Cerebral mikroangiopati ved nevrosarkoidose

    ()

    sporsmal_grey_rgb
    Artikkel

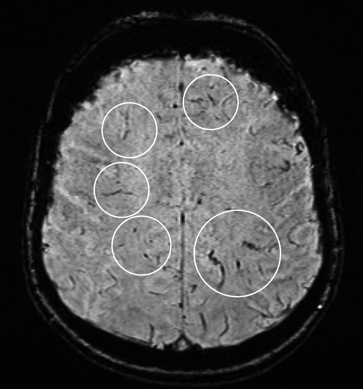
    På MR-bildet sees mikroblødninger langs penetrerende kar i hjernen, tolket som cerebral sarkoid mikroangiopati. Susceptibilitetsvektede MR-bilder (susceptibility weighted imaging, SWI) er spesielt følsomme for blodprodukter.

    Sarkoidose kan i sjeldne tilfeller føre til cerebrovaskulær sykdom (1, 2). Årsaken er ofte multifaktoriell, men en viktig mekanisme er trolig at granulomene spres til hjernen perivaskulært og forårsaker mikroangiopati. Granulomatøs affeksjon av cerebrale perforantarterioler og paraventrikulære vener er veldokumentert i post mortem-studier, men forekomst av mikroangiopati på MR-bilder er lite kartlagt (1–3).

    Pasienten ble innlagt grunnet hodepine og dobbeltsyn. MR-bilder viste kontrastoppladning i leptomeninger og okulomotoriusnerver samt fortykket hypofysestilk, som ofte sees ved nevrosarkoidose. Analyse av cerebrospinalvæsken viste inflammasjon (forhøyet celletall, protein og IgG/albumin-indeks), og histologisk undersøkelse av mediastinal lymfeknute viste granulomatøs betennelse. Pasienten fikk behandling med prednisolon og metotreksat og ble symptomfri. Etter to år ble behandlingen trappet ned. Pasienten ble da kognitivt endret, og nye MR-bilder viste mikroblødninger (bildet).

    Mikroblødninger sees oftest i basalgangliene ved hypertensiv angiopati og kortikalt ved amyloid angiopati. Blødningene hos vår pasient var lokalisert langs penetrerende kar og ble derfor tolket som best forenlig med cerebral sarkoid mikroangiopati. Behandling ble gjenopptatt og medførte tydelig symptombedring, som nå har vart fire måneder.

    Pasienten har gitt samtykke til at artikkelen blir publisert.

    Artikkelen er fagfellevurdert.

    Kommentarer  ( 0 )
    PDF
    Skriv ut

    Anbefalte artikler