Birt-Hogg-Dubé-syndrom

    ()

    sporsmal_grey_rgb
    Abstract

    Birt-Hogg-Dubé syndrome (BHD) is an autosomal dominant genetic disorder characterised by pulmonary cysts, fibrofolliculomas and renal tumours. The pulmonary cysts may lead to pneumothorax, and in cases of primary, spontaneous pneumothorax the syndrome should be excluded. The renal tumours are frequently malignant, but slow-growing. Screening and family assessment enable discovery of renal cancer at an early stage. The syndrome is underdiagnosed and little known.

    Artikkel

    Birt-Hogg-Dubé-syndrom er en dominant arvelig tilstand med lungecyster, hårfollikkeltumorer og nyretumorer. Lungecystene kan føre til pneumothorax, og ved primær, spontan pneumothorax bør syndromet utelukkes. Nyretumorene er ofte maligne, men langsomtvoksende. Med screening og familieutredning kan nyrekreft oppdages i et tidlig stadium. Syndromet er underdiagnostisert og lite kjent.

    Ved Lungemedisinsk avdeling, Oslo universitetssykehus ble det i perioden 2015–18 diagnostisert 15 pasienter med Birt-Hogg-Dubé-syndrom (BHD) på bakgrunn av lungecyster eller pneumothorax.Vi er ikke kjent med at syndromet tidligere er beskrevet i Norge. Hensikten med denne artikkelen er å gi en kort oversikt over tilstanden basert på gjennomgang av relevant litteratur og egne erfaringer.

    Genetikk

    Genetikk

    Birt-Hogg-Dubé-syndrom har fått navn etter tre kanadiske leger som i 1977 beskrev en triade av benigne hudlesjoner (fibrofollikulomer, trikodiskomer og akrokordoner) hos 15 personer i samme familie (1). Studier av familier med syndromet viste i 1993 sammenheng med nyrekreft og i 1999 med lungecyster (2, 3). Først i 2002 ble genet FLCN (follikulin) påvist som årsak (4).

    Arvegangen er autosomalt dominant. Dette innebærer 50 % risiko for at barn av affisert mor eller far arver tilstanden. De aller fleste med sykdomsgivende genfeil utvikler symptomer.

    FLCN koder for follikulinproteinet, som i kompleks med andre proteiner hemmer 5'AMP-aktivert proteinkinase (AMPK), som er en energisensor i cellen. Sykdomsgivende feil i FLCN gir tap av follikulin og dermed konstitusjonell aktivering (dvs. målproteinet er slått på hele tiden) av AMPK, med oppregulering av signalveier i cellene som også ofte er involvert ved kreft. Blant disse er AKT-mTOR-signalveien, som er viktig for regulering av cellesyklus, og HIF-1-signalveien (hypoxia-inducible factor-1), som er involvert i cellenes respons på lavt oksygennivå.

    Sykdomsmekanismen er ikke helt klarlagt, men analyser av nyretumorer indikerer at FLCN er et tumorsuppressorgen (5). Kunnskap om sykdomsmekanismen er viktig med tanke på fremtidige behandlingsmuligheter, for eksempel i form av mTOR-hemmere.

    Forekomst

    Forekomst

    Estimert punktprevalens av Birt-Hogg-Dubé-syndrom er ca. 1: 200 000 i Europa (6). Dette skulle tilsi at 25–30 personer i Norge har tilstanden, men det er mer enn 100 personer som har fått diagnosen her i landet. Det er uvisst om den høyere prevalensen i Norge skyldes høyere forekomst eller bedre diagnostikk.

    Klinisk presentasjon og diagnostikk

    Klinisk presentasjon og diagnostikk

    Diagnostiske kriterier som ble foreslått av Menko og medarbeidere i 2009 (7), er anbefalt av BHD Foundation, som er en organisasjon av klinikere, forskere og pasienter. For å stille diagnosen Birt-Hogg-Dubé-syndrom må ett majorkriterium eller to minorkriterier oppfylles (ramme 1).

    Ramme 1 Diagnostiske kriterier for Birt-Hogg-Dubé-syndrom (7). For å oppfylle diagnosekravet må pasienten ha ett majorkriterium eller to minorkriterier.

