En kvinne i 60-årene pådro seg en kuttskade over kneet og utviklet bursitt. Infeksjonen ble behandlet og fulgt opp poliklinisk. Bursitten residiverte og forløpet ble komplisert med sepsis, disseminert intravaskulær koagulasjon og multiorgansvikt.
En tidligere frisk kvinne i 60-årene falt, slo høyre kne og fikk en 5 cm lang kuttskade over kneet. Såret ble renset og suturert på legevakt. Det ble samtidig gitt tetanusprofylakse. En uke senere oppsøkte pasienten legevakten på nytt med kliniske tegn på sårinfeksjon med knesmerter, rødme og hevelse. Hun ble henvist til lokalsykehusets akuttpoliklinikk for videre vurdering. Her åpnet og reviderte man såret og tok dyrkningsprøve. Bakteriologisk prøve av sårsekret ble sikret. Røntgen av kneet viste ingen frakturer. Blodprøver viste CRP 68 mg/l (referanseområde < 5 mg/l) og leukocytter 9,2 ∙ 109/l (3,5–10 ∙ 109/l). Pasienten var afebril. Man startet antimikrobiell behandling med dikloksacillin (1 g × 3), og pasienten ble sendt hjem med avtale om poliklinisk kontroll.
Vanlige symptomer på sårinfeksjon er rødme, hevelse, smerte og eventuelt sekresjon eller puss. Som regel kan denne typen infeksjon håndteres med godt sårstell og eventuelt revisjon av urent sår og drenasje ved abscess (1). Antibiotika er ofte unødvendig.
To dager senere ble pasienten henvist til akuttmottaket grunnet oppkast og redusert allmenntilstand. Ved innleggelse hadde hun blodtrykk 107/56 mm Hg, regelmessig puls 83 slag/min, respirasjonsfrekvens 22 pust/min og temperatur 37,5 °C. Prepatellart på kneet var det nå et erytematøst felt på ca. 10 × 10 cm med et sentralt sår med noe pussekresjon. Kneet var palpasjonsømt med redusert bevegelighet grunnet smerter. Orienterende blodprøver viste CRP 129 mg/l og leukocytter 11,9 ∙ 109/l, ellers upåfallende verdier. Dyrkningsprøven tatt ved første kontakt viste ingen oppvekst av bakterier.
Man vurderte den aktuelle hendelsen som terapisvikt med peroral antibiotika og startet behandling med kloksacillin (2 g × 4 intravenøst). Differensialdiagnostisk ble det vurdert om det kunne foreligge septisk artritt eller cellulitt.
Septisk artritt er en bakteriell infeksjon i et synovialledd med utgangspunkt i et infisert sår eller ben eller hematogen spredning ved bakteriemi. Vanligste agens er Staphylococcus aureus (> 50 %), men også streptokokker, gramnegative stavbakterier som Haemophilus influenzae, anaerobe bakterier og Neisseria gonorrhoeae kan forekomme (2, 3). De fleste pasientene har en tidligere leddskade eller leddprotese, men immunsupprimerte pasienter, diabetikere, hiv-smittede og rusmisbrukere er også utsatt. Lokale kliniske tegn på sårinfeksjon, forhøyede infeksjonsparametere, oppvekst i blodkulturer og positiv dyrkning eller PCR av leddvæske og synovialbiopsier støtter diagnosen. Bakterielle artritter bør undersøkes med artroskopi og skylles, både for diagnostikk og behandling før oppstart av antibiotikabehandling. Artroskopi bør gjentas i tilfelle manglende bedring etter tre dagers behandling (3).
