En mann i 80-årene med leddgikt og vedvarende feber

    ()

    sporsmal_grey_rgb
    Abstract

    BACKGROUND

    Febrile illness is a common clinical problem and frequently caused by bacterial and viral infections. When blood cultures are negative and symptoms persist despite empirical antibiotic treatment, clinicians must consider other differential diagnoses including malignancy, rheumatologic disease and parasitic infections.

    CASE PRESENTATION

    A Norwegian male in his eighties experienced febrile illness during a stay in Southern Spain. Upon return to Norway, he was hospitalized with fever, weight-loss, enlarged spleen, pancytopenia and hypergammaglobulinemia. After failing to respond to broad-spectrum antibiotics and antifungals, he was diagnosed with visceral leishmaniasis and Leishmania infantum was confirmed by PCR and sequencing of spleen biopsy and blood.

    INTERPRETATION

    With increasing migration and tourism, doctors in non-endemic countries should be familiar with visceral leishmaniasis.

    Artikkel

    En mann i 80-årene ble syk med feber, nattesvette og vekttap under opphold i sitt sommerhus i Spania. To uker etter at han kom hjem, ble han innlagt med det som ble oppfattet som lungebetennelse. Han hadde stor milt og pancytopeni. Tross behandling med bredspektrete antibiotika og soppmidler ble han stadig dårligere, og var nærmest moribund da riktig diagnose ble stilt.

    En norsk mann i 80-årene ble under et opphold i Spania syk med feber opp mot 39 °C, frostbyger, nattesvette og dårlig allmenntilstand. Mannen hadde fått diagnosen anti-CCP-positiv revmatoid artritt 13 måneder før den aktuelle hendelsen. Initialt ble han behandlet med prednisolontabletter, etter tre måneder også med metotreksattabletter og den siste tiden med 20 mg metotreksat ukentlig i monoterapi. Screening før igangsatt anti-revmatisk behandling hadde ikke påvist tuberkulose eller andre kroniske infeksjoner.

    Ti dager etter hjemkomst var han fortsatt i dårlig allmenntilstand og var også blitt tungpustet. Fastlegen fant normale lungefysikalia og CRP 58 mg/l (referanseområde < 5), og gav penicillintabletter for mistenkt lungebetennelse. Fastlegen bestilte røntgen av lungene, som ble tatt samme dag og var normalt. Behandlingen hadde ingen effekt, og fastlegen la pasienten inn på medisinsk avdeling fire dager senere.

    Ved innleggelsen var mannen i redusert allmenntilstand, men våken og klar. Temperatur i øret var 38,9 °C. Han fikk frostbyger under mottak. Han hadde blodtrykk 157/84 mm Hg, regelmessig puls 98 slag/minutt, respirasjonsfrekvens 18 pust/minutt og lett forlenget ekspirium. Han angav vekttap fra 98 til 94 kg de siste to uker. Ved klinisk undersøkelse ble det ikke funnet sikkert infeksjonsfokus. Prøver til mikrobiologisk undersøkelse ble tatt fra blod, urin og nasopharynx. Blodprøver viste hemoglobin 10,0 g/dl (13,4–17,0 g/dl), SR 66 mm/t (1–20 mm/t), CRP 99 mg/l (< 5), leukocytter 1,6 ∙ 109/l (3,5–11 ∙ 109/l), blodplater 110 ∙ 109/l (145–348 ∙ 109/l), D-dimer > 4 mg/l (< 0,50 mg/l), ferritin 518 µg/l (34–300 µg/l) og normale elektrolytt-, leverenzym-, bilirubin- og kreatininverdier. Pasienten hadde en SOFA-skår (sequential organ failure assessment) på ett poeng og oppfylte ikke kriteriene for sepsis, som er definert ved SOFA-skår på to poeng eller mer. Røntgen thorax var normalt.

    Vakthavende lege oppfattet tilstanden som lungebetennelse, men vurderte differensialdiagnostisk metotreksatutløst lungefibrose og lungeemboli, og bemerket dessuten beinmargsdepresjon. På grunn av terapisvikt med peroral penicillin og nylig opphold i land med høy forekomst av resistente bakterier fikk pasienten bredspektret antibiotikabehandling med cefotaksim 2 g × 3 intravenøst.

    Neste dag var pasientens tilstand uendret, og postlege la til levofloksacin 750 mg × 1 intravenøst som dekning for legionella. Blodkulturer og antigentest for pneumokokker og legionella i urin påviste ikke agens. PCR på penselprøve fra nasopharynx og hals påviste ikke Legionella, Mycoplasma, Chlamydophila, kikhoste, influensa, parainfluensa, respiratorisk syncytialt virus (RS-virus) eller humant metapneumovirus.

