Uveitt og akutt nyresvikt kan ses ved flere immunologiske systemsykdommer. Her presenteres en ung mann med et sjeldent inflammatorisk okulorenalt syndrom.
En mann i 30-årene ble av fastlege henvist til sykehus for utredning grunnet to måneder med slapphet, flankesmerter og 10 kg vekttap. Tre måneder tidligere var han blitt behandlet for førstegangs bilateral fremre uveitt, men var ellers frisk. Blodprøver ved innleggelse viste anemi, leukocytose med eosinofili samt forhøyet kreatinin og inflammasjonsmarkører (tabell 1).
Tabell 1
Pasientens blodprøveverdier ved innleggelse.
| Blodprøve | Verdi (referanseområde) |
|---|---|
| Hemoglobin (g/dl) | 11,1 (13,2–16,5) |
| Leukocytter (· 109/l) | 10,4 (3,9–9,8) |
| Eosinofile granulocytter (· 109/l) | 0,71 (0,03–0,44) |
| Kreatinin (µmol/l) | 228 (60–105) |
| Glomerulær filtrasjonsrate (GFR) (ml/min/1,73 m2) | 32 (89–143) |
| C-reaktivt protein (CRP) (mg/l) | 19 (< 7) |
| Senkningsreaksjon (mm/time) | 49 (< 15) |
Bilateral uveitt, nyresvikt, forhøyede inflammasjonsmarkører og vekttap gav mistanke om immunologisk betinget systemsykdom. Røntgen thorax viste ingen sarkoidosesuspekte forandringer, og angiotensinkonverterende enzym (ACE) i serum var normal. Han hadde normal tåre- og spyttproduksjon, og det var ingen symptomer eller funn som gav mistanke om systemisk lupus erythematosus, småkarsvaskulitt eller Behçets sykdom. HLA-B27 var negativ, og han hadde ikke korsryggsmerter, daktylitt, eller entesitt som pekte i retning spondyloartritt.
Immunologiske analyser, inkludert revmatoid faktor, antistoffer mot sykliske citrullinerte peptider (anti-CCP), antinukleære antistoff og antinøytrofile cytoplasmiske antistoff (ANCA) var normale. Mikrobiologiske analyser gav ikke holdepunkt for hiv, syfilis, toksoplasmose, tuberkulose, cytomegalo-, varicella-zoster- eller Epstein-Barr-virusinfeksjon.
Albumin-kreatinin-ratio i urin var 3,8 (ref. 0–3 mg/mmol). Urinmikroskopi viste 5 leukocytter og 5 isomorfe erytrocytter per synsfelt samt nyretubuliceller og hyaline sylindre med inklusjoner.
Konstellasjonen av bilateral fremre uveitt, anemi, eosinofili, forhøyede inflammasjonsmarkører og nyresvikt med lavgradig proteinuri og ikke-nefrittisk urinsediment gav mistanke om tubulointerstitiell nefritt og uveitt (TINU)-syndrom.
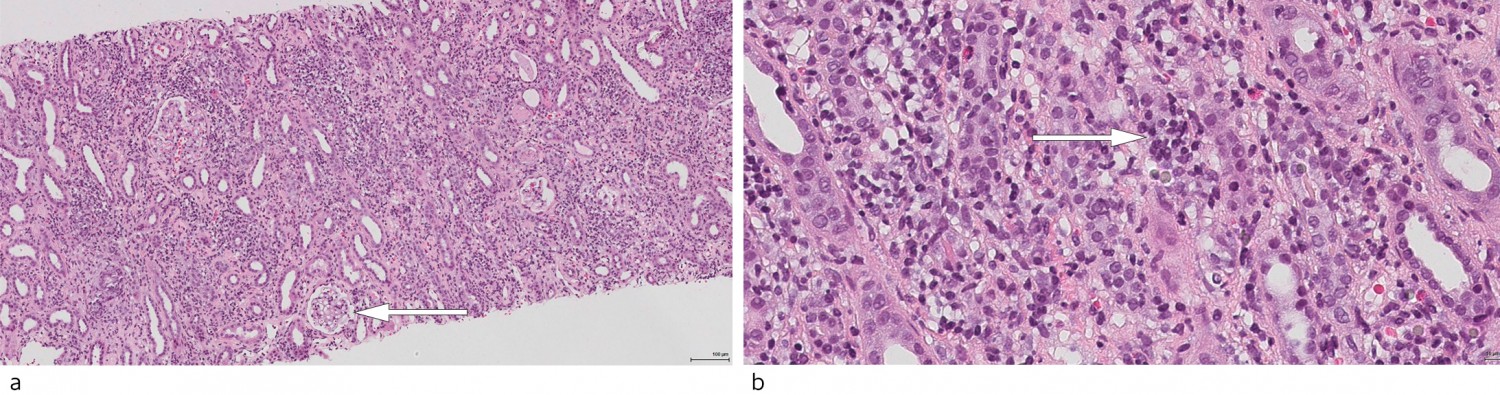
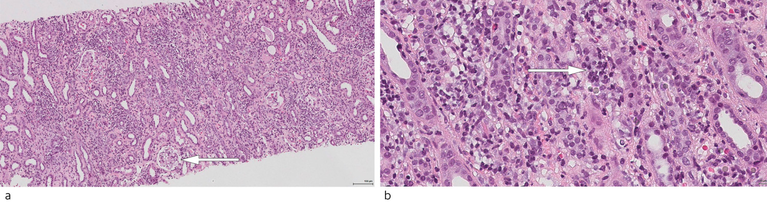
Nyrebiopsi avdekket kraftig tubulointerstitiell nefritt (figur 1 a og b), som støttet diagnosen. Det ble igangsatt behandling med perorale kortikosteroider, og ved kontroll to måneder senere hadde han normal urinmikroskopi, hemoglobin, kreatinin og inflammasjonsmarkører.
