Antiangiogen behandling av øyesykdommer

    ()

    sporsmal_grey_rgb
    Artikkel

    Vaskulær endotelial vekstfaktor er sentral i patogenesen ved en rekke øyesykdommer. Legemidler som hemmer vaskulær endotelial vekstfaktor, har gitt helt nye muligheter til å forebygge svaksynthet og blindhet.

    Patologisk angiogenese og vaskulær lekkasje kjennetegner øyesykdommer som aldersrelatert makuladegenerasjon, diabetisk retinopati, retinale veneokklusjoner og retinopati hos premature. Forståelsen av hvilken rolle vaskulær endotelial vekstfaktor (vascular endothelial growth factor, VEGF) spiller i disse øyesykdommene, og senere i utviklingen av anti-VEGF-terapi, er et skoleeksempel på hvordan kunnskap fra laboratoriebenken er overført til pasientbehandling. Før slik behandling ble tilgjengelig, måtte øyeleger ofte bare observere at pasienter gradvis mistet synet. I dag er prognosen for pasientene betydelig bedre.

    Vaskulær endotelial vekstfaktor

    Vaskulær endotelial vekstfaktor

    Vaskulær endotelial vekstfaktor A (VEGF-A, ofte bare referert til som VEGF) tilhører en familie av signalproteiner som er nødvendige for normal kardiovaskulær utvikling og homeostase (1). Vekstfaktoren produseres av og utskilles fra de fleste av kroppens celler og stimulerer til angiogenese, det vil si dannelse av nye blodkar fra eksisterende blodkar, for eksempel i fosterutvikling, sårheling og muskelvekst. På cellenivå fremmer vekstfaktoren proliferasjon, migrasjon og overlevelse av endotelceller, som kler innsiden av blod- og lymfekar. Transkripsjonen kontrolleres hovedsakelig av hypoksi-induserbar faktor, en transkripsjonsfaktor som aktiveres ved lav oksygenmetning (2). Avhengig av om oksygenmetningen i vevet er lav eller høy, kan hypoksi-induserbar faktor henholdsvis heve eller senke produksjonen av vaskulær endotelial vekstfaktor og på den måten regulere angiogenesen.

    Vaskulær endotelial vekstfaktor spiller også en sentral rolle ved patologisk angiogenese i øyet. En av de første VEGF-hemmerne ble utviklet og godkjent for behandling av våt aldersrelatert makuladegenerasjon, en øyesykdom karakterisert av lekkasje og blødninger fra neovaskulariseringer i netthinnens skarpsynsområde (3). Senere har indikasjonslisten for behandling med VEGF-hemmere i øyet blitt utvidet til også å omfatte makulaødem sekundært til retinale veneokklusjoner, diabetisk makulaødem, myopisk koroidal neovaskularisering og proliferativ diabetisk retinopati. Retinopati hos premature behandles også i økende grad med VEGF-hemmere (4).

    Kreftforsker lanserte begrepet antiangiogen behandling

    Kreftforsker lanserte begrepet antiangiogen behandling

    I 1971 lanserte «angiogenesens far», den amerikanske legen og kreftforskeren Judah Folkman (1933–2008), hypotesen om at vekst av kreftsvulster er angiogeneseavhengig og at hemming av angiogenese kunne ha terapeutisk potensial (5). Folkman mente at kreftsvulster ikke kunne bli større enn 1–2 mm3 uten rekruttering av nye blodkar, og at kreftceller produserte og utskilte en ukjent, angiogen faktor. I 1983 isolerte forskergruppen til amerikaneren Harold Dvorak et protein som forårsaket lekkasje fra blodkar og ga ødem i og rundt kreftsvulster (6). Dette proteinet fikk da navnet vaskulær permeabilitetsfaktor (VPF). I 1989 lyktes det italieneren Napoleone Ferrara å sekvensere og klone et protein som fikk navnet VEGF (siden omdøpt til VEGF-A) (7). Senere viste det seg at VPF og VEGF er samme molekyl. I 2004 ble den første VEGF-hemmeren, bevacizumab, godkjent av amerikanske legemiddelmyndigheter for behandling av kolorektal kreft (8). Dette er et monoklonalt antistoff som blokkerer interaksjonen med vekstfaktorens reseptorer. Bevacizumab er godkjent i Norge for behandling av flere krefttyper og markedsføres under navnet Avastin.

