Sarkom i hjertet

    ()

    sporsmal_grey_rgb
    Abstract

    BACKGROUND

    Although very rare, cardiac sarcoma is the most common malignant cardiac tumour. Cardiac tumours may present with constitutional symptoms and this can lead to delayed diagnosis.

    CASE PRESENTATION

    A woman in her late twenties was admitted to the acute psychiatric ward with suspected depressive psychosis. Although she presented with insomnia, auditory hallucinosis and paranoid delusions, her main symptoms were dyspnoea, tachycardia and exhaustion. She was discharged after 17 days and admitted directly to the medical ward for further examination. A thorough somatic examination, including diagnostic imaging, revealed a tumour in the left atrium obstructing the mitral ostium in the diastole, resulting in orthopnoea. She had urgent cardiac surgery and the histology was consistent with an intimal sarcoma.

    INTERPRETATION

    This case illustrates a rare disease presenting with atypical symptoms. Her psychiatric symptoms resolved after surgery and oncologic treatment of her cardiac tumour.

    Artikkel

    En tidligere frisk og velfungerende ung kvinne ble innlagt på akuttpsykiatrisk avdeling med spørsmål om depressiv psykose. Det skulle vise seg at hun hadde et stort sarkom i venstre atrium.

    En kvinne i slutten av 20-årene ble frivillig innlagt på akuttpsykiatrisk avdeling med spørsmål om depressiv psykose. Hun var tidligere frisk, men hadde siste måned før innleggelsen hatt influensalignende symptomer med redusert fysisk form, søvnproblemer og etter hvert psykotiske symptomer i form av hørselshallusinose og paranoide forestillinger om overvåkning. Hun hørte en stemme som sa at «du vil dø om du sovner» og «pust, ellers kommer du til å dø».

    Ved mottak ble pasienten vurdert som psykotisk, men ikke deprimert, og det ble startet antipsykotisk behandling. Blodtrykket var på 148/102 mm Hg og pulsen 101 slag/minutt, vurdert som betinget i angst og uro. De første dagene etter innleggelsen var hun preget av slapphet og slitenhet, og hun fikk etter hvert halsvondt og feber. CRP ble målt til 113 mg/l (referanseverdi 0–4 mg/l) og leukocytter 14,7 · 109/l (referanseverdi 3,5–10,0 ·109/l).

    Hun ble vurdert somatisk i medisinsk mottak, og man startet behandling med antibiotika for akutt faryngitt. Dette ga noe effekt på CRP- og leukocyttverdiene, men vedvarende forhøyet senkningsreaksjon på 60 mm (referanseverdi 1–17 mm). Det ble avdekket anemi med hemoglobinnivå på 9,7 g/dl (referanseverdi 11,7–15,3 g/dl), som man antok kunne være sekundært til kraftige menstruasjonsblødninger.

    Pasientens allmenntilstand forverret seg ytterligere, med svimmelhet, tungpustethet, høy respirasjonsfrekvens og puls, noe som dels ble oppfattet som bivirkninger av den antipsykotiske medisineringen. Ved ny somatisk undersøkelse på psykiatrisk avdeling hørte man splittet 2. hjertetone og en uspesifisert bilyd i form av gnisse/suselyder. Det ble påvist krepitasjoner basalt over lungene og ødemer i underekstremitetene. EKG viste sinustakykardi uten tegn til iskemi. Pasienten ble innlagt på medisinsk avdeling for avklaring av somatisk tilstand. Hun fremstod da uten alvorlige psykiatriske symptomer og med bedret evne til å gjøre rede for egen situasjon.