    Majorkriterier

    • Påvist sikker sykdomsgivende genfeil i FLCN-genet

    • Minst 5 fibrofollikulomer, hvorav 1 histologisk verifisert, hos voksne

    Minorkriterier

    • Multiple, basale og bilaterale lungecyster uten annen klar årsak, med eller uten spontan primær pneumothorax

    • Nyrekreft: Tidlig debut (< 50 år) eller multifokal eller bilateral eller hybrid kromofob/onkocytær kreft

    • Førstegradsslektning med Birt-Hogg-Dubé-syndrom

    Noen pasienter har bare én organmanifestasjon, men alle kombinasjoner av organmanifestasjoner er mulig. For de som oppfyller diagnosekriteriene, bør gentest rekvireres. Positiv familieanamnese for pneumothorax, hudlesjoner og nyretumor støtter mistanken. Når diagnosen er bekreftet, bør førstegradsslektninger > 16 år henvises til genetisk veiledning. Feil i FLCN identifiseres hos nesten alle med sterk klinisk mistanke om Birt-Hogg-Dubé-syndrom, men enkelte genfeil kan være vanskelig å oppdage. Hudbiopsi er aktuelt ved sterk klinisk mistanke om Birt-Hogg-Dubé-syndrom og negativ gentest.

    Alle pasienter skal vurderes på lunge-, urologi- og genetikkavdeling. Klinisk undersøkelse inkluderer inspeksjon av hud med vurdering av fibrofollikulomer, men det er ikke påkrevet å henvise pasienten til hudavdeling.

    Lungecyster og pneumothorax

    Lungecyster og pneumothorax

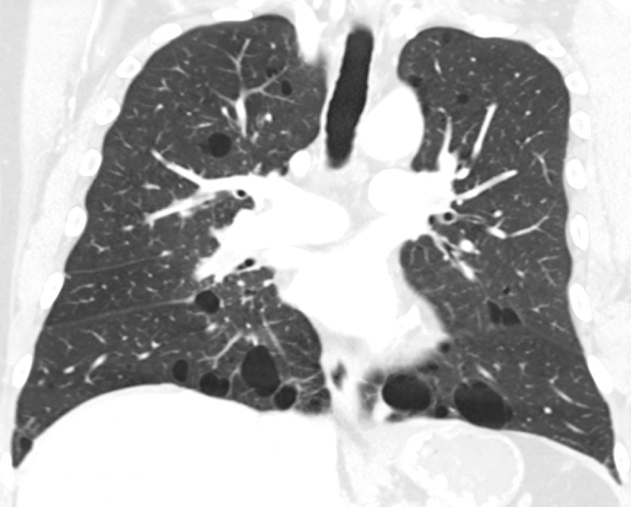
    Lungemedisinsk utredning inkluderer CT thorax lavdose og vurdering av lungefunksjonen med spirometri, gassdiffusjonstest og oksymetri. Funn av typiske lungecyster, eventuelt med pneumothorax, er ofte det som leder til diagnosen. Lungecyster oppstår hos ca. 90 % av pasientene med Birt-Hogg-Dubé-syndrom, vanligvis etter 20 års alder. Lungecyster er hulrom med en definert vegg som er < 2 mm tykk (8). Pasientene har oftest bare noen få, men enkelte kan ha flere hundre cyster (9). De fleste cystene er < 2 cm i diameter, men kan bli betydelig større og ha protruerende venuler og intracystiske septa. Cystene finnes oftest i midtre og nedre lungefelt og har subpleural og peribronkovaskulær beliggenhet (figur 1).

    Det er fravær av fibrose, lungefortetninger, inflammasjon og glandelpatologi. Innsiden av cystene er kledd av pneumocytter (10), og histologisk kan de ligne emfysem. Patogenesen for cystedannelsen er ukjent. Tabell 1 viser thoraxradiologiske karakteristika ved Birt-Hogg-Dubé-syndrom og de viktigste differensialdiagnosene (11).

