En mann i 50-årene med kronisk diaré og vekttap

    ()

    sporsmal_grey_rgb
    Abstract

    BACKGROUND

    Watery diarrhoea coupled with weight loss is a serious condition with many potential causes. We present a possibly underappreciated cause which usually responds well to treatment; left untreated it may have a severe course.

    CASE PRESENTATION

    A man in his fifties with known coronary and cerebrovascular disease was admitted for watery diarrhoea. Prerenal kidney failure occurred on the same day as the initial colonoscopy. The next day he suffered a stroke. He was anticoagulated and recovered within days. In the following months his state of malabsorption continued, with ultimately 50 % weight loss (BMI 14.7) and severe electrolyte disturbances. Intravenous electrolyte solutions and nutrition were administered. Oedema and aphthous duodenal lesions were the only endoscopic findings. Microscopic findings of total villus atrophy in all sampled sites in the small intestine, including the ileum, were striking. There were inflammatory cells in lamina propria, apoptotic cells and disappearance of goblet cells. Coeliac disease was ruled out by serology and HLA typing.

    INTERPRETATION

    A final diagnosis of autoimmune enteropathy was made, based on exclusion of other intestinal and systemic diseases. Treatment with infliximab intravenously and budesonide in an open capsule regime was successful.

    Artikkel

    En middelaldrende mann ble utredet for kronisk diaré og massivt vekttap. Utredningen var langvarig, og behandlingsrespons på mistenkt diagnose uteble. Sykehusoppholdet varte godt over et halvt år og var ledsaget av flere livstruende komplikasjoner. Den aktuelle diagnosen er en sjelden tilstand, men kanskje underkjent, og responderer som regel godt på behandling.

    En mann i 50-årene ble innlagt på medisinsk avdeling i lokalsykehus med tre ukers sykehistorie med hyppige voluminøse tarmtømminger uten blod eller slim. Han var afebril. Han hadde ikke vært i utlandet siste tiden, og avføringsprøver var negative for infeksiøse agens. På bakgrunn av spontan bedring ble han utskrevet etter en uke, med poliklinisk avtale om koloskopi. Etter en måneds tid fikk han tilbakefall og ble lagt inn på nytt på samme avdeling. På dette tidspunktet hadde han et vekttap fra 104 kg til 82 kg (høyde 188 cm).

    Fra tidligere hadde pasienten gjennomgått hjerte- og hjerneinfarkt i 20-årsalderen, uten tegn til sekveler. Han brukte fast per os acetylsalisylsyre 75 mg × 1 og simvastatin 40 mg x 1.

    Endring i avføringsmønster er et svært hyppig symptom. I denne situasjonen er alder over 50 år og/eller patologisk vekttap indikasjon for rask utredning for å utelukke ondartet sykdom eller inflammatorisk tarmsykdom. Patologisk vekttap defineres som vekttap på 5 % eller mer i løpet av seks måneder eller 10 % i løpet av 12 måneder.

    Under innleggelsen ble det foretatt en koloskopi, med normale makroskopiske funn. Pasienten utviklet akutt nyresvikt samme dag med nesten dobling av kreatininverdien til 115 mmol/l (referanseområde 60–105) og akutt metabolsk acidose på blodgass uten tegn til hyperkalemi. Han ble behandlet med intravenøs væskeinfusjon på sengepost. Dagen etter tilkom dysartri og ataksi. Han hadde vært svimmel i løpet av natten og var utenfor tidsvinduet for intravenøs trombolytisk behandling da mistanken om slag ble reist. Pasienten ble raskt overflyttet til nevrologisk avdeling ved regionsykehus i nærheten for vurdering for trombektomi.

