Cerebral venetrombose – forekomst, diagnostikk og behandling

    ()

    sporsmal_grey_rgb
    Artikkel

    Cerebral venetrombose er en sjelden tilstand, men likevel blant de vanligste årsakene til hjerneslag hos mennesker under 45 år. Tilstanden kan by på utfordringer for klinikere.

    Diagnostisering og håndtering av cerebral venetrombose er fra tidligere godt beskrevet i den internasjonale forskningslitteraturen (1–3). En rekke studier og oppdaterte internasjonale retningslinjer har kommet de siste årene. På bakgrunn av dette har vi skrevet en kort klinisk oversiktsartikkel på norsk. Artikkelen bygger på et skjønnsmessig utvalg av litteratur fra PubMed og forfatternes kliniske erfaring.

    Forekomst

    Forekomst

    Forekomsten av cerebral venetrombose er lenge blitt estimert til rundt 0,3–0,5/100 000/år, men i nyere studier har forskerne funnet en høyere forekomst på rundt 1–1,5/100 000/år (3, 4). Hvorvidt denne endringen skyldes en reell økt forekomst eller bare mer søkelys på diagnosen, i tillegg til bedre og mer tilgjengelig bildediagnostikk, er uvisst. Cerebral venetrombose utgjør på verdensbasis under 1 % av alle hjerneslag.

    Forekomsten varierer i ulike deler av verden, med høyere insidens i Asia, Midtøsten og Afrika (3, 4). Dette skyldes sannsynligvis økt forekomst av kjente risikofaktorer, som flere graviditeter, ubehandlede inflammasjonstilstander, skader og infeksjoner i sentralnervesystemet. Risikofaktorer og årsaker til cerebral venetrombose er venøs tromboembolisme, svangerskap, østrogenbehandling/p-piller, trombofili (særlig antitrombinmangel, protein C- og S-mangel og faktor V Leiden-mutasjon), hyperkoagulabilitet som ledd i inflammatorisk sykdom, hodetraume, lokale infeksjoner og underliggende kreftsykdom (3, 5, 6).

    Tilstanden er tre ganger så hyppig hos kvinner i fertil alder som hos menn, sannsynligvis på grunn av graviditet og bruk av p-piller (7).

    Patofysiologi

    Patofysiologi

    Det cerebrale venesystemet er bygd opp av et overfladisk og et dypere venesystem (fig 1) (3, 8).

    En obstruksjon som følge av en venøs trombe i durale/kortikale vener eller venesinus (fig 2) vil gi økt venøst trykk og redusert kapillær perfusjon. Dette vil initialt bli kompensert via det omfattende cerebrale kollaterale nettverket, men når kapasiteten også i dette nettverket overskrides, vil det utvikle seg venøs stase, økt intramuralt trykk, skade på venene og blod-hjerne-barrieren, og dermed utvikling av vasogent ødem og hemoragiske infarkter. I tillegg vil den reduserte cerebrale perfusjonen føre til cytotoksisk ødem og ytterligere økning av intrakranialt trykk. Obstruksjon av cerebrale sinuser kan også resultere i redusert absorbsjon av cerebrospinalvæske og dermed ytterligere økt intrakranialt trykk.

    Klinisk presentasjon

    Klinisk presentasjon

    Symptomdebuten kan være akutt, subakutt eller kronisk, og presentasjonen er svært variabel (3, 5, 8). Forsinket diagnose er ikke uvanlig (9). Hodepine er rapportert som debutsymptom hos 60–90 % av pasientene, men i motsetning til for eksempel subaraknoidalblødning debuterer hodepinen vanligvis i en subakutt form som utvikler seg over flere dager, selv om også akutt hodepine er rapportert.

    Hodepinen kan være både pressende og pulserende, ensidig eller bilateral. Fokale eller generaliserte krampeanfall forekommer hos 30–40 % av pasientene, noe som er betydelig hyppigere enn ved arterielle hjerneinfarkter (2–9 %) og ved intracerebral blødning (8–14 %) (3, 10). Papilleødem grunnet økt intrakranialt trykk er rapportert hos 30–60 % (3). Fokalnevrologiske utfall er beskrevet hos 30–50 %, og det vanligste er kraftnedsettelse (monoparese eller hemiparese). Omtrent 10 % av pasientene er komatøse ved diagnosetidspunktet (3, 5, 6).

