En mann i 40-årene med residiverende hjerneinfarkt

    ()

    sporsmal_grey_rgb
    Artikkel

    En mann i 40-årene ble i løpet av få måneder innlagt gjentatte ganger med nye hjerneinfarkter og transitorisk iskemisk anfall (TIA). Utredningen identifiserte to tilstander som begge kan gi hjerneinfarkt.

    En tidligere frisk mann i 40-årene ble innlagt i lokalsykehus grunnet akutt innsettende dysartri og venstresidig sentral facialisparese, parese i arm og nedsatt sensibilitet. Symptomene hadde startet da han satt på toalettet. Allerede i akuttmottaket var det spontan bedring av krafttapet i armen.

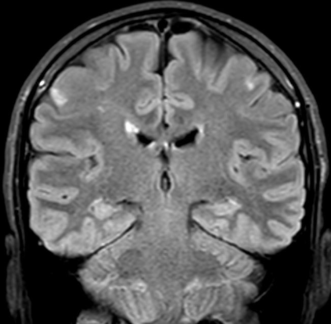
    Det var normale funn på CT caput med perfusjon og angiografi av pre- og intracerebrale kar. EKG-undersøkelse viste sinusbradykardi med normale P-bølger og PR-intervall. Trombolytisk behandling ble gitt én time og 25 minutter etter ictus. Ved undersøkelse dagen etter hadde pasienten fremdeles sentral facialisparese, moderat dysartri og redusert finmotorikk og tempo i venstre hånd. CT-kontroll 24 timer etter trombolytisk behandling viste ferskt kortikalt infarkt i høyre frontallapp.

    Pasienten hadde ingen kjente risikofaktorer for cerebrovaskulær sykdom. Han brukte ikke tobakk eller andre rusmidler, og han var fysisk svært aktiv med regelmessig høyintensitetstrening. Under sykling hadde han hatt episoder med rask puls og ubehag i brystet.

    Pasienten gjennomgikk standard basal etiologisk utredning. MR caput viste et ferskt infarkt i samme område som ved CT-kontrollen. Orienterende blodprøver var normale, inkludert kolesterol- og glukoseverdier. Det ble registrert normalt blodtrykk og normalt 24-timers-EKG. Ultralydundersøkelse av halskar viste helt normale funn. Transtorakal ekkokardiografi påviste «idrettshjerte» med normal hjertekammerfunksjon, men eksentrisk venstre ventrikkel-hypertrofi og dilatasjon av både venstre ventrikkel og atrium.

    De fleste hjerneinfarkter skyldes storkarssykdom med arterie-til-arterie-embolisering eller trombe i store kar, småkarssykdom eller kardial emboluskilde (1). Enkel standardutredning kan være tilstrekkelig til å påvise disse tilstandene, men hos yngre mennesker uten etablert karsykdom er det ofte nødvendig med utvidet utredning. Hos vår pasient ble diagnostikken supplert med flere undersøkelser.

    Utredning for protrombotiske tilstander var normal, med unntak av lett redusert verdi av komplementfaktor C3 på 0,85 (0,9–1,8). Det ble ikke påvist antinukleære antistoffer eller andre autoantistoffer ved ANA- og ANCA-screening eller ved undersøkelse av beta-2-glykoprotein og av lupusantikoagulant.

    Transøsofageal ekkokardiografi viste normalt utseende klaffer, med kun minimal funksjonell mitralinsuffisiens og aortainsuffisiens uten hemodynamisk betydning. Det var normalt innmunnende lungevener, normal strømning i venstre aurikkel og ingen intrakavitære tromber. Rett etter injeksjon av agitert saltvann var det rikelig overgang av luftboblekontrast (> 30 mikrobobler) gjennom aneurismatisk atrieseptum (fig 1, video). Kontrastovergangen ble forsterket etter Valsalvas manøver, forenlig med relativt stor persisterende foramen ovale.

    Utredningen ga ingen holdepunkter for storkars- eller småkarssykdom. Kortikalt hjerneinfarkt og funn av både «idrettshjerte» og persisterende foramen ovale tydet på kardioembolisk årsak.

