Multimodal kreftbehandling av gastrointestinal stromal tumor

    ()

    sporsmal_grey_rgb
    Abstract

    Gastrointestinal stromal tumour (GIST) is a subtype of sarcoma that may occur in any part of the gastrointestinal system, most frequently in the stomach and small intestine. The most common symptoms are bleeding and abdominal pain. In this clinical review, we summarise the progress made with this condition and discuss the recommended diagnostics and treatment of GIST.

    Artikkel

    Gastrointestinal stromal tumor er en subtype av sarkom som kan oppstå i hele mage-tarm-systemet, hyppigst i magesekk og tynntarm. De vanligste symptomene er blødning og magesmerter. I denne kliniske oversikten oppsummerer vi fremskrittene og redegjør for anbefalt diagnostikk og behandling.

    Oppdagelsen av onkogene mutasjoner i KIT-genet i 1998 (1) førte til at en pasient med metastatisk gastrointestinal stromal tumor (GIST) ble behandlet med tyrosinkinasehemmeren imatinib. Imatinib binder seg til og hemmer aktiveringen av KIT, og pasienten opplevde en rask og formidabel behandlingsrespons. Kasuistikken ble publisert i New England Journal of Medicine (2). Kort tid etter viste en studie klar forbedring i overlevelse (3) sammenlignet med historiske data hvor konvensjonell cellegiftbehandling ble anvendt (4).

    Imatinib ble godkjent som behandling for metastatisk gastrointestinal stromal tumor allerede i 2002. På Radiumhospitalet fikk den første pasienten med denne sykdommen imatinib i august 2001 (5). Medikamentet har senere vist seg å ha effekt også som tilleggsbehandling (adjuvant) etter operasjon for lokalisert gastrointestinal stromal tumor med høy risiko for tilbakefall (6). I kjølvannet av suksessen med imatinib har flere andre tyrosinkinasehemmere blitt godkjent for behandling av metastatisk gastrointestinal stromal tumor (fig 1). Utviklingen de to siste tiårene gjør at utredningen og behandlingen krever samarbeid mellom mange spesialister. Hensikten med denne artikkelen er å gi leseren kjennskap til sykdommen og informasjon om diagnostikk og behandling basert på internasjonale retningslinjer (7), et utvalg av aktuell litteratur, tverrfaglig erfaring samt forskning fra Oslo universitetssykehus, Radiumhospitalet.

    Epidemiologi og etiologi

    Epidemiologi og etiologi

    Gastrointestinal stromal tumor er en uvanlig kreftform med årlig forekomst på 10–15 tilfeller per million (8), men er likevel den vanligste subtypen av sarkom (9). Sykdommen har lik kjønnsfordeling, og median alder ved diagnose er 65 år (10). Gastrointestinal stromal tumor antas å ha sitt histogenetiske opphav i Cajal-celler, som er motilitetsregulerende pacemakerceller i magesekk og tarm (9). Svulster kan derfor oppstå i hele mage-tarm-systemet, men er vanligst i magesekk (60 %) og tynntarm (35 %), sjeldnere i tykktarm og endetarm (5 %), og uvanlig i spiserør (< 1 %) (10). Sykdommen omfatter små svulster med godartet biologi til store svulster med høy risiko for metastaser. Hvis en gastrointestinal stromal tumor metastaserer, er det oftest til lever eller bukhule, sjelden til ekstraabdominale organer (10). Over 90 % har aktiverende mutasjoner i transmembranreseptorene KIT- eller platederivert vekstfaktorreseptor-α (platelet-derived growth factor receptor-α, PDGFRA) (fig 2), og disse mutasjonene anses å være hovedårsaken til utvikling av sykdommen (1). KIT-mutasjoner er vanligst og ses hos om lag 80 % av pasientene. PDGFRA-mutasjoner finner man hos om lag 10 %, mens 5–10 % har ikke mutasjon i KIT eller PDGFRA (10, 11).

