Kikuchis sykdom

    ()

    sporsmal_grey_rgb
    Abstract

    A 30-year-old patient had multiple swollen lymph glands on the left side of her neck. She also reported night sweats and a reduced general condition. The symptoms had persisted for a month on presentation. Clinical examination detected multiple hard, rounded and enlarged lymph nodes on the left side of her neck all the way from the skull base to the clavicle, but no other pathology. Extensive examination for infectious agents yielded negative findings. Fine needle biopsy showed lymphoid material and normal flow cytometry counts. MRI revealed the clinically detected lymph nodes and suspected lymphoma. We then performed an open biopsy of a nuchal lymph node, since the patient was still unwell. Pathology results showed necrotising lymphadenitis with an increased number of histiocytic cells, giving rise to suspicion of Kikuchi's lymphadenopathy. We hereby present the first reported case of Kikuchi's lymphadenopathy in Norway.

    Artikkel

    Kikuchis sykdom kjennetegnes av halsglandelsvulst og feber. Vi beskriver her det første rapporterte tilfellet i Norge.

    En kvinne i 30-årene kom til øre-nese-halsavdelingen på grunn av halsglandelsvulst, nedsatt allmenntilstand og nattesvette. Symptomene startet en måned før undersøkelsen. Pasienten var tonsillektomert som barn, ellers tidligere frisk. Hun hadde ikke vært eksponert for tuberkulose, hadde ikke vært i utlandet i senere tid og var i et fast parforhold. Hun hadde kun drukket vann fra offentlig vannverk og hadde ingen nylig kontakt med dyr.

    Ved klinisk undersøkelse fant man flere patologisk forstørrede lymfeknuter på venstre side av halsen, disse strakk seg fra skallebasis til clavicula. Lymfeknutene var avrundede, harde og forstørret til ca. 1,5 cm i diameter. Pasienten hadde en ellers normal øre-nese-halsstatus, og ved klinisk helkroppsundersøkelse fant man ingen annen patologi. Det ble utført finnålspunksjon av en patologisk lymfeknute, og man aspirerte materiale til cytologisk og flowcytometrisk undersøkelse.

    Det ble tatt blodprøver med tanke på generell organstatus, malignitet og autoimmune tilstander som sarkoidose og revmatiske lidelser og infeksjonsprøver for hiv, hepatitt B og C, cytomegalovirus, herpes simplex-virus, borreliose, tuberkulose (Quantiferon) og Epstein-Barr-virus.

    Resultater fra cytologisk prøve og flowcytometri viste lymfevev uten unormale celler og med normal immunprofil. CT av skallebasis til og med abdomen og MR collum viste begge generelt forstørrede lymfeknuter på halsen, og funnet ble beskrevet som vel forenlig med lymfom.

    Da svaret på den cytologiske prøven kom, hadde pasienten fortsatt symptomer, og det ble besluttet å utføre åpen biopsi. Etter ukomplisert fjerning av en lymfeknute på halsen ble denne sendt til undersøkelse for tularemi, bartonellabakterier og tuberkuløse og ikke-tuberkuløse mykobakterier samt vanlig bakteriell dyrkning. Deler av knuten ble lagt på saltvann og formalin for patologisk vurdering.

    Alle bakteriologiske og virologiske undersøkelser var negative for aktuell infeksjon. Serum-ferritin var 269 µg/l (referanseområde 18–240 µg/l), CRP 7 mg/l (< 5 mg/l), ASAT 40 U/l (15–35 U/l), fibrinogen 4,1 g/l (2–4 g/l) og D-dimer 0,61 mg/l FEU (< 0,5 mg/l FEU). Øvrige blodprøver var normale.

