Thomas Alexander Bremnes er lege i spesialisering.
Forfatteren har fylt ut ICMJE-skjemaet og oppgir ingen interessekonflikter.
()
1.
Lindenskov PH, Hanem S, Sponheim S. Etter inspiratorisk stridor følger lungeødem–nok en fallgruve for en anestesiolog. Tidsskr Nor Lægeforen 2002; 122: 2184 - 6. [PubMed]
2.
McConkey PP. Postobstructive pulmonary oedema–a case series and review. Anaesth Intensive Care 2000; 28: 72 - 6. [PubMed]
Vi takker Ingvild Haram Stige og medarbeidere for en interessant kasuistikk. Vi diskuterte artikkelen livlig på vår internundervisning og lurer på om dere kunne belyse noen momenter grundigere og kommentere andre aktuelle differensialdiagnoser?
Det beskrives at man utfører narkosen på «vanlig måte». Hva ligger i dette? Ble det gitt muskelblokkade? I så fall hvilken type og ble det gitt reversering? Det er flere kasuistikker om pasienter som har utviklet lungeødem etter bruk av neostigmin for reversering (1).
Pasienten hadde tidligere brukt lang tid på å våkne fra narkose. Vet dere hvordan dette artet seg? I Danmark har hver 25. person redusert funksjon av plasma kolinesterase (butyrylkolinesterase) med forlenget virkning av suksametonium og mivacurium (2). Om noen av disse ble brukt kunne det være interessant å måle pasientens kolinesterasefunksjon.
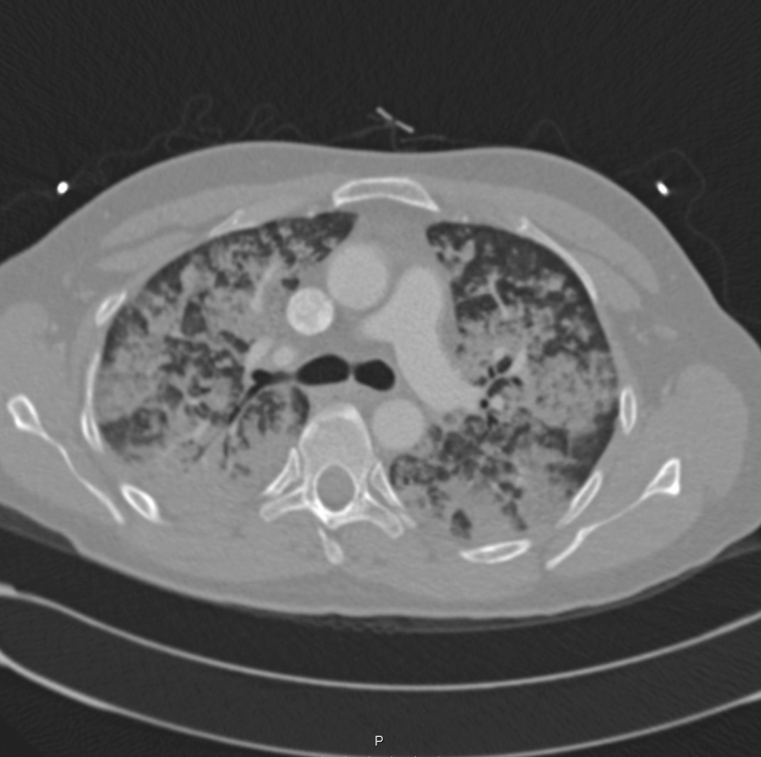
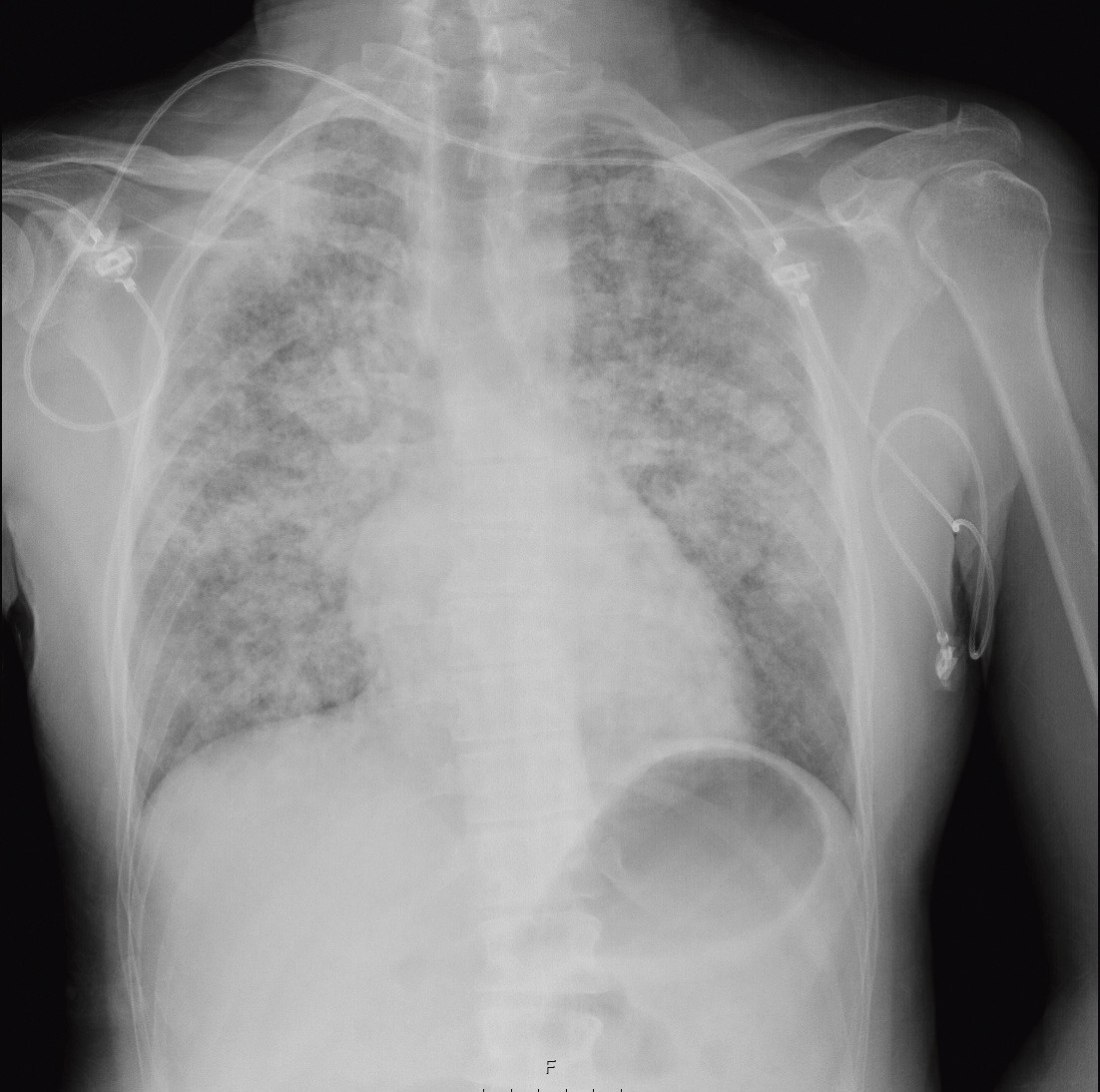
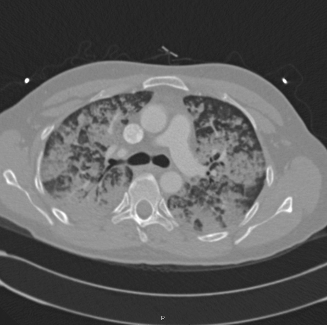
