En ung jente med oppkast, vekttap og magesmerter

    ()

    sporsmal_grey_rgb
    Artikkel

    Magesmerter hos barn er en hyppig årsak til henvisning til barnemedisinsk og kirurgisk spesialisthelsetjeneste. Akutt appendisitt, obstipasjon og gastroøsofageal refluks er blant de vanligste diagnosene. Ofte kan barn ha diffuse symptomer, og selv om «det vanligste er det vanligste», er det viktig å være oppmerksom på symptomer som tyder på alvorlig, underliggende patologi. Tett samarbeid mellom fastlege, barnelege, barnekirurg og radiolog kan være viktig for å komme til målet.

    En jente tidlig i tenårene hadde vært plaget av «treg mage» siden småbarnsalder og hadde gjennom de siste fem årene hatt kortvarige episoder med kvalme og magesmerter som ble lindret av oppkast, ofte på kveld og natt. Ved første kontakt med spesialisthelsetjenesten var hun henvist fra privat spesialist til vurdering i akuttmottaket med spørsmål om subileus/akutt abdomen. Hun hadde over flere uker hatt hyppigere anfall med magesmerter og oppkast og vegret seg for å spise fordi matinntak utløste eller forverret smertene. Hun hadde gått ned ca. 4 kg i løpet av 1–2 måneder. Det var ingen hematemese, diaré eller melena. På privat røntgeninstitutt var det samme dag gjort ultralyd abdomen med normale funn, og på røntgen oversikt abdomen var det beskrevet obstipasjon og ingen tegn til ileus.

    Smertene hadde avtatt fra en skår på 10 på visuell analog skala (VAS) til VAS-skår 2–3 innen hun kom til akuttmottaket. Barnelege og kirurg vurderte at det ikke var indisert med akutt innleggelse, men satte opp kontroll 14 dager etter for utredning hos barnelege. Pasienten har to nære slektninger med migrene, og derfor ble abdominal migrene vurdert som differensialdiagnose. Gastroøsofageal refluks ble vurdert som lite sannsynlig fordi hun kun hadde anfallsvise symptomer. Obstipasjon og magesmerter sekundært til dette var aktuelle differensialdiagnoser, men til tross for at det ble beskrevet tegn på obstipasjon på røntgen oversikt abdomen, samsvarte ikke røntgenfunn med kliniske funn. Jenta hadde på dette tidspunktet daglig, bløt avføring etter at fastlege hadde startet opp med makrogol (Movicol) noen uker tidligere. Før den planlagte polikliniske kontrollen ble det tatt blodprøvescreening for cøliaki, hypotyreose, inflammatorisk tarmsykdom, jernmangelanemi og malabsorpsjon.

    Obstipasjon uten kjent organisk årsak (funksjonell obstipasjon) er en vanlig grunn til magesmerter, og prevalensen i Europa er rapportert å være 0,7–12 % (1). Hard, knollete avføring sjeldnere enn to ganger i uken hos barn over fire år, forstoppelsesdiaré og enkoprese kan tyde på obstipasjon (1, 2). Ved vår avdeling utføres ultralydmåling av rektumdiameter for barn i alderen 4–12 år, hvor det finnes referanseverdier for rektumdiameter. En tverrdiameter av rektum > 3 cm kan indikere obstipasjon (2). Dette utføres bare etter anmodning fra barnelege på bakgrunn av klinisk mistanke, ikke som standard undersøkelse ved ultralyd abdomen. Røntgen oversikt abdomen kan verken brukes til å bekrefte eller avkrefte mistanke om obstipasjon pga. manglende diagnostisk assosiasjon mellom obstipasjon og mengde avføring på røntgen, manglende reproduserbarhet der mer enn to observatører er enige (interobserver) samt faren for å overse andre årsaker til magesmerter som f.eks. appendisitt, volvulus eller invaginasjon (1). Uttalt kvalme og oppkast er ikke inkludert i Roma IV-diagnosekriteriene for obstipasjon (1), og man bør derfor lete etter andre årsaker til vedvarende kvalme og oppkast.

