Lumbago er en vanlig lidelse som i noen tilfeller kan være uttrykk for alvorlig bakenforliggende sykdom. En grundig anamnese er avgjørende for å kunne avdekke varselssymptomer. Vår pasient hadde flere såkalte røde flagg, og omfattende utredning resulterte i en uvanlig diagnose.
En kvinne i 80-årene ble innlagt på lokalsykehuset for utredning av lumbale ryggsmerter som hadde vart i et halvt års tid. Ledsagende symptomer var vekslende avføringsmønster, vekttap på 14 kg (tilsvarende om lag 25 % av kroppsvekten) og progredierende allmennsymptomer. Før dette var hun vesentlig frisk, selvhjulpen og sprek. De siste 16 årene hadde hun bodd halve året på Gran Canaria, Spania, og det var her hun først utviklet allmennsymptomer.
Kroniske ryggsmerter er en vanlig tilstand, og ofte er smertene uspesifikke (1). En sjelden gang er imidlertid smertene uttrykk for alvorlig bakenforliggende sykdom, og ved allmennsymptomer og vekttap er malignitet nærliggende å tenke på. Med langvarige smerter, nattesvette og vekttap hadde vår pasient flere såkalte røde flagg (ramme 1).
Allmennsymptomer, feber, nattesvette, vekttap
Nevrologiske utfallssymptomer
Traume/høyenergiskade
Behandlingsrefraktære smerter
Høy alder
Langvarig bruk av kortikosteroider/immunsuppresjon
Synlige kontusjoner/sår over spina vertebrae
Tidligere kreftsykdom
Ved innleggelse hadde pasienten temperatur 36,3 ºC, blodtrykk på 150/100 mm Hg, puls 75 slag/min, respirasjonsfrekvens 16 per minutt og oksygenmetning 97 % i romluft. Hun hadde kald hud distalt, uregelmessig aksjon over cor, lett svekket respirasjonslyd basalt i venstre lunge, men hun var ikke palpasjonsøm over columna. Røntgen thorax viste mulig atelektase medialt i underlappen på venstre side. Det var ikke tegn til pleuravæske.
Blodprøver viste leukocytter 8,8 · 109/l (4,3–10,7 · 109/l), trombocytter 575 · 109/l (165–387 · 109/l), C-reaktivt protein (CRP) 86 mg/ml (< 5 mg/ml), hemoglobin 14,4 g/dl (11,7–15,3 g/dl), natrium 142 mmol/l (137–145 mmol/l), kalium 2,6 mmol/l (3,5–5,0 mmol/l), kreatinin 41 µmol/l (45–90 µmol/l), alkalisk fosfatase 111 U/l (< 105 U/l), gammaglutamyltransferase (GT) 116 U/l (< 75 U/l), alaninaminotransferase (ALAT) < 10 U/l (< 45). Urintest og hemofec var negative for pneumokokkantigen. Blodkulturer var uten vekst. Det ble rekvirert computertomografisk (CT) undersøkelse av thorax, abdomen og bekken på mistanke om malignitet. Hypokalemi ble korrigert med Ringer-acetat tilsatt kaliumklorid.
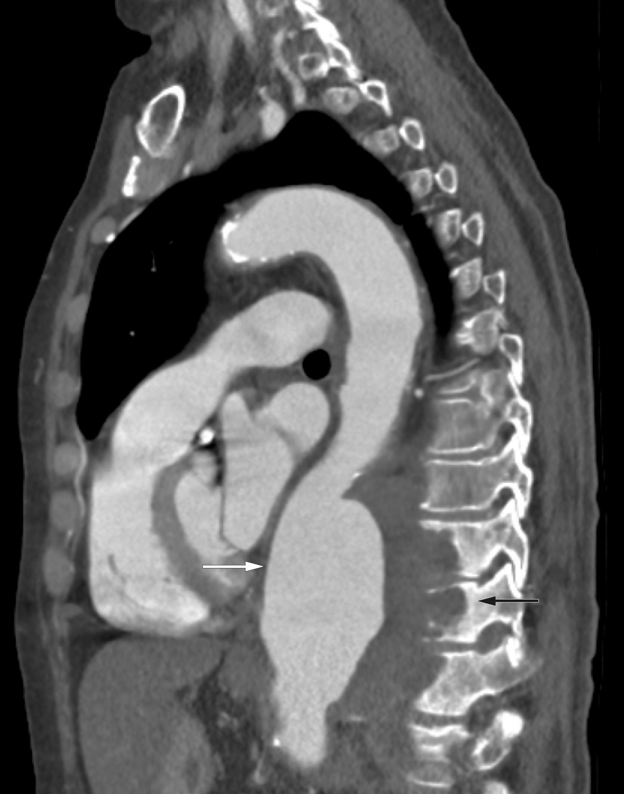
CT thorax viste et stort fusiformt, torakalt aneurisme i aorta descendens med største anteroposteriore diameter på 10,5 cm (figur 1). Funnet var radiologisk forenlig med et mykotisk aneurisme med destruksjon av tilliggende torakalcolumna. Det var ikke tegn til malignitet.