    De ulike anatomiske plasseringene av tromben gir ulike kliniske presentasjoner (3). Pasienter med trombeplassering i en større venesinus opplever vanligvis hodepine, kvalme, papilleødem, redusert visus og varierende grad av bevissthetspåvirkning på grunn av intrakranial hypertensjon. Ved trombe i de mer overfladiske venene og ved kortikale/subkortikale lesjoner oppstår ofte krampeanfall og andre fokalnevrologiske utfall. En trombe i de dypere venene kan gi ødem i området rundt basalgangliene og thalamus med encefalopati, endret mental status, lateraliserte symptomer, bevegelsesforstyrrelser og eventuelt koma. Trombe i sinus cavernosus gir først og fremst retrobulbær smerte og oftalmoplegi.

    Utredning og diagnostikk

    Utredning og diagnostikk

    Nyoppstått, ikke-anfallspreget hodepine assosiert med nevrologiske utfall skal alltid utredes. Anamnestisk bør cerebral venetrombose mistenkes ved ny progredierende hodepine, og spesielt ved kjent predisponerende trombofili, graviditet, barsel eller hormonell prevensjon. Ingen spesifikke laboratorieprøver bekrefter diagnosen (1, 2). Forhøyet D-dimernivå kan støtte diagnosen, men et normalt D-dimernivå er ikke tilstrekkelig til å utelukke tilstanden (11). Sensitiviteten ved måling av D-dimernivå er 93,9 %, og spesifisiteten er 89,7 % hos personer med mistenkt cerebral venetrombose, dog lavere ved isolert hodepine eller hvis symptomene varer mer enn én uke (11).

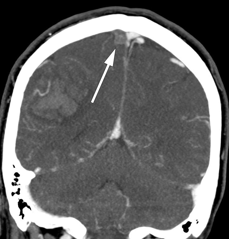
    Ved sterk klinisk mistanke om cerebral venetrombose, eller dersom man på CT caput finner lobære parenkymblødninger eller infarktforandringer som ikke følger de vanlige arterielle kargebetene, må cerebral venetrombose mistenkes og ytterligere bildeundersøkelser gjennomføres (1–3). CT caput uten kontrast har dårlig sensitivitet (40–70 %), og tillegg av intravenøs kontrast kan vise en hyperdens fyllingsdefekt i venesinusene (inkludert såkalt tomt deltategn i sinus sagittalis superior), men fortsatt ser man verken direkte eller indirekte tegn på cerebral venetrombose ved CT-undersøkelse hos mer enn 30 % (3, 12).

    Både CT- og MR-venografi kan bekrefte diagnosen cerebral venetrombose, men MR-venografi er trolig mer sensitiv i den akutte fasen (3, 13, 14). Hjerneparenkymet, venøse infarkter og blødninger blir bedre fremstilt ved MR-venografi slik at dette er den foretrukne modaliteten (1). Venøse infarkter forekommer hos omtrent 60 % av pasientene og avviker fra de arterielle infarktene ved at deres utstrekning går utover de vanlige kargebetene (3).

    Nesten to tredeler av de venøse infarktene har en hemoragisk komponent med betydelig større ødem enn ved arterielle infarkter. Nytten av transkranial doppler ved cerebral venetrombose er ikke undersøkt systematisk, og invasiv konvensjonell utredning har man stort sett ikke behov for.

    Tidligere anbefalte man å undersøke alle for trombofili, men på grunn av svak evidens har man gått bort fra denne anbefalingen i de europeiske retningslinjene (1). Ved kjent familiehistorie, ung alder eller fravær av andre kjente utløsende faktorer anbefaler vi å teste for medfødt trombofili (aktivert protein C-resistens, faktor V Leiden-mutasjon, antitrombin III-, protein C- og protein S-mangel eller mutasjon i protrombingenet) og systemiske inflammatoriske tilstander assosiert med hyperkoagulabilitet (ANA, ANCA og lupus antikoagulant). Testene for antitrombin III, protein C og S er uspesifikke i akuttfasen og bør utsettes til minst fire uker etter avsluttet antikoagulasjonsbehandling.