    Persisterende foramen ovale er en spalteformet forbindelse i intraatriale septum. Dette er den hyppigste medfødte hjerteabnormiteten, da den persisterer som en potensiell forbindelse hos ca. 25 % av befolkningen i voksen alder (2, 3). Luftboblekontrast i perifer vene brukes for å visualisere høyre-til-venstre-shunting gjennom intraatriale septum. Transøsofageal ekkokardiografi anses å være gullstandarden for påvisning av persisterende foramen ovale, med sensitivitet og spesifisitet opp mot 100 % (4). Det antas at persisterende foramen ovale kan forårsake hjerneinfarkt ved paradoksal embolisme hvor en trombe eller annet blodbårent materiale shuntes fra den venøse til den arterielle sirkulasjonen (5).

    Paradoksal embolisme er assosiert med flere bakenforliggende tilstander. Disse kan være økt trombosetendens, for eksempel ved hyperkoagulabilitet, malignitet, i postoperativ fase eller ved langvarig sengeleie. Det kan også skyldes en høyre-til-venstre-trykkgradient, som kan oppstå ved for eksempel Valsalvas manøver eller massiv lungeembolisme (6).

    Pasienten hadde et stort persisterende foramen ovale og atrieseptumaneurisme, demonstrert ved rikelig overgang av luftboblekontrast. Symptomene oppsto i forbindelse med toalettbesøk og modifisert Valsalvas manøver. Det var derfor sannsynlig at paradoksal embolisering kunne være årsak til hjerneinfarktet.

    Ved hjerneinfarkt skal pasienten ha sekundærprofylakse med livslang platehemmende behandling eller antikoagulasjonsbehandling ved påvist kardioembolisk årsak (7). Ved persisterende foramen ovale anbefales platehemmer som sekundærprofylakse, da det ikke er vist signifikant forskjell mellom platehemmende middel og antikoagulasjonsmiddel (warfarin) med tanke på nye hjerneinfarkter (8).

    Dersom det etter hjerneinfarkt av ellers ukjent årsak hos yngre pasienter påvises stor persisterende foramen ovale, særlig i kombinasjon med atrieseptumaneurisme, er det vist at lukking av åpningen kan gi mindre risiko for nye hjerneinfarkter (9).

    Pasienten startet med klopidogrel 75 mg × 1 og ble henvist til kardiologisk avdeling for elektiv lukking av foramen ovale.

    Det var påvist «idrettshjerte». I tillegg hadde pasienten ved noen anledninger kjent rask puls og ubehag i brystet. Ervervet «idrettshjertesyndrom» som følge av mangeårig relativt intensiv utholdenhetstrening predisponerer for atrieflimmer (10).

    Atrieflimmer antas å være årsaken til omtrent en firedel av alle hjerneinfarkter. Tilstanden skal mistenkes hos blant andre eldre pasienter, hos pasienter med høy CHA2DS2-VASc-skår (skåringssystem for slagrisiko ved atrieflimmer), hos pasienter med patologiske avvik relatert til venstre atrium og hos pasienter med hyppige supraventrikulære ekstrasystoler (5).

    Grunnet terapeutiske konsekvenser er det viktig å oppdage atrieflimmer. Mange pasienter med emboliske hjerneinfarkter på grunn av atrieflimmer har imidlertid en ikke-permanent flimmer. Sannsynligheten for å oppdage anfallsvis atrieflimmer er de siste årene bedret med kontinuerlig overvåkning av hjerterytmen i form av mobil telemetriovervåkning og «cardiac implantable electrical devices», dvs. pacemakere, resynkroniseringsterapi, implanterbare defibrillatorer og implanterbare rytmeovervåkere (11).

    Det var indikasjon for langtidsovervåkning av hjerterytmen, og pasienten fikk implantert en subkutan rytmeovervåker.

