En mann tidlig i 90-årene med redusert allmenntilstand, feber og tørrhoste ble innlagt på regionsykehus da koronaviruspandemien akkurat hadde nådd Norge. Anamnesen viste ikke smitteeksponering, og han hadde ikke vært på reise. Han ble derfor ikke isolert ved innleggelsen. Sykehistorien viser et alvorlig forløp hos en gammel pasient. Den viser også potensialet for smittespredning i dagens globaliserte verden.
En sprek mann i begynnelsen av 90-årene ble sendt til fastlegekontoret etter at han hadde falt om på et kjøpesenter og skadet seg. Han ble ledsaget av helsepersonell til fastlegens kontor, hvor han ble prioritert som øyeblikkelig hjelp. Symptomene debuterte to dager tidligere (sykdomsdag 0), da hadde han under en busstur med andre pensjonister begynt å føle seg slapp og mistet matlysten. Dagen etter (sykdomsdag 1) opplevde han under en korøvelse markant forverring med økende tørrhoste, redusert allmenntilstand, ustøhet og dårlig matlyst. Han målte senere feber opptil 38,6 °C. Vannlatingen og avføringen var normal.
Fastlegen hadde kjent pasienten gjennom mange år. Fra tidligere hadde han hypertensjon, trekar hjertesykdom med gjennomgått nedreveggsinfarkt, kronisk obstruktiv lungesykdom i stadium 2 i henhold til GOLD-kriteriene, og benign prostatahyperplasi. Grunnet AV-blokk grad 2 type 2 med venstre grenblokk hadde han fått implantert en tokammer pacemaker ni måneder før den aktuelle hendelsen. Ekkokardiografi utført i den forbindelse viste god venstre ventrikkel-funksjon uten signifikante klaffefeil. Pasienten gikk jevnlig til kontroller hos fastlegen, og tok sine medisiner som foreskrevet. Han hadde sluttet å røyke for 40 år siden og hadde et lavt alkoholforbruk. Til tross for alvorlige kroniske lidelser var pasienten til vanlig helt selvhjulpen og oppegående og hadde ikke behov for ganghjelpemidler. Han kjørte bil og hadde gjennomført førerkortvurdering med god kognitiv skår. Han var aktiv som frivillig på flere arenaer.
Hos fastlegen (sykdomsdag 2) var han i redusert allmenntilstand, tungpusten, takykard og varm i huden. Blodtrykket var 120/70 mm Hg, pulsen regelmessig med 100 slag/minutt under betablokade og temperaturen 36,5 °C i pannen. Klinisk undersøkelse viste normale forhold i munn, svelg, hjerte, lunger, lymfeknuteområder og hud. Pasienten hadde ingen nevrologiske utfall, nakkestivhet eller petekkier og var klar og orientert for tid, sted og situasjon. Blodprøver viste hemoglobin 15 g/dl (13,4–17,0), leukocytter 10,8 ∙ 109/l (3,5–10), lymfocytter 3,7 ∙ 109/l (1,1–3,3) og C-reaktivt protein (CRP) 136 mg/l (0–4).
Grunnet luftveissymptomer og akutt redusert allmenntilstand mistenkte fastlegen influensa eller lungebetennelse av bakteriell etiologi.
Pasienten ble innlagt på regionsykehus med ambulanse. I akuttmottaket hadde han lett redusert allmenntilstand, produktiv hoste, feber på 39,4 °C i øret, blodtrykk 145/70 mm Hg, regelmessig puls 82 slag/minutt under betablokade og respirasjonsfrekvens 28 per minutt med oksygenmetning 95 % på pulsoksymeter. Auskultasjon av hjertet var normal. Over lungene hørtes knatrelyder basalt bilateralt. Det var ingen hevelse i underekstremitetene. Arteriell blodprøve på romluft viste pH 7,45 (7,35–7,44), pCO2 4,1 kPa (4,7–6,0), pO2 9,4 kPa (10,0–14,0), oksygenmetning 96 % og baseoverskudd −3,5 mmol/l (−3–3). SOFA-skår var 3 av 24 poeng (redusert pO2/FiO2-ratio, lavt trombocyttall og forhøyet kreatinin), qSOFA-skår 1 av 3 poeng (økt respirasjonsfrekvens) og SIRS-skår 2 av 4 poeng (feber og økt respirasjonsfrekvens).