    Vekstfaktor sentral ved vaskulære øyesykdommer

    Vekstfaktor sentral ved vaskulære øyesykdommer

    Patologiske, nydannede blodkar har en uorganisert arkitektur, løse celle–celle-forbindelser, redusert pericyttdekning og diskontinuerlig basalmembran (9). Resultatet er lekkasje, ødem i omkringliggende vev og blødninger. Dersom dette rammer makula, kan det gi irreversibel netthinneskade med reduksjon av skarpsynet.

    Det ble allerede i 1956 spekulert på om iskemisk retina, eksempelvis ved diabetisk retinopati og retinopati hos premature, produserer en ukjent faktor som stimulerer til angiogenese (10). Retinal iskemi hos forsøksdyr, generert ved å okkludere grenvenene med laser, har senere vist seg å fremkalle iris-neovaskularisering (11), med økte nivåer av vaskulær endotelial vekstfaktor samsvarende med graden av neovaskularisering. At vekstfaktoren er en kausal faktor, er blitt demonstrert ved at den er blitt injisert i friske øyne hos aper, som så har utviklet iris-neovaskularisering etter få dager (12). Vaskulær endotelial vekstfaktor er altså tilstrekkelig for å fremprovosere angiogenese i øyet og derfor et potensielt legemiddelmål.

    Kreftlegemiddel injisert i øyet effektivt og trygt

    Kreftlegemiddel injisert i øyet effektivt og trygt

    Samtidig som bevacizumab ble tatt i bruk på kreftpasienter, ble VEGF-hemmeren pegaptanib (Macugen) godkjent i USA for behandling av våt aldersrelatert makuladegenerasjon (3). Pegaptanib nøytraliserer VEGF165, som er en av de fire isoformene av vaskulær endotelial vekstfaktor. Pegaptanib fikk raskt konkurranse. Kort tid etter at bevacizumab ble godkjent for kolorektal kreft, ble det gitt til pasienter med våt makuladegenerasjon. En liten studie viste klar bedring av visus, redusert netthinnetykkelse og mindre lekkasje fra neovaskulære forandringer etter bevacizumab gitt intravenøst (13). Amerikanske øyeleger begynte deretter å injisere medikamentet intravitrealt (direkte i øyets glasslegeme) (14). Norske øyeavdelinger var tidlig ute med å tilby denne behandlingen. Intravitreale injeksjoner med VEGF-hemmere er meget effektivt i behandlingen av våt aldersrelatert makuladegenerasjon og andre øyesykdommer, og innebærer lav risiko for komplikasjoner og bivirkninger (15, 16). I denne sammenhengen må det nevnes at utviklingen av optisk koherens-tomografi (optical coherence tomography, OCT) i øyefaget har hatt stor klinisk, vitenskapelig og økonomisk betydning. Optisk koherens-tomografi er en hurtig og ikke-invasiv undersøkelsesmetode som ved hjelp av lysbølger avbilder øyets anatomiske strukturer med mikrometer-oppløsning (17) (figur 1). Teknologien anvendes i dag innen de fleste av øyefagets underspesialiteter, men især ved diagnostisering og oppfølging av øyesykdommer som rammer netthinnen og den utenforliggende årehinnen. Figur 2 og 3 viser OCT-bilder av makula med våt aldersrelatert makuladegenerasjon i samme pasient før og etter oppstart med anti-VEGF-behandling.

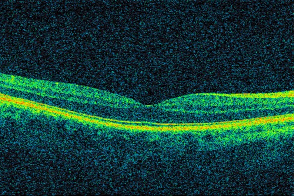
    Figur 1 Optisk koherens-tomografi (OCT) som viser normal makula. I midten ses fovea centralis, hvor tettheten av…
    Figur 1 Optisk koherens-tomografi (OCT) som viser normal makula. I midten ses fovea centralis, hvor tettheten av fotoreseptorer er høyest. Tverrsnittsbilder av netthinnen muliggjør blant annet vurdering av morfologien og måling av netthinnens tykkelse.
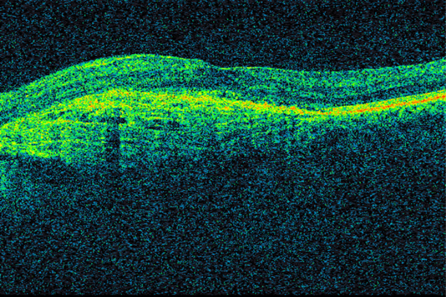
    Figur 2 OCT av makula hos pasient med våt aldersrelatert makuladegenerasjon før oppstart med anti-VEGF-behandling. Det ses…
    Figur 2 OCT av makula hos pasient med våt aldersrelatert makuladegenerasjon før oppstart med anti-VEGF-behandling. Det ses blant annet fortykket netthinne og subretinal væske. Visus er 0,1.
    Figur 3 OCT av makula hos samme pasient tre år senere etter gjentatte anti-VEGF-injeksjoner. Det er nå tilnærmet tørre…
    Figur 3 OCT av makula hos samme pasient tre år senere etter gjentatte anti-VEGF-injeksjoner. Det er nå tilnærmet tørre forhold. Visus er 0,63.