To døgn etter første innleggelse ble pasienten overført til en spesialavdeling ved regionsykehuset hvor det ble utført perkutan stentinnleggelse i aorta descendens. Det var ikke mulig å sikre vevsprøver fra aneurismet under prosedyren. Det ble heller ikke sikret blodkulturer i forbindelse med oppholdet. Tre dager etter operasjonen, og uten påvist sikker årsak til utvikling av mykotisk aneurisme, ble hun flyttet tilbake til lokalsykehuset. Hun mottok empirisk behandling med piperacillin/tazobaktam 4 g/0,5 g x 3/døgn intravenøst i totalt fire uker, med overgang til peroral behandling med amoksicillin/klavulansyre 500 mg/125 mg x 3 ved utreise med planlagt behandlingstid i ytterligere seks måneder. Ved utskrivning til lokalt sykehjem var hun i svak bedring, men fortsatt plaget av ryggsmerter.
Torakale og abdominale aortaaneurismer er vanligvis asymptomatiske og påvises gjerne som bifunn på radiologiske undersøkelser (2). Ved disseksjon av torakale aorta oppstår akutte brystsmerter og/eller torakale ryggsmerter. Kardinaltegnet på et symptomatisk abdominalt aortaaneurisme er en smertefull, pulserende oppfylning i buken. Når bukaorta eller iliacakar er involvert, vil det ofte være ledsagende lave ryggsmerter. I sjeldne tilfeller kan aneurismet være forårsaket av infeksjon (mykotisk aneurisme) (3). Feber, redusert allmenntilstand, forhøyet CRP og leukocytose vil da vanligvis være til stede. Blodkulturer er positive i 50–70 % av tilfellene. Stafylokokker og salmonella er vanlige agens.
Knappe to uker senere ble pasienten reinnlagt på lokalsykehuset etter tre dagers sykehistorie med dyspné og tiltakende ryggsmerter. Røntgen thorax ble tatt samme dag og kunne ikke vise noen aktuell patologi intratorakalt. Spesielt var det ingen tegn til pneumonisuspekte fortetninger eller signifikante pleurale ansamlinger. Magnetisk resonanstomografi (MR) av columna ga mistanke om osteomyelitt i virvelkorpora Th 10–12, i os ileum og i proksimale femur. En måned etter reinnleggelsen ble hun på nytt overført til spesialavdeling ved regionssykehuset for beinbiopsi av virvelkorpus.
Beinbiopsien ble sendt til undersøkelser, men verken dyrkning eller polymerasekjedereaksjon (PCR)-sekvensering av 16S rRNA-genet kunne påvise mikrobiologiske agens. Samtlige blodkulturer under dette oppholdet var også negative. Det ble ikke påvist tarmpatogener i avføring. Infeksjonsmedisiner ble konsultert og peroral behandling med rifampicin 300 mg x 2 og ciprofloksacin 500 mg x 2 ble lagt til for å utvide det antimikrobielle spekteret og for å optimalisere penetrasjon til beinvev. Pasienten ble igjen flyttet tilbake til lokalsykehuset etter to dager, før alle prøvesvar var ferdig besvart.
MR-kontroll ble utført to uker etter beinbiopsi og viste lettgradig volumøkning av det mykotiske aneurismet, paraaortale abscesser, spondylodiskitt i Th10/Th11 samt økt mengde pleuravæske (figur 2). Antibiotika hadde ikke hatt noen overbevisende effekt. Situasjonen var uholdbar og svært belastende for pasienten, som på dette tidspunktet var sterkt preget av kakeksi og stort sett var sengeliggende med intraktable ryggsmerter. Tre og en halv måned etter første innleggelse ble hun for tredje gang overført til ny spesialavdeling ved regionssykehuset og operert med stabiliserende ryggkirurgi med fiksasjon av Th7–L3.