Blodprøver ved innleggelse viste hemoglobin 14,6 g/dl (13,4–17,0), trombocytter 119 ∙ 109/l (145–390), leukocytter 8,2 ∙ 109/l (3,5–10), lymfocytter 0,9 ∙ 109/l (1,1–3,3), senkningsreaksjon 17 mm (1–12), CRP 159 mg/l (0–4), bilirubin 9 µmol/l (5–25), kreatinin 124 µmol/l (60–105), INR 1,2 (0,8–1,2), aktivert partiell tromboplastintid (APTT) 32 s (30–42), fibrinogen 4,3 g/l (2,0–4,0) og D-dimer 1,07 mg/l (aldersjustert < 0,80).
Mulige differensialdiagnoser som ble vurdert, var lungebetennelse av bakteriell eller viral etiologi, lungeemboli, akutt forverring av kronisk obstruktiv lungesykdom, akutt hjertesvikt og nyresvikt. Grunnet feber, normale leukocyttall, hoste og lett redusert allmenntilstand mistenkte man først influensa. Den forhøyede kreatininverdien ble tilskrevet redusert væskeinntak. Covid-19 ble ikke vurdert som sannsynlig diagnose, da pasienten ikke hadde vært i utlandet og kun hadde oppholdt seg i lokalsamfunnet. Tilfeller med smitte innad i Norge var på det daværende tidspunktet ennå ikke kjent.
Tabell 1
Målinger og blodprøver i sykdomsforløpet fra dag 2 til dag 8. Det ble ikke tatt blodprøver eller utført vitale målinger på sykdomsdag 9, dagen pasienten døde.
| Referanseverdier |
Dag 2 |
Dag 3 |
Dag 4 |
Dag 5 |
Dag 6 |
Dag 7 |
Dag 8 |
|
|---|---|---|---|---|---|---|---|---|
| Maks. temperatur (°C) |
39,4 |
39,2 |
39,1 |
39,3 |
37,6 |
37,8 |
36,3 |
|
| Minimum–maksimum oksygenmetning (%) |
94–99 |
93–95 |
91–95 |
91–95 |
85–90 |
76–88 |
78–88 |
60–78 |
| pO2 (kPa) |
10–14 |
9,4 |
6,8 |
5,5 |
||||
| CRP (mg/l) |
0–4 |
159 |
131 |
124 |
169 |
251 |
||
| Leukocytter (∙ 109/l) |
3,5–10 |
8,2 |
4,8 |
5,1 |
4,7 |
7,9 |
||
| Lymfocytter (∙ 109/l) |
1,1–3,3 |
0,9 |
1,0 |
1,1 |
1,1 |
0,7 |
||
| Trombocytter (∙ 109/l) |
145–390 |
119 |
97 |
92 |
100 |
145 |
||
| Kreatinin (µmol/l) |
60–105 |
124 |
108 |
105 |
94 |
89 |
||
| Alaninaminotransferase (E/ml) |
10–70 |
24 |
31 |
74 |
Hurtigtest for influensa og RS-virus i akuttmottaket var negativ, og dråpesmitteregimet ble derfor opphevet. Røntgen thorax viste ingen lungeforandringer. Pasienten fremsto ikke septisk preget. På mistanke om lungebetennelse med bakterielt agens ble pasienten innlagt og gitt empirisk behandling med intravenøs benzylpenicillin.
Nasofarynksprøver viste kun vekst av normalflora ved dyrkning, og luftveisagens-PCR var negativ for influensa, metapneumovirus, RS-virus, Chlamydia pneumoniae og Mycoplasma pneumoniae. Gjentatte blodkulturer viste ingen vekst av bakterier etter fem dagers inkubasjon.