    MR viste ferskt infarkt i lillehjerne og hjernestamme i tillegg til gamle forandringer i insula og temporallapp, og CT angiografi viste trombe i venstre a. subclavia og okklusjon av distale venstre a. vertebralis. Grunnet etablert infarkt og risiko for ytterligere embolisering av tromber avsto man fra kateterbehandling. Det var bedring av nevrologiske symptomer i løpet av noen dager og etter hvert fullstendig tilbakegang. Det ble startet behandling med dalteparin 5 000 E × 2 subkutant, og pasienten ble flyttet tilbake til lokalsykehus. Senere, etter gjennomført hematologisk vurdering, transøsofagal ekkokardiografi, som avkreftet kommunikasjon mellom høyre og venstre hjertehalvdel, og telemetri over flere døgn, ble pasienten satt på klopidogrel 75 mg × 1 per os til fordel for acetylsalisylsyre for å opimalisere slagprofylakse. Dalteparin ble redusert til 5 000 E x 1 subkutant for inneliggende tromboseprofylakse.

    Koloskopi er en viktig undersøkelse for å utelukke eller påvise patologiske tilstander i tykktarm og nedre del av tynntarm, med muligheter for biopsitaking samt eventuell terapi. Undersøkelsen regnes som trygg, men har en liten komplikasjonsrate på 0,5 ‰ for perforasjon og 2,6 ‰ for blødning (1). Det vanligste legemiddelet for tarmtømming i Norge er natriumpikosulfat kombinert med magnesiumoksid, et hyperosmotisk middel som krever adekvat inntak av væske for optimal tømming av tarmen og for å bevare væske–elektrolytt-balansen. Vår pasient fikk en tømmingsindusert dehydrering som resulterte i prerenal nyresvikt og iskemisk hjerneskade.

    Over de neste to månedene ble resten av tarmen grundig undersøkt med gastroskopi, kapsel- og ballongenteroskopi i samarbeid med gastromedisinsk undersøkelsesenhet ved regionsykehuset mens pasienten lå inne på lokalsykehuset. Endoskopisk så man ødem og after i duodenum, og histologi viste kronisk aktiv betennelse med kryptitt og totteatrofi i alle tynntarmsegmenter. Granulomer ble ikke påvist, og det var ikke beskrevet økt antall intraepiteliale lymfocytter. Serologiske tester for cøliaki var negative på glutenholdig kost. Han testet i tillegg negativt for de cøliakidisponerende genene HLA-DQ2 og HLA-DQ8. PCR-undersøkelse i tarmbiopsi var negativ for Whipples sykdom, immunhistokjemi negativ for cytomegalovirus og kongorødtfarging negativ for amyloidose.

    Bildet viste altså mikroskopisk atrofi av tarmtotter og diffus inflammasjon, men inflammasjonsmønsteret var ikke typisk for cøliaki, siden det ikke var økt antall intraepiteliale lymfocytter. Cøliaki ble videre sikkert utelukket ved negativ HLA-test. Mikroskopisk kolitt, som kan være en årsak til voluminøse vandige tømminger, ble også utelukket. Inflammatorisk tarmsykdom må alltid vurderes i denne situasjonen. Det histologiske svaret var ikke uforenlig med dette, og grunnet tynntarmsaffeksjon var Crohns sykdom en tentativ diagnose. Pasientens symptomer var imidlertid ikke typiske for denne diagnosen, og det ble derfor utført videre utredning med tanke på sjeldnere årsaker til diaré.

    Parallelt med den gastroenterologiske utredningen ble det foretatt en bredere utredning for immunologiske og systemiske sykdommer. Test for antistoffer mot kardiolipin var forbigående positiv, mens andre serologiske autoantistoffer som tas rutinemessig, var negative. Det var normale serum-immunglobuliner. Det var videre negative markører for nevroendokrine tumorer (inkludert kromogranin A, gastrin og vasoaktivt intestinalt polypeptid) samt negative prøver for virushepatitt og tuberkulose. Elastase i avføringen var normal, hvilket talte mot en eksokrin pankreassvikt. Komplementanalyser og histologi fra nyrebiopsi var upåfallende. Funn på benmargsbiopsi, mutasjonsanalyser for BCR-ABL og JAK2 og flowcytometri for paroksystisk nattlig hemoglobinuri som ledd i utredningen av atypiske tromboser, var alle normale.