Pasienten var innlagt på sykehuset i åtte dager. Under innleggelsen ble det foretatt en kneleddspunksjon, som viste klar leddvæske. Denne ble sendt til dyrkning. Samtidig ble bursa prepatellaris incidert, og det tømte seg lett blakket sårvæske herfra. Det ble også tatt dyrkningsprøve av sårvæsken. Sårhulen ble skylt, og det ble lagt inn dren. Ultralyd av underekstremiteten kunne ikke påvise dyp venetrombose. Infeksjonsprøvene viste kun langsom bedring under pågående kloksacillinbehandling. Man byttet derfor antibiotikum fra kloksacillin til klindamycin, som ga klinisk og biokjemisk bedring. Dyrkning av leddvæsken var uten oppvekst, men PCR av denne ble ikke utført. CRP falt til 56 mg/l ved utskrivelse. Basert på kliniske funn og symptomer konkluderte man med diagnosen bakteriell prepatellar bursitt. Pasienten ble satt på klindamycinkur (Dalacin) og møtte ukentlig til polikliniske kontroller gjennom tre uker. På disse kontrollene var CRP fortsatt fallende. Det ble funnet oppvekst av Pseudomonas aeruginosa og Serratia spp. i sårvæsken fra den prepatellare bursaen. Resistensbestemmelsen for begge agens viste følsomhet for ciprofloksacin som peroralt middel. Man byttet derfor til behandling med ciprofloksacin. På siste kontroll var såret tilhelet, og pasienten var afebril og kunne belaste benet uten større smerter.
Prepatellar bursitt er en ganske vanlig tilstand, og er som oftest aseptisk. Traume og overbelastning er utløsende faktorer. Inflammasjon fører til markant økning av væskeinnhold i affisert bursa. Typiske symptomer ved bursitt er hevelse, smerter, rødme og varme. Diagnosen baseres ofte på kliniske undersøkelser, eventuelt støttet med aspirasjon av væske og dyrkning av denne. Behandlingen er avlastning, smertelindring og eventuelt kortisoninjeksjoner. Ved infeksiøs bursitt er antibiotikabehandling og kirurgisk drenasje ofte nødvendig (4, 5).
Pasienten ble innlagt på nytt 19 dager etter siste polikliniske kontroll grunnet tre dager med liknende plager som ved forrige innleggelse. Hun hadde blodtrykk 136/72 mm Hg, regelmessig puls 78 slag/min, respirasjonsfrekvens 18 pust/min og temperatur 36,9 °C. Orienterende blodprøver viste CRP 70 mg/l, leukocytter 13,6 ∙ 109/l, kreatinin 134 μmol/l (60–105 μmol/l) og glomerulær filtrasjonshastighet (GFR) 36 ml/min (> 60 ml/min). Såret på kneet var nå dekket med en skorpe uten sekresjon, men selve kneet var rødt og hovent. All palpasjon og bevegelse i kneet ga sterke smerter.
Man tolket tilstanden som residiv av bakteriell bursitt. Blodkulturer ble tatt før man startet behandling med intravenøs ciprofloksacin, basert på tidligere dyrkningssvar. Det kom etter hvert frem at pasienten hadde brukt en del ibuprofen som smertestillende før innleggelse. Hun brukte ikke andre nyretoksiske medikamenter som kunne forklare hennes prerenale nyresvikt, og ikke-steroide antiinflammatoriske midler (NSAID) og infeksjon ble derfor antatt å være bidragende til denne. Ibuprofen ble seponert og væskebehandling igangsatt.
To dager etter innkomst var pasienten i klinisk bedring, men CRP steg til 311 mg/l, leukocytter til 21,4 ∙ 109/l og kreatinin til 191 μmol/l. Pasienten fikk økende smerter, hevelse og rødme i høyre kne. Infeksjonsmedisiner mistenkte stafylokokker som aktuelt agens, da det er vanligst ved bakteriell bursitt. De tidligere påviste agensene, P. aeruginosa og Serratia spp., ble oppfattet som mindre sannsynlige agens, da det var lite respons på adekvat antibiotikabehandling. Man byttet til antibiotikabehandling med kloksacillin. Antimikrobiell behandling uten dosetilpasning, dehydrering og NSAID-bruk ble ansett som årsak til den økende nyresvikten.
Ultralyd av høyre kne viste subkutant ødem ventralt i kneleddet og væske i bursa suprapatellaris. Fra bursa prepatellaris ble det drenert en del serøs væske, som ble sendt til dyrkning. Kneleddet ble også punktert, uten tegn til purulent leddvæske. Leddvæsken ble igjen sendt til dyrkning, men PCR av væsken ble ikke rekvirert. Pasienten var nå infeksjonspreget til tross for kirurgisk drenasje og antibiotikabehandling, og hadde stigende CRP og feber. Da det ikke var oppvekst verken i blodkulturer, sårvæske fra bursa prepatellaris eller leddvæske, ble erysipelas og cellulitt nå oppfattet som mer sannsynlige diagnoser enn residiv av bakteriell bursitt og septisk artritt.