Flere biopsier, blodkulturer og pleuratappinger hadde ikke påvist noe mikrobiologisk agens. Dyrkningsprøver for mykobakterier var også negative. Nivået av infeksjonsmarkøren prokalsitonin var under nedre referanseområde. CRP og senkningsreaksjonen (SR) hadde vært svingende under hele forløpet og var tilsynelatende upåvirket av bredspektret antibiotikabehandling. Det eneste holdepunktet for infeksiøs etiologi var de radiologiske funnene. I samråd med infeksjonsmedisiner valgte vi å seponere antibiotika. Pasienten mottok på dette tidspunktet kun smertelindrende behandling. Etter sterkt påtrykk fra pårørende ble det besluttet å starte utredning for andre årsaker.
Autoimmun vaskulitt kunne forklare den langvarige inflammasjonstilstanden, men sannsynligvis ikke den destruktive prosessen av skjelettstrukturer. Blant ikke-infeksiøse aortitter er storkarsvaskulittene blant de vanligste årsakene (4). I Spania hadde pasienten fått behandling med prednisolon (30 mg x 1 daglig i nedtrappende doser) for mistenkt polymyalgia rheumatica. Inflammasjonsparametere ble da normalisert, noe som ga mistanke om en underliggende autoimmun prosess. Antistoffer mot nøytrofilt cytoplasma-antigen (ANCA) var negative, og sykehistorien var heller ikke typisk for ANCA-positiv vaskulitt.
Pasienten hadde fra tidligere polycythaemia vera, men mottok ingen aktiv behandling for tilstanden. Myelomatose kunne forklare fokale forandringer i skjelettet. På innleggelsestidspunktet ble det påvist monoklonal komponent (M-komponent) 0,6 g/l av typen IgG-lambda i serum ved proteinelektroforese. Videre prøver viste i serum frie lette kappakjeder 36,0 mg/ml (6,70–22,4 mg/ml), lambdakjeder 30,6 mg/ml (8,30–27,0 mg/ml) og kappa/lambda-ratio 1,18 (0,31–1,56). Pasienten utviklet mikrocytær anemi i løpet av de første månedene etter første innleggelse, med hemoglobin (Hb) 9,4 g/dl (11,7–15,3), gjennomsnittlig cellevolum i de røde blodcellene (MCV) 72 fl (82–98) og gjennomsnittsinnholdet av hemoglobin per erytrocytt (MCH) 23 pg (27–33). Da konsentrasjonen av M-komponenten var lav og det mykotiske aneurismet kunne forklare vekttapet, anså hematolog sannsynligheten for myelomatose som lav. Anemien ble oppfattet som en sekundæranemi.
Radiologisk diagnostikk ga som nevnt ikke mistanke om malignitet, og det var ikke malign infiltrasjon av beinmarg i biopsier. Atypiske celler ble ikke påvist ved gastro- og koloskopi med biopsier, og heller ikke ved cytologi fra pleuravæske. Brystkreft er den vanligste kreftform hos kvinner og metastaserer hyppig til lunger og beinvev (5). Mammografi viste ingen malignitetssuspekte lesjoner.
Vi hadde etter omfattende utredning ingen holdepunkter for tilgrunnliggende kreftsykdom hos pasienten. Ekkokardiografi kunne ikke påvise perikardvæske eller endokardittsuspekte klaffelesjoner og det var ingen tegn til avleiringssykdom som amyloidose. Søket etter en sikker diagnose fortsatte. Det ble lagt vekt på kvinnens reiseanamnese og at symptomene oppstod på Gran Canaria hvor hun gikk på fotturer i områder med beitende buskap. Vi lette etter infeksjonssykdommer som kunne forårsake mykotisk aortaaneurisme og dyrkningsnegativ osteomyelitt. En aktuell kandidat var Coxiella burnetii (Q-feber). Vi sendte prøver til Folkhälsomyndigheten i Sverige og ble overrasket da serologi kom tilbake som positiv. Prøvene viste fase I-IgM-titer 80 (< 40), fase I-IgG-titer 5 120 (< 40), fase II-IgM-titer 40 (< 40) og fase II-IgG-titer 5 120 (< 40). På dette tidspunktet hadde det gått seks måneder siden første innleggelse.
Pasienten hadde på dette tidspunktet også pleuravæske som ble terapeutisk tappet. Det ble utført ny tapping av denne, som viste empyem med lav pH (6,89) og ikke-målbar glukose. Det hadde ikke vært tegn til empyem ved tidligere tappinger. Prøvemateriale ble sendt til spesifikk PCR ved Folkehelseinstituttet i Oslo. Her ble C. burnetii bekreftet. Hun tilfredsstilte følgelig internasjonale kriterier for sikker, kronisk Q-feber med affeksjon av aorta og skjelettstrukturer (6). I henhold til retningslinjene startet man behandling med doksysyklin 100 mg x 2 med tillegg av hydroksyklorokin 200 mg x 3 (7). Det ble av infeksjonsmedisiner anbefalt behandling i minst 24 måneder, avhengig av respons og bivirkninger.
