Cerebral venetrombose etter covid-19

    ()

    sporsmal_grey_rgb
    Abstract

    BACKGROUND

    There is emerging evidence of an increased risk of venous thromboembolism as well as several reports of cerebral venous thrombosis in COVID-19.

    CASE PRESENTATION

    A previously healthy man in his fifties was admitted due to sudden confusion and reduced consciousness. One month earlier the patient had symptoms with headache, fever, dry cough, vomiting and diarrhoea and reduced sense of taste and smell. He was diagnosed with COVID-19 and the symptoms were mainly resolved within three weeks. On admission the patient was disorientated with aphasia. Brain imaging revealed a haemorrhagic infarction in the left temporal lobe due to thrombosis of the left transverse sinus and low-molecular weight heparin was instituted. On follow-up four months later, there was clinical improvement with only slight problems with short term memory and concentration.

    INTERPRETATION

    This case illustrates the risk of serious neurological complications due to cerebral venous thrombosis in COVID-19.

    Artikkel

    Under covid-19-pandemien kommer det stadig flere rapporter om hjerneslag hos smittede. Vi presenterer her en pasient med cerebral venetrombose i etterkant av covid-19. Cerebral venetrombose er en sjelden årsak til hjerneslag og kan gi svært ulike symptomer.

    En tidligere frisk mann i 50-årene ble innlagt i nevrologisk avdeling ved sitt lokalsykehus grunnet forvirring og redusert bevissthet.

    En måned tidligere hadde pasienten fått hodepine, etterfulgt av feber fire dager senere. Han utviklet samtidig lett tørrhoste, diaré og oppkast samt svekket smak- og luktesans. Det ble påvist SARS-CoV-2 i øvre luftveier, og pasienten ble diagnostisert med covid-19. Han var sengeliggende med sterk hodepine og hadde vanskeligheter med å ta til seg mat og drikke. Han benyttet analgetika i form av paracetamol og ibuprofen. Han var først feberfri etter ti dager og returnerte til jobb tre uker etter sykdomsdebut. Han hadde da ingen hodepine. En uke senere ble han innlagt med akutt forvirring etter at han noen timer tidligere hadde vært i sin habitualtilstand. Kvelden i forveien hadde han hatt lett hodepine.