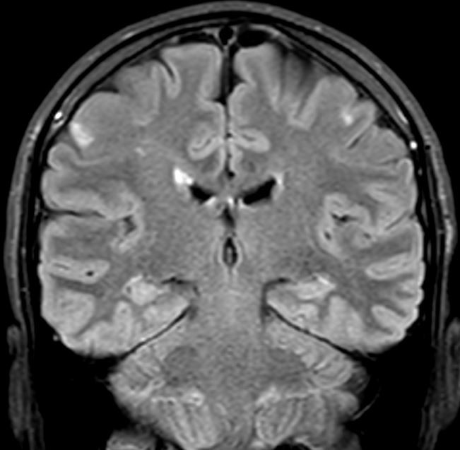
    Omtrent tre måneder senere ble han innlagt grunnet akutt oppstått dysartri, høyresidig sentral facialisparese og nedsatt sensibilitet i høyre arm. På dette tidspunktet var foramen ovale ikke lukket. Trombolytisk behandling ble ikke gitt grunnet rask tilbakegang av symptomene.

    Diffusjonsvektet MR-undersøkelse viste små, ferske infarkter kortikalt i venstre frontallapp (fig 2). Registreringen fra rytmeovervåkeren påviste ikke atrieflimmer. D-dimer var normal. Ultralyd av underekstremitetene viste ingen tegn til venetromboser. Gentest påviste normal aktivitet i CYP2C19, som metaboliserer klopidogrel. På grunn av små emboliske infarkter under pågående behandling med platehemmer ble platehemmeren byttet ut med et antikoagulasjonsmiddel (dabigatran 150 mg × 2).

    Ettersom det ikke ble avdekket atrieflimmer i forbindelse med det nye hjerneinfarktet, ble mistanken om en symptomgivende foramen ovale ytterligere forsterket. Utredningen påviste imidlertid ingen venøs trombe som kilde til paradoksal embolisering.

    The American Academy of Neurology foreslo i retningslinjer fra 2016 at det tilbys antikoagulasjonsbehandling til pasienter med kryptogene hjerneinfarkter og persisterende foramen ovale ved infarktresidiv under pågående platehemmende behandling (12).

    To uker senere ble pasienten innlagt enda en gang, på grunn av et 15 minutter langt transistorisk iskemisk anfall med parese og nedsatt sensibilitet i venstre ben og venstre arm. Nevrologisk undersøkelse var normal, og akutt CT caput viste ingen nye endringer. Atrieflimmer ble fortsatt ikke påvist ved gjennomgang av rytmeovervåkeren. Det forelå ingen mistanke om at pasienten ikke tok sine medisiner. Dabigatran ble byttet ut med apiksaban 5 mg × 2.

    En uke senere, fire måneder etter første hjerneinfarkt, ble foramen ovale lukket med Amplatzer-propp 5/5 ved regional kardiologisk avdeling. Det var en ukomplisert prosedyre og et tilfredsstillende resultat. Ekkokardiografi etter prosedyren viste ingen shunt over atrieseptum, og Amplatzer-proppen var i god posisjon.

    Det ble anbefalt platehemmende middel i form av acetylsalisylsyre 75 mg × 1 på ubestemt tid samt klopidogrel 75 mg × 1 i tre måneder. Videre ble det anbefalt transtorakal ekkokardiografi etter én måneds tid samt innkalling til nevrologisk poliklinikk etter tre måneder. Kontroll med transøsofageal ekkokardiografi med luftboblekontrast skulle gjøres etter ett år.

    Omtrent 14 dager etter lukkingen oppsøkte pasienten den lokale legevakten på grunn av hjertebank og uro i kroppen. EKG-undersøkelse viste atrieflimmer. Legevaktlegen i samråd med kardiolog startet behandling med metoprolol 50 mg × 1 og apiksaban 5 mg × 2 i tillegg til klopidogrel 75 mg × 1. Acetylsalisylsyre ble seponert.

    Ved gjennomgang av rytmeovervåkeren fant man atrieflimmer fra dagen før pasienten oppsøkte legevakten. Senere ble det utført MR cor, som viste dilaterte ventrikler med normal ejeksjonsfraksjon, uten synlige arr- eller ødemforandringer eller tegn til myokarditt.