Pasienten følte seg bedre og ønsket å reise hjem sykdomsdag 3 og 4, men han hadde fremdeles feber. Sykdomsdag 5 hadde han temperatur på 39,3 °C, respirasjonsfrekvens 20 per minutt med oksygenmetning 90 % på romluft og manglende biokjemisk respons på antibiotikabehandling.
Bakteriell lungebetennelse med penicillinresistente bakterier ble vurdert som en mulig forklaring på manglende respons på empirisk behandling. Vedvarende feber, luftveissymptomer og forhøyet D-dimer kunne eventuelt også forklares med en uoppdaget lungeemboli eller viruspneumoni.
Etter diskusjon med vakthavende mikrobiolog ble det etterbestilt utvidet luftveisagens-PCR på nasofarynksprøve tatt ved innleggelsen (sykdomsdag 2), og pulmonal CT-angiografi ble rekvirert for nærmere kartlegging av lungene. CT-bildene viste ingen tegn til lungeemboli, men i alle lungeavsnitt var det områder med mattglassfortetninger og retikulære forandringer, såkalt «crazy paving» (figur 1). På bakgrunn av symptomer og høy alder valgte vakthavende mikrobiologer å legge til analyse for SARS-CoV-2, i tillegg til analyse for fire typer parainfluensavirus, rhinovirus, enterovirus D68 og adenovirus.
Til tross for manglende kjent smitteeksponering for SARS-CoV-2, hadde pasienten symptomer som kunne passe med covid-19. Han var også i høyrisikogruppen for dårligere prognose ved eventuell covid-19 (1).
Pasienten fikk påvist SARS-CoV-2 på sykdomsdag 5, og svaret ble umiddelbart formidlet til klinikere. Det ble omgående igangsatt smitteverntiltak, med forsterket dråpesmitteisolasjon. For å sikre seg mot prøveforbytting, ble SARS-CoV-2-PCR gjentatt, med fortsatt positivt funn. Benzylpenicillinbehandlingen ble beholdt med tanke på en mulig bakteriell superinfeksjon.
Sykdomsdag 6 falt kreatininverdien til 94 µmol/l etter rehydrering, CRP steg til 169 mg/l, med normale leukocytter på 4,7 ∙ 109/l og normaliserte lymfocytter på 1,1 ∙ 109/l. Oksygenmetningen falt til 83 % på romluft. Behovet for oksygen økte til 8 l/minutt for å holde oksygenmetning 87 % med respirasjonsfrekvens 30 per minutt. Arteriell blodprøve viste pH 7,46, pCO2 4,0 kPa, pO2 6,8 kPa, baseoverskudd −2,9 og oksygenmetning 89 %. I tillegg fikk han forstøverbehandling med ipratropium og salbutamol. Antibiotika ble endret fra benzylpenicillin til cefotaksim for å dekke mot Staphylococcus aureus og gramnegative bakterier.
Etter bred tverrfaglig diskusjon, og i samråd med pårørende, ble det på grunn av pasientens høye alder, uttalte komorbiditet og meget raske sykdomsutvikling besluttet at respiratorbehandling ikke skulle tilbys.
Sykdomsdag 7 fremsto pasienten litt forvirret. Han hadde moderat hoste og ble tungpusten av selv den minste anstrengelse. Respirasjonsfrekvensen økte til 36 per minutt, og oksygenmetningen falt til 78 % trass i oksygentilskudd på 15 l/minutt med maske med reservoar. Arteriell blodprøve viste økende respirasjonssvikt med hypoksi uten hyperkapni selv med uttalt oksygenstøtte, hvorpå han utviklet en ukompensert hjertesvikt. Nyrefunksjonen forble normal. Lymfocyttallet falt igjen til 0,7 ∙ 109/l, og CRP steg til 251 mg/l.