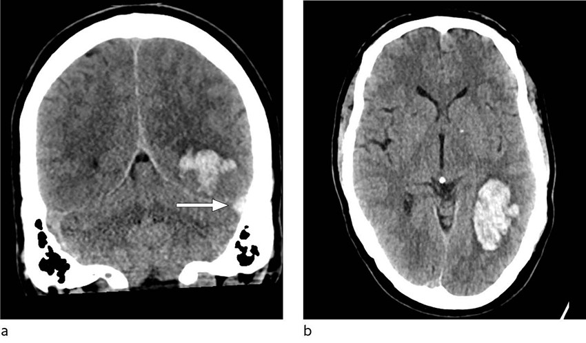
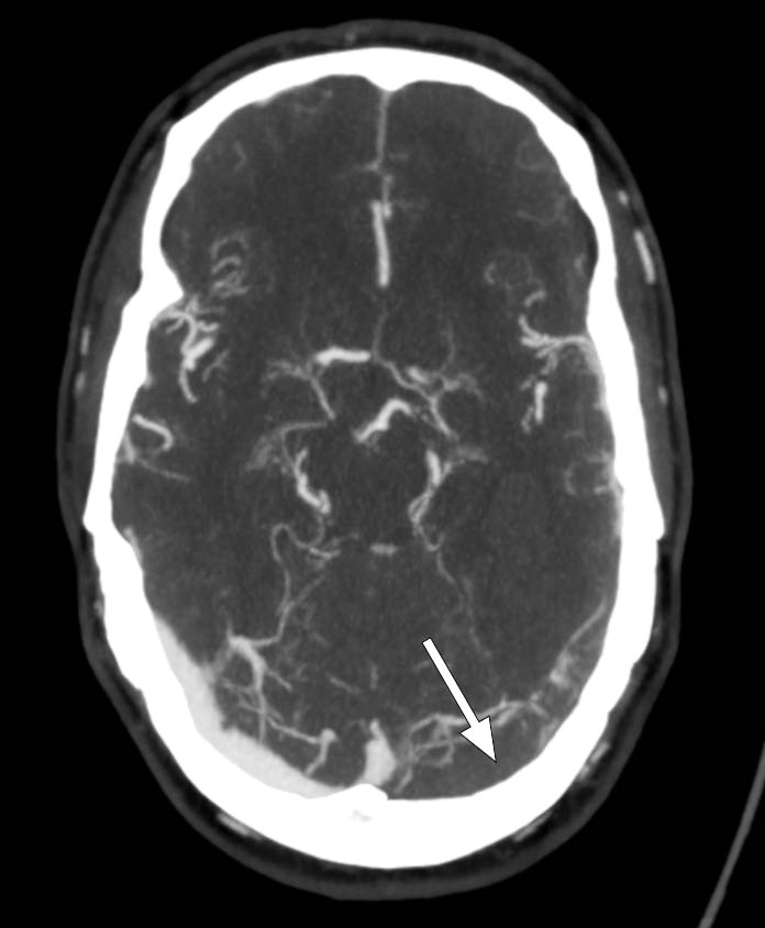
    Ved innkomst fremsto han forvirret, søvnig og med afasi. CT caput avdekket intracerebral blødning i venstre temporallapp, og pasienten ble overflyttet til universitetssykehus for observasjon. Ved ankomst der var pasienten våken, men desorientert og hadde afasi uten andre fokalnevrologiske utfall. Han skåret 4 poeng på National Institutes of Health Stroke Scale, forenlig med et mindre hjerneslag. Kontroll-CT caput uten kontrast viste uendret størrelse av hjerneblødningen, og det ble reist mistanke om hemoragisk venøst infarkt grunnet tegn til cerebral venetrombose (figur 1). Supplerende CT-venografi viste manglende kontrastfylning av sinus transversus og sinus sigmoideus på venstre side, som bekreftet diagnosen (figur 2). Det ble samme dag startet behandling med lavmolekylært heparin i form av dalteparin 100 IE/kg to ganger daglig.

    Pasienten ble senere overflyttet til lokalsykehus. Ved utskrivning til rehabiliteringsopphold hadde han lettere afasi med benevningsvansker, en homonym høyresidig øvre kvadrantanopsi og hukommelsesvansker.

    Pasienten hadde ikke tidligere hatt arterielle eller venøse tromboser, benyttet ingen faste medisiner, hadde aldri røkt og det var ingen kjente tilfeller av venetrombose hos førstegradsslektninger. Han var overvektig, med BMI > 30. Utredning med CT thorax/abdomen/bekken gav ikke holdepunkter for malign sykdom. Undersøkelser med tanke på arvelig og ervervet trombosetendens (faktor V-Leiden-mutasjon, protrombinmutasjon, protein S-antigen, protein C-aktivitet, fosfolipidantistoffer) viste normale funn.

    Ved siste kontakt fire måneder etter innleggelse hadde pasienten hatt stor fremgang. Han hadde ingen språkvansker, ingen motoriske sekveler og var selvhjulpen i det daglige. Pasient og pårørende beskrev lettere svekket korttidshukommelse samt konsentrasjonsvansker.

    Diskusjon

    Diskusjon

    Cerebral venetrombose er en sjelden form for venøs tromboembolisme og rammer hjernens vener og venesinus. Insidensen er i senere studier beregnet til 1,3–1,6/100 000/år (1, 2). Cerebral venetrombose kan gi økt intrakranialt trykk grunnet trombose i større venesinus og påfølgende svekket drenasje av cerebrospinalvæske samt venøs stase med ødemutvikling og venøse infarkter (3). Man anslår at cerebral venetrombose er årsaken til om lag 0,5 % av alle hjerneslag (4).