    Etter tre dager var mannen fremdeles høyfebril. Allmenntilstanden ble dårligere, og blodprøvene viste økt CRP på 137 mg/l og ferritin på 960 µg/l samt ytterligere fall i hemoglobin til 8,9 g/dl, leukocytter 0,9 ∙ 109/l, nøytrofile granulocytter 0,3 ∙ 109/l og blodplater 75 ∙ 109/l. Anemien var normocytær med MCV-, MCH- og MCHC-verdier innenfor referanseområdene. Det var normale verdier for retikulocytter og haptoglobin, og lett forhøyet laktatdehydrogenase 318 U/l (115–255 U/l). Det ble ikke funnet oppvekst ved dyrkning av blodkulturer eller urin.

    Pasienten hadde pancytopeni. Normale hematologiske verdier ved rutinekontroll to måneder tidligere under pågående behandling med metotreksat gjorde det lite sannsynlig at metotreksat var årsak til pancytopenien. Man mistenkte kreftsykdom, særlig blodkreft. CT thorax på dag 3 viste ingen forstørrede lymfeknuter eller svulst, men lette fibrøse drag i lungene og forstørret milt med aksial diameter på 16,8 cm, som kunne være forenlig med lymfom eller leukemi. Den forhøyde ferritinverdien ble tillagt ferritins egenskap som akuttfasereaktant. Postlege vurderte pneumoni forårsaket av resistente bakterier som mer sannsynlig og endret antibiotikabehandlingen til meropenem 1 g × 3 intravenøst.

    Pasienten var vedvarende høyfebril, oftest med to daglige febertopper på 40,5 °C, og hallusinerte når feberen var som høyest. Mellom febertoppene var han mentalt klar. Dag 7 hadde CRP økt til 173 mg/l og leukocytter falt til 0,5 ∙ 109/l, hemoglobin til 7,6 g/dl og blodplater til 50 ∙ 109/l. Nytt lungerøntgen var normalt. Dag 8 fikk pasienten blodtransfusjon med økning av hemoglobin fra 7,6 til 8,8 g/dl, men fall til 7,8 g/dl en uke senere. Han fikk filgrastim 48 millioner enheter på dag 8, 12, 13 og 14 med forbigående effekt på granulocyttnivået (0,3–2,8–0,3 ∙ 109/l).

    Blodutstryk ble vurdert, men ikke utført ettersom infeksjon fremdeles virket sannsynlig. Leukopenien gjorde pasienten utsatt for opportunistisk infeksjon. Han fikk flukonazol 800 mg intravenøst dag 8, deretter 400 mg × 1 for mulig systemisk soppinfeksjon. Dag 9 vurderte man pneumoni med Pneumocystis jirovecii, men fant ikke dette sannsynlig nok til å forsvare behandling med kotrimoksasol, som kunne forverre pancytopenien.

    Mannen ble ikke allment bedre etter oppstart av flukonazolbehandling, men CRP-fall fra 212 til 99 mg/l gav inntrykk av at systemisk soppinfeksjon var riktig spor.

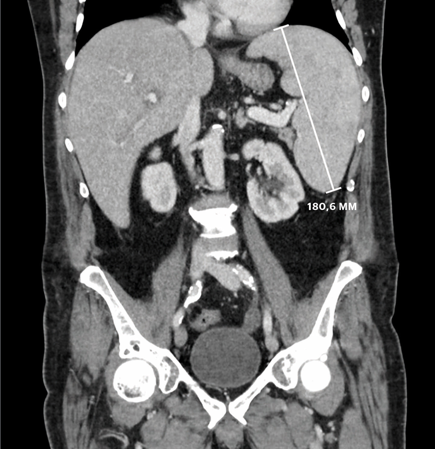
    Pasienten ble henvist til MR av lever for å lete etter mikroabscesser som kan ses ved systemisk candidiasis. MR av lever dag 12 viste ingen abscesser, men mulig miltinfarkt. For å avklare dette ble CT thorax/abdomen/bekken med kontrastvæske tatt dag 13. Bildene bekreftet miltinfarkt og økende miltstørrelse til 18 cm (figur 1). Leveren var forstørret uten at dette var kommentert i primærbeskrivelsen. Miltinfarkt gav mistanke om endokarditt. Klinisk undersøkelse dag 13 påviste ingen bilyd eller endokardittstigmata. Ved transtorakal ekkokardiografi dag 15 var det ingen holdepunkter for endokarditt. Dag 21 ble antibiotikabehandlingen stoppet for å øke sjansen for positive blodkulturer. For å utelukke infeksjon ble det under oppholdet totalt tatt 28 sett à 4 flasker. Disse hadde ikke oppvekst av verken sopp eller bakterier.