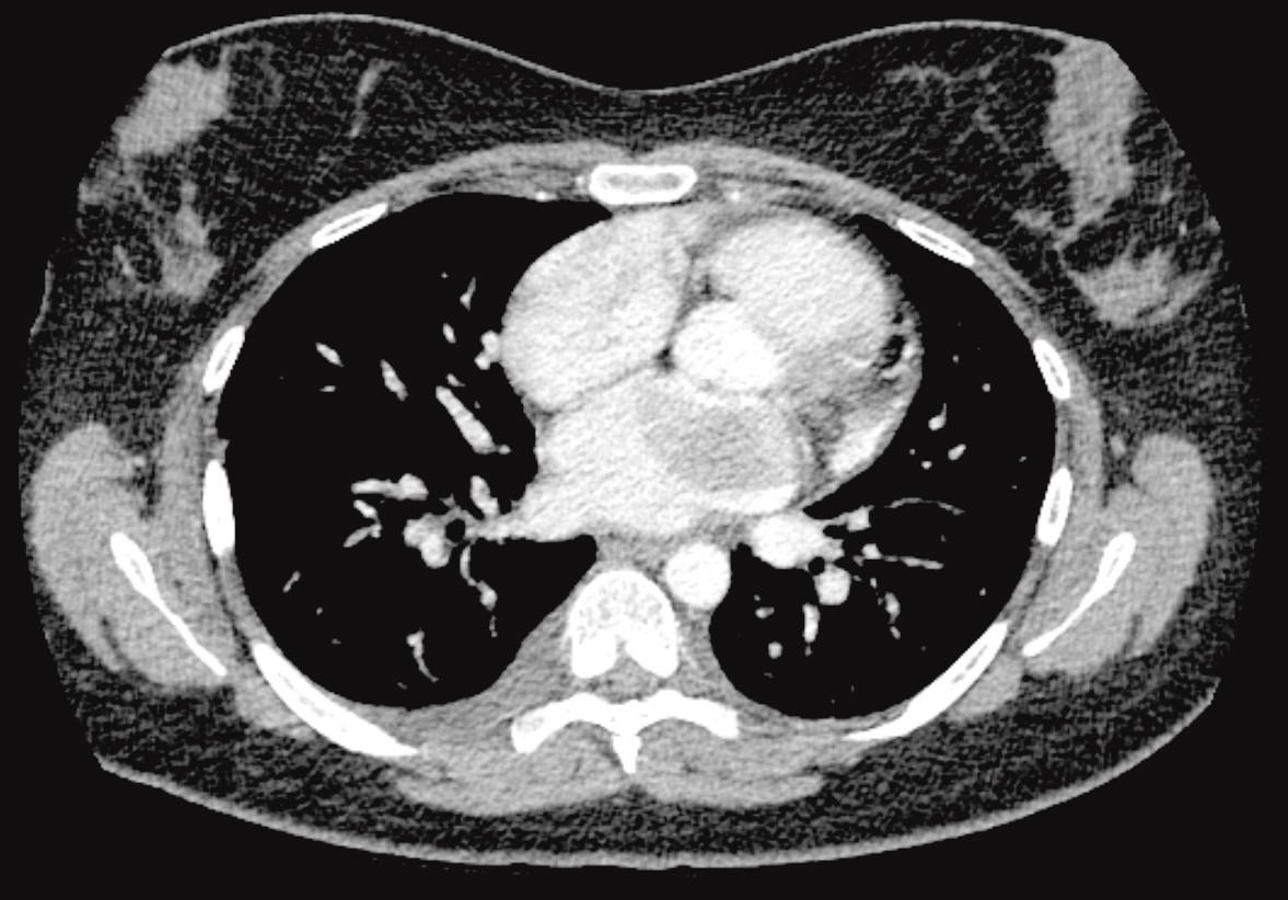
    Bildediagnostisk utredning med røntgen thorax (figur 1) viste funn som kunne passe med stuvning. Pasienten var ung uten kjent hjertesykdom, og man vurderte derfor stuvning som mindre sannsynlig. Ut ifra røntgenbildene ble det reist mistanke om luftveisinfeksjon eller mulig interstitiell lungesykdom, differensialdiagnostisk stuvning. CT thorax (figur 2) avdekket en oppfylning i venstre atrium og bekreftet tegn til stuvning. Ekkokardiografi viste en stor ekkohomogen, velavgrenset og stilket tumor utgående fra atrieseptum, som nær utfylte venstre atrium og i diastole obstruerte mitralostiet. Funnet ga mistanke om myksom. Hun hadde sikker leiebetinget dyspné ved undersøkelsen.

    Pasienten ble overflyttet til universitetssykehus og operert med eksisjon av tumor i venstre atrium nær septum. Peroperativt avdekket man ytterligere en tumor i venstre atrium ved bakre mitralannulus, som også ble eksidert. Få uker etter operasjonen ble det overraskende påvist residiv i venstre atrium. I tillegg var det separate tumorsuspekte lesjoner i høyre og venstre atrium. Den histologiske diagnosen viste seg å være intimalt sarkom. Positronemisjonstomografi (PET)-CT påviste to metastaser i magesekken.

    Cellegiftbehandling ble igangsatt, og hun responderte betydelig. Det ble gjort omfattende radikal reseksjon av residivet i hjertet samt fjerning av metastaser i magesekken. Postoperativ strålebehandling av hjertet ble vurdert, men man valgte å avstå grunnet høy risiko for hjertesvikt på lang sikt. Hun følges nå hver 3. måned med CT av hjertet og transøsofageal ekkokardiografi med tanke på lokalt residiv, og CT av thorax, abdomen og bekken med tanke på metastaser. Pasienten har ikke hatt behov for kontakt med psykisk helsevern eller brukt psykofarmaka etter utskrivningen fra psykiatrisk avdeling, selv om hun opplever at prosessen med cellegift og operasjoner har vært en stor belastning. Ett år etter innleggelsen på psykiatrisk avdeling har hun ingen psykiatriske symptomer eller søvnproblemer.

    Diskusjon

    Diskusjon

    Over 75 % av primære tumorer i hjertet er benigne. Myksom er vanligst blant disse, mens sarkom er hyppigst blant maligne tumorer (1). Intimalt sarkom er en svært sjelden og alvorlig diagnose med dårlig prognose. Behandlingen er radikal kirurgisk reseksjon hvis mulig, noe som ofte innebærer omfattende kirurgi på vitale strukturer. Neoadjuvant kjemoterapi kan være aktuelt, men typisk opereres pasientene akutt på vital indikasjon uten tid til dette. Betydningen av adjuvant behandling er uavklart (2, 3). Bildediagnostikk av hjertetumorer er utfordrende, spesielt ved lavtette tumorer med lite kontrastopptak, som kan ligne benigne myksomer og tromboembolisk sykdom. CT og eventuelt MR av hjertet samt ekkokardiografi brukes ved utredning og kontroller (4). Tumorer i hjertet kan ha uspesifikke symptomer (5), noe som kan føre til at tilstanden oppdages på et sent stadium. Hvis de er i venstre atrium, er det typisk å få symptomer på hjertesvikt, som dyspné, ortopné, ødemer, hoste og utmattelse. Embolisme til systemkretsløpet fra tumorfragmenter eller tromber kan forekomme (1). Vår pasient hadde blant annet symptomer på hjertesvikt, og man kan spekulere i om hennes psykiatriske symptomer muligens var betinget i langvarige søvnproblemer, som igjen var forårsaket av hjertetumoren med leieavhengig dyspné.

    Kasuistikken illustrerer betydningen av grundig anamnese, god somatisk undersøkelse og oppfølging av avvikende blodprøvesvar hos psykiatriske pasienter.

    Pasienten har gitt samtykke til at artikkelen blir publisert.

    Artikkelen er fagfellevurdert.

    Kommentarer  ( 0 )
    PDF
    Skriv ut

    Anbefalte artikler