- 1.
Bush CK, Kurimella D, Cross LJ et al. Endovascular treatment with stent-retriever devices for acute ischemic stroke: a meta-analysis of randomized controlled trials. PLoS One 2016; 11: e0147287. [PubMed][CrossRef]
- 2.
Rodrigues FB, Neves JB, Caldeira D et al. Endovascular treatment versus medical care alone for ischaemic stroke: systematic review and meta-analysis. BMJ 2016; 353: i1754. [PubMed][CrossRef]
- 3.
Helsedirektoratet. Nasjonal faglig retningslinje for behandling og rehabilitering ved hjerneslag. https://helsedirektoratet.no/retningslinjer/hjerneslag (25.7.2018).
- 4.
Myren-Svelstad S, Hammer TA, Idicula TT. Early thrombectomy of a proximal middle cerebral artery occlusion leading to complete recovery with no infarct. Case Rep Neurol 2017; 9: 76 - 80. [PubMed][CrossRef]
- 5.
Froehler MT, Saver JL, Zaidat OO et al. Interhospital transfer before thrombectomy is associated with delayed treatment and worse outcome in the STRATIS Registry (Systematic Evaluation of Patients Treated With Neurothrombectomy Devices for Acute Ischemic Stroke). Circulation 2017; 136: 2311 - 21. [PubMed][CrossRef]
- 6.
Nogueira RG, Jadhav AP, Haussen DC et al. Thrombectomy 6 to 24 hours after stroke with a mismatch between deficit and infarct. N Engl J Med 2018; 378: 11 - 21. [PubMed][CrossRef]
- 7.
Berkhemer OA, Fransen PS, Beumer D et al. A randomized trial of intraarterial treatment for acute ischemic stroke. N Engl J Med 2015; 372: 11 - 20. [PubMed][CrossRef]
()
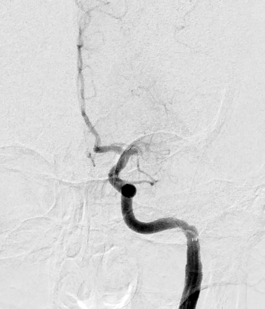
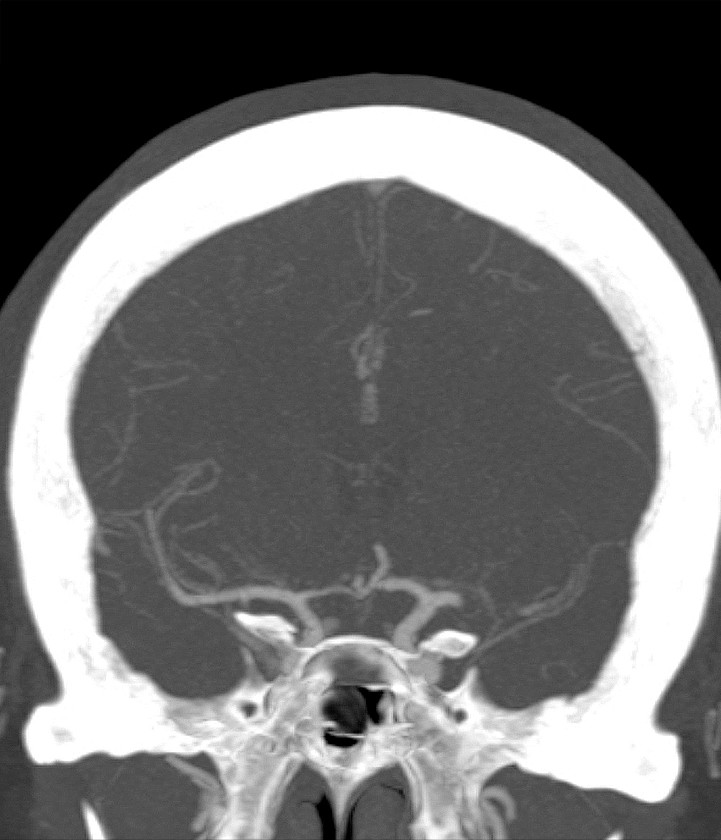
Vi vil takke for en fin kasuistikk som til fulle viser hvilket potensiale mekanisk rekanalisering (trombektomi) har ved cerebral storarterieokklusjon. Antall som må behandles for én pasient skal komme gjennom et hjerneinfarkt med mindre grad av funksjonshemming (Number Needed to Treat, NNT), er 2,6. I Norge gjennomføres trombektomi per dags dato ved fem sykehus, og to nye sykehus skal starte med trombektomi fra neste år.