    Spinalpunksjon og undersøkelse av cerebrospinalvæsken er ikke indisert ved utredningen av cerebral venetrombose. Man anbefaler heller ikke rutinemessig å screene pasientene for underliggende kreftsykdom (1).

    Behandling

    Behandling

    Det foreligger retningslinjer for behandling av cerebral venetrombose fra European Stroke Organisation (ESO)/European Academy of Neurology (EAN) og American Heart Association/American Stroke Association (1, 2), men data på behandling fra Norge mangler.

    Vi er helt samstemt med de internasjonale retningslinjene om at pasienter med cerebral venetrombose bør håndteres i en slagenhet. I behandlingen bør man konsentrere seg om antikoagulasjon og symptomhåndtering, for på den måten å forebygge komplikasjoner og død.

    Til tross for at nesten to tredeler av pasientene har venøse hemoragiske infarkter i akuttfasen, er antikoagulasjon med lavmolekylært heparin anbefalt behandling for alle, også gravide (dalteparin 100 IE/kg x 2 eller enoksaparin 1 mg/kg x 2) (1). Anbefalingen bygger på to små, randomiserte, kontrollerte studier som viste en ikke-signifikant klinisk forskjell mellom lavmolekylært heparin og placebo, men like viktig at heparin ikke ga økt andel blødninger (15).

    Etter initial antikoagulasjon med lavmolekylært heparin anbefales overgang til vitamin K-antagonist (warfarin) i løpet av noen få dager. På grunn av manglende randomiserte studier er det usikkerhet knyttet til varigheten av warfarinbehandlingen. Det pågår for tiden en internasjonal multisenterstudie hvor man sammenligner 3–6 versus 12 måneders behandlingstid, men foreløpig anbefales 3–6 måneder ved funn av forbigående årsak til cerebral venetrombose (for eksempel graviditet), og 6–12 måneder hvis det ikke er en kjent utløsende årsak (1). Behandlingsmålet er en INR-verdi på 2,5 (1).

    Ved gjentatte cerebrale venetromboser, erkjent trombofili eller flere protrombotiske tilstander må det gjøres en grundig vurdering med tanke på en livslang antikoagulasjonsbehandling. Det foreligger per dags dato ikke nok kunnskap om dette, og man må basere seg på retningslinjer som ved annen venøs tromboembolisme (1).

    Det foreligger ingen studier med de nye direktevirkende perorale antikoagulasjonsmidlene (direct oral anticoagulants, DOAK), og foreløpig er kun kasuistikker beskrevet i litteraturen (1). Det pågår for tiden minst tre DOAK-studier, der resultatene er ventet i 2018–20 (3).

    Det er ingen evidens for systemisk intravenøs trombolyse ved cerebral venetrombose (16). Trombektomi og annen endovaskulær behandling, som stenting, har for svak evidens til rutinemessig bruk, men kan benyttes i spesielle tilfeller der alvorlig klinisk forverring oppstår til tross for full medisinsk behandling (1, 17).

    Uavhengig av behandling viser studier delvis eller komplett rekanalisering hos 50–90 % (3). Rekanaliseringen skjer over tid, og bildemessig bedring er observert så lenge som 11 måneder etter debut. Den kliniske betydningen av dette er uviss, da funnene fra studier hvor man sammenligner rekanaliseringsgrad med prognose, er sprikende, og det er brukt ulike målemetoder og klassifikasjoner i studiene (3).

    Økt intrakranialt trykk er vanlig i den akutte fasen av cerebral venetrombose. Hodepine, som følger av økt intrakranialt trykk, kan behandles med smertestillende legemidler, mens steroider og acetazolamid ikke lenger rutinemessig anbefales for trykkreduksjon på grunn av svak evidens (1). Kirurgisk dekompresjon ved økt intrakranialt trykk og truende transtentorial cerebral herniering kan være livreddende behandling i akuttfasen (1, 18). Omtrent 15 % av pasientene får obstruktiv hydrocephalus på grunn av cerebralt ødem, men ventrikuloperitoneal shunt anbefales ikke rutinemessig (1).