    Ved poliklinisk kontroll to uker etter første kontakt hadde pasienten gått litt opp i vekt og hadde mindre magesmerter. Klinisk undersøkelse viste normale funn. Blodprøver var normale, deriblant negativ transglutaminase og deamidert gliadin, normale verdier av thyreoideastimulerende hormon (TSH) / tyroksin (T4), negativ laktosegentest, normale verdier av kalprotektin, vitamin B12, ferritin og folat samt negativ antigentest for Helicobacter pylori.

    Gastroøsofageal refluks (evt. sekundært til obstipasjon), obstipasjon og abdominal migrene ble fortsatt vurdert som aktuelle differensialdiagnoser. Det ble forsøksvist startet med esomeprazol (Nexium) 40 mg daglig, og pasienten fortsatte med makrogol for mistenkt obstipasjon. Det ble avtalt telefonisk tilbakemelding fra mor etter fire uker og poliklinisk kontroll etter fire måneder.

    Gastroøsofageal refluks, eventuelt sekundært til obstipasjon, er en annen hyppig årsak til magesmerter hos barn. I en studie av 10 394 franske barn (0–17 år) ble det estimert at 6,2 % hadde gastroøsofageal refluks (3, 4). Grundig anamnese og klinisk undersøkelse er regnet som adekvat diagnostikk hos små barn når det ikke er mistanke om komplikasjoner, og de fleste barn vokser det av seg innen 2–3 års alder (5). 24-timers pH-måling i nedre øsofagus er standard diagnostikk som bør gjøres før oppstart av medikamentell behandling, og det kan gjøres gastroskopi med biopsier for å påvise øsofagitt. Røntgen av øsofagus, ventrikkel og duodenum er lite egnet for påvisning av refluks eller øsofagitt, men kan brukes til å påvise anatomiske anomalier som hiatushernie, striktur eller utløpshinder for ventrikkel, f.eks. malrotasjon (5). Ingen av disse undersøkelsene var foreløpig gjort hos vår pasient.

    Like før avtalt poliklinisk kontroll etter fire måneder ble jenta akutt innlagt med magesmerter og oppkast. Hun hadde da kastet opp nesten hver dag i 17 dager, med én stor tømming hver ettermiddag/kveld, hvorpå pasienten opplevde umiddelbar symptomlindring. Det var ingen sikre observasjoner av blod eller galle ved oppkast. Hun hadde gått ned 5,5 kg i løpet av et halvt år, men var fremdeles innenfor normal vekt for alderen. De siste to ukene hadde pasienten og hennes foreldre vært i kontakt med legevakt og fastlege to ganger, og fastlegen hadde hatt telefonisk rådgivning med barneavdelingen. Nexium var blitt seponert av legevaktlege, men gjeninnsatt av fastlegen. Hun hadde brukt makrogol i flere måneder og hadde fremdeles normal/bløt avføring hver eller annenhver dag. Blodprøver hos fastlegen noen dager før innleggelse viste ingen alvorlig dehydrering, men symptomene vedvarte og mor opplevde datteren som meget slapp og i nedsatt allmenntilstand.

    På innleggelsesdagen var hemoglobin (Hb) 17,2 (10,9–14,6) målt hos fastlegen, og hun ble vurdert som moderat dehydrert. Blodprøver i mottak viste flere avvikende verdier: Hb 16,5 g/dl (10,9–14,6), hematokrit 0,48 (0,33–0,43), erytrocytter 5,7 · 1012/l (3,9–4,9), monocytter 0,99 · 109/l (0,3–0,7), natrium 136 mmol/l (138–145), kalium 2,6 mmol/l (3,6–4,7), klor 82 mmol/l (97–107), ionisert kalsium 1,08 mmol/l (1,14–1,32) og kreatinin 80 μmol/l (37–73). Venøs blodgass viste pH 7,45 (7,35–7,45), baseoverskudd (BE) 15,2 mmol/l (-3,0–+3,0), pCO2 7,8 kPa (4,7–5,9), pO2 5,0 kPa (11,0–14,4), HCO3 40,2 mmol/l (22,0–26,0), altså en kompensert hypokloremisk, metabolsk alkalose, noe som kunne passe med langvarig oppkast. Pasienten fikk smerter ved dyp palpasjon i epigastriet, men anga ellers lite smerter. Øvrig klinisk undersøkelse viste normale funn. Avføringen var bløt uten synlig blod eller slim, og hun kastet ikke opp etter at hun kom til sykehuset.