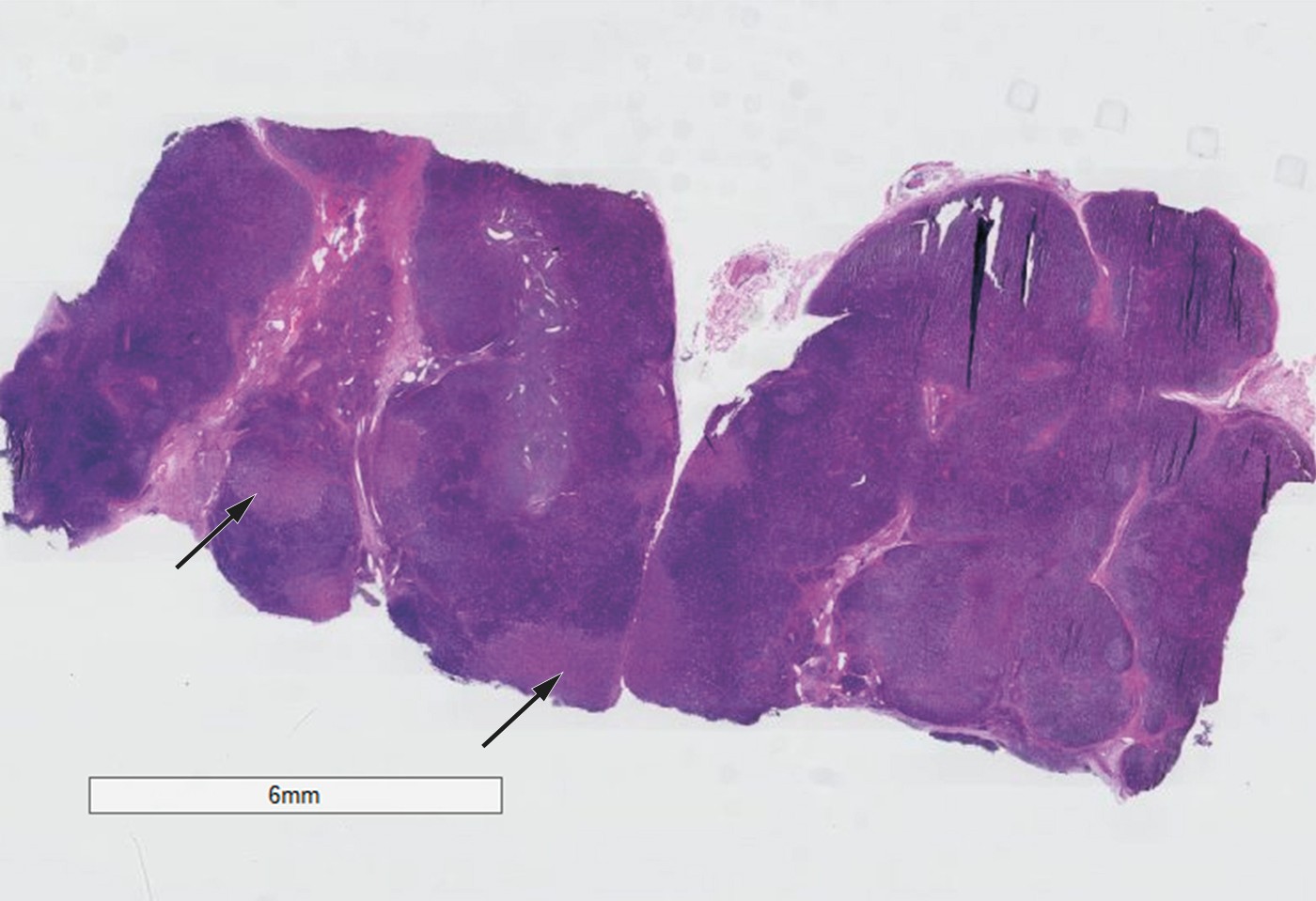
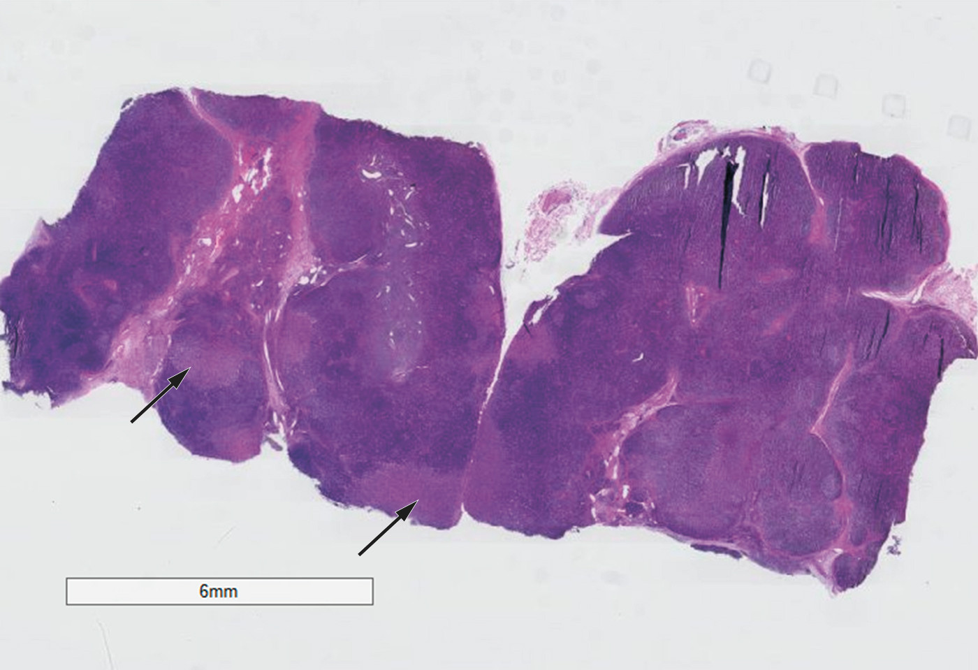
    Patologen beskrev nekrotiserende lymfadenitt i biopsien. Lymfeknuten var forstørret med nekroser i kortikalsonen. I den intrafollikulære sonen ble det sett økt mengde blastceller, og disse hadde følgende immunprofil ved spesialfarginger: Positive for CD30, negative for CC15 og dominant positive for CD3. Noen av blastcellene var også positive for CR20/PAX5. Det var normale polyklonale funn for B-celler både ved flowcytometri og PCR-undersøkelse. Ved farging med CD68 immunmarkør så man et betydelig økt antall makrofager, altså histiocytære celler. Patologen mistenkte dermed Kikuchis sykdom, også kalt histiocytær nekrotiserende lymfadenitt.