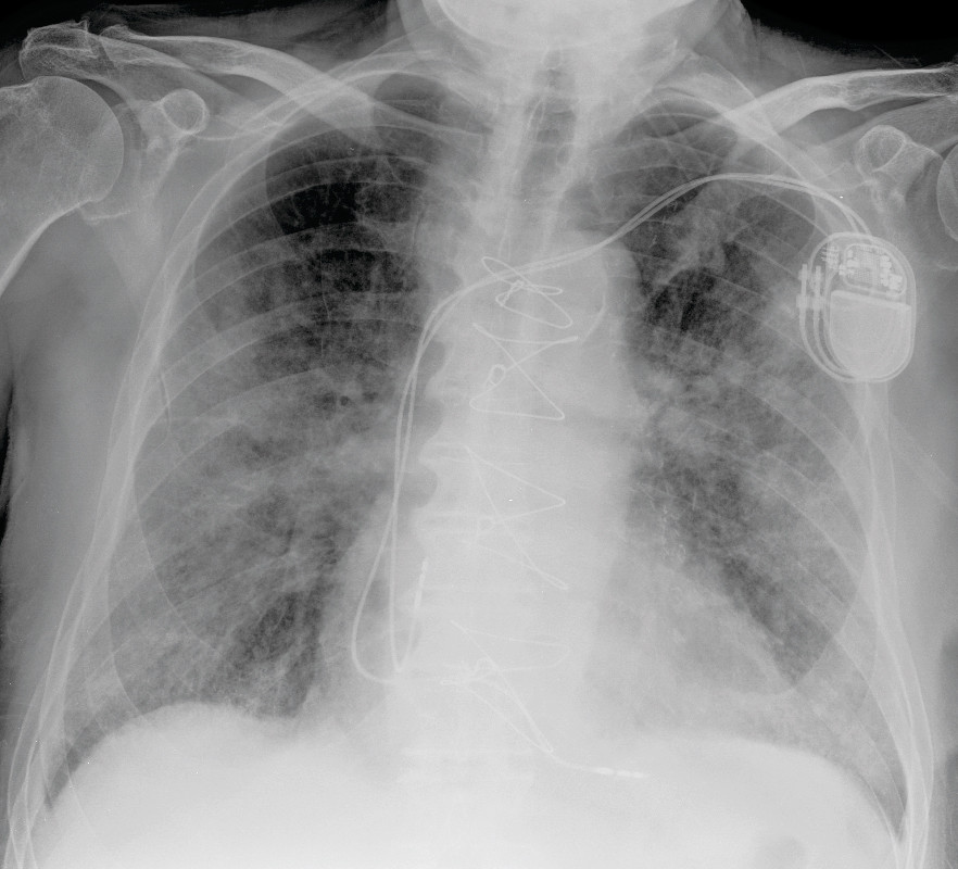
Røntgen thorax viste ikke overbevisende tegn til stuvning, men økende løst mettede fortetninger med økende konsolidering som indikerte sykdomsprogresjon (figur 2). Utover kvelden på sykdomsdag 7 ble han stadig mer besværet i pusten, med respirasjonsfrekvens over 40 per minutt og oksygenmetning ned mot 60 %, til tross for høyt oksygentilskudd på maske med reservoar.
Pasienten hadde nå økende radiologiske lungeforandringer, 5 poeng på SOFA-skår (sepsis-related organ failure assessment) og forverret respirasjonssvikt. Etter tverrfaglig vurdering ble fokus endret fra aktiv livreddende behandling til lindrende behandling.
Antibiotikabehandling ble avsluttet. Pasienten mottok glykopyrron og morfin, som ga god effekt med fredeligere respirasjon og mindre plager. Sykdomsdag 8 var pasienten i terminalfasen. Han døde ni dager etter symptomdebut (figur 3).
Diskusjon
Coronaviridae er en familie av innkapslede enkelttrådede RNA-virus der kapselen er dekket av pigger (spikes). Dette kan på elektronmikroskopiske bilder minne om solens korona. Koronavirus finnes hos pattedyr og fugler. Hos mennesker gir infeksjon som regel kun mild luftveisinfeksjon og forkjølelsessymptomer. Unntakene er Middle East respiratory syndrome coronavirus (MERS-CoV), severe acute respiratory syndrome coronavirus (SARS-CoV) og det nå aktuelle SARS-CoV-2, som er humanpatogene koronavirus som kan gi alvorlig lungeaffeksjon. SARS-CoV-2 gir sykdomstilstanden covid-19 (coronavirus disease 2019), som har meget variert symptomatologi (2)−(5). Pasienten hadde de vanligste symptomene ved covid-19, nemlig feber, hoste, tungpustethet og redusert allmenntilstand.