    Radiologi med abdominal CT angiografi og MR viste normale forhold med normal kontrastladning, og PET/CT viste økt opptak i tynn- og tykktarm forenlig med inflammasjon. Undersøkelse med radioisotopmerket gallesyreanalog (tauroselkolsyre) viste manglende reopptak av gallesyrer som ved gallesyremalabsorpsjon. Undersøkelse av tarmfunksjon med xylose- og glukosepusteprøve var forenlig med alvorlig malabsorpsjon og mulig bakteriell overvekst. Det var rikelig vekst av anaerober i tynntarmaspirat, men behandling med metronidazol (400 mg × 2 per os) og tetrasyklin (250 mg × 4 per os) over to uker var uten effekt. Motilitetshemmende loperamid (2 mg inntil × 8 per os) og eluksadolin (100 mg × 2 per os) gav ikke tilstrekkelig effekt, ei heller i kombinasjon med den sekresjonshemmende protonpumpehemmeren pantoprazol 40 mg × 1 per os og det antisekretoriske peptidet oktreotid 100 µg × 4 subkutant. På det meste ble tarmtømmingen hemmet fra mer enn 3 000 ml til 1 300 ml ved et tilfelle, noe som talte for sekretorisk mekanisme på tynntarmsnivå. Det var heller ingen vedvarende effekt av gallesaltbinderen kolestyremin 7,5 g × 2 per os eller kolesevelam 1 875 mg × 3 per os, og gallesyremalabsorpsjonen ble derfor ansett som sekundær til den generelle malabsorpsjonen.

    Bred indremedisinsk utredning, radiologi og funksjonsundersøkelser gav ingen nye ledetråder, og symptomatisk behandling sviktet.

    Høydose steroidbehandling mot mistenkt Crohns sykdom gav midlertidig god effekt, men behandlingen var komplisert med hypomaniske symptomer. Ved nedtrapping residiverte diaréplagene på peroral prednisolondose 30 mg daglig. Det var manglende effekt av tilleggsbehandling med azatrioprin 100 mg × 1 per os.

    Det hadde nå gått enda en måned med de ovennevnte behandlingsforsøkene og supplerende utredning. Han ble overflyttet til sengepost på regionsykehus. Steroider og azatioprin ble seponert til fordel for vedolizumab, en tarmspesifikk integrinhemmer som blokkerer T-cellemigrasjonen fra endotel til tarmslimhinnen. Det ble lagt opp til standard induksjonsbehandling med 300 mg intravenøst i uke 0 (innkomst), uke 2 og uke 6.

    Etter måneders forløp hadde pasienten fallert betydelig allment og var nede i vekt 52 kg (BMI 14,7), fra et utgangspunkt på 104 kg. Uten motilitetshemmende legemidler hadde han 10–20 vandige tømminger daglig. Serum-albumin falt så lavt som til 18 g/l (referanseområde 36–45), s-kalium 2,8 mmol/l (3,6–4,6), s-klorid 112 mmol/l (98–107), s-fosfat 0,57 mmol/l (0,8–1,4) samt forhøyet s-natrium, som på det meste var 153 mmol/l (137–145). Elektrolyttforstyrrelsene ble korrigert med infusjoner, og det ble gitt infusjon med tiaminholdig Pabrinex-ampulle 1 og 2 i noen dager før planlagt oppstart av intravenøs ernæring. Det ble startet med total parenteral ernæring i sentralt venekateter i form av Smofkabiven med tilsetninger (Soluvit, Vitalipid og Addaven) og daglige intravenøse elektrolyttilskudd med 1 l isotont saltvann tilsatt 20 mmol monokaliumfosfat og 20–40 mmol kaliumklorid. Den intravenøse ernæringen ble trappet langsomt opp under kontroll av elektrolytter for å unngå reernæringssyndrom til man oppnådde en døgndose på 2 200 kcal.