De fem store randomiserte trombektomi-studiene inkluderte hovedsakelig pasienter med større nevrologiske utfall. De fleste studiene hadde NIHSS-skår på minst 6 som nedre grense mens MR CLEAN-studien inkluderte pasienter med NIHSS-skår på minst 2 (1). Etter publiseringen av disse studiene er det blitt rutine å trombektomere pasienter også med lettere utfall. I metaanalysene hadde 581 pasienter NIHSS-skår < 8 og 413 pasienter NIHSS-skår ≤ 5. De som ble behandlet med trombektomi, hadde signifikant bedre funksjonsnivå etter 3 måneder sammenliknet med dem som kun fikk medisinsk behandling (2, 3).
Ved St. Olavs Hospital synes man å ha en meget konservativ utvelgelse av pasienter for trombektomi. Forfatterne skriver at behandlingen vanligvis ikke gjøres ved NIHSS-skår < 10. Vi mener i overenstemmelse med publiserte metaanalyser at en slik høy grense for intervensjon gjør at endel pasienter går glipp av svært viktig akuttbehandling. Målet med trombektomi er å begrense skadevolumet i hjernen, ikke å reperfundere et hjernevolum som allerede er nekrotisk. Ved de andre trombektomi-sentrene i Norge vektlegges derfor CT/MR penumbra-vurdering, kollateralsirkulasjon og eventuelt diffusjonsfunn på MR sterkere enn selve NIHSS-skåren når indikasjonen for trombektomi stilles. I OUS-materialet fra 2017 hadde 39 av totalt 120 pasienter (32,5 %) NIHSS-skår < 10 på indikasjonstidspunktet (abstrakt presentert på Nevrodagene 2018 ved B. Enriques og medforfattere). Disse hadde klinisk og radiologisk et stort truet penumbravolum. Ved å bruke høy NIHSS-skår som indikasjon og ikke en individuell fysiologisk tilnærming vil trolig for få pasienter bli behandlet og det samlete resultatet etter trombektomi bli vesentlig dårligere enn det kunne ha vært.
Litteratur
1. Berkhemer OA, Fransen PS, Beumer D et al. A randomized trial of intraarterial treatment for acute ischemic stroke. N Engl J Med. 2015 Jan 1;372(1):11-20.
2. Xiong Y-J, Gong J-M, Zhang Y-C et al. Endovascular thrombectomy versus medical treatment for large vessel occlusion stroke with mild symptoms: A meta-analysis. PLoS ONE 13(8): e0203066.
3. Griessenauer CJ, Medin C, Maingard J et al. Endovascular Mechanical Thrombectomy in Large-Vessel Occlusion Ischemic Stroke Presenting with Low National Institutes of Health Stroke Scale: Systematic Review and Meta-Analysis. World Neurosurg. 2018 Feb;110:263-269. doi: 10.1016/j.wneu.2017.11.076. Epub 2017 Nov 23.
Vi takker Anne Hege Aamodt og medarbeidere for en hyggelig og viktig kommentar. Beklageligvis ligger pasientkasuistikken noe tilbake i tid, utarbeidelse av manuskript likeså. I Trondheim benyttes CT/MR for vurdering av penumbra og kollateralsirkulasjonen vektlegges. At NIHSS-skår ikke kan benyttes som indikasjon alene er selvsagt, og denne misforståelsen beklager vi. Samtidig bør det være et visst nevrologisk utfall før en invasiv prosedyre utføres. Ved St. Olavs hospital gjøres i dag normalt ikke trombektomi ved NIHSS-skår ≤ 5, men alle pasienter som kan være kandidat til trombektomi, får en individuell vurdering, også de med lavere NIHSS-skår.