    Tabell 1

    Viktigste differensialdiagnoser ved multiple cyster i lungene, med thoraxradiologiske karakteristika (11)

    Diagnose

    Cystekontur

    Distribusjon

    Tilleggsfunn i thorax

    Birt-Hogg-Dubé- syndrom (BHD)

    Runde, ovale,
    Irregulære
    Varierer i størrelse

    Midtre og nedre lungefelt
    Subpleuralt, peribronkovaskulært

    Ingen

    Lymfangioleiomyomatose (LAM)

    Runde, små
    Irregulære ved langtkommet sykdom

    Diffus, mer sentral

    Ev. noduli Mattglassfortetninger Chylothorax

    Pulmonal langerhanscelle- histiocytose (PLCH)

    Runde, ovale
    Irregulære/bisarre

    Øvre og midtre lungefelt
    Utsparing av costofreniske vinkel

    Små, stjerneformede noduli
    Varierende tykkelse på cystevegger

    Lymfoid interstitiell pneumoni (LIP)

    Runde, ovale
    Irregulære
    Varierer i størrelse

    Diffus Peribronkovaskulær, subpleural, basal

    Mattglassfortetninger Noduli i det akutte stadiet
    Ev. Sjögrens syndrom

    Nevrofibromatose-kompleks (NFC)

    Runde, små

    Diffus, få

    Noduli

    Risikoen for pneumothorax øker med cystenes størrelse, antall og pleuranær beliggenhet (9). Pneumothorax oppstår oftest i 30–50 års alder, men er også rapportert hos barn (9, 12, 13). I en studie hadde 24 % (48/198) av pasientene med syndromet hatt spontan pneumothorax. Av disse hadde 75 % hatt residiverende pneumothorax (9). Pneumothorax behandles etter vanlige retningslinjer.

    Risikoen for pneumothorax øker ved flyreiser og dykking (14), og pasientene skal informeres om risiko, symptomer og forholdsregler. To studier har vist at opp mot 10 % av pasienter med antatt primær spontan pneumothorax (PSP) har underliggende Birt-Hogg-Dubé-syndrom (15, 16).

    Lungefunksjonen er vanligvis normal eller eventuelt lett redusert (9).

    Hudlesjoner

    Hudlesjoner

    Fibrofollikulomer er benigne hårfollikkeltumorer som oppstår hos ca. 90 % av pasientene. Lesjonene består av diskrete, glatte, hudfargede eller bleke 2–5 mm store papler, særlig rundt nese, ører, panne, nakke, hode og på øvre del av truncus (figur 2, figur 3) (7). De debuterer oftest etter 20 års alder og er vanligvis den første kliniske manifestasjonen av syndromet. Lesjonene gir ingen plager, og pasientene oppsøker vanligvis ikke lege.

    Mens enkelte pasienter kun har noen få fibrofollikulomer, kan andre ha flere hundre lesjoner. Ablativ behandling kan vurderes hvis svulstene oppleves kosmetisk skjemmende, men de kan residivere.

    Trikodiskomer representerer samme klinisk-patologiske entitet som fibrofollikulomer, og det er kun subtile histologiske forskjeller (17). De spesifikke hudlesjonene ved Birt-Hogg-Dubé-syndrom omtales derfor nå som fibrofollikulomer. Akrokordoner, også kalt «skintags», er en vanlig hudlesjon som kan opptre i stort antall ved syndromet. De er ofte lokalisert i aksillene og andre hudfolder.

    Nyretumorer

    Nyretumorer

    Ca. 30 % av pasienter med Birt-Hogg-Dubé-syndrom utvikler nyretumorer, og i urologisk avdeling blir pasientene informert om kreftrisiko og utredet med MR av nyrene. Dersom det påvises tumor, vil tidspunkt for biopsi og eventuell behandling avhenge av pasientens alder, om det er multiple tumorer, om pasienten har singel nyre, tumors veksthastighet og biopsisvar (18, 19). Pasientene skal fortrinnsvis opereres med nefronsparende kirurgi eller ablasjon.

    Halvparten har multiple og bilaterale tumorer, og ca. 95 % av tumorene er maligne (20). Av disse er ca. 85 % av langsomtvoksende kromofob eller hybrid kromofob/onkocytær type, som er uvanlig ved sporadisk forekommende nyretumorer. Klarcellet nyrekarsinom utgjør kun ca. 9 % av nyretumorene hos disse pasientene, i motsetning til 75 % av sporadisk forekommende nyrecellekarsinomer. Denne typen vokser raskere og metastaserer tidligere enn de øvrige subtypene. Benigne onkocytære tumorer utgjør 5 % (20).