SARS-CoV-2 påvises primært i luftveisprøver, men også i annet prøvemateriale, ved hjelp av revers transkriptase-PCR i sanntid (rRT-PCR). I Berlin-protokollen påviser PCR-analysen virusets e-gen. Sensitiviteten er på ca. 95 %, med deteksjonsgrense ned mot 5 kopier/µl (6). E-genet finnes hos betakoronavirus, som inkluderer SARS-CoV-2, SARS-CoV og andre SARS-lignende virus hos dyr. Siden andre SARS-lignende virus ikke sirkulerer blant mennesker nå, kunne man konkludere med at den aktuelle pasienten måtte være smittet med SARS-CoV-2.
De vanligste symptomene ved covid-19 rapportert i kasusstudier er feber (83−98 %), hoste (59−82 %), redusert allmenntilstand (38−69 %), tungpustethet (18−55 %) og dårlig matlyst (40 %). Det er verdt å merke seg at en relativt liten andel hadde sår hals (5−17 %) og rennende nese (4−5 %) (2)−(5). Man kan i tillegg få symptomer fra flere organsystemer avhengig av hvilke organer som affiseres.
Den fryktede komplikasjonen er akutt lungesvikt-syndrom (acute respiratory distress syndrome, ARDS), som er et ikke-kardiogent lungeødem og diffus lungebetennelse, rapportert hos 15−29 % av pasienter i kasusstudier (3)−(5). Vår pasient utviklet sannsynligvis denne tilstanden over få dager, med utvikling av bilaterale lungefortetninger og redusert pO2/FiO2-ratio på arteriell blodprøve. Respirasjonssvikt dominerte det kliniske bildet under hele sykdomsforløpet, med kun mindre grad av annen organaffeksjon.
I en retrospektiv kasusstudie med 52 kritisk syke voksne pasienter var det høy mortalitet, særlig hos eldre pasienter (> 65 år) med kormorbiditet og akutt lungesvikt-syndrom (7). I studien var 61,5 % av pasientene døde etter 28 dager, og median varighet fra intensivbehandling til død var syv dager. De som døde utviklet hyppigere akutt lungesvikt-syndrom (81 %) enn de som overlevde (45 %). Det får bemerkes at det kun var to inkluderte pasienter ≥ 80 år i studien, og begge døde. Det ble vurdert som uetisk å behandle vår pasient med et så inngripende tiltak som respiratorbehandling. Vi antar det ville ha forlenget dødsprosessen snarere enn å bedre leveutsikten.
Laboratoriefunn gjenspeiler organaffeksjon. Vanligste hematologiske funn hos innlagte pasienter med lungebetennelse er leukopeni, lymfopeni og leukocytose. Andre unormale funn er nøytrofili, trombocytopeni og anemi. Vanligste unormale koagulasjonsprøver er forhøyet D-dimer og forlenget protrombintid. Pasienten hadde moderat trombocytopeni og lymfopeni, som er beskrevet i kasusstudier med et mer alvorlig forløp (8).
I en retrospektiv kohortstudie fra Wuhan i Kina var særlig høy alder, forhøyet D-dimer og forhøyet SOFA-skår assosiert med økt sannsynlighet for dødelig utgang (1). Lymfopeni ved innleggelse er også en risikofaktor for alvorlig forløp. Vår pasient hadde høy alder og forhøyet D-dimer, men kun lett forhøyet SOFA-skår ved innkomst i akuttmottaket. SOFA-skår økte fra 3 til 5 poeng fra sykdomsdag 2 til sykdomsdag 7.