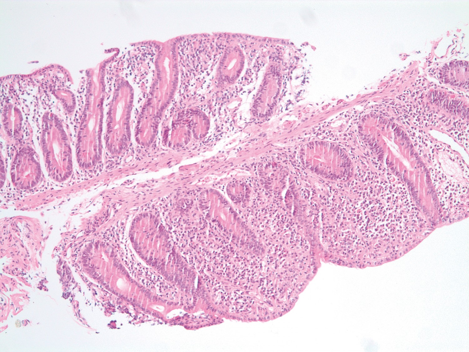
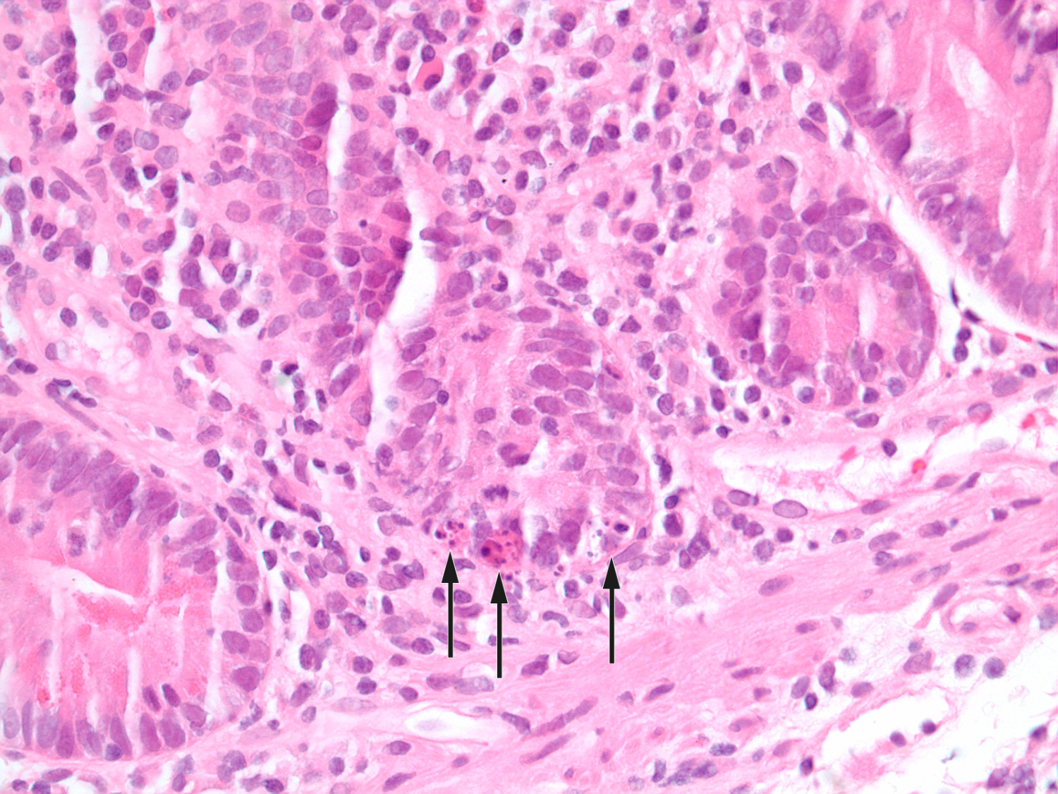
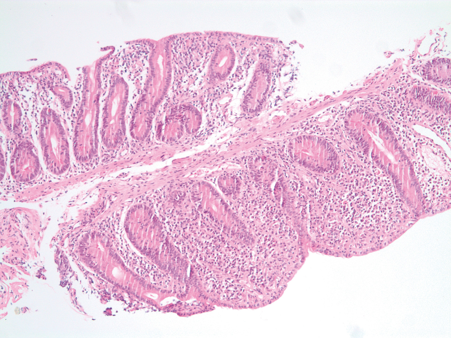
    Det var ingen markant bedring etter de første dosene av vedolizumab. Gastroskopi, jejunoskopi og ileokoloskopi ble gjentatt uten signifikante makroskopiske funn. Mikroskopisk undersøkelse av alle tynntarmsegmenter viste total totteatrofi, økt mengde betennelsesceller (plasmaceller, lymfocytter og granulocytter) i lamina propria, apoptoser og fravær av begerceller i epitelet (figur 1 og 2). Det ble stilt spørsmål om autoimmun enteropati i svaret fra patologene.