    Gjennomsnittsalder ved påvisning av nyretumor er ca. 50 år (20). Nyrekreft er sjelden før 30 års alder. Selv om FLCN sannsynligvis er et tumorsuppressorgen, er det ikke funnet økt sammenheng med andre kreftsykdommer.

    Oppfølging

    Oppfølging

    Det er ingen internasjonalt aksepterte retningslinjer for oppfølging og behandling av Birt-Hogg-Dubé-syndrom, men det finnes anbefalinger på nettsidene til UpToDate, GeneReviews og BHD foundation. Disse er i store trekk sammenfallende.

    Det er publisert flere gode oversiktsartikler de siste årene (7, 18, 21, 22).

    I samarbeid med Nasjonal kompetansetjeneste for sjeldne diagnoser ble det ved Oslo universitetssykehus nedsatt en tverrfaglig arbeidsgruppe som har utarbeidet retningslinjer for utredning, oppfølging og behandling av pasienter med Birt-Hogg-Dubé-syndrom (23). I retningslinjene er følgende anbefalt:

    I lungeavdeling

    I lungeavdeling

    Funn av lungecyster uten symptomer og med normal lungefunksjon krever ikke oppfølging på lungeavdeling ifølge internasjonale retningslinjer. Vi velger likevel å sette pasienten opp til kontroll etter 1–2 år, fordi det er vår erfaring at pasientene opplever mye utrygghet og har mange spørsmål i forhold til tilstanden. Ved redusert lungefunksjon settes pasienten opp til kontroll etter individuell vurdering. Ved nye symptomer velges CT thorax lavdose (HRCT) for å begrense den kumulative stråledosen.

    I urologisk avdeling

    I urologisk avdeling

    Fra 18 års alder skal alle ha livslang oppfølging med MR av nyrer hvert annet år. Ultrasonografi anbefales ikke som kontrollundersøkelse, fordi kromofob/onkocytær tumor ofte fremstår isoekkoisk i forhold til omkringliggende nyrevev (20). CT-undersøkelser bør unngås for å begrense den kumulative stråledosen, ettersom pasienter med Birt-Hogg-Dubé-syndrom har økt kreftrisiko.

    Erfaringer og anbefalinger

    Erfaringer og anbefalinger

    Flere av våre pasienter ble diagnostisert med Birt-Hogg-Dubé-syndrom fordi thoraxradiologer har gjort dem oppmerksom på syndromet etter tilfeldig funn av typiske, basale lungecyster, eventuelt i kombinasjon med pneumothorax. Ved gjennomgang av tidligere CT-besvarelser var cystene ikke nevnt, sannsynligvis fordi man anså at cyster ikke trenger å representere patologi, eller så var cystene beskrevet som emfysem eller bullae. For å oppdage pasienter med syndromet og annen multippel cystisk lungesykdom er det viktig å benytte korrekt terminologi (cyster-bullae-emfysem), og lungecyster må alltid karakteriseres (tabell 1). Ved funn av multiple cyster bør radiologer i sin besvarelse anbefale utredning i lungeavdeling. I thoraxkirurgisk avdeling på Ullevål og Rikshospitalet rekvireres nå CT thorax lavdose i forløpet hos alle som innlegges med antatt primær spontan pneumothorax. Dette er i henhold til anbefalinger fra BHD foundation.

    Vår erfaring er at det sannsynligvis tas biopsi for sjelden hos pasienter med små, uspesifikke hudpapler. Selv om ikke hudlesjonene krever behandling, er det viktig å diagnostisere grunntilstanden.

    Vi anbefaler at også andre sykehus etablerer tverrfaglige team for å ivareta pasienter med Birt-Hogg-Dubé-syndrom. Det er ønskelig å etablere nasjonale retningslinjer for å sikre enhetlig oppfølging av disse pasientene.

    Pasientene på bildene har gitt samtykke til at artikkelen blir publisert.

    Takk til pasientene for deres tillatelse til å benytte fotografiene i artikkelen.

    Kommentarer  ( 0 )
    PDF
    Skriv ut

    Anbefalte artikler