I forbindelse med første ekstubasjon sier dere at pasienten pustet «svært anstrengt» på endotrakealtuben. Hvor lenge varte det? Var det anstrengt inspirasjon, ekspirasjon eller begge deler? Det beskrives så at pasienten ble ekstubert, men sluttet å puste. Var det tegn til at pasienten forsøkte å puste selv mot ufri luftvei? I hvilken av disse fasene tror dere at pasienten genererte det negative intratorakale trykket som førte til lungeødem: intubert eller ekstubert med ufri luftvei? I diskusjonen nevner dere larynksspasme som en vanlig årsak til lungeødem forårsaket av negativt intratorakalt trykk, men ble det mistenkt?
Ble appendektomien gjort laparoskopisk? Gassembolier fra insufflert karbondioksyd (CO2) i bukhulen kan føre til direkte ikke-kardiogent lungeødem, men også kardiogent lungdeødem om emboliene går over til venstre hjertehalvdel og blokkerer koronararteriene (3). Åpent foramen ovale er ingen forutsetning. I én artikkel ble det rapportert om gassembolier i forbindelse med syv laparoskopier, hvorav fem var appendektomier (4).
Ble perioperativt hjerteinfarkt utelukket? Dette og lungeødem generert av negativt trykk er trolig blant de vanligste årsakene. Imidlertid er tilsynelatende svært kortvarig forsert inspirasjon som avløses av apnoe, en atypisk sykehistorie. Med en uvanlig sykehistorie kan man vurdere uvanlige diagnoser. Vi takker igjen for en interessant kasuistikk, og håper på utfyllende opplysninger for å bedre forstå det kliniske forløpet og differensialdiagnosene.
Litteratur
1. Raiger LK, Naithani U, Vijay BS et al. Non-cardiogenic pulmonary oedema after neostigmine given for reversal: A report of two cases. Indian J Anaesth. 2010;54(4):338–41.
