Fibrocartilaginøs emboli som årsak til arteria spinalis anterior-syndrom?

    ()

    sporsmal_grey_rgb
    Abstract

    BACKGROUND

    Fibrocartilaginous embolism (FCE) is a rare cause of spinal cord infarction. Most spinal cord infarctions are due to aortic pathologies and aortic surgeries. One theory is that material from the intervertebral discs follows a retrograde route to the anterior spinal artery. Fibrocartilaginous embolism and spinal cord infarction have also been described in veterinary literature. Spinal cord MRI diffusion-weighted imaging is of great help in finding the right diagnosis.

    CASE PRESENTATION

    A young man was admitted to hospital after he woke up due to a sudden pain between his shoulders. He developed a paresis in both his arms and legs within three hours. A neurological examination revealed urinary retention, sensory deficits and paresis. The clinical picture was consistent with an infarction in the anterior spinal arterial distribution area. An MRI of the patient's spine revealed an infarction in the anterior medulla.

    INTERPRETATION

    Fibrocartilaginous embolism is probably more common than previously assumed.

    Artikkel

    En ung mann ble innlagt med plutselige lammelser i underekstremitetene og fikk påvist infarktforandringer i medulla. Fibrocartilaginøse embolier er en sannsynlig underdiagnostisert årsak til medullære infarkter – kan dette ha vært årsaken til infarktet hos vår pasient?

    En utenlandsk mann i 20-årene som var på besøk hos noen venner i Norge, våknet en natt av intense smerter mellom skulderbladene. Samtidig merket han prikkinger i over- og underekstremitetene. Smertene avtok, og han han la seg til å sove igjen. Da han våknet noen timer senere, var kraften svekket i armer og ben og han klarte ikke å stå. Vennene hans kjørte ham til sykehus og bar ham inn til akuttmottaket.

    Mannen var frisk fra før og brukte ingen faste medisiner. Det var ingen hereditære sykdommer i familien. I anamnesen fremkom det ikke noe traume i forkant av innleggelsen. Han hadde respirasjonsfrekvens på 16 per minutt, blodtrykk 120/76 mm Hg, regelmessig puls på 85 slag per minutt og ingen feber. Alle orienterende blodprøver viste normale funn. Ved nevrologisk undersøkelse ble det avdekket asymmetriske kraftsvekkelser, pareser, i alle fire ekstremiteter. Venstre underekstremitet var paralytisk, altså uten evne til viljestyrt bevegelse. Over høyre hofte var det noe bevegelse, men ikke mot motstand. Kraften her ble gradert til 3/5. Lenger distalt var det grad 4/5 over kne- og ankelledd. I overekstremitetene var paresene mer uttalt lenger distalt. Over håndleddene ble kraften gradert til 3/5 for fleksjon og 4/5 for ekstensjon bilateralt. Pasienten klarte å holde armene fremfor seg i tre sekunder, men venstre arm driftet mer enn høyre. Videre var det nedsatt følelse for stikk fra nivå Th3. Leddsansen, propriopsepsjonen, var bevart. Refleksene var livlige i overekstremitetene og utslukket i underekstremitetene. Plantarresponsene var indifferente. Pasienten hadde ingen vannlatingstrang, men ble likevel kateterisert for 750 ml urin. Sfinktertonus var slapp. Symptomene gav mistanke om patologi anteriort i cervikalmedulla. MR medulla ble derfor utført fem timer etter iktus.

