Okklusjon av Percherons arterie

    ()

    sporsmal_grey_rgb
    Artikkel

    Thalamus forsynes vanligvis på begge sider av små grener avgående fra ipsilaterale a. communicans posterior, samt P1- og P2-segmenter av a. cerebri posterior. Den vanligste årsaken til skade i thalamus er trombose av deler av a. cerebri posterior. I 1973 beskrev den franske nevrologen Gérard Percheron (1930–2011) en sjelden anatomisk variant der en enkel gren fra a. cerebri posterior forsyner mediale deler av thalamus og nedre deler av mesencephalon på begge sider (1). Denne anatomiske varianten kalles Percherons arterie (bildet til venstre).

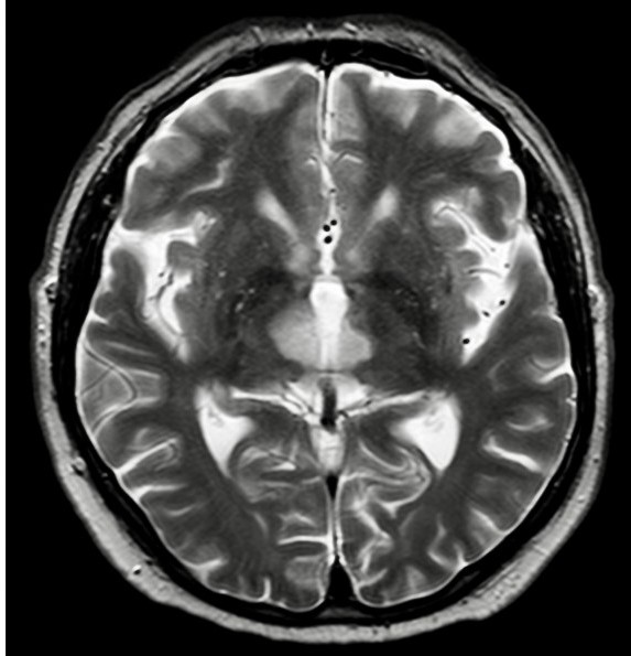
    Okklusjon av Percherons arterie gir bilaterale infarkter i thalamus, hvilket er en uvanlig tilstand. Man klarer sjelden å påvise okklusjon av arterien ved bildediagnostikk, og diagnosen stilles indirekte ved funn av bilaterale infarkter i mediale thalamus med eller uten affeksjon av mesencephalon (2).

    Symptomene kan være dramatiske, med akutt innsettende koma i tillegg til fokalnevrologiske, nevropsykologiske og oftalmologiske utfall (unormale lysreflekser, nedsatt øyemotilitet eller ptose). Tidlig diagnostikk kan være utfordrende, siden det kliniske sykdomsbildet er uvanlig og fordi radiologiske undersøkelser i initial fase kan være uten sikre patologiske funn (3).

    Vår pasient var en mann i slutten av 60-årene, som brått ble bevisstløs på ferie i utlandet. Han ble raskt hentet av ambulanse og kjørt til nærmeste sykehus. Det ble ikke gitt trombolytisk behandling fordi årsaken til bevissthetstapet var uklar. Ved ankomst ble han intubert og man bemerket at venstre pupill var større enn høyre. CT caput og CT angiografi tatt innleggelsesdagen var uten aktuelle patologiske funn. MR caput tatt dag 4 av sykehusoppholdet påviste infarkter bilateralt medialt i thalamus (bildet til høyre).

    Pasienten ble ekstubert dag 5 og overflyttet til lokalsykehus i Norge etter 14 dager. Han hadde da delvis tetraplegi med nedsatt funksjon i venstre sides ekstremiteter og paralyse i høyre sides ekstremiteter. Han klarte ikke å åpne øynene, men synet var intakt dersom man løftet øyelokkene for ham. Bevissthetsnivået fluktuerte, men ble gradvis bedre. Svelgfunksjonen kom seg gradvis, men ble ikke fullstendig normalisert. Det ble derfor anlagt PEG-sonde. Med fysioterapi greide han etter hvert å gå 50 m i prekestol. Pasienten hadde for lavt funksjonsnivå til å nyttiggjøre seg av rehabiliteringsavdeling og fikk fast plass ved sykehjem. Forløpet var komplisert med residiverende aspirasjonspneumonier og han døde omtrent etter ett år.

    Pasientens pårørende har gitt samtykke til at artikkelen blir publisert.

    Kommentarer  ( 0 )
    PDF
    Skriv ut

    Anbefalte artikler