Diskusjon
Tubulointerstitiell nefritt og uveitt-syndrom kan diagnostiseres hos pasienter med uveitt og tubulointerstitiell nefritt hvor andre systemsykdommer med tilsvarende okulorenale manifestasjoner som sarkoidose, Behçets sykdom, ANCA-assosierte vaskulitter, systemisk lupus erythematosus, Sjögrens syndrom og tuberkulose har blitt utelukket (1, 2). Tilstanden ble først beskrevet i 1975 (3), og det er rapportert i overkant av 200 tilfeller (4). I en oversiktsartikkel med 133 pasienter var median alder ved diagnosetidspunkt 15 år (2).
Årsaken til syndromet er ukjent, men det er antatt å være en autoimmun tilstand som oppstår hos genetisk predisponerte individer etter eksponering for en eller flere utløsende miljøfaktorer (1). Ikke-steroide antiinflammatoriske midler (NSAID), antibiotika og infeksjon med blant annet Chlamydia trachomatis har blitt anført som utløsende årsak (5). Celler i nyretubulus og øyets strålegeme deler likhetstrekk i transport av elektrolytter, og det er postulert at disse cellene kan ha kryssreaktive autoantigener som gir en organspesifikk okulorenal inflammasjonsprosess (6). En annen hypotese er at C-reaktivt protein (CRP), som vanligvis forekommer som et sirkulerende pentamermolekyl, kan bindes til lipider i vev og dissosiere til en monomerisk form – mCRP. Dette medfører en konformasjonsendring som avdekker neoantigener i CRP som immunforsvaret kan reagere mot (7). Ved tubulointerstitiell nefritt og uveitt-syndrom er det beskrevet høye konsentrasjoner av mCRP i tubulointerstitium samt serum-anti-mCRP-antistoffer som samlokaliserer med mCRP i uvea og interstitium (6). T-cellemedierte prosesser antas også å bidra i patogenesen, basert på immunhistokjemiske funn av tubulointerstitiell infiltrasjon av CD4+ og CD8+ T-celler (2, ).
Den vanligste presentasjonen er uveitt og akutt nyresvikt, ofte ledsaget av feber, slapphet, ledd- og flankesmerter (1). Akutt bilateral fremre uveitt er hyppigste okulære fenotype, men bakre uveitt og panuveitt er også beskrevet (5). Blodprøver viser ofte anemi, eosinofili og forhøyede inflammasjonsmarkører. Urinundersøkelse kan avdekke steril pyuri, hematuri og proteinuri, og nyrebiopsi vil vise tubulointerstitiell nefritt (1). Øyemanifestasjonene oppstår som regel mellom 2 måneder før og 12 måneder etter nyreaffeksjonen (2).
Både tubulointerstitiell nefritt og uveitt kan være organtruende manifestasjoner som krever rask behandling. Ved tubulointerstitiell nefritt og uveitt-syndrom blir nyreaffeksjonen ofte beskrevet som mild og selvbegrensende, men i en studie med 35 voksne pasienter hadde 69 % kronisk nyresykdom ett år etter diagnosetidspunktet (5). Okulær affeksjon kan være tilbakevendende, og om lag halvparten får residiverende uveitt (2, 5). Uveitt behandles med topikale (og/eller perorale) steroider og topikalt mydriatikum, mens tubulointerstitiell nefritt behandles med systemiske steroider med eller uten steroidsparende medikamenter (2).
Pasienten har gitt samtykke til at artikkelen blir publisert.
Vi takker Vebjørn Kvikstad, overlege ved Avdeling for patologi, Stavanger universitetssjukehus for bildet av pasientens nyrebiopsi.
- 1.
Okafor LO, Hewins P, Murray PI et al. Tubulointerstitial nephritis and uveitis (TINU) syndrome: a systematic review of its epidemiology, demographics and risk factors. Orphanet J Rare Dis 2017; 12: 128. [PubMed][CrossRef]
- 2.
Mandeville JT, Levinson RD, Holland GN. The tubulointerstitial nephritis and uveitis syndrome. Surv Ophthalmol 2001; 46: 195–208. [PubMed][CrossRef]
- 3.
Dobrin RS, Vernier RL, Fish AL. Acute eosinophilic interstitial nephritis and renal failure with bone marrow-lymph node granulomas and anterior uveitis. A new syndrome. Am J Med 1975; 59: 325–33. [PubMed][CrossRef]
- 4.
Clive DM, Vanguri VK. The Syndrome of Tubulointerstitial Nephritis With Uveitis (TINU). Am J Kidney Dis 2018; 72: 118–28. [PubMed][CrossRef]
- 5.
Legendre M, Devilliers H, Perard L. Clinicopathologic characteristics, treatment, and outcomes of tubulointerstitial nephritis and uveitis syndrome in adults: A national retrospective strobe-compliant study. Medicine (Baltimore) 2016; 95: e3964. [PubMed][CrossRef]
- 6.
Tan Y, Yu F, Qu Z et al. Modified C-reactive protein might be a target autoantigen of TINU syndrome. Clin J Am Soc Nephrol 2011; 6: 93–100. [PubMed][CrossRef]
- 7.
Eisenhardt SU, Thiele JR, Bannasch H et al. C-reactive protein: how conformational changes influence inflammatory properties. Cell Cycle 2009; 8: 3885–92. [PubMed][CrossRef]
- 8.
Kobayashi Y, Honda M, Yoshikawa N et al. Immunohistological study in sixteen children with acute tubulointerstitial nephritis. Clin Nephrol 1998; 50: 14–20. [PubMed]