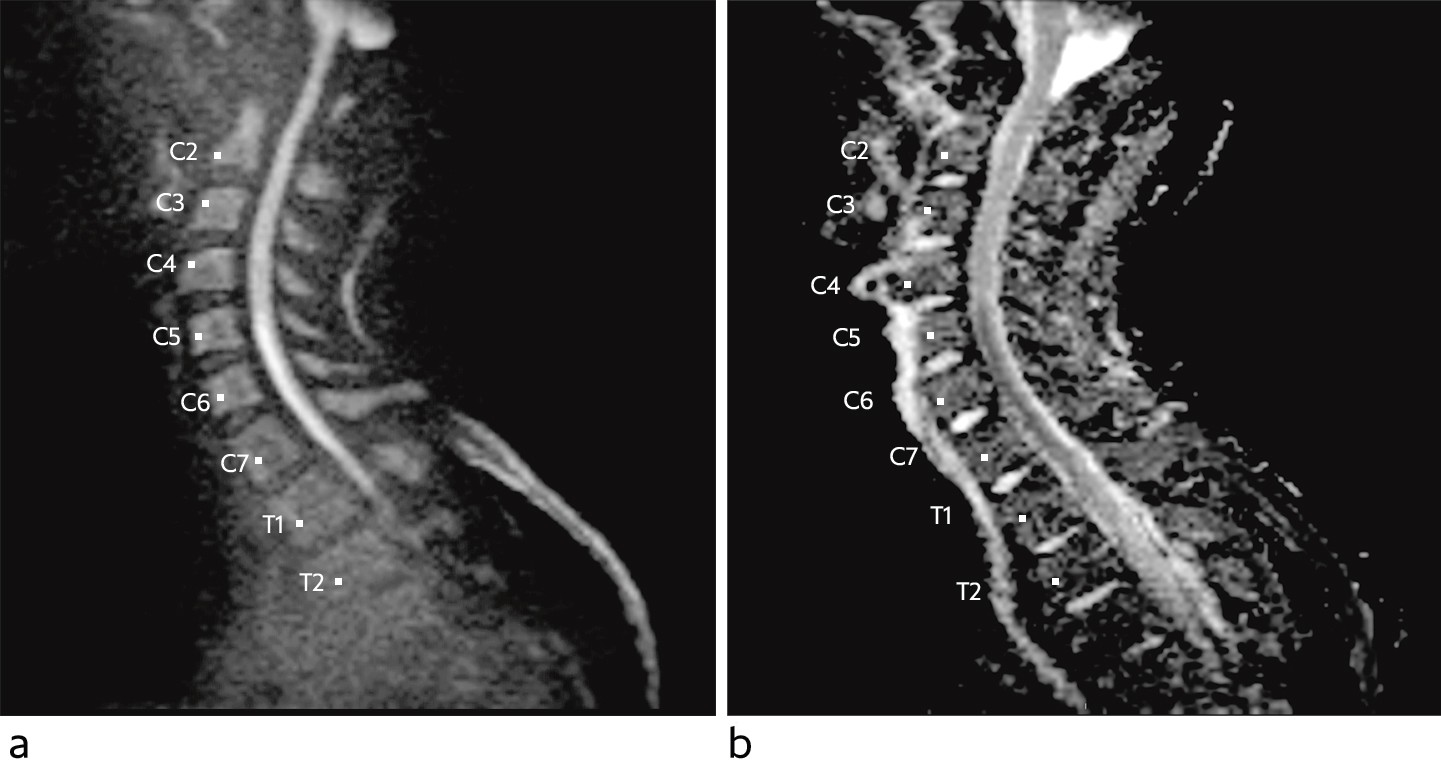
    MR-undersøkelsen viste lav diffusjon ventralt i medulla fra nivå C5–Th1, utbredelse på nesten 7 cm (figur 1). Medulla var ikke svullen, og det ble ikke påvist kontrastopptak. På aksiale snitt (figur 2) var det i samme nivåer økt T2-signal i fremre horn bilateralt, såkalt slangeøyneutseende, forenlig med ett av de kjente mønstrene ved iskemi i forsyningsområdet til a. spinalis anterior. Funn med lav diffusjon med «vaskulær distribusjon» gav mistanke om cytotoksisk ødem på bakgrunn av fersk iskemisk skade. På dette tidspunktet var det ingen holdepunkter for infeksjon, da pasienten var afebril og hadde normale funn på blodprøver. Inflammasjon var fortsatt en mulig differensialdiagnose. Det var ingen signalavvik eller holdepunkter for infarkt eller annen patologi i cervikale virvelcorpora, men noe dehydrerte skiver. Senere samme dag ble det supplert med CT totalaorta, som ikke avdekket disseksjon, aneurismer eller annen embolikilde.

    Pasienten ble spinalpunktert samme dag, med normale funn. Isoelektrisk fokusering var ferdig analysert en uke senere og viste ingen serumulike bånd, som man finner ved f.eks. demyeliniserende sykdommer. Han ble lagt på intensivavdeling for å ivareta respirasjonen og holde et adekvat middelblodtrykk (mean arterial pressure, MAP) i akuttfasen av infarktet. Ved å holde et middelblodtrykk over 90 mm Hg forsøkte vi å forhindre størrelsesøkning av infarktet ved å sikre perfusjon i et mulig vannskilleområde i medulla. For å holde middelblodtrykket ble det gitt vasopressor. Dette ble avsluttet etter tre døgn, da man tenkte ødemet i infarktområdet var etablert og over sitt største omfang. Pasienten var hele tiden selvpustende. Han hadde betydelig redusert hostekraft initialt, med toppstrømshastighet (peak ekspiratory flow, PEF) på 170 l/min, og det var fare for luftveisinfeksjoner.