    Endelig fikk man en ny ledetråd. Autoimmun enteropati er en tilstand som karakteriseres av kronisk diaré og vekttap (2). Hos barn forekommer tilstanden som følge av en immunologisk ubalanse som primær type eller immunsviktrelatert syndromtype (3). Hos voksne forekommer den også som primær type, i tillegg til en paraneoplastisk og iatrogen type relatert til immunterapi og bruk av olmesartan (3). Anamnesen for predisponerende medikamenter var negativ.

    I lys av dette førsøkte man steroider på nytt. To uker med intravenøs metylprednisolon 40 mg daglig gav ingen klinisk eller endoskopisk endring. Behandlingen ble derfor trappet ned og seponert. Antistoffer i serum mot tarmepitelceller, analysert ved et laboratorium i Lübeck, viste negativt utslag.

    Vedolizumab ble seponert etter bare to administrerte doser, da pasienten hadde vedvarende alvorlige malabsorpsjonssymptomer som ikke tillot venting på en eventuell senere effekt av medikamentet. Det ble i stedet startet opp med infliksimab (anti-tumornekrosefaktor-α-antistoff). Grunnet betydelig sykdomsaktivitet med lavt albumin ble de første infusjonene gitt som dobbel standarddose, altså 600 mg, tilsvarende 10 mg/kg kroppsvekt. Fem dager etter startet man et regime med budesonid i kapsel 3 mg × 3, der første kapsel ble åpnet og innholdet tygget før inntak, andre kapsel inntatt etter åpning og tredje kapsel inntatt hel (2). To dager etter oppstart av denne behandlingen og syv dager etter første dose med infliksimab ble tilstanden markant bedre. Pasienten kunne utskrives til rehabilitering etter to påfølgende uker uten behov for parenteral næring (vekt 67 kg). Før utreise ble det lagt til azatioprin for å hindre dannelse av antistoffer mot infliksimab.

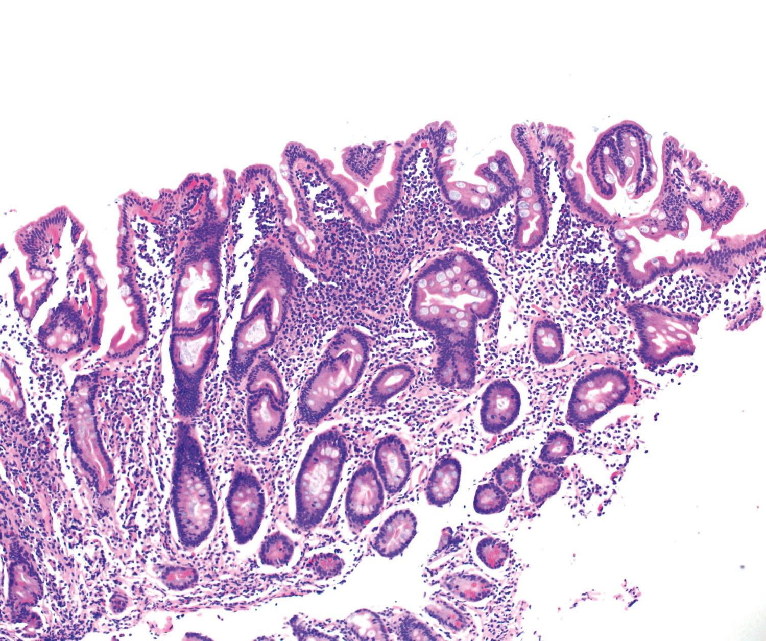
    Etter utreise har det vært én innleggelse grunnet diaré og forhøyede gallestaseparametere. Disse normaliserte seg etter seponering av azatioprin. Gastroskopikontroll ti måneder etter oppstart av effektiv immunsupressiv behandling viste tydelig bedring i inflammatorisk aktivitet og moderat totteatrofi (figur 3). Behandlingsregimet besto av infliksimab 500 mg infusjon hver 4. uke og budesonid 3 mg × 3 per os, og man besluttet da nedtrapping og seponering av sistnevnte. Pasientens vekt var da 88 kg.