    Bevacizumab er full-lengde-monoklonalt immunglobulin G (IgG). Basert på studier hvor full-lengde-antistoffer ble injisert intravitrealt i normale apeøyne, har man antatt at bevacizumab har for høy molekylvekt til å kunne diffundere gjennom retina og dermed nå retinale blodkar og neovaskulariseringer utgående fra underliggende choroidea (18). Produsenten av bevacizumab utviklet derfor en modifisert variant, ranibizumab (Lucentis), for bruk i øyet. Resultatet ble et antigenbindende fragment (såkalt Fab-fragment) med høyere affinitet til vaskulær endotelial vekstfaktor, lavere molekylvekt, bedre vevspenetrasjon og kortere systemisk halveringstid (19). Ranibizumab mangler også Fc-fragmentet av IgG og aktiverer ikke komplementsystemet eller blodplater. Ranibizumab ble i 2006 godkjent av amerikanske legemiddelmyndigheter for behandling av våt aldersrelatert makuladegenerasjon (15). Indikasjonslisten har senere blitt utvidet.

    Selv om bevacizumab ikke er formelt godkjent for bruk i øyet, anvendes det ved flere neovaskulære øyesykdommer. Motivene for å bruke bevacizumab er særlig økonomiske: En dose ranibizumab koster nesten 8 000 kroner, mens en dose bevacizumab koster 2–300 kroner. Ved øyeavdelingen på Oslo universitetssykehus ble det i 2016 utført over 20 000 injeksjoner med VEGF-hemmere. Følgelig vil besparelsene ved å bruke bevacizumab være store. Sammenligningsstudier av bevacizumab og ranibizumab har også dokumentert at de er like gode (20, 21). Den opprinnelige antakelsen om at full-lengde-IgG injisert intravitrealt ikke ville ha effekt, viste seg å ikke være korrekt. Sannsynligvis er det ved patologiske tilstander som aldersrelatert makuladegenerasjon defekte anatomiske barrierer, slik at full-lengde-IgG likevel diffunderer gjennom retina og når bestemmelsesstedet. Diffusjonsstudiene på aper ble også gjort med antistoffer som man i ettertid fant ut kunne binde antigener i retina, hvilket hindret videre diffusjon til dypere lag (18).

    I tillegg til pegaptanib og ranibizumab er en tredje VEGF-hemmer, aflibercept (Eylea), godkjent for bruk i øyet. Dette er et kimært fusjonsprotein sammensatt av VEGF-reseptor 1 og 2 og Fc-delen av humant IgG1 (22). Aflibercept binder og blokkerer VEGF-A, VEGF-B og placental vekstfaktor (PlGF). Sammenlignet med for eksempel ranibizumab og bevacizumab har aflibercept høyere affinitet til vaskulær endotelial vekstfaktor og lengre intravitreal halveringstid. I praksis benyttes tre medikamenter ved intravitreale injeksjoner i Norge i dag: bevacizumab, ranibizumab og aflibercept. Det forskes intensivt på nye og bedre behandlingsalternativer, og flere spennende legemiddelkandidater er under klinisk utprøving. Ytterligere kunnskap om mekanismene bak vaskulære øyesykdommer vil muliggjøre fortsatt utvikling av medisiner og utvide behandlingsmulighetene for de pasientene som hvert år rammes av slike øyesykdommer.

    Kommentarer  ( 0 )
    PDF
    Skriv ut

    Anbefalte artikler