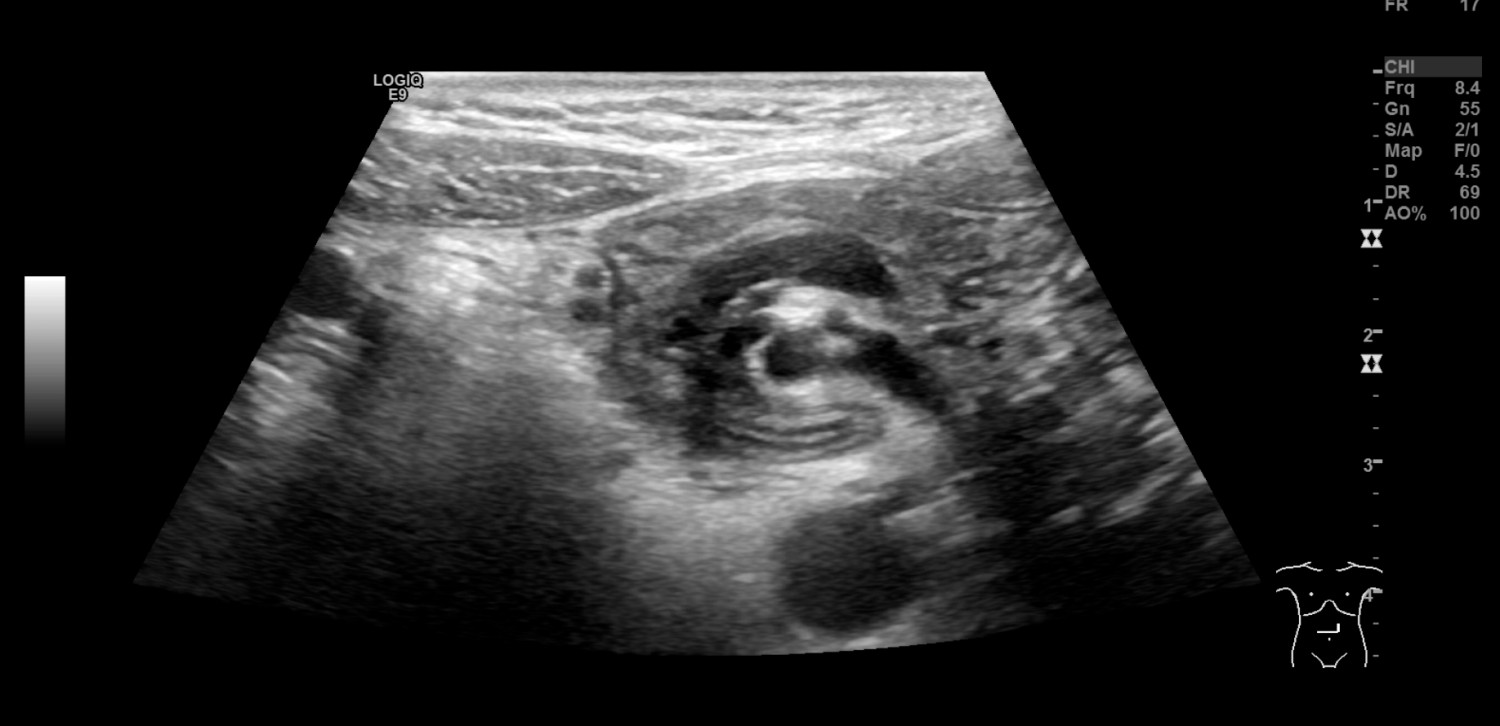
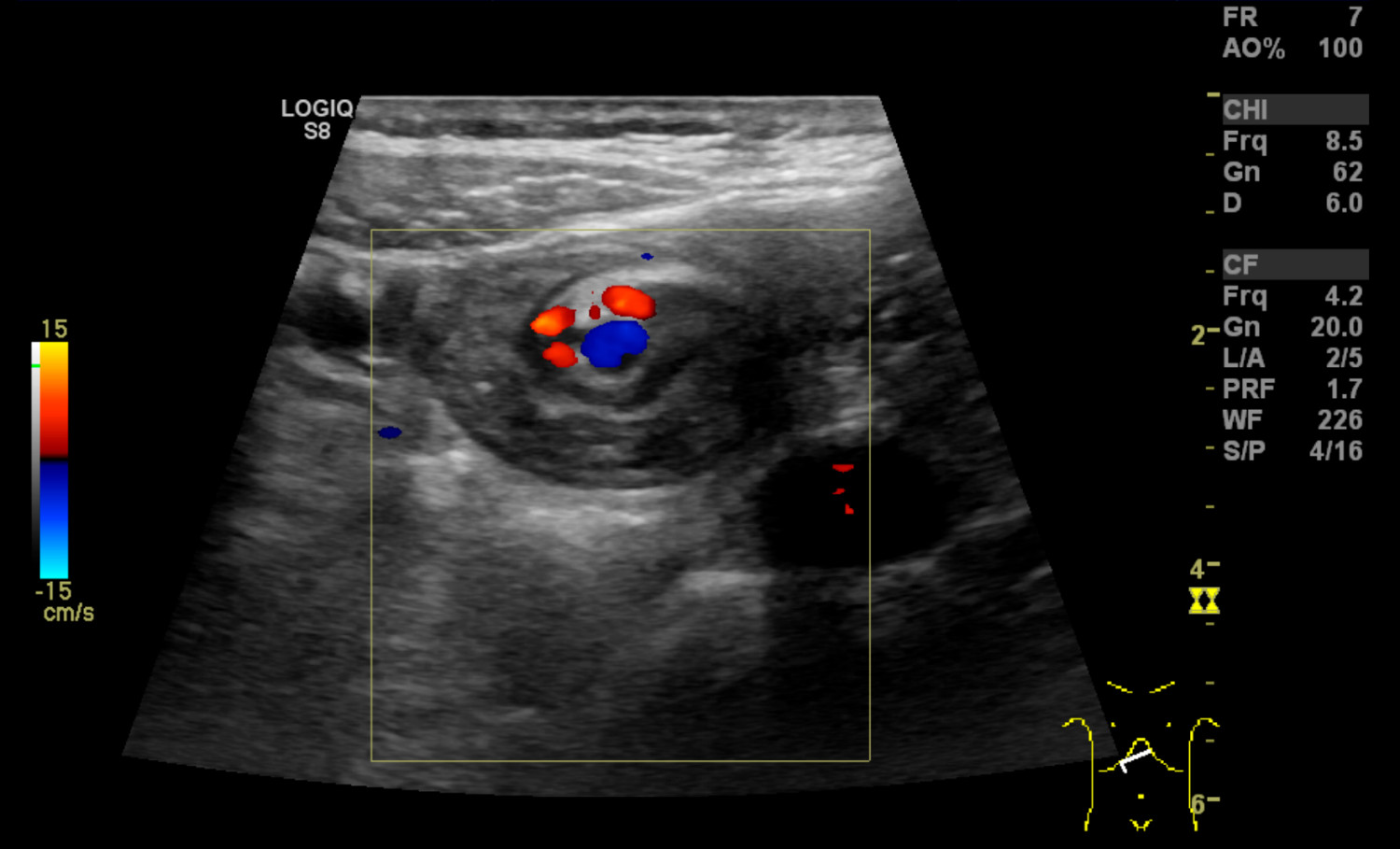
    En såpass uttalt og akutt forverring passet ikke med tidligere vurderte diagnoser som abdominal migrene, gastroøsofageal refluks eller obstipasjon, og differensialdiagnostisk ble ventrikkelretensjon eller arteria mesenterica superior-syndrom vurdert. Ved innkomst startet man behandling med erytromycin (Ery-Max) mikstur 3 mg/kg for å stimulere til ventrikkeltømming, intravenøs NaCl og glukoseløsning tilsatt natrium og kalium, samt kaliummikstur 10 ml x 3 peroralt. Ultralyd abdomen ble utført av radiologisk lege i spesialisering fredag kveld, og det ble beskrevet virvellignende rotasjon (whirl sign) i epigastriet som involverte vena og arteria mesenterica superior (figur 1). Legen mistenkte intestinal malrotasjon og anbefalte i første omgang kontrollultralyd av erfaren barneradiolog på dagtid. Det ble også bemerket spiss vinkel mellom aorta og proksimale del av a. mesenterica superior, som ved mulig arteria mesenterica superior-syndrom. Det var normale funn ved røntgen oversikt abdomen.