    Diskusjon

    Diskusjon

    Kikuchis sykdom er en godartet tilstand uten kjent årsak som kjennetegnes av halsglandelsvulst og feber. De hyppigste symptomene er lymfeglandelsvulst (100 %), feber (35 %), utslett (10 %), artritt (7 %), utmattelse (7 %) og hepatosplenomegali (3 %) (1). Sykdommen imiterer flere alvorlige tilstander og diagnostiseres ved typisk histopatologisk mønster i lymfeknutebiopsi og utelukking av andre årsaker til glandelsvulst, spesielt lymfom og systemisk lupus erythematosus (2). En studie fant ved regransking av lymfeknutebiopsier at 30 % av tilfellene av Kikuchis sykdom var feildiagnostisert som lymfom (3). Histologisk bilde domineres av store mengder CD68-positive lymfocytter som typisk uttrykker myeloperoksidase (4). De fleste pasientene blir friske av Kikuchis sykdom innen seks måneder uten behandling. Enkelttilfeller med alvorlige og vedvarende eller tilbakevendende symptomer har blitt behandlet med glukokortikoider og har da vist rask remisjon (5).

    Kikuchis sykdom er sett hos pasienter i alle aldre, men de fleste er under 40 år. Sykdommen er rapportert over hele verden, med flest tilfeller i Asia. I en koreansk studie av 147 pasienter var Kikuchis sykdom (34,7 %) den hyppigste årsaken til lymfadenitt (6). En saudiarabisk studie av 920 lymfeknutebiopsier tatt på grunnlag av forstørrede lymfeknuter viste imidlertid 0,5 % forekomst (7). Sykdommen er assosiert med utvikling av systemisk lupus erythematosus, og pasienter med Kikuchis sykdom bør kontrolleres i flere år med tanke på dette. En koreansk studie fra perioden 2001–06 fant at av 102 tilfeller av Kikuchis sykdom utviklet 3 systemisk lupus erythematosus (8). Dette er betydelig flere enn den beskrevne prevalensen for å utvikle systemisk lupus erythematosus totalt i befolkningen (1–25 tilfeller per 100 000) (9). En studie fra 2016 fant tre mønstre hos pasienter med både Kikuchis sykdom og systemisk lupus erythematosus: 30 % av pasientene hadde hatt Kikuchis sykdom før de fikk systemisk lupus erythematosus, 47 % hadde simultan debut og diagnose av begge tilstandene, og 23 % hadde systemisk lupus erythematosus og gjennomgikk senere også Kikuchis sykdom (10).

    Vi har ikke funnet andre publiserte tilfeller av Kikuchis sykdom i Norge. Patologer og klinikere bør vite om tilstanden for å forhindre feil diagnose og for å gi korrekt oppfølging med tanke på risiko for utvikling av systemisk lupus erythematosus. Vi oppmuntrer klinikere til å undersøke alle lymfeglandelsvulster med usikker etiologi med biopsi for å muliggjøre korrekt diagnose og behandling.

    Pasienten har gitt samtykke til at artikkelen publiseres.

    Artikkelen er fagfellevurdert.

    Kommentarer  ( 0 )
    PDF
    Skriv ut

    Anbefalte artikler