    Diskusjon

    Diskusjon

    Det er flere mulige årsaker til hjerneinfarkt. Å finne den optimale sekundærprofylaktiske behandlingen avhenger av at man har identifisert den sannsynlige årsaken. Dersom man til tross for adekvat utredning ikke identifiserer hjerneinfarktets etiologi, blir årsaken klassifisert som kryptogen.

    Kryptogene hjerneinfarkter utgjør omtrent 25 % av alle hjerneinfarkter. De fleste av disse har utseende som et embolisk infarkt. Embolisk hjerneslag av ukjent årsak (embolic strokes of undetermined source, ESUS) foreligger ved fravær av små, sentralt beliggende infarkter, signifikante stenoser og kardiale tilstander med høy risiko for embolisme, som ved atrieflimmer. Hos mange pasienter er det flere potensielle årsaker til embolisme (13).

    Utredningen ga tidlig mistanke om kardioembolisk årsak – på grunn av flere kortikale infarkter oppstått til forskjellig tid, i ulike kargebeter i begge hemisfærer og med samtidige strukturelle hjerteforandringer i form av «idrettshjerte» og persisterende foramen ovale. Langtids hjerterytmeregistrering viste initialt ingen atrieflimmer, til tross for nye cerebrovaskulære hendelser, og persisterende foramen ovale ble derfor ansett som sannsynlig årsak.

    Persisterende foramen ovale er et vanlig funn og gir ikke økt risiko for hjerneinfarkt (14). Hos pasienter med kryptogene hjerneinfarkter er det likevel vist økt hyppighet hos både yngre og eldre, noe som tyder på at det foreligger en assosiasjon mellom persisterende foramen ovale og hjerneinfarkt (15). Årsakssammenhengen er fremdeles uklar og sannsynlig multifaktoriell, blant annet via paradoksal embolisme og trombedanning in situ (2).

    Utfordringen er å identifisere subgruppen av pasienter med kryptogent hjerneinfarkt der persisterende foramen ovale er årsaken. Lav alder, fravær av vaskulære risikofaktorer og tidligere hjerneslag/TIA samt tilstedeværelse av kortikalt hjerneinfarkt er sterkt assosiert med tilstedeværelse av slagrelatert persisterende foramen ovale. Disse faktorene inngår i skåringssystemet RoPE (Risk of Paradoxical Embolism) (16).

    Skåringen er kun nyttig dersom det ikke er andre plausible årsaker til hjerneinfarktet, noe det i praksis kan være vanskelig å forsikre seg om. Det er også en utfordring å identifisere hvilken subgruppe av pasienter med persisterende foramen ovale som har økt risiko for hjerneinfarkt. Hjerneinfarktrisikoen er vist å være assosiert med yngre pasienter, med størrelsen på åpningen og med tilstedeværelse av atrieseptumaneurisme (3).

    Hva som er optimal behandling ved persisterende foramen ovale, er fortsatt kontroversielt. Det er ikke indisert med forebyggende tiltak eller behandling av asymptomatiske individer der tilstanden blir oppdaget tilfeldig (14). Per i dag anbefales det platehemmende behandling fremfor antikoagulasjonsbehandling som sekundærprofylakse, såfremt det ikke samtidig foreligger tilstander hvor antikoagulasjonsbehandling er indisert (12).

    De siste tiårene har det vært en økende tendens til en praksis med kateterbasert lukking av foramen ovale, men så langt er det ingen konsensus vedrørende lukking versus medikamentell behandling. Inntil nylig har randomiserte, kontrollerte studier og en metaanalyse av disse ikke vist signifikant fordel av lukking fremfor medikamentell behandling (17).

    Ifølge The American Academy of Neurologys retningslinjer fra 2016 skal det derfor ikke rutinemessig tilbys lukking av persisterende foramen ovale til pasienter med kryptogene hjerneinfarkter med mindre det foreligger residiverende infarkter uten andre forklarende årsaker på tross av adekvat medisinsk behandling (12). European Stroke Organisation anbefalte i 2016 lukking av persisterende foramen ovale ved kryptogent hjerneinfarkt i utvalgte tilfeller hvor den er sannsynlig årsak i henhold til RoPE-skåren (14).