2. Dansk Kolinesterase Kartotek. https://www.herlevhospital.dk/afdelinger-og-klinikker/anaestesiologisk/for-sundhedsfaglige/Sider/Dansk-Kolinesterase-Kartotek.aspx (3.1.2019)
3. Lee Y, Kim ES, Lee HJ. Pulmonary edema after catastrophic carbon dioxide embolism during laparoscopic ovarian cystectomy. Yonsei Med J. 2008/08/30. 2008 Aug 30;49(4):676–9.
4. Cottin V, Delafosse B, Viale JP. Gas embolism during laparoscopy: a report of seven cases in patients with previous abdominal surgical history. Surg Endosc. 1996 Feb;10(2):166–9.
Denne artikkelen ble publisert for mer enn 12 måneder siden, og vi har derfor stengt for nye kommentarer.
Publisert: 16. november 2018
Utgave 19, 27. november 2018
Tidsskr Nor Legeforen 16. november 2018
Vol. 138.
doi:
10.4045/tidsskr.18.0139
Mottatt 9.2.2018, første revisjon innsendt 19.6.2018, godkjent 8.10.2018.
Får du ikke vist PDF-filen eller vil lagre filen, kan du høyreklikke på PDF-ikonet. Velg «Lagre mål/fil som..» og hent så opp PDF-filen i for eksempel Acrobat Reader.
Vi takker Ingvild Haram Stige og medarbeidere for en interessant kasuistikk. Vi diskuterte artikkelen livlig på vår internundervisning og lurer på om dere kunne belyse noen momenter grundigere og kommentere andre aktuelle differensialdiagnoser?
Det beskrives at man utfører narkosen på «vanlig måte». Hva ligger i dette? Ble det gitt muskelblokkade? I så fall hvilken type og ble det gitt reversering? Det er flere kasuistikker om pasienter som har utviklet lungeødem etter bruk av neostigmin for reversering (1).
Pasienten hadde tidligere brukt lang tid på å våkne fra narkose. Vet dere hvordan dette artet seg? I Danmark har hver 25. person redusert funksjon av plasma kolinesterase (butyrylkolinesterase) med forlenget virkning av suksametonium og mivacurium (2). Om noen av disse ble brukt kunne det være interessant å måle pasientens kolinesterasefunksjon.
I forbindelse med første ekstubasjon sier dere at pasienten pustet «svært anstrengt» på endotrakealtuben. Hvor lenge varte det? Var det anstrengt inspirasjon, ekspirasjon eller begge deler? Det beskrives så at pasienten ble ekstubert, men sluttet å puste. Var det tegn til at pasienten forsøkte å puste selv mot ufri luftvei? I hvilken av disse fasene tror dere at pasienten genererte det negative intratorakale trykket som førte til lungeødem: intubert eller ekstubert med ufri luftvei? I diskusjonen nevner dere larynksspasme som en vanlig årsak til lungeødem forårsaket av negativt intratorakalt trykk, men ble det mistenkt?
Ble appendektomien gjort laparoskopisk? Gassembolier fra insufflert karbondioksyd (CO2) i bukhulen kan føre til direkte ikke-kardiogent lungeødem, men også kardiogent lungdeødem om emboliene går over til venstre hjertehalvdel og blokkerer koronararteriene (3). Åpent foramen ovale er ingen forutsetning. I én artikkel ble det rapportert om gassembolier i forbindelse med syv laparoskopier, hvorav fem var appendektomier (4).
Ble perioperativt hjerteinfarkt utelukket? Dette og lungeødem generert av negativt trykk er trolig blant de vanligste årsakene. Imidlertid er tilsynelatende svært kortvarig forsert inspirasjon som avløses av apnoe, en atypisk sykehistorie. Med en uvanlig sykehistorie kan man vurdere uvanlige diagnoser. Vi takker igjen for en interessant kasuistikk, og håper på utfyllende opplysninger for å bedre forstå det kliniske forløpet og differensialdiagnosene.
Litteratur
1. Raiger LK, Naithani U, Vijay BS et al. Non-cardiogenic pulmonary oedema after neostigmine given for reversal: A report of two cases. Indian J Anaesth. 2010;54(4):338–41.
2. Dansk Kolinesterase Kartotek. https://www.herlevhospital.dk/afdelinger-og-klinikker/anaestesiologisk/for-sundhedsfaglige/Sider/Dansk-Kolinesterase-Kartotek.aspx (3.1.2019)
3. Lee Y, Kim ES, Lee HJ. Pulmonary edema after catastrophic carbon dioxide embolism during laparoscopic ovarian cystectomy. Yonsei Med J. 2008/08/30. 2008 Aug 30;49(4):676–9.
4. Cottin V, Delafosse B, Viale JP. Gas embolism during laparoscopy: a report of seven cases in patients with previous abdominal surgical history. Surg Endosc. 1996 Feb;10(2):166–9.