    Gjennom helgen ble jenta observert. Hun hadde bedre allmenntilstand, lite magesmerter og ingen episoder med oppkast. Elektrolyttnivået ble raskt normalisert etter påbegynt væskebehandling. Mandag formiddag ble det gjort ultralydkontroll av en erfaren barneradiolog som bekreftet funn av virvellignende rotasjon (figur 1 og 2) og som mistenkte ledsagende volvulus (tarmslyng som følge av at et tarmsegment vris rundt sin egen akse). Diagnosen ble bekreftet med røntgen øsofagus, ventrikkel og duodenum som viste kontrastpassasje til proksimale tynntarm, men ikke videre (figur 3). Overgangen mellom duodenum og tynntarm lå like til venstre for midtlinjen, kaudalt for nivå med bulbus duodeni, noe som indikerte malrotasjon med volvulus. Man hadde omsider funnet forklaringen på pasientens langvarige plager (figur 4).

    Malrotasjon oppstår under 4.–12. svangerskapsuke. Det affiserer duodenums leie fra åpningen av ductus choledochus t.o.m. første 2/3 av colon transversum og innbefatter varierende grad av kort mesenterium og proksimale, obstruerende fibrøse bånd (Ladds bånd) (6). Malrotasjon kan ha fra ingen til en rekke symptomer. Uten volvulus kan det forekomme gallefarget oppkast, magesmerter eller appendisitt i unormal lokalisasjon. Ved malrotasjon med ledsagende volvulus og sirkulasjonsforstyrrelser i tarm kan det i tillegg være blodig avføring og peritonitt. Ved partiell eller intermitterende volvulus kan det forekomme proteintapende enteropati, manglende tilvekst, malnutrisjon og okkult gastrointestinal blødning (6). Den klassiske presentasjonen av malrotasjon er gallefarget oppkast hos nyfødte eller spedbarn, og barn med gallefarget oppkast bør antas å ha malrotasjon inntil det motsatte er bevist (6). Abdominale symptomer og radiologiske funn hos et barn med malrotasjon med volvulus kan være subtile og uspesifikke, til tross for en svært alvorlig og potensielt livstruende underliggende tilstand. Etter hvert som midttarmen blir iskemisk, kan pasienten utvikle melena, irritabilitet, smerter, abdominal distensjon og peritonitt, og i verste fall septisk sjokk og død ved utvikling av nekrotisk tarm (6). Tidligst mulig diagnose og behandling er essensielt for å unngå tarmiskemi med alvorlige følger for barnet.

