt irritabel og smertepåvirket. Klindamycin ble da lagt til opprinnelig antibiotikaregime for å dekke for nekrotiserende fasciitt.

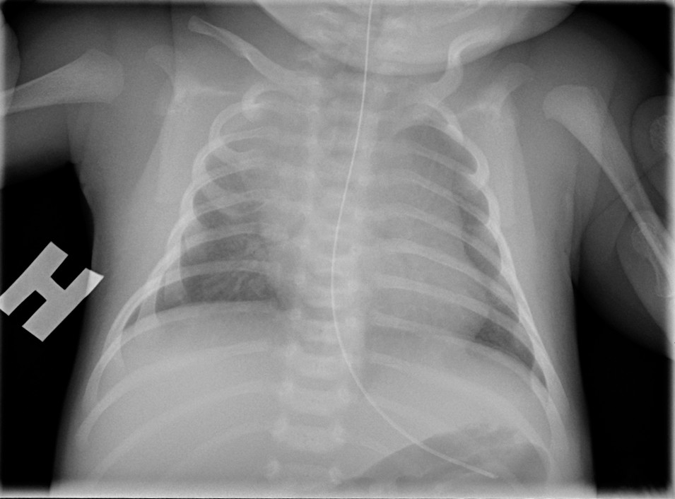
    Dag 3 brukte barnet armene sidelikt, og allmenntilstanden var god. CRP steg til 170 mg/l og det vokste gule stafylokokker i blodkultur. Dag 6 ble det observert lett påskyndet respirasjon med normal SpO2. Røntgen thorax viste betydelig breddeforøket hjerteskygge (bilde 2). CRP var da 90 mg/l. Ekkokardiografi viste perikardvæske med preg av pretamponade. Han hadde imidlertid normalt middelblodtrykk på 60 mm Hg og normal hjertefrekvens på 150–160/min. Kapillærfylningstid ble ikke målt, men barnet var klinisk velsirkulert ved overflytning til regionssykehuset, hvor det ble utført ultralydveiledet tapping av perikardvæske. Det var oppvekst av gule stafylokokker i perikardvæsken.

    Pasienten vår hadde fått seks dagers antibiotikabehandling ved forverring av tilstanden, og symptomene på kardial gjennombruddsinfeksjon var beskjedne.

    Det var ingen holdepunkter for immunsvikt. I dag, ett år etter, er gutten helt frisk.

    Pasientens foresatte har gitt samtykke til at artikkelen med røntgenbilder blir publisert.

    Kommentarer  ( 0 )
    PDF
    Skriv ut

    Anbefalte artikler