Det videre forløpet for vår pasient har vært utfordrende, men med gradvis bedring av smerter og funksjonsnivå. Hun bor i omsorgsbolig med daglig tilsyn og hjelp og møter til jevnlige kontroller på sykehuset. CRP, leukocyttpartikkelkonsentrasjonen (LPK) og SR er normalisert. Kontroll med CT thorax seks måneder etter oppstart av doksysyklin og hydroksyklorokin viste stasjonære forhold av aneurismet og tilbakegang av empyem. På grunn av fremmedlegemer i form av stenttransplantat i aortaneurismet og implantater i antatt infiserte områder i ryggen planlegger vi livslang behandling med doksysyklin.
Diskusjon
Q-feber (Query-fever) er en zoonose forårsaket av den intracellulære bakterien Coxiella burnetii (8). En sporelignende tilstand tillater den å overleve i flere uker utenfor vertscellen (9). De viktigste reservoarene er drøvtyggere, fugler og flått. Gårdsdyr er vanligste smittekilde for mennesker. Infiserte dyr skiller ut bakterier i melk, urin, avføring og svangerskapsprodukter.
Sykdommen finnes over hele verden og forekommer som regelmessige endemiske utbrudd. Det er registrert flere slike utbrudd i Europa de senere år (9). I Norge har man ikke kunnet påvise Q-feber hos dyr, og tilfeller med akutt sykdom hos mennesker har vært importert fra utlandet (10). Q-feber er nominativt meldepliktig til Meldingssystem for smittsomme sykdommer (MSIS) i gruppe A. I 2017 ble det meldt fire tilfeller, alle med utenlands smitte.
Tradisjonelt har det vært et skille mellom akutt og kronisk infeksjon, og kun 50 % av infiserte utvikler symptomer. De vanligste akutte symptomene er influensalignende sykdom med feber, generell sykdomsfølelse og myalgier (11). Andre presentasjonsformer er pneumoni og hepatitt. En liten andel utvikler akutt meningitt eller meningoencefalitt (2 %), myokarditt (1 %) eller perikarditt (1 %). Akutt Q-feber gir leukocytose hos om lag 25 % av pasientene. Trombocytopeni er ikke uvanlig, og leverenzymnivået er forhøyet hos opptil 85 % av pasientene.
Kronisk infeksjon kan oppstå etter symptomatisk akutt sykdom, men kan også være første sykdomsmanifestasjon selv flere måneder etter smitte. Kronisk infeksjon sees hos om lag 1–5 % av smittede (12). I de fleste tilfellene er pasienten asymptomatisk eller utviser kun uspesifikke symptomer som redusert allmenntilstand, nattesvette, lavgradig feber og vekttap i perioden før alvorlige komplikasjoner oppstår. Et annet funn ved persisterende infeksjon er forhøyede inflammasjonsmarkører. De vanligste organspesifikke manifestasjoner ved kronisk Q-feber er endokarditt og vaskulære infeksjoner (11). Kunstige hjerteklaffer og aneurismer disponerer for infeksjon.
C. burnetii vokser ikke i rutinemessige blodkulturmedier og påvises først og fremst ved hjelp av serologi. To ulike antigenfaser, fase I og II, korrelerer med ulike sykdomsstadier. I det akutte forløpet ser man høye titer av antistoff mot fase II, og IgM-antistoff stiger først (7). Kronisk infeksjon er assosiert med stigende IgG-antistoff mot fase I-antigen. I tillegg til spesifikk antistoffrespons kan mikroben påvises i klinisk prøvemateriale ved isolering eller nukleinsyreundersøkelser (9). Både serologiske undersøkelser og PCR-analyser gjennomføres nå ved Folkehelseinstituttet i Oslo.
Ved akutt Q-feber er doksysyklin foretrukket behandling. Den er mest effektiv dersom den startes innen tre dager etter symptomdebut (7). Hyppigere kontroller er anbefalt ved predisponerende risikofaktorer som hjerteklaffefeil, vaskulære implantater, aneurismer og graviditet.