Forhøyet alaninaminotransferase (ALAT) kan ses hos pasienter med alvorlig sykdom (5). I et brev til Lancet spekuleres det i om sekundær hemofagocytisk lymfohistiocytose (sHLH) kan være trigget ved covid-19 (9). Kardinalsymptomene ved denne tilstanden omfatter vedvarende feber, cytopenier og forhøyet ferritin. Sykdomsdag 7 hadde pasienten lett forhøyet ALAT til 74 E/l (10−70), fall i lymfocytter til 0,7 ∙ 109/l, forhøyet laktatdehydrogenase til 566 E/l (115−255) og forhøyet ferritin 1 175 µg/l (30−400). I en retrospektiv analyse av 150 pasienter med covid-19 var forhøyet ferritin og interleukin-6 (IL-6) forbundet med økt dødelighet, som kan tyde på at dødeligheten kan skyldes virusdrevet hyperinflammasjon (10).
Det er verdt å sikre luftveisprøver og blodkulturer for å utelukke andre årsaker til luftveisinfeksjon før oppstart av empirisk antibiotika, særlig hos pasienter med en atypisk epidemiologisk sykehistorie. Det var ingen vekst av bakterier i luftveisprøver og blodkulturer hos pasienten.
Mens det første røntgenbildet av lungene på sykdomsdag 2 var uten fortetninger, hadde pasienten mattglassfortetninger i alle lungeavsnitt på pulmonal CT-angiografi utført på sykdomsdag 5. Mattglassfortetninger kan sees ved flere tilstander og gjenkjennes ved at forandringene ikke overskygger lungestrukturene. Slike med eller uten konsolidering er beskrevet hos pasienter med covid-19 (11−14). Konsolidering er fortetninger hvor lungens normalanatomi utviskes. CT skal ikke brukes som diagnostisk verktøy eller screeningverktøy, men kan være aktuelt i tilfeller hvor det er mistanke om komplikasjoner som ikke er avklart på røntgen thorax (15). CT kan være mer sensitiv enn rRT-PCR i tidlige stadier av sykdommen og i et epidemisk område, men er ikke spesifikk, og andre interstitielle pneumonier vil kunne gi lignende funn (16)−(17). CT vil for disse pasientene være en meget begrenset ressurs, fordi det må gjøres tidkrevende smittevask av laboratoriet mellom hver undersøkelse. Det ble ikke tatt ny CT i sykdomsforløpet til vår pasient, men på sykdomsdag 7 ble det tatt røntgen thorax som viste økende løst mettede fortetninger med økende konsolidering (figur 2). Dette indikerte sykdomsprogresjon.
Pasienten var blant de første som ble innlagt i Norge med covid-19 og blant de første med påvist smitte hvor det ikke var en klar forbindelse til utenlandsreise eller sikker kontakt med en smittet. Siden det initialt ikke ble mistenkt covid-19, ble han liggende uten tilstrekkelige smitteverntiltak på sengepost. Anbefalinger for testing for SARS-CoV-2 har endret seg nærmest daglig. Det var ved innleggelsen ennå ikke indikasjon for slik testing. Fastlegen og to sekretærer ved fastlegekontoret samt knappe 30 ansatte ved sykehuset ble smitteutsatt og havnet derfor i karantene i 14 dager. Kort tid etter påvisningen av covid-19 hos pasienten, endret fastlegekontoret og sykehuset rutinene både for testing og smitteforebyggende tiltak.
Smitteoppsporingen startet omgående med varsling til smittevernavdelingen ved sykehuset, pasientens fastlege, pårørende og smitteverninstansene i bydelen og kommunen. Den videre omfattende smitteoppsporingen på pasientens ulike arenaer i lokalmiljøet ble ivaretatt av smitteverninstansen i pasientens bydel. Pasienthistorien illustrerer godt både behovet for tidlig adekvate smitteverntiltak og konsekvensene ved sen iverksettelse av disse.
Pasientens pårørende har gitt samtykke til at artikkelen blir publisert.
Takk til Nina Merethe Clausen, fagansvarlig bioingeniør ved Mikrobiologisk avdeling på Oslo universitetssykehus, Ullevål. Hun har satt opp PCR-analysen av SARS-CoV-2 og har også utført de fleste av analysene.
Artikkelen er fagfellevurdert.
- 1.