Blodprøver viste nå CRP på 300-tallet, forverring i nyrefunksjon og tilkomne elektrolyttforstyrrelser. Ultralyd av nyrer og urinveier viste ingen tegn til postrenalt avløpshinder eller hydronefrose. Samme kveld etterbestilte man CK-analyse, som viste en verdi over 5 000 U/l (referanseområde < 210 U/l for kvinner).
Abscess og dyp bløtdelsinfeksjon var aktuelle differensialdiagnoser på nåværende tidspunkt. Supplerende undersøkelser med CT av brystkasse, buk, bekken og underekstremiteter ble utført. Pasienten hadde fortsatt smerter i kneet, men ikke i lår eller legg, og det hadde nå tilkommet økende hevelse i høyre lår. Antibiotikaregimet ble utvidet og inkluderte nå klindamycin og piperacillin-tazobaktam.
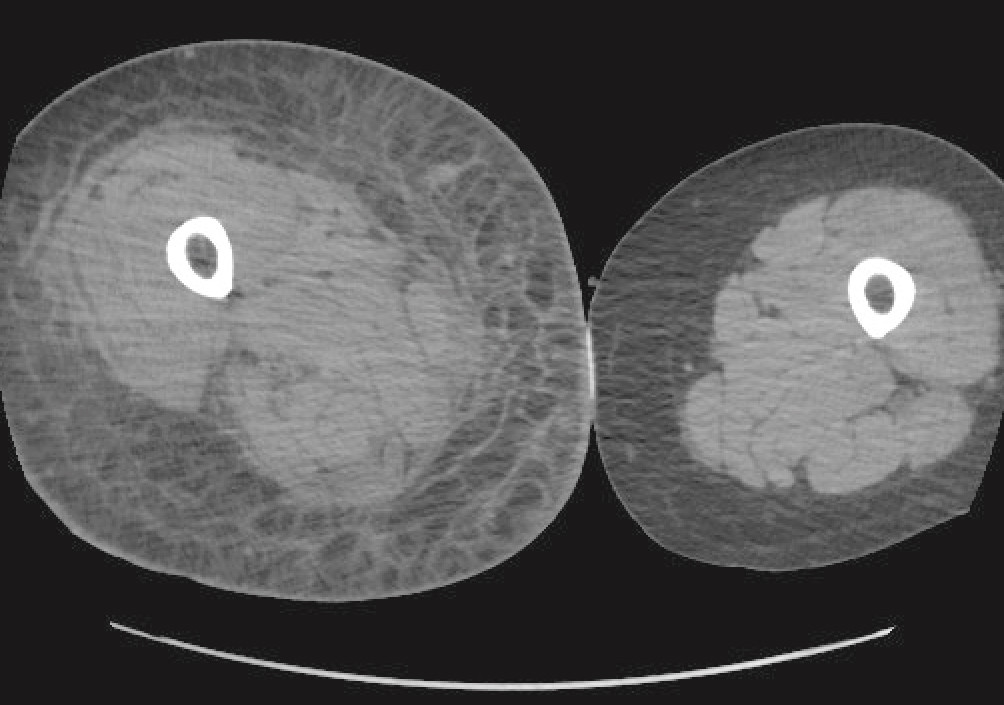
CT av høyre underekstremitet viste nå kraftig subkutant ødem innbefattende dypere strukturer som muskel og fascie (figur 1). CT av brystkassen og buken viste flegmone i bukveggens muskulatur. Det var ikke radiologiske tegn til gassproduksjon i dypere vev. CT-funn var forenlige med dyp bløtvevsinfeksjon, slik som nekrotiserende fasciitt. Pasienten ble overflyttet til nærmeste sentralsykehus med plastikkirurgisk kompetanse etter totalt fem dager på lokalsykehuset.
Nekrotiserende bløtdelsinfeksjoner omfatter fasciitt, myositt og cellulitt. Det typiske forløpet omfatter fulminant vevsdestruksjon med nekroser, systemisk påvirkning og høy mortalitet (6). Infeksjonen kan involvere alle vevslag. Det kan være vanskelig å skille nekrotiserende fasciitt fra myositt, da både skjelettmuskulatur og fascie er affisert ved begge tilstandene. Førstnevnte involverer primært fascie (7, 8).