    På intensivavdelingen hadde pasienten hjerterytmeovervåkning i tre døgn uten at man avdekket atrieflimmer eller andre hjerterytmeforstyrrelser. Transtorakal og transøsofageal ekkokardiografi avdekket ikke noen potensielle embolikilder i hjertet eller aorta. Utvidede tromboseprøver viste ingen patologi. Pasienten fikk første dag metningsdoser på 300 mg per os med acetylsalisylsyre og klopidogrel, deretter 75 mg daglig av hver. Det var progresjon av pareser de første 48 timene, før man så en langsom bedring. Pasienten lå på intensivavdeling i totalt ni dager, og toppstrømshastigheten (PEF) kom opp i 250 l/min.

    Pasienten var godt i gang med mobilisering fra sengeleie da han ble overflyttet til nevrologisk sengepost. Dobbel platehemmende behandling med acetylsalisylsyre og klopidogrel ble avsluttet etter fire uker, og han ble satt på enkel livslang platehemmende behandling med klopidogrel. Etter to uker på sykehus i Norge reiste pasienten tilbake til hjemlandet sitt og mottok videre rehabilitering der. Fem måneder etter symptomdebut har pasienten fortsatt betydelige pareser i alle fire ekstremiteter og bruker et ganghjelpemiddel når han går. Han har kraftsvekkelse særlig i det venstre beinet, over håndleddene og i fingrene. Pasienten angir selv å være ved godt mot til tross for at han er plaget av spastisitet, smerter i underekstremitetene og urinretensjon.

    Diskusjon

    Diskusjon

    Spinale infarkter er sjeldne og står for 0,3–1 % av alle infarkter i sentralnervesystemet (1). I studier der man har fulgt pasienter med spinale infarkter over flere år, er det vist at pasientgruppen har større sjanse for å komme tilbake til arbeidslivet og har det bedre emosjonelt og mentalt enn pasienter med cerebrale infarkter (1). Antakeligvis skyldes dette at pasienter med spinale infarkter ikke har kognitive sekveler.

    Årsaken til det medullære infarktet hos vår pasient ble ikke avdekket. På MR-bildene forelå det Schmorlske impresjoner og lette degenerative forandringer i torakale virvelcorpora. Den vanligste årsaken til spinalt infarkt er aortapatologi eller at det oppstår iatrogent etter aortakirurgi, men fibrocartilaginøse embolier er i litteraturen beskrevet å være en sannsynlig underdiagnostisert årsak til medullære infarkter (2, 3). Teorier går ut på at fibrocartilaginøst materiale fra nucleus pulposus i degenererte skiver kan migrere via nærliggende karstrukturer, retrograd videre til den arterielle blodforsyningen (2, 4). Vanligst er embolier til medulla, men det er også beskrevet fibrocartilaginøse embolier til lunge, hjerne, virvelcorpora og costae (2). Fibrocartilaginøse embolier er velkjent i veterinærmedisinen, særlig hos hunder (5). Hos mennesker er sannsynligvis dette ofte feildiagnostisert som transvers myelitt. Diagnosen er vanskelig å stille og kan kun bekreftes ved obduksjon med histopatologi. Diagnosen bør mistenkes ved typiske kliniske funn som rygg- eller nakkesmerter etterfulgt av akutt oppståtte og progredierende pareser, forutgående av eventuelt mindre traume, fravær av vaskulære risikofaktorer, MR-funn forenlig med iskemi og normale funn i spinalvæske samt eksklusjon av andre mulige årsaker. Det forutgående traumet kan være noe så beskjedent som å løfte handleposer eller bruk av bukpressen ved toalettbesøk (6). Til skille fra inflammatoriske tilstander gir medullære infarkter rask symptomprogresjon typisk over noen timer. Ved infarkt i a. spinalis anterior-gebetet er propriosepsjon og vibrasjonssans spart, slik som hos vår pasient.

    Pasienten har samtykket til at artikkelen blir publisert.

    Artikkelen er fagfellevurdert.

    Kommentarer  ( 0 )
    PDF
    Skriv ut

    Anbefalte artikler