    Studiene disse anbefalingene er basert på, er imidlertid preget av en rekke begrensninger, som små studiepopulasjoner med lav hendelsesrate og høyt frafall. Videre er studiene vanskelig sammenlignbare grunnet forskjellige inklusjonskriterer og ulike primære endepunkter samt bruk av forskjellige propper og medikamenter (18).

    I 2017 ble det publisert resultater fra tre randomiserte studier (Close, Gore-REDUCE og RESPECT) (9, 19, 20). Disse er i større grad sammenlignbare og viser signifikant redusert risiko for nye hjerneinfarkter etter lukking av persisterende foramen ovale sammenlignet med medikamentell behandling. Dette gjaldt spesielt foramen ovale karakterisert av moderat til høy grad av høyre-til-venstre-shunting og/eller atrieseptumdefekt. Resultatene fra disse studiene vil sannsynligvis endre klinisk praksis hos utvalgte pasienter med kryptogene hjerneinfarkter med foramen ovale med høy risiko. Dette vil medføre at flere i fremtiden vil bli henvist til lukking.

    Vår pasient ble allerede etter første hjerneinfarkt henvist til vurdering av lukking av foramen ovale. Bakgrunnen for dette var høy RoPE-skår kombinert med relativt stor foramen ovale med atrieseptumaneurisme med rikelig luftboblekontrastovergang. Pasienten fikk likevel påvist atrieflimmer kort tid etter lukkingen. «Idrettshjerte» predisponerer for atrieflimmer (10), og det kan ikke utelukkes at pasienten har hatt kortvarige, asymptomatiske episoder med atrieflimmer som ikke er blitt fanget opp av rytmeovervåkeren på grunn av dennes tekniske egenskaper (21).

    Samtidig tyder en relativt ny studie på at det ikke foreligger en direkte tidssammenheng mellom subklinisk atrieflimmer og hjerneinfarkt (22). Lukking av persisterende foramen ovale er også assosiert med økt risiko for atrieflimmer, men dette er vanligst under selve prosedyren (9, 19, 20). Det kan tenkes at lukking hos en pasient med hjertehypertrofi og dilaterte hjertekamre medfører ytterligere økt risiko for atrieflimmer. Det kan heller ikke utelukkes at persisterende foramen ovale er en selvstendig strukturell risikofaktor for utvikling av atrieflimmer (23).

    Konklusjon

    Konklusjon

    Sykehistorien illustrerer hvor utfordrende utredning av hjerneinfarkt kan være. Grundig og tilpasset utredning er indisert når etiologisk diagnose har konsekvenser for best mulig risikoreduksjon. Det er viktig å forebygge hjerneslag og sikre fremtidig hjernehelse, spesielt hos yngre pasienter.

    Hos vår pasient er det usikkert om persisterende foramen ovale og atrieflimmer er to uavhengige årsaksmekanismer eller om de utgjør én felles bakenforliggende tilstand. Årsakssammenhengen mellom persisterende foramen ovale og hjerneinfarkt er fremdeles ikke tilstrekkelig klarlagt. Det er ikke vist at persisterende foramen ovale er en direkte årsak til hjerneinfarkt, men det foreligger en assosiasjon som sannsynligvis er multifaktoriell. Manglende kunnskap om sammenhengen mellom persisterende foramen ovale og hjerneinfarkt bidrar til uavklarte spørsmål vedrørende anbefalt utredning og behandling av disse pasientene.

    Pasienten har gitt samtykke til at artikkelen og bildene blir publisert.

    Vi takker overlege i radiologi Svetozar Zarnovicky ved Akershus universitetssykehus for hjelp til å finne et illustrerende MR-bilde.

    Kommentarer  ( 2 )
    PDF
    Skriv ut

    Anbefalte artikler