    Symptomer og diagnostikk

    Symptomer og diagnostikk

    Hos en firedel av pasientene blir svulsten oppdaget tilfeldig ved radiologisk utredning av annen årsak eller ved operasjon for andre sykdommer (8). Symptomer avhenger av tumorstørrelse, vekstmåte og lokalisasjon. Blødning fra svulsten og magesmerter er de to hyppigste symptomene, etterfulgt av abdominalt ubehag, kvalme og oppkast, forstoppelse, diaré og tretthet (8). Gastrointestinal stromal tumor kan føre til alvorlig blødning, tarmperforasjon eller tarmobstruksjon som krever akutt kirurgi (8).

    CT av abdomen og bekken er et krav i utredningen (7). Ved tumor i oesophagus, ventrikkel og duodenum vil øvre endoskopi, eventuelt supplert med endoskopisk ultralyd, kunne gi nyttig tilleggsinformasjon, men er ikke obligatorisk ved et karakteristisk radiologisk bilde. Gastrointestinal stromal tumor i rektum utredes med rektoskopi og MR. Biopsi gir endelig diagnose og gjennomføres enten som endoskopisk nålebiopsi eller som ultralyd- eller CT-veiledet transkutan prosedyre (7). Transkutan biopsi anses å være trygt, med liten eller ingen risiko for utsæd av tumorceller (7). Hvis preoperativ imatinib vurderes, er det nødvendig med biopsi der man sikrer tumormateriale til mutasjonsanalyse, fordi enkelte mutasjoner medfører resistens mot behandlingen (fig 2).

    Gastrointestinal stromal tumor har flere histologiske differensialdiagnoser og skilles fra morfologisk lignende svulster ved at de er immunhistokjemisk positive for KIT (CD117; > 95 %) og/eller anoktamin 1 (DOG-1) (9). Mutasjonsanalyser brukes diagnostisk hvis den immunhistokjemiske analysen er vanskelig å tolke (9). Ved Radiumhospitalet utføres mutasjonsanalyse ved Sanger-sekvensering av KIT-ekson 9, 11, 13 og 17 og PDGFRA-ekson 12, 14 og 18.

