Trikobesoar

    ()

    sporsmal_grey_rgb
    Abstract

    BACKGROUND

    Rapunzel syndrome refers to a gastric bezoar with post pyloric extension.

    CASE PRESENTATION

    A child of primary school age presented with four days of symptoms of abdominal pain, nausea, vomiting and a non-tender palpable mass in the upper part of the abdomen. The child had a history of trichotillomania and trichotillophagia. Preoperative imaging including abdominal ultrasound and upper gastrointestinal series was suggestive of gastric bezoar extending into the duodenum. At laparotomy and gastrotomy a large trichobezoar which had taken the shape of the stomach with a 60 cm long tail extending into the jejunum was removed. The child had an uneventful recovery and was discharged home on the fifth postoperative day.

    INTERPRETATION

    Although rare, trichobezoar should be considered as a differential diagnosis of abdominal pain in young patients with a known history of trichotillomania and trichotillophagia.

    Artikkel

    Et barn i tidlig skolealder ble innlagt med noen dagers sykehistorie med magesmerter, oppkast og en palpabel oppfylling i øvre del av abdomen. Utredningen viste at det dreide seg om en svært uvanlig årsak til magesmertene.

    Barnet hadde hatt oppkast og magesmerter i fire dager. Henvisende lege hadde palpert en stor oppfylling i øvre del av abdomen. Siste avføring var minst to dager tilbake i tid. Barnet var under barnepsykiatrisk oppfølging for trikotillomani (napping av hår) og trikotillofagi (svelging av hår).

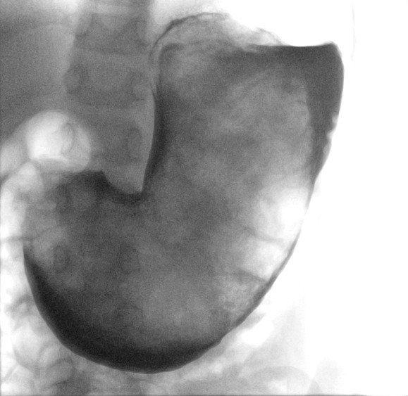
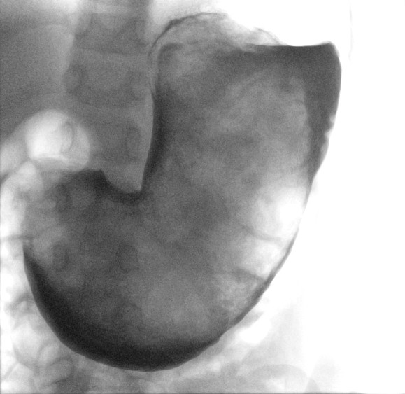
    Ved undersøkelse var pasientens allmenntilstand god, men det var en hard oppfylling på ca. 20 cm i diameter fra epigastriet ned til under navlenivå. Blodprøvene viste hemoglobin 10,5 g/dl (referanseområde 11,0–15,5) og alaninaminotransferase (ALAT) 49 U/L (10–45). Øvrige lever- og galleprøver samt CRP- og leukocyttverdier var normale. Ultralydundersøkelse av abdomen påviste en oppfylling på magesekkens plass. Denne var også synlig på røntgen oversikt abdomen. Supplerende røntgenkontrastundersøkelse fremstilte en oppfylling som inntok hele magesekken, forenlig med en «svært stor besoar» (figur 1). På bakgrunn av opplysningene om tidligere trikotillofagi antok man at det dreide seg om en trikobesoar.

    Dette ble bekreftet ved laparotomi samme dag. Man fjernet en trikobesoar som fylte hele magesekken, med en ca. 60 cm lang utløper som ble trukket retrograd opp fra tynntarmen (figur 2). Trikobesoaren veide over 750 g. Det postoperative forløpet var ukomplisert, og pasienten ble utskrevet femte postoperative dag med avtale om videre barnepsykiatrisk oppfølging.

    Diskusjon

    Diskusjon

    Besoar er en opphopning av ufordøyelig materiale i gastrointestinalkanalen, vanligvis lokalisert i magesekken (1–4). Dersom den består av hår, betegnes den som trikobesoar (1, 2). For at en trikobesoar skal dannes, må pasienten i en lengre periode nappe hår i betydelig grad (trikotillomani) og deretter svelge det (trikotillofagi). Dersom magesekkperistaltikken ikke medfører at håret føres over i tynntarmen, vil det gradvis danne seg en større ansamling av hår i magesekken. Det er anslått at om lag 1 % av personer med alvorlig trikotillomani vil få en besoardannelse som krever kirurgisk intervensjon (1, 5).

    I en klinisk oversiktsartikkel om trikotillomani i Tidsskriftet i 2018 beskrives dette som en psykisk lidelse som typisk rammer i ungdomsårene og har et kronisk forløp. Sammenlignet med atferdsterapi har medikamenter beskjeden effekt på denne lidelsen. De fleste pasientene responderer på atferdsterapi, hvor over halvparten oppnår remisjon (6). I artikkelen anslår man en livstidsprevalens på 0,6–2,4 % og at 5–18 % av hårnapperne svelger hår (6).

    Trikobesoarer kan nå betydelig størrelse før de gir symptomer som beskrevet i denne kasuistikken der hele magesekken var utfylt av besoaren (figur 1). Videre preoperative undersøkelser var ikke nødvendig. CT-undersøkelse med kontrast er rapportert å kunne diagnostisere 97 % av besoarer i magesekken (7), men representerer en betydelig strålebelastning, som det var mulig å unngå hos dette barnet.

    Som det framgår av figur 2, var hoveddelen av besoaren over 20 cm lang og største diameter om lag 10 cm. Den beholdt form som magesekken etter fjerning. Dette skyltes at den var svært kompakt, og den ville ikke ha egnet seg for endoskopisk fjerning, som ofte viser seg å ikke være vellykket (2). Laparotomi med gastrotomi anbefales ved fjerning av store trikobesoarer i magesekken (2).

    Trikobesoaren hadde en 60 cm lang hale (figur 2). Den var palpabel et godt stykke ned i jejunum og lot seg fjerne ved forsiktig traksjon gjennom åpningen i magesekken. Dersom dette ikke hadde latt seg gjøre, måtte man ha fjernet utløperen gjennom en separat åpning av tynntarmen for å hindre at den kilte seg fast og forårsaket tarmobstruksjon (2). En slik hale forekommer i et fåtall av tilfellene (4, 8), men har på grunn av det karakteristiske utseendet blitt kjent under et eget navn i medisinsk litteratur, Rapunsels syndrom (2, 4, 6). Navnet henspiller på den lange hårmanken til Rapunsel som var fanget i tårnet, kjent fra brødrene Grimms eventyrsamling fra 1812.

    Selv om trikobesoar er en sjelden tilstand, må man vurdere den hos pasienter med trikotillofagi og abdominalsymptomer. Symptomgivende trikobesoarer er ofte av en slik størrelse at de er palpable ved enkel klinisk undersøkelse, som i den presenterte kasuistikken. Et slikt funn må føre til videre diagnostikk i sykehus.

    Pasientens foresatte har gitt samtykke til at artikkelen blir publisert.

    Artikkelen er fagfellevurdert.

    Kommentarer  ( 0 )
    PDF
    Skriv ut

    Anbefalte artikler