Nekrotiserende fasciitt er en sjelden sykdom. Forekomsten er usikker i Norge, men insidensen ligger på 1–5 tilfeller per 100 000 årlig (9). Det typiske er bakteriell translokasjon langs muskelfascien, hvor man i utgangspunktet har dårlig blodforsyning. Infeksjonen kan deles i to ulike typer: type 1, som er en blandingsinfeksjon med aerobe og anaerobe mikrober (polymikrobiell), og type 2, som er monomikrobiell. Betahemolytiske gruppe A-streptokokker (GAS) er den hyppigste etiologiske agens i type 2-infeksjoner i Norge (6, 10), men S. aureus forekommer også (7, 10). Type 2-infeksjoner kan forekomme hos tidligere friske individer uten underliggende sykdom. Gruppe A-streptokokker er virulente og ofte toksinproduserende mikrober som kan gi raskt progredierende nekroser i affisert dypere vev, med beskjeden affeksjon av overliggende hud og eventuelt muskel. De vanligste lokalisasjonene er ekstremiteter, bukvegg og perineum. Hematogen spredning kan også forekomme, for eksempel etter en GAS-tonsillitt. (7, 10, 11).
Type 1-infeksjoner omfatter både aerobe og anaerobe mikrober, vanligvis grampositive kokker (S. aureus, betahemolytiske streptokokker), gramnegative staver (Enterobacter spp., Escherichia coli, Klebsiella spp.) og anaerober (Clostridium spp., Bacteroides spp., peptostreptokokker) (6, 7, 11). Pseudomonas spp. og gjærsopp er uvanlig (7, 12). Risikofaktorer er høy alder, diabetes mellitus, perifer karsykdom, trykksår, hemoroider, rektalfissurer og gynekologiske inngrep. Enkelte mikrober kan produsere gass, og man kan derfor tidvis se gassbobler i vevet (på CT-undersøkelse). Begge typene infeksjoner kjennetegnes av raskt progredierende sykdomsforløp med systemisk påvirkning, ofte innen et døgn (12).
Erytem uten skarp avgrensning mot frisk hud, sterke smerter og lokalisert ømhet hos en (pre-)septisk pasient bør vekke mistanke om nekrotiserende fasciitt. Hos halvparten av pasientene kan det palperes subkutane krepitasjoner og ødem på grunn av gassproduserende mikrober (6, 11). Rask kirurgisk debridement er indisert og livreddende. Gjentatte revisjoner og fjerning av nytilkomne nekroser er nødvendig for tilstrekkelig infeksjonskontroll (11, 13).
På overflyttingsdagen til sentralsykehuset utviklet pasienten progredierende multiorgansvikt med hypotensjon, acidose og økende nyresvikt. GFR var 17 ml/min, CRP 255 mg/l og leukocytter > 31 ∙ 109/l. Høyre lår var nå mer enn 20 cm større enn venstre, og pasienten hadde tiltagende smerter i låret og kontralateralt i truncus. Det ble derfor utført fasciotomi på lår, kne, legg og truncus. Man gjorde typiske funn forenlige med nekrotiserende fasciitt i høyre underekstremitet og truncus med ødematøst og væskefylt fettvev, grålig og skitten fascie enkelte steder, blakket væske, atonisk muskulatur uten reaksjon på diatermi og stedvis nekrotisk muskel (musculus vastus lateralis). Det ble tatt aspirat på blodkulturflasker og biopsier fra muskel, fascie og fettvev til dyrkning. Gramfarging og direkte mikroskopi fra fascie viste foreløpig gramnegative stavbakterier, men det tilkom ingen oppvekst som kunne avklare agens, og PCR av biopsier ble derfor ikke utført. Videre antibiotikabehandling ble endret fra klindamycin og piperacillin-tazobaktam til dobbel gramnegativ dekning med meropenem, ciprofloksacin og klindamycin med tanke på tidligere dekning av Pseudomonas spp. spesielt samt anaerob og grampositiv dekning. Amputasjon av underekstremiteter på vital indikasjon ble vurdert, men man avsto fra dette ettersom det allerede var spredning til truncus.
