Forsinket pleuraeffusjon etter thoraxtraume

    ()

    sporsmal_grey_rgb
    Abstract

    BACKGROUND

    Most cases of thoracic injury are the result of minor trauma, treated out of hospital. Approximately 10 % of patients with minor thoracic trauma develop delayed haemothorax, with risk of fibrosis and empyema. Traumatic diaphragmatic injury following blunt trauma can be difficult to diagnose, and is a rare condition associated with high-energy trauma.

    CASE PRESENTATION

    A 63-year-old man with multiple rib fractures following a traffic accident was readmitted for chest tube drainage 19 days after trauma, due to delayed haemothorax. Four days later, the patient developed massive haemothorax due to pleural fibrinolysis. Video-assisted thoracic surgery confirmed lacerated diaphragm with protruding, bleeding omentum.

    INTERPRETATION

    This case report describes an atypical presentation of a common complication following thoracic trauma. Identification and control of patients at risk of developing delayed haemothorax is of clinical importance to reduce the risk of long-term complications.

    Artikkel

    De fleste thoraxtraumer er ikke innleggelseskrevende, men komplikasjonene kan være mange. Pleuraeffusjon er blant de vanligste som krever behandling. Denne kasuistikken beskriver et atypisk forløp hos en pasient med forsinket pleuraeffusjon etter ribbeinsbrudd.

    En mann i 60-årene ble mottatt som traumepasient etter å ha vært forsetepassasjer i en kollisjon mellom to personbiler. Ved ankomst var han stabil, og den kliniske undersøkelsen avdekket kun palpasjonsømhet over venstre hemithorax. CT-undersøkelse fra hodet til bekkenet ble foretatt i traumeprotokoll og viste brudd på 2.–9. ribbein på venstre side, med dobbeltbrudd på flere ribbein, samt et omkringliggende, mindre hematom. Det var ikke tegn til intratorakale eller intraabdominale skader. De første dagene etter innleggelsen var pasienten en del plaget av smerter. Han hadde god effekt av peroral smertebehandling, og det var ikke tegn til respirasjonsinsuffisiens. Etter fem dagers innleggelse var han i god bedring og ble utskrevet.

    Ved poliklinisk kontroll to uker senere hadde pasienten kun lette smerter, men røntgen thorax viste en betydelig mengde pleuraeffusjon på venstre side, og han ble innlagt til pleurapunksjon. Ved klinisk undersøkelse var det dempning over venstre lungeflate, perifer oksygenmetning på 97 %, blodtrykk på 138/84 mm Hg, puls på 84 slag/min og hemoglobinkonsentrasjon på 10,5 g/dL (referanseområde 13,4–17,0). Et 6 french-grisehalekateter ble anlagt ultralydveiledet, og det ble umiddelbart drenert omkring én liter serøs-blodig væske. I de påfølgende døgnene var det sparsom produksjon på drenet til tross for skylling med 100 mL saltvann tre ganger daglig. På tredje dag etter innleggelsen viste røntgen thorax fortsatt en stor, udrenert væskeansamling. Det ble igangsatt behandling med intrapleural fibrinolyse i form av 10 mg alteplase daglig i tre dager.

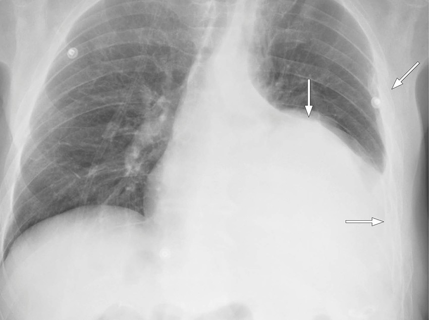
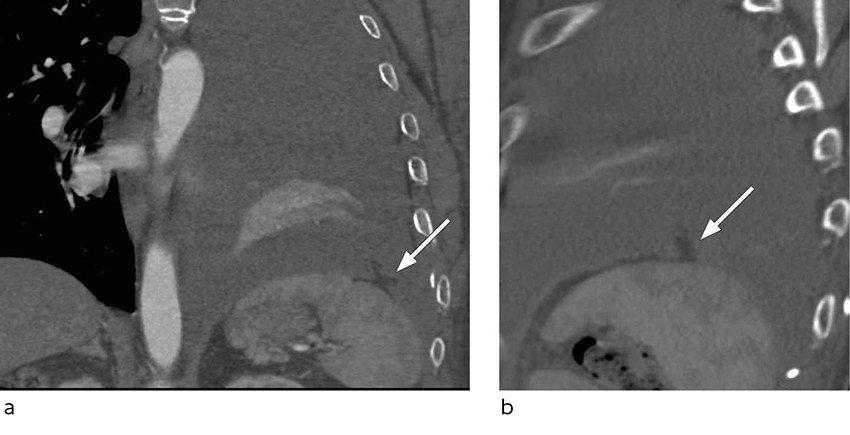
    Etter to dagers behandling med alteplase ble pasienten utilpass med smerter i venstre hemithorax. Symptomene lettet da han la seg i sengen. Det ble like etterpå målt blodtrykk på 130/80 mm Hg, puls på 70 slag/min, perifer oksygenmetning på 97 % og registrert 400 mL blodig væske i drenposen. Noen timer senere ble pasienten igjen utilpass, og det ble målt blodtrykksfall til 55/30 mm Hg. Kontroll av hemoglobin viste et fall fra 9,4 til 8,2 g/dL i løpet av dagen. Tilstanden stabiliserte seg med intravenøs væskebehandling og en enhet erytrocytter. Pasienten var våken og blek, og blodtrykket var 100/60 mm Hg. Røntgen thorax viste tiltagende pleuraeffusjon (figur 1), og påfølgende CT thorax konstaterte massiv hemothorax med forskyvning av mediastinum samt en blødningssuspekt lesjon i relasjon til diafragma (figur 2). Tilbake på avdelingen hadde pasienten tiltagende takykardi med puls på 118 slag/min. Blodtrykket var 110/72 mm Hg. Det ble lagt et 28 french-pleuradren akutt og tappet én liter blod.