    Sykdommen forekommer i alle aldre, men er vanligst blant yngre pasienter og hos kvinner (5). Ulike risikofaktorer er assosiert med tilstanden, blant annet infeksjon, kreftsykdom, trombofili, inflammatoriske sykdommer, svangerskap og en rekke medikamenter (3, 5, 6). Intracerebral blødning forekommer ved diagnosetidspunkt hos 30–40 % av pasientene (6). Cerebral venetrombose kan gi svært ulike symptomer og avhenger blant annet av trombelokalisasjon (3, 6). Hodepine er et hyppig symptom og ses hos nær 90 % (5). Epileptiske anfall forekommer hos rundt 40 % (6). Ved venøse infarkter er afasi og hemiparese vanlige symptomer (6). Trombose i det dypere venesystemet kan gi bilaterale thalamusinfarkter, med påfølgende bevissthetssvekkelse (3).

    Cerebral venetrombose diagnostiseres med CT- eller MR-angiografi med venefase (6). Korrekt diagnose er vesentlig, da antikoagulasjonsbehandling er indisert i akuttfasen, også ved tilstedeværelse av intracerebral blødning (6, 7). Antikoagulasjonsbehandling kan hindre ytterligere trombosering som ligger til grunn for blødning i det venøse infarktet. I europeiske retningslinjer anbefales initial behandling med lavmolekylært heparin fremfor ufraksjonert heparin (7). Hos pasienter med nyresvikt eller ved ønske om mulighet for rask reversering av antikoagulasjonseffekt foretrekkes ufraksjonert heparin (7). Man anbefaler 3–12 måneders antikoagulasjonsbehandling med vitamin K-antagonist i etterkant av en cerebral venetrombose (6, 7). Ved erkjent forbigående utløsende årsak foreslås 3–6 måneders behandling. Ved residiverende venøs tromboembolisk sykdom eller alvorlig trombofili kan man vurdere antikoagulasjonsbehandling på ubestemt tid.

    Coronavirus disease 2019 (covid-19) ble av Verdens helseorganisasjon 11. mars 2020 erklært en verdensomspennende pandemi (8). I etterkant har det vært stadige rapporter om tilfeller med affeksjon av nervesystemet ved covid-19. I en studie av hospitaliserte pasienter med covid-19 fant man nevrologiske manifestasjoner hos en av tre pasienter (9). Av pasienter med alvorlig infeksjon (etter et kriteriebasert system) fikk 5,7 % hjerneslag (9). I mindre pasientserier er det beskrevet hjerneslag som et tidlig symptom ved covid-19 (10) samt hjerneinfarkt grunnet storkarokklusjon hos pasienter både over og under 50 år (11, 12).

    Et fremtredende trekk ved alvorlig covid-19 er aktivering av koagulasjonssystemet (13, 14), som kan føre til arteriell og venøs tromboembolisk sykdom (15, 16). Det er ikke endelig avklart i hvilken grad venøs trombose skyldes spesifikke sykdomsmekanismer ved covid-19 eller faktorer som også sees ved annen infeksjonssykdom. Men det er økende holdepunkter for at pasienter med covid-19 er spesielt utsatt, særlig de med alvorlig sykdom (16–19). I flere kasusrapporter er det meldt om cerebral venetrombose hos pasienter med covid-19 (20–24). Det er publisert internasjonale retningslinjer som omhandler tromboseprofylakse ved covid-19 (18), og en norsk gruppe har også nylig kommet med anbefalinger om profylakse og behandling (17). Begge anbefaler liberal bruk av tromboseprofylakse til inneliggende pasienter.

    Vår pasient hadde i utgangpunktet lav risiko for venøs tromboembolisk sykdom. Foruten overvekt hadde han ingen kjente risikofaktorer, og underliggende trombosetendens ble heller ikke avdekket. Ettersom det er sannsynlig at pasienter med covid-19 har økt risiko for venetrombose, mener vi det initiale sykdomsforløpet med covid-19 hos vår pasient var årsak til hans cerebrale venetrombose.

    Kasuistikken viser et tilfelle av alvorlig hjernesykdom hos en pasient med et initialt mildere forløp av covid-19. I tillegg illustreres viktigheten av differensialdiagnostikk ved hjerneblødning.

    Pasienten har gitt samtykke til at artikkelen blir publisert.

    Artikkelen er fagfellevurdert.

    Kommentarer  ( 0 )
    PDF
    Skriv ut

    Anbefalte artikler