    Pasienter med krampeanfall i forløpet bør behandles med antiepileptika (10). De med krampeanfall i akuttforløpet og/eller parenkymale blødninger har økt risiko for nye anfall. Optimal behandlingsvarighet med antiepileptika er ukjent. De tidligere retningslinjene anga ett år, men denne anbefalingen er fjernet da det ikke finnes sikker evidens for nytten av dette (1).

    Synsfeltutfall ved cerebral venetrombose går vanligvis tilbake, og < 10 % får vedvarende redusert syn (3).

    Det er ingen konsensus om kontrollopplegg etter gjennomgått cerebral venetrombose. Erfaringsmessig varierer både behovet og nytten av slike kontroller fra pasient til pasient, men vi mener at det bør være en klinisk kontroll etter tre måneder. Videre kontroller må individualiseres, men det er rimelig med kliniske kontroller så lenge pasienten står på antikoagulasjon og/eller antiepileptika.

    Nytten av MR-kontroller er uavklart, og disse medfører sjelden behandlingsmessige konsekvenser. Vi finner det likevel rimelig å vurdere en kontroll-MR-venografi etter seks måneder, først og fremst for å ha en ny MR-undersøkelse i etterkant av den akutte hendelsen, som et utgangspunkt hvis pasienten skulle få nye symptomer på cerebral venetrombose.

    Forløp og prognose

    Forløp og prognose

    På lik linje med den kliniske presentasjonen er det kliniske forløpet ved cerebral venetrombose uforutsigbart og veldig variabelt (3, 6, 19). Omtrent én av fire pasienter opplever en forbigående forverring i akuttfasen. På grunn av de ulike patofysiologiske mekanismene som ligger til grunn for henholdsvis arterielle og venøse infarkter, er prognosene svært ulike og gjennomgående betydelig bedre ved cerebral venetrombose enn ved iskemiske infarkter (3). Omtrent én av ti pasienter har vedvarende nevrologiske utfall, som språkproblemer og sensoriske og motoriske symptomer ved ettårsoppfølging (20, 21). Imidlertid opplever omtrent halvparten av pasientene mer kroniske, ukarakteristiske symptomer som vedvarende hodepine, tretthet, depresjon eller subtile nevropsykologiske problemer. I internasjonale studier er det vist at 20–40 % av pasientene ikke kommer tilbake i arbeid og/eller samme stillingsprosent som før sykdomsdebut (20, 21).

    Risikofaktorer for dårligere utfall er høy alder, mannlig kjønn, psykisk lidelse, større hemoragisk infarkt, intrakranial blødning og koma i forløpet, infeksjon i sentralnervesystemet og underliggende kreftsykdom (3, 5, 6).

    Mortaliteten i akuttfasen er anslått til 4–5 % (3, 22). Den vanligste dødsårsaken i akuttfasen er transtentorial herniering (30–50 %), mens status epilepticus og medisinske komplikasjoner, som sepsis og lungeemboli, er andre vanlige årsaker til tidlig død (3). Totalmortaliteten er cirka 10 %, og omtrent halvparten av dødsfallene skyldes en underliggende tilstand, oftest kreftsykdom.

    Risikoen for en ny cerebral venetrombose etter en første episode er høyest i løpet av det første året, men fortsatt beregnet til mindre enn 5 % (3, 6). Kvinner som har gjennomgått cerebral venetrombose, anbefales å unngå østrogenholdige prevensjonsmidler (1). Risikoen for ny cerebral venetrombose i forbindelse med svangerskap hos kvinner som har gjennomgått cerebral venetrombose i tidligere graviditet, anses som lav. Nye svangerskap frarådes ikke, men lavmolekylært heparin bør benyttes som forebyggende behandling gjennom svangerskap og barselperiode.

    Konklusjon

    Konklusjon

    Cerebral venetrombose er en sjelden, men fryktet tilstand som man lett kan overse i akuttfasen på grunn av et svært variert klinisk bilde. Ved subakutt hodepine ledsaget av andre fokalnevrologiske utfall, kramper eller endret bevissthet må diagnosen mistenkes.

    Vi takker nevroradiolog Svetozar Zarnovicky ved Radiologisk avdeling, Akershus universitetssykehus for hjelp med bildet som illustrerer denne artikkelen.

    Kommentarer  ( 0 )
    PDF
    Skriv ut

    Anbefalte artikler