    Behandling av lokalisert sykdom

    Behandling av lokalisert sykdom

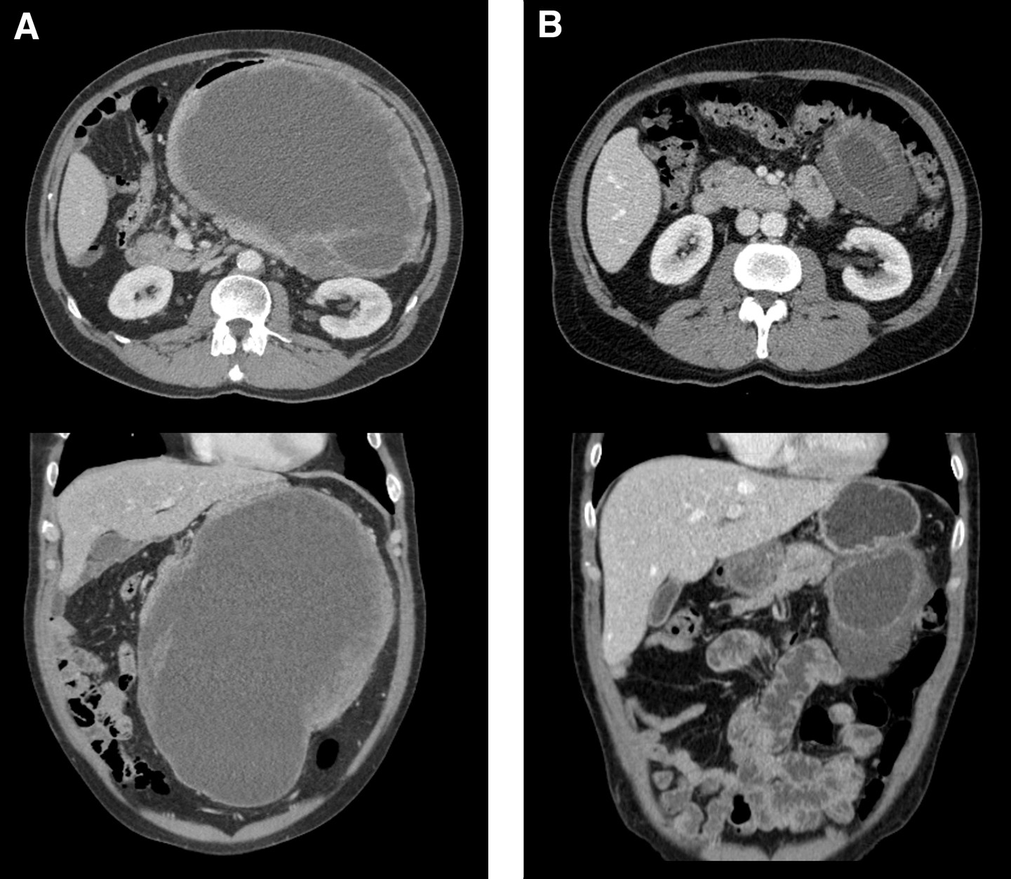
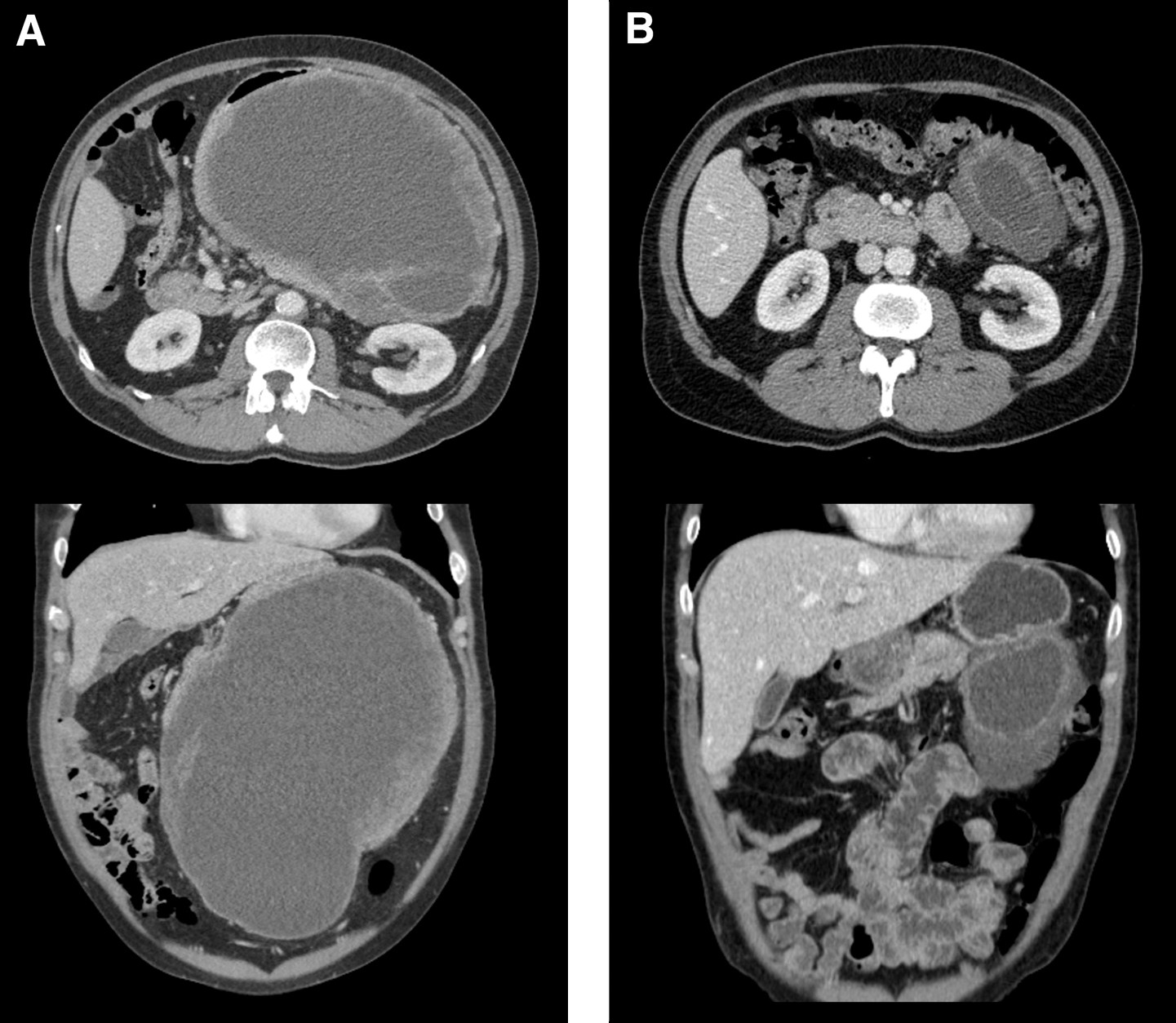
    Eksisjon av tumor der man tilstreber frie marginer, er en forutsetning for helbredelse. 5- og 15-års residivfri overlevelse hos pasienter med operabel, lokalisert gastrointestinal stromal tumor er henholdsvis 70 % og 60 % (10). Gastrointestinal stromal tumor metastaserer ytterst sjelden til lymfeknuter, og det er derfor ikke nødvendig med lymfeknutedisseksjon som ved kirurgi for karsinom (7). Organbesparende kirurgi er et mål, og mange svulster kan fjernes ved lokale eksisjoner. Svulster som krever omfattende primære reseksjoner, kan ofte fjernes med lokal eksisjon etter forbehandling med imatinib i 6–12 måneder (7) (fig 3).

