Glymfatisk MR

    ()

    sporsmal_grey_rgb
    Artikkel

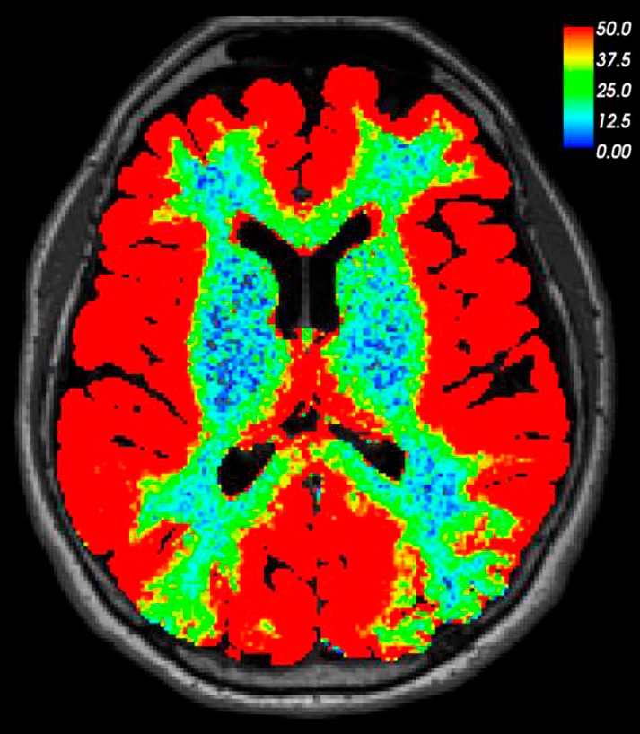
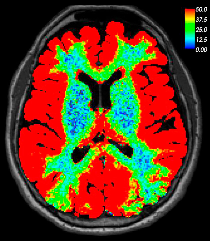
    Dette MR-bildet av hjernen er tatt av en pasient 24 timer etter lumbalt innstikk og intratekal injeksjon av et MR-kontrastmiddel (0,5 ml gadobutrol). Pasienten var under utredning ved nevrokirurgisk avdeling på grunn av mistanke om kranial lekkasje av cerebrospinalvæske. Lekkasje kunne ikke påvises verken på bildet tatt etter 24 timer eller på tidligere tidspunkter. På dette bildet, som er basert på T1-vektet MR, har vi visualisert på en fargaskala den prosentmessige signaløkningen i hjernevevet som følger av kontrastanrikning. Bildet viser at et lite og vannløselig molekyl som gadobutrol kan anrike hele hjernen når det gis i spinalvæsken. Det har hittil vært uvisst i hvilken grad intratekalt injiserte legemidler kan anrike hjernevevet hos mennesker. Gitt at kontrastmiddelet ikke kan lekke inn i blodet gjennom den intakte blod–hjerne-barrieren, kan vi her slå fast at all anrikning av hjernen finner sted på utsiden av blodårene.

    Siden de fleste legemidler gitt peroralt eller intravenøst ikke slipper ut gjennom blodåreveggene i hjernen, kan kunnskapen om veien inn til hjernen fra spinalvæsken åpne for nye måter å diagnostisere og behandle hjernesykdommer. Den kan også kaste lys over hvordan meningeale lymfeårer kan påvirke hjernen via cerebrospinalvæsken (1).

    Mye tyder på at MR-kontrastmiddelet anriker hjernen via det såkalte glia-lymfatiske eller «glymfatiske» systemet, som ble beskrevet første gang i 2012 (2). Her fungerer spinalvæsken som et transportmedium for utskillelsen av avfallsstoffer som amyloid-β og tau-protein fra hjernen langs perivaskulærrommene (en form for «hjernevask»). Det er grunn til å tro at gadobutrol vaskes ut fra hjernen langs samme rute som disse avfallsstoffene. Ved glymfatisk MR er det vist at denne utskillelsen er redusert hos pasienter med en type demens (normaltrykkshydrocephalus) (3).

    Pasienten har gitt samtykke til at artikkelen blir publisert.

    MR-bildet er tatt ved Intervensjonssenteret, Oslo universitetssykehus, og postprosessert av Lars Magnus Valnes, Matematisk institutt, Universitetet i Oslo.

    Artikkelen er fagfellevurdert.

    Kommentarer  ( 0 )
    PDF
    Skriv ut

    Anbefalte artikler