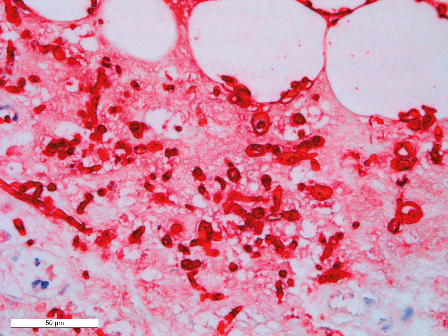
Første dag etter revisjon falt CRP fra 359 mg/l til 97 mg/l og leukocytter fra 36 ∙ 109/l til 16,9 ∙ 109/l. Tross den biokjemiske bedringen etter første partielle revisjon og antibiotikaendring progredierte pasientens multiorgansvikt. Totalt ble det gjort fire revisjoner. Ved siste revisjon så man friskere vev uten tegn til nekrose i venstre underekstremitet, og tidligere atonisk muskulatur reagerte nå på diatermi, men musculus vastus lateralis i høyre underekstremitet var fortsatt uten kontraksjon og ble oppfattet som nekrotisk. Pasienten ble etter tre dager på sentralsykehuset overflyttet til et universitetssykehus for eventuell trykktankbehandling. Før overflytting var alle blodkulturer negative. Alle biopsiene var uten oppvekst, unntatt biopsi fra høyre lår, som viste oppvekst av Candida albicans og Staphylococcus epidermidis. Sistnevnte ble oppfattet som sannsynlig forurensning fra hud. Vevsprøvene ble ikke undersøkt med bakterie- og sopp-PCR. Man forsøkte å legge til behandling med kaspofungin (70 mg × 1) grunnet gjærsoppfunn i biopsi fra høyre lår (figur 2). Histologiske funn i biopsier var forenlige med nekrotiserende fasciitt.
På daværende tidspunkt konkluderte man på universitetssykehuset med at det ikke forelå ytterligere affisert vev som trengte revisjon. Det ble tatt CT av brystkasse og bekken, som viste opphør av blodsirkulasjon i cøliakus-gebetet og redusert sirkulasjon i arteria mesenterica superior-gebetet. Til tross for alle aktive tiltak responderte ikke pasienten på igangsatt behandling. Hun døde og ble sendt til obduksjon.
Ved obduksjon forelå uttalte generaliserte ødemer med perikardvæske, ascites og pleuravæske. Betennelsesforandringene i høyre kne og legg var svært sparsomme. Immunhistokjemisk undersøkelse verifiserte gjærsopphyfer (figur 3). Post mortem-oppvekst av disse kan ikke utelukkes. Man fant verken soppelementer eller inflammasjon i andre organer, noe som støtter ikke-invasiv candidiasis. Infeksjon i høyre kne ble derfor ansett som underliggende dødsårsak, mens klinisk sepsis ble ansett som den direkte dødsårsaken.
Diskusjon
Nekrotiserende bløtdelsinfeksjoner kjennetegnes av akutt forløp som krever sykehusinnleggelse og rask, adekvat behandling med revisjon, antibiotika og intensivstøtte. Retningslinjene for antibiotikabehandling ved nekrotiserende bløtdelsinfeksjon med ukjent etiologi anbefaler benzylpenicillin (3 g × 4–6), klindamycin (600–900 mg × 3–4) og gentamicin (5–7 mg/kg × 1 intravenøst). Alternativt behandlingsregime ved nyresvikt og GFR < 30 er cefotaksim (2 g × 3) og klindamycin (600–900 mg × 3–4 intravenøst) (13).
Nekrotiserende fasciitt er en klinisk diagnose. Hos denne pasienten ble den riktige diagnosen stilt for sent, da man ikke mistenkte nekrotiserende bløtdelsinfeksjon eller nekrotiserende fasciitt til å begynne med. Direkte mikroskopi bekreftet gramnegative stavbakterier, men en kunne ikke se oppvekst av disse. Mangel på oppvekst i flere fasciebiopsier, blodkulturer og sårvæsker skyldes trolig langvarig antibiotikabehandling på prøvetakingstidspunktet. Dessverre ble aldri PCR av bakterie-DNA (16S-DNA) eller sopp-DNA (18S-DNA) rekvirert. Agens som forårsaket fasciitten, ble derfor aldri avdekket. Trolig hadde pasienten en blandingsinfeksjon (type 1-fasciitt) med gramnegative stavbakterier (Pseudomonas spp. og Serratia spp.) og anaerobe bakterier, uten at disse kunne påvises. Sopp er et opportunistisk agens og er høyst uvanlig ved nekrotiserende fasciitt (12, 14, 15). Soppfunnet er sannsynligvis relatert til den langvarige antibiotikabehandlingen pasienten fikk.