    Pasienten ble tiltagende avmagret med et samlet vekttap på 13 kg, og parenteral ernæring ble derfor startet dag 18. Hiv-test dag 19 var negativ. Dag 21 var mannen fremdeles høyfebril og i stadig dårligere allmenntilstand. Blodtransfusjoner hadde kun forbigående effekt. Han hadde forhøyet immunglobulin IgG på 35 g/l (6–15 g/l), normal IgM 1,2 g/l og IgA 2,1 g/l. Proteinelektroforese viste ingen monoklonal immunglobulin.

    Sykehusoppholdet var midt i fellesferien, og det var diskontinuitet i legedekningen i forbindelse med ferieavvikling. Etter tre uker ble sykehistorien gjennomgått med friske øyne. Hovedtrekkene i sykehistorien var feber, fallerende allmenntilstand, vekttap, forstørret milt og lever, pancytopeni, hypoalbuminemi og hypergammaglobulinemi. Disse funnene utgjør kardinaltegnene på visceral leishmaniasis (også kalt kala-azar), en livstruende parasittsykdom, som man ikke hadde sett på sykehuset siste 20 år.

    Dag 20 sendte vi blod til Folkhälsomyndigheten i Stockholm for undersøkelse for leishmaniasis-antistoffer, med en forventet svartid på to uker. Beinmargsprøve tatt dag 21 viste lett fibrose, men ingen tegn til kreft eller parasitter. Dag 25 ble det tatt miltbiopsi som sammen med EDTA-blod ble sendt til Ullevål for PCR-undersøkelse for Leishmania. Ved mikroskopi av miltbiopsien dag 26 så vi ett–to elementer som lignet leishmaniaamastigoter, men funnet var usikkert.

    Dag 25 fortalte pasienten om et tuberkuloseutbrudd i barndommen, der alle i nabohuset ble smittet, og han selv ble «omslager». Reaktivering av latent tuberkulose ble derfor vurdert som en aktuell differensialdiagnose. Mikroskopi og PCR av indusert sputum dag 26 påviste ingen mykobakterier. IGRA-prøve (interferon-gamma release assay) ble besvart som «inkonklusiv». Luftveisprøver og urin ble sendt til tuberkulosedyrkning, noe som kan ta opptil seks uker. Vi vurderte å starte empirisk tuberkulosebehandling, men besluttet oss for å avvente. Viral infeksjon ble fremdeles ansett som en mulig differensialdiagnose, men PCR av blod viste ikke-detekterbart cytomegalovirus og maksimal verdi på 7250/ml for Epstein-Barr-virus.

    Feber, leddplager og økning av ferritin fra 518 µg/l ved innkomst til 11 502 µg/l på dag 25 kunne passe med Stills sykdom, men pasienten hadde lite leddplager nå og manglet leukocytose, forhøyede aminotransferaseverdier og typisk lakserødt utslett. Feltys syndrom, karakterisert ved leddgikt, splenomegali og leukopeni, kunne ikke forklare sykdomsbildet, da tilstanden ikke gir feber. Vi startet ikke empirisk behandling mot revmatologisk sykdom, siden steroider kunne ha forverret en infeksjon og maskert symptomer på lymfom. Kreftmistanken var stor selv om billeddiagnostikken verken påviste primærtumor, metastaser eller forstørrede glandler.

    Pasienten fallerte ytterligere. Han var delirisk og virket moribund. Dag 27 startet vi behandling mot mistenkt visceral leishmaniasis med liposomalt amfotericin B 300 mg intravenøst daglig (3,5 mg/kg kroppsvekt).

    Senere samme dag fikk vi telefon fra Ullevål om at PCR bekreftet Leishmania-art i miltbiopsi og EDTA-blod. Senere sekvensering identifiserte parasitten som Leishmania infantum. Serologisk undersøkelse viste «mellomhøyt» antistofftiter mot Leishmania, tolket som «sannsynlig positiv».

    Etter ett døgn med behandling med liposomalt amfotericin B var pasienten feberfri og i klinisk bedring. Han fikk siste blodtransfusjon da han startet behandlingen, denne gangen med varig effekt. Blodplateverdiene normaliserte seg på fem dager, leukocyttene etter tre uker. Mannen ble utskrevet dag 46 i fin bedring, men trengte flere måneder rekonvalesens i hjemmet før han var tilbake i vanlig form.