Zhou F, Yu T, Du R et al. Clinical course and risk factors for mortality of adult inpatients with COVID-19 in Wuhan, China: a retrospective cohort study. Lancet 2020; 395: S0140-6736(20)30566-3. [PubMed][CrossRef]
- 2.
Guan WJ, Ni ZY, Hu Y et al. Clinical characteristics of coronavirus disease 2019 in China. N Engl J Med 2020; 382: NEJMoa2002032. [PubMed][CrossRef]
- 3.
Huang C, Wang Y, Li X et al. Clinical features of patients infected with 2019 novel coronavirus in Wuhan, China. Lancet 2020; 395: 497–506. [PubMed][CrossRef]
- 4.
Chen N, Zhou M, Dong X et al. Epidemiological and clinical characteristics of 99 cases of 2019 novel coronavirus pneumonia in Wuhan, China: a descriptive study. Lancet 2020; 395: 507–13. [PubMed][CrossRef]
- 5.
Wang D, Hu B, Hu C et al. Clinical characteristics of 138 hospitalized patients with 2019 novel coronavirus-infected pneumonia in Wuhan, China. JAMA 2020; 323: 1061–9. [PubMed][CrossRef]
- 6.
Corman VM, Landt O, Kaiser M et al. Detection of 2019 novel coronavirus (2019-nCoV) by real-time RT-PCR. Euro Surveill 2020; 25: 2000045. [PubMed][CrossRef]
- 7.
Yang X, Yu Y, Xu J et al. Clinical course and outcomes of critically ill patients with SARS-CoV2 pneumonia in Wuhan, China: a single-centered, retrospective, observational study. Lancet 2020; 395. doi: 10.1016/S2213-2600(20)30079-5. [CrossRef]
- 8.
Qin C, Zhou L, Hu Z et al. Dysregulation of immune response in patients with COVID-19 in Wuhan, China. Clin Infect Dis 2020; 70: ciaa248. [PubMed][CrossRef]
- 9.
Mehta P, McAuley D, Brown M et al. COVID-19: consider cytokine storm syndromes and immunosuppression. Lancet 2020; 395. doi: 10.1016/S0140-6736(20)30628-0. [CrossRef]
- 10.
Ruan Q, Yang K, Wang W et al. Clinical predictors of mortality due to COVID-19 based on an analysis of data of 150 patients from Wuhan, China. Intensive Care Med 2020; 46. doi: 10.1007/s00134-020-05991-x. [PubMed][CrossRef]
- 11.
Shi H, Han X, Jiang N et al. Radiological findings from 81 patients with COVID-19 pneumonia in Wuhan, China: a descriptive study. Lancet Infect Dis 2020; 395: S1473-3099(20)30086-4. [PubMed][CrossRef]
- 12.
Bernheim A, Mei X, Huang M et al. Chest CT findings in coronavirus disease-19 (COVID-19): Relationship to duration of infection. Radiology 2020; 295: 200463. [PubMed][CrossRef]
- 13.
Ng M, Lee E, Yang J et al. Imaging Profile of the COVID-19 Infection: Radiologic Findings and Literature Review. Radiology Cardiothoracic Imaging 2020; 2: e200034. [CrossRef]
- 14.
Zhao W, Zhong Z, Xie X et al. Relation between chest CT findings and clinical conditions of coronavirus disease (Covid-19) pneumonia: a multicenter study. AJR Am J Roentgenol 2020; 214: 1–6. [PubMed][CrossRef]
- 15.
ACR recommendations for the use of chest radiography and CT for suspected COVID-19 cases. Imagining Technology News. https://www.itnonline.com/content/acr-recommendations-use-chest-radiography-and-ct-suspected-covid-19-cases Lest 14.3.2020.
- 16.
Zu ZY, Jiang MD, Xu PP et al. Coronavirus disease 2019 (COVID-19): A perspective from China. Radiology 2020; 295: 200490. [PubMed][CrossRef]
- 17.
Ai T, Yang Z, Hou H et al. Correlation of chest CT and RT-PCR testing in coronavirus disease 2019 (COVID-19) in China: A report of 1014 cases. Radiology 2020; 295: 200642. [PubMed][CrossRef]