    Diskusjon

    Diskusjon

    Autoimmun enteropati er en sjelden tilstand med kun kasuistiske beskrivelser i litteraturen. Det kliniske bildet preges av varierende grad av malabsorpsjon, vandige tømminger og vekttap. Tiden fra sykdomsdebut til diagnose er ofte lang grunnet et mangeartet histologisk bilde og manglende positive diagnostiske kriterier. Behandlingen er immunsuppresjon, men klare anbefalinger foreligger ikke (4). Vanligvis er det nødvendig med total parenteral ernæring og korreksjon av elektrolytt- og væskebalansen (4).

    Det kliniske forløpet hos vår pasient var dramatisk og preget av ekstraintestinale komplikasjoner, der episoden med hjerneslag kan regnes som den mest alvorlige. Tromber i precerebrale kar og embolisk okklusjon i bakre kretsløp ble vurdert å være forårsaket av en generell derangering som følge av underernæring, pågående autoimmun tarmsykdom og dehydrering, som kan ha medført en forbigående hyperkoagulabilitet. Pasienten hadde riktignok hatt et hjerneinfarkt som ung voksen, forklart den gang som følge av nylig gjennomgått hjerteinfarkt og hjertestans og sekvele med redusert bevegelighet av venstre ventrikkel, som kan ha vært embolisk utgangspunkt for hjerneinfarktet den gangen. Utredning av den aktuelle episoden viste ingen grunn til å mistenke kardial årsak som emboluskilde, og utvidet utredning hos hematolog med tanke på atypiske tromboser uten signifikante funn.

    Denne kasuistikken minner oss på å mistenke autoimmun enteropati hos pasienter med alvorlig malabsorpsjon, signifikant vekttap og autoimmun predisposisjon, der det histologiske bildet viser kombinasjonen av kronisk aktiv betennelse og totteatrofi i tynntarm. Cøliaki må utelukkes, enten ved negativ test for HLA-DQ2/DQ8 eller ved å vurdere behandlingsrespons på glutenfri kost. Selv ved manglende respons på glutenfri kost kan refraktær cøliaki være en mulighet, og monoklonalitet av T-celler i tarmbiopsi bør utelukkes ved flowcytometri (5) eller ved PCR-analyse for T-celle-reseptorgenrearrangering. Patologen er en viktig støttespiller, for eksempel kan mistanken vekkes ved et cøliakilignende bilde med tillegg av kronisk aktiv betennelse, apoptoser i kryptepitelet og fravær av begerceller (figur 1 og 2) (3). Positiv serumanalyse for antistoffer mot tarmepitelceller og begerceller kan styrke diagnosen, men er ikke diagnostisk (6). Andre differensialdiagnoser må utelukkes. Behandlingsresponsen er som regel god, selv ved steroidrefraktære tilstander (2).

    Pasienten har samtykket til at historien blir publisert.

    Artikkelen er fagfellevurdert.

    Kommentarer  ( 0 )
    PDF
    Skriv ut

    Anbefalte artikler