Diagnostisering av nekrotiserende bløtdelsinfeksjoner som nekrotiserende fasciitt kan være utfordrende. Det viktigste er å huske at nekrotiserende fasciitt kan oppstå hos helt friske individer i alle aldre. Pasienter med tegn på bløtvevsinfeksjon, feber, hemodynamisk påvirkning og intraktable smerter som ikke passer med kliniske funn, bør vekke mistanke.
Forfatterne takker Liv Hesstvedt (spesialist i mikrobiologi, indremedisin og infeksjonsmedisin og overlege ved Oslo universitetssykehus) for bidrag i forbindelse med manusbearbeidelse.
Pasientens pårørende har gitt samtykke til at artikkelen publiseres.
Artikkelen er fagfellevurdert.
- 1.
Healy B, Freedman A. Infections. BMJ 2006; 332: 838–41. [PubMed][CrossRef]
- 2.
Mathews CJ, Weston VC, Jones A et al. Bacterial septic arthritis in adults. Lancet 2010; 375: 846–55. [PubMed][CrossRef]
- 3.
Goldenberg DL, Sexton DJ. Septhic arthritis in adults. Uptodate. https://www.uptodate.com/contents/septic-arthritis-in-adults Lest 22.4.2020.
- 4.
Stell IM, Gransden WR. Simple tests for septic bursitis: comparative study. BMJ 1998; 316: 1877–80. [PubMed][CrossRef]
- 5.
Canoso JJ. Knee bursitis. Uptodate. https://www.uptodate.com/contents/knee-bursitis Lest 22.4.2020.
- 6.
Rasdal KV. Nekrotiserende fasciitt. Kirurgen. https://kirurgen.no/fagstoff/plastikkirurgi/nekrotiserende-fasciitt-–-en-diagnostisk-utfordring/ Lest 25.1.2019.
- 7.
Wang JM, Lim HK. Necrotizing fasciitis: eight-year experience and literature review. Braz J Infect Dis 2014; 18: 137–43. [PubMed][CrossRef]
- 8.
Colak E, Ozlem N, Kucuk GO et al. Laboratory risk indicators for necrotizing fasciitis and associations with mortality. Turk J Emerg Med 2016; 14: 15–9. [PubMed][CrossRef]
- 9.
Norsk legemiddelhåndbok. T1.15 Nekrotiserende fasciitt. https://www.legemiddelhandboka.no/T1.15/Nekrotiserende_fasciitt/ Lest 22.4.2020.
- 10.
Chelsom J, Halstensen A. Infeksjoner med gruppe A-streptokokker i hud, bløtdeler og blod. Tidsskr Nor Laegeforen 2001; 121: 3310–4. [PubMed]
- 11.
Stevens DL, Bryant AE. Necrotizing soft-tissue infections. N Engl J Med 2017; 377: 2253–65. [PubMed][CrossRef]
- 12.
Eisen DB, Brown E. Necrotizing fasciitis following a motor vehicle accident with Candida species as the sole organisms. Can J Plast Surg 2004; 12: 43–6. [PubMed][CrossRef]
- 13.
Helsedirektoratet. Antibiotika i sykehus. Nekrotiserende bløtdelsinfeksjoner. Nasjonal faglig retningslinje for bruk av antibiotika i sykehus. https://www.helsedirektoratet.no/retningslinjer/antibiotika-i-sykehus/hud-og-blotdelsinfeksjoner/nekrotiserende-blotdelsinfeksjoner/ Lest 22.4.2020.
- 14.
Das S, Basu D, Manigandan G. Necrotizing fasciitis – a rare fatal outcome of road traffic accidents. Egyptian J Forensic Sci 2013; 3: 92–5.
- 15.
Buchanan PJ, Mast BA, Lottenberg L et al. Candida albicans necrotizing soft tissue infection: a case report and literature review of fungal necrotizing soft tissue infections. Ann Plast Surg 2013; 70: 739–41. [PubMed][CrossRef]