    Ved ultralydundersøkelse ligger normalt v. mesenterica superior til høyre for a. mesenterica superior. Hvis venen ligger til venstre eller foran arterien, gir det sterk mistanke om malrotasjon. Sensitivitet er angitt til 67–100 % og spesifisitet til 83–92 % (7). Ved unormalt leie påvist på ultralyd bør man gå videre med røntgen av øsofagus, ventrikkel og duodenum. Hos vår pasient så man på ultralyd det såkalte «whirl sign», som er regnet som 100 % spesifikt for midttarmsvolvulus (7): Duodenum, proksimale del av tynntarm og v. mesenterica superior snurrer rundt a. mesenterica superior. Bakenforliggende årsak er malrotasjon og et kort mesenterium. Midttarmsvolvulus gir en duodenal, altså en helt proksimal obstruksjon, og røntgen oversikt abdomen kan således vise helt normale funn, mens barnet likevel har en akutt, operasjonstrengende tilstand.

    Ved volvulus vil røntgen av øsofagus, ventrikkel og duodenum vise en obstruksjon, ofte med et «korketrekkerforløp» av duodenum og manglende fylning videre. Ved mistanke om volvulus bør det gis vannløselig kontrast ved røntgen, da det kan bli behov for tarmreseksjon, og lekkasje av kontrast kan forekomme peroperativt.

    Pasienten ble overflyttet fra lokalsykehus til barnekirurgisk seksjon ved universitetssykehus for akutt operasjon. Det ble gjort laparotomi med funn av malrotasjon med volvulus, hvor det forelå en 720 graders rotasjon av midttarmen. Midttarmen ble detorkvert og det forelå ingen sirkulasjonsforstyrret tarm. Ladds prosedyre ble deretter gjennomført. Denne innebærer breddeøkning av krøset for å forhindre fremtidig volvulus, leiring av tarmen i en ikke-rotasjonstilstand med plassering av duodenum og tynntarm til høyre i bukhulen, mens ileocøkalovergangen blir plassert i øvre venstre kvadrant. Colon blir leiret i venstre abdominalhalvdel. Det gjøres som oftest, som hos vår pasient, appendektomi for å forhindre en fremtidig atypisk appendisitt.

    Det postoperative forløpet var ukomplisert, og ifølge pasientens mor har barnet vært helt symptomfri det første året etter operasjonen.

    Diskusjon

    Diskusjon

    Kasuistikken illustrerer utfordringer i diagnostikk av barn med magesmerter og oppkast. De fleste med symptomgivende malrotasjon og ledsagende volvulus oppdages i tidlig barnealder før fylte to år (6). Tilstanden er langt sjeldnere ved 12 års alder, som hos denne pasienten (6). Symptomene var intermitterende og magesmertene hadde stor variasjon i intensitet. Dette er typisk for denne aldersgruppen, men gjorde diagnostikken utfordrende (6).

    Ultralyd med doppler, der man kan påvise den virvellignende rotasjonen, er i trenede hender svært nyttig i diagnostikken (3) og er ofte den første bildeundersøkelsen barnet får gjort. Røntgen av øsofagus, ventrikkel og duodenum er gullstandard for diagnostikk av malrotasjon og bør alltid utføres som øyeblikkelig hjelp ved mistanke om malrotasjon – selv ved negativ ultralyd (6, 7). Til tross for at man i løpet av radiologispesialiseringen skal ha opplæring i ultralydundersøkelser på barn, kan man ikke forvente at alle kjenner til ultralydfunn ved uventet volvulus. De færreste som ikke jobber med barn, vil noen gang se det. Man bør imidlertid, både som kliniker og radiolog, være spesielt oppmerksom på babyer/barn med gallefarget oppkast. Da må malrotasjon og volvulus alltid mistenkes. Det kan være subtile abdominale symptomer initialt, og det er som regel først sent i forløpet at barnet utvikler blodig avføring og peritonitt (6). Det kan da allerede foreligge irreversibel iskemisk skade av midttarmen. Ved rask, presis diagnostikk og påfølgende kirurgi ved påvist malrotasjon kan en potensielt livstruende tilstand få et vellykket utfall.

    Pasienten og foresatte har gitt samtykke til at artikkelen med bilder blir publisert.

    Kommentarer  ( 0 )
    PDF
    Skriv ut

    Anbefalte artikler