    Gastrointestinal stromal tumor mindre enn 2 cm i ventrikkelen gir sjelden metastaser og kan observeres ubehandlet, mens større svulster bør som hovedregel opereres (7). Også små svulster i oesophagus, duodenum og rektum kan unntaksvis også observeres ubehandlet. Her må risiko og sekveler knyttet til inngrepet veies opp mot risiko for metastasering. Hos kirurgiske risikopasienter kan medikamentell primærbehandling være aktuelt også uten metastaser. Disse vurderingene må gjøres av erfarne tverrfaglige team. Små tumorer kan fjernes laparoskopisk med de samme onkologiske prinsippene som ved åpen kirurgi (7), men svulstene er skjøre og må håndteres med forsiktighet for ikke å rumpere. Tumorruptur øker risikoen for tilbakefall dramatisk (12, 13) og er noe som også må vurderes før operasjon, da imatinib preoperativt kan redusere denne risikoen (14).

    Pasienter som er operert for lokalisert sykdom, risikostratifiseres basert på tumorstørrelse, antall mitoser, anatomisk lokalisasjon og om det foreligger tumorruptur (7). Pasienter med høy risiko for tilbakefall tilbys adjuvant imatinib i tre år (7). Anbefalingen er basert på en randomisert studie som viste at pasienter behandlet med imatinib i tre år hadde signifikant bedre residivfri- og totaloverlevelse enn de som ble behandlet i ett år (6). I en pågående studie undersøker man om behandling i fem år er bedre enn tre år. Mutasjonsanalyse skal gjøres før man starter adjuvant behandling, ettersom pasienter med enkelte mutasjoner ikke har nytte av imatinib (fig 2).

    Behandling av metastatisk sykdom

    Behandling av metastatisk sykdom

    Metastatisk sykdom regnes for å være uhelbredelig. Tidligere var median overlevelse på ca. ni måneder (4). Overlevelsen er betydelig forbedret etter innføring av imatinib og andre tyrosinkinasehemmere. Data fra Oslo universitetssykehus, Radiumhospitalet viser at median overlevelse har økt til syv år (5).