    Ved videoassistert torakoskopi samme kveld fant man anterolateralt blødende oment gjennom en defekt i diafragma. Torakoskopisk fjernet man det blødende omentet og lukket defekten. Pasienten ble samtidig laparoskopert uten funn av ytterligere lesjoner i abdomen. Det postoperative forløpet var ukomplisert, og pasienten ble utskrevet i velbefinnende syv dager etter inngrepet.

    Diskusjon

    Diskusjon

    Den vanligste skademekanismen for stumpe thoraxskader er fall eller trafikkulykker. Antall ribbeinsbrudd er assosiert med traumeenergi og risiko for intra- og ekstratorakale skader (1, 2). Ved St. Olavs hospital ble det observert hemothorax hos 7 % av pasientene innlagt med thoraxtraume (1). Diafragmaruptur rapporteres hos under 1 % med stumpt thoraxtraume, og assosieres med høy traumeenergi og alvorlige intratorakale eller intraabdominale skader (1, 3).

    Førstelinjebehandling ved hemothorax er pleuradrenasje. Pasientene har, blant annet, risiko for senfølger som fibrosering og empyem (4, 5). Inkomplett drenasje ses i 5–30 % av tilfellene. Amerikanske retningslinjer anbefaler tidlig videoassistert torakoskopi tre til syv dager etter traumet ved manglende effekt av drenbehandling (4). Intrapleural fibrinolyse anbefales når risikoen ved kirurgisk inngrep er økt. En nyere litteraturgjennomgang av behandling med alteplase antyder at denne er både trygg og effektiv (5). Blødningskomplikasjoner ble sett hos 0–6,6 %, og blant de konsensusbaserte kontraindikasjonene nevnes kirurgi, blødning eller traume innenfor de siste to døgn (5).

    I denne kasuistikken ga behandlingen vesentlig forverring av pasientens tilstand før den tilgrunnliggende årsaken ble identifisert og korrigert. Fibrinolysebehandling ble foretrukket på grunn av tiden siden traumet og pasientens klinisk stabile tilstand og betydelige komorbiditet, herunder diabetes og pankreatitt. Ved gjennomgang av CT-bildene fra den første innleggelsen og de senere røntgenbildene ses ikke tegn til diafragmaruptur. Diagnosen er sjelden og kan være klinisk og radiologisk vanskelig å stille, men bør overveies hos pasienter med relevant høyenergitraume (3).

    Langt de fleste thoraxskader er et resultat av lavenergitraumer og ferdigbehandles i primærhelsetjenesten, hvor fokuset tradisjonelt har vært å sikre tilstrekkelig smertebehandling for å forhindre forlenget funksjonsnedsettelse, respirasjonsinsuffisiens og pneumoni. Risikoen for pneumoni er omkring 2 %, mens risikoen for forsinket pleuraeffusjon beskrives å være 7,4–11,8 % ved mindre thoraxskader (2). Med utgangspunkt i en kohortstudie er det utviklet et risikostratifiseringsverktøy for å identifisere pasienter med høy risiko for utvikling av forsinket pleuraeffusjon (2). Ved behandling av mindre thoraxtraumer i primærhelsetjenesten bør man være oppmerksom på risikoen for forsinket pleuraeffusjon ved manglende bedring. Hos pasienter med innleggelseskrevende thoraxtraume bør man overveie rutinemessig røntgenkontroll etter syv til ti dager.

    Pasienten har gitt samtykke til at artikkelen blir publisert.

    Artikkelen er fagfellevurdert.

    Kommentarer  ( 0 )
    PDF
    Skriv ut

    Anbefalte artikler