Ved påvist kronisk Q-feber anbefales kombinasjonsbehandling med doksysyklin med tillegg av hydroksyklorokin for å heve pH i den pseudolysosomale vakuole, slik at doksysyklin virker bedre. Behandlingsvarigheten avhenger av infeksjonsfokus (7), men bør opprettholdes i minst 18 måneder hos pasienter uten risikofaktorer og minst 24 måneder eller lenger for de med vaskulære implantat. Kirurgisk intervensjon kan også være nødvendig. Pasienten bør følges opp med serologi to ganger årlig i minst fem år etter avsluttet behandling, og man anbefaler livslang serologisk oppfølging ved alvorlige klaffedefekter. Prognosen avhenger av infeksjonsfokus. Mortalitetsrate tre år etter behandling er estimert til 25 % for vaskulære infeksjoner og 7 % ved endokarditt (7).
Vår kasuistikk illustrerer hvor viktig anamnesen er for å avdekke risikofaktorer og for å kunne drive målrettet diagnostikk. Nordmenn i alle aldre reiser mer enn før, og sykdommer som ikke tidligere var vanlige vil i økende grad forekomme her hos oss. Den første CT-undersøkelsen gav mistanke om infeksiøs prosess, men vi lyktes ikke i å identifisere agens gjennom konvensjonelle metoder. Etter dette ble øvrige differensialdiagnoser usannsynliggjort og man stod igjen med infeksjon som den hypotesen som best sammenholdt kliniske, biokjemiske og radiologiske funn. Kasuistikken illustrerer også en betydelig utfordring innen det moderne helsevesen: Ulike spesialavdelinger ivaretar sine begrensede ansvarsområder, men plass- og kapasitetssituasjonen ved større sykehus fører til at pasienter raskt returneres til lokalsykehus etter at det enkelte deloppdraget er utført, selv om det totale sykdomsbildet ikke nødvendigvis er forstått eller tilstrekkelig undersøkt.
Det skal også nevnes at påtrykk fra pårørende var årsaken til at man vurderte hele situasjonen på nytt.
Pasienten har gitt samtykke til at artikkelen blir publisert.
Artikkelen er fagfellevurdert.
- 1.
Chou R, Qaseem A, Snow V et al. Diagnosis and treatment of low back pain: a joint clinical practice guideline from the American College of Physicians and the American Pain Society. Ann Intern Med 2007; 147: 478–91. [PubMed][CrossRef]
- 2.
Isselbacher EM. Thoracic and abdominal aortic aneurysms. Circulation 2005; 111: 816–28. [PubMed][CrossRef]
- 3.
Kim YW. Infected aneurysm: current management. Ann Vasc Dis 2010; 3: 7–15. [PubMed][CrossRef]
- 4.
Töpel I, Zorger N, Steinbauer M. Inflammatory diseases of the aorta: Part 1: Non-infectious aortitis. Gefasschirurgie 2016; 21: 80–6. [PubMed][CrossRef]
- 5.
Kennecke H, Yerushalmi R, Woods R et al. Metastatic behavior of breast cancer subtypes. J Clin Oncol 2010; 28: 3271–7. [PubMed][CrossRef]
- 6.
Wegdam-Blans MC, Kampschreur LM, Delsing CE et al. Chronic Q fever: review of the literature and a proposal of new diagnostic criteria. J Infect 2012; 64: 247–59. [PubMed][CrossRef]
- 7.
Anderson A, Bijlmer H, Fournier PE et al. Diagnosis and management of Q fever–United States, 2013: recommendations from CDC and the Q Fever Working Group. MMWR Recomm Rep 2013; 62: 1–30. [PubMed]
- 8.
Stein A, Saunders NA, Taylor AG et al. Phylogenic homogeneity of Coxiella burnetii strains as determinated by 16S ribosomal RNA sequencing. FEMS Microbiol Lett 1993; 113: 339–44. [PubMed][CrossRef]
- 9.
Bråten LC, Reikvam DH. En mann i 30-årene med feber etter safari i Sør-Afrika. Tidsskr Nor Legeforen 2016; 136: 328–30. [PubMed][CrossRef]
- 10.
Folkehelseinstituttet. Q-feber – veileder for helsepersonell. https://www.fhi.no/artikler/?id=82838 Lest 4.6.2019.
- 11.
Raoult D, Tissot-Dupont H, Foucault C et al. Q fever 1985-1998. Clinical and epidemiologic features of 1,383 infections. Medicine (Baltimore) 2000; 79: 109–23. [PubMed][CrossRef]
- 12.
Kampschreur LM, Delsing CE, Groenwold RH et al. Chronic Q fever in the Netherlands 5 years after the start of the Q fever epidemic: results from the Dutch chronic Q fever database. J Clin Microbiol 2014; 52: 1637–43. [PubMed][CrossRef]