    Imatinib 400 mg én gang daglig er standard førstelinjebehandling for metastatisk gastrointestinal stromal tumor (7). Pasienter med KIT ekson 9-mutasjon kan ha nytte av en høyere dose (800 mg/dag) (7). Imatinib tolereres vanligvis godt, men nesten alle opplever enkelte bivirkninger, som kvalme, periorbitalt ødem, diaré, muskelkramper, tretthet og moderat anemi (3). Pasientene responderer ofte raskt på behandlingen, og median varighet av respons er 2–3 år (3). Enkelte har levd i 10–15 år uten progrediering (5), men selv med langvarig behandlingseffekt regnes ikke pasientene som helbredet. Det er vist at nesten samtlige pasienter med metastatisk gastrointestinal stromal tumor som stopper med imatinib, får sykdomsprogrediering innen to år (15). Internasjonalt er man derfor enig om at behandlingen med imatinib må være livslang (7, 16).

    Utvikling av sekundære mutasjoner under behandling med imatinib er den vanligste årsaken til progrediering (17). I tillegg er det vist betydelig variasjon i imatinibplasmakonsentrasjon (18). Ved progrediering under imatinibbehandling kan noen av pasientene ha nytte av doseøkning til 800 mg/dag, og dette bør forsøkes før man bytter tyrosinkinasehemmer (7). Standard annenlinjebehandling er sunitinib, og i tredjelinje gis regorafenib (7). Disse to medikamentene har generelt mer bivirkninger enn imatinib og er ikke like effektive. Flere andre tyrosinkinasehemmere (pazopanib, nilotinib og sorafenib) har vist aktivitet ved metastatisk gastrointestinal stromal tumor og kan brukes i utvalgte tilfeller (7).

    Responsevaluering

    Responsevaluering

    Radiologisk vurdering av behandlingsrespons på tyrosinkinasehemmere gjøres i hovedsak med CT (7). Primære svulster og metastaser i bukhinnen har ofte varierende grad av kontrastopptak før behandling, og ved respons ses lavere kontrastopptak og etter hvert redusert tumorstørrelse. Levermetastasene har typisk mer kontrastopptak i periferien før behandling. Ved behandlingseffekt blir de mer homogent lavtette (uttrykk for nekrose i tumor), skarpt avgrenset mot omgivende levervev og får et utseende som ligner levercyster. Respons kan initialt føre til lett økning i størrelse av levermetastaser på CT, mens størrelsen forblir nokså uendret ved vedvarende respons. For vurdering av behandlingseffekt må derfor tetthet vurderes i tillegg til størrelse (7). Diffusjonsvektet MR eller positronemisjonstomografi (PET) med 18F-fluorodeoksyglukose kan brukes til å vurdere tidlig behandlingsrespons (19) eller ved usikkerhet ved evaluering med CT. Nye metastaser, vekst av kjente metastaser eller sykdomsaktivitet i en metastase som tidligere har respondert (node in mass), regnes som sykdomsprogrediering (7).

    Kirurgi og strålebehandling

    Kirurgi og strålebehandling

    Ved metastatisk sykdom hos pasienten er behandlingen som hovedregel medikamentell (7). Metastasekirurgi etter respons på imatinib kan vurderes for å redusere tumorvolumet, hvilket kan forlenge tiden til resistensutvikling. Det er dokumentert økt overlevelse hos pasienter som responderer på imatinib og får fjernet alle gjenværende metastaser (20). Ved fokal progrediering i en eller få metastaser bør kirurgisk eksisjon av disse vurderes (7). Pasienter med utbredt progredierende sykdom bør normalt ikke opereres, da tiden til ny progrediering vanligvis er kort (20). Radiofrekvensablasjon eller stereotaktisk strålebehandling av levermetastaser kan vurderes som et alternativ når kirurgi er vanskelig eller uaktuelt (7). Strålebehandling brukes ved smertefulle skjelettmetastaser og ved fokal progresjon av metastaser i bukhinnen når kirurgi ikke er aktuelt (7).

    Kommentarer  ( 0 )
    PDF
    Skriv ut

    Anbefalte artikler