    Diskusjon

    Diskusjon

    Denne sykehistorien viser at kunnskap om tropesykdommer er nyttig. Selv om pasienten hadde alle kardinaltegn på visceral leishmaniasis, tok det nesten en måned fra innleggelsen til diagnosen ble stilt. Forsinkelsen av diagnosen er forståelig siden dette er en sjelden tilstand som krever spesifikke tester for bekreftelse. I en studie fra England var median tid fra symptomer til diagnose hele seks måneder (1), noe som ville vært katastrofalt for vår pasient. Visceral leishmaniasis diagnostiseres ved serologi, PCR eller funn av parasitter i miltbiopsi, blod eller beinmarg. Vi sendte beinmarg, miltbiopsi og EDTA-blod til mikrobiologisk avdeling ved Ullevål universitetssykehus for påvisning av Leishmania ved PCR og artsbestemmelse ved sekvensering. PCR direkte på blod er en rask og enkel prøve å ta dersom det skulle være kontraindikasjon mot miltbiopsi i form av alvorlig trombocytopeni og/eller blødningsfare.

    Leishmaniaparasitter overføres av sandfluer, som i sin tur har blitt infisert gjennom å bite infiserte mennesker eller vertsdyr, for eksempel hunder i middelhavsområdet (figur 2) (2). Etter en inkubasjonstid på uker til måneder får pasienten feber, vekttap, forstørret milt og lever, pancytopeni, ødemer, hypoalbuminemi og hypergammaglobulinemi.

    Visceral leishmaniasis er en neglisjert tropisk sykdom. Den rammer hardest mennesker i ressursfattige land der behandling ofte er utilgjengelig. Av 300 000 årlige tilfeller forekommer 90 % i Nordøst-India, Nepal, Bangladesh, Sudan og Brasil (2, 3). Målrettede programmer det siste tiåret har ført til bedre pasientbehandling, vektorkontroll og redusert forekomst i høyendemiske land (4). For reiseglade nordmenn er det interessant å vite at Leishmania infantum forekommer i middelhavsområdene, inkludert Spania, der vår pasient har sommerhus, og at den forårsaker flere hundre årlige tilfeller av visceral leishmaniasis i Sør-Europa (5).

    Pasienten fikk intravenøs behandling med liposomalt amfotericin B (3 mg/kg kroppsvekt) etter retningslinjer (6). Immunkompetente anbefales totaldose på 21 mg/kg fordelt over syv doser dag 1–5, 14 og 21. Vi behandlet etter anbefaling for immunsupprimerte med 40 mg/kg fordelt over ti doser i løpet av 38 dager, og pasienten fikk behandling dag 1–6, 11, 17, 24 og 31. Medikamentet er effektivt, men dessverre så dyrt (cirka 60 000 kroner per kur) at det er utilgjengelig i mange ressursfattige områder. En enkeltdose liposomalt amfotericin B (5 mg/kg) etterfulgt av en uke peroral miltefosin brukes som et rimeligere behandlingsalternativ i Asia med god effekt (6). Ikke-liposomal amfotericin B er rimeligere, men gir ofte nyresvikt. Pentavalent antimon (grunnstoff 51), tilgjengelig som natriumstiboglukonat og megluminantimoniat, var tidligere viktigste behandling, men er nå lite brukt grunnet resistens og toksisitet, bortsett fra i Øst-Afrika, der amfotericin B er mindre effektivt. Vår pasient hadde biokjemisk, men ikke klinisk effekt av flukonazol, som brukes mot visse typer kutan leishmaniasis, men som ikke er anbefalt ved visceral leishmaniasis.

    Immunsuppresjon med metotreksat kan ha vært en risikofaktor for sykdom hos vår pasient (1, 2). Mange norske pensjonister som oppholder seg i middelhavsområdene, kan være immunsupprimerte på grunn av medikamenter eller sykdom. Norske leger bør vurdere muligheten for visceral leishmaniasis ved uavklart febersykdom i denne pasientgruppen og hos andre reisende fra endemiske områder, og eventuelt henvise til spesialisthelsetjenesten for diagnostikk og behandling.

    Takk til thoraxradiolog Siri Marie Blomberg for hjelp med tolkning av bilder.

    Pasienten har gitt samtykke til at artikkelen blir publisert.

    Artikkelen er fagfellevurdert.

    Kommentarer  ( 0 )
    PDF
    Skriv ut

    Anbefalte artikler