Cerebral aspergillose

    ()

    sporsmal_grey_rgb
    Abstract

    BACKGROUND

    The diagnosis of intracerebral fungal abscesses may be difficult due to the paucity of laboratory tests and similar radiological appearance to other lesions.

    CASE PRESENTATION

    We present an immunocompromised woman in her forties who was admitted with a diagnosis of bacterial meningitis. MRI examination showed findings suggestive of fungal abscesses, and a subsequent lumbar puncture showed PCR positive for non-fumigatus Aspergillus. The patient received antifungal treatment and had satisfactory clinical, biochemical and radiological response. Consecutive MRI examinations over the following weeks showed gradual decrease of abscesses, with almost complete resolution within 12 weeks.

    INTERPRETATION

    Adequate management of brain abscesses requires correct identification of the causative agent, so that proper treatment can be initiated as soon as possible. MRI plays an important role in distinguishing between pyogenic and fungal brain abscesses. Headaches or focal neurological deficits in immunocompromised patients should cause CNS fungal infection to be considered.

    Artikkel

    Soppinfeksjoner i sentralnervesystemet er en sjelden tilstand, men en viktig differensialdiagnose hos immunsupprimerte pasienter. Her presenterer vi en kasuistikk som understreker betydningen av å utrede immunsupprimerte pasienter med nevrologiske symptomer på en systematisk måte. Bildediagnostikk kan gi essensiell informasjon som kan føre til korrekt diagnose.

    En immunsupprimert kvinne i 40-årene med Crohns sykdom kom til akuttvurdering med gastroskopi på lokalsykehuset grunnet forverring av allmenntilstanden de siste dagene. Hun presenterte da økende hodepine siste to dager samt synsfeltutfall siden hun våknet samme dag.

    Grunnet symptomene ble nevrolog kontaktet og pasienten raskt tilsett på gastroenterologisk laboratorium. Nevrologisk undersøkelse avdekket mulig hemianopsi, og pasienten ble henvist til akutt CT caput med mistanke om iskemi eller blødning. Pasienten var afebril og hadde normalt blodtrykk. Orienterende blodprøver viste hemoglobin 10,3 g/dL (referanseområde 11,7–15,3), leukocytter 15,7 × 109/L ((3),(5)–8,8), trombocytter 369 × 109/L (145–390) og CRP 213 mg/L (0–5).

    CT-caput uten intravenøs kontrast viste tegn til ødem parietooksipitalt bilateralt, og MR caput ble anbefalt. På mistanke om meningitt ble pasienten deretter spinalpunktert. Spinalvæsken var blakket med 2 661 × 106 celler, hvorav 2 392 × 106 polynukleære og 6,8 mmol/L glukose. Samtidig b-glukose var 10,8 mmol/L og protein 1,44 g/L (0,15–0,50). Mistanken om bakteriell meningitt ble styrket, og pasienten ble innlagt ved medisinsk intermediær enhet.

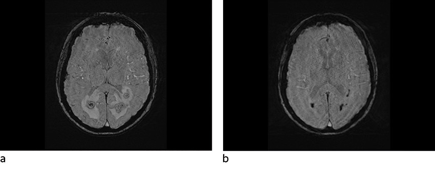
    MR caput ble utført om kvelden innleggelsesdagen, ca. ti timer etter at pasienten kom på gastroenterologisk laboratorium. Denne viste multiple runde foci subkortikalt parietooksipitalt bilateralt, med moderat omkringliggende ødem (figur 1, figur 2, figur 3). Lesjonene hadde lavt T2-signal både sentralt og perifert. Det var høy diffusjon sentralt, men en tykk perifer kapsel med betydelig nedsatt diffusjon. Susceptibilitetsvektede sekvenser (SWI) viste signalbortfall både perifert og i punktformede områder sentralt, noe som kunne være blodnedbrytningsprodukter eller paramagnetiske elementer (jern, magnesium, sink, nikkel). Det var lett forhøyet T1-signal i enkelte lesjoner, hvilket også kunne tyde på innhold av blodnedbrytningsprodukter. I tillegg var det en tynn, lobulert kontrastoppladning i periferien av lesjonene, stedvis med uskarpe grenser mot omkringliggende parenkym.

    Disse karakteristikaene ved lesjonene hos en immunsupprimert pasient med tegn til infeksjon gav mistanke om soppabscesser, mest sannsynlig forårsaket av Aspergillus sp.

    To døgn etter innkomst ble pasienten spinalpunktert på nytt for å sikre ytterligere prøvemateriale til soppdiagnostikk (ny dyrkning og Aspergillus-PCR). Det ble også utført diagnostikk med tanke på andre agens som forekommer ved immunsuppresjon (John Cunningham (JC)-virus, cytomegalovirus, Ebstein-Barr-virus) samt tuberkulosedyrkning og polymerasekjedereaksjonstest (PCR). Soppdyrkningen var uten vekst, men Aspergillus-PCR viste funn av Aspergillus non-fumigatus, og det ble startet behandling med vorikonazol intravenøst 6 mg/kg × 2 første døgn.

    Påfølgende dag gikk man over til kombinasjonsbehandling med isavukonazol (200 mg × 3 første døgn, deretter 200 mg × 1) og liposomalt amfotericin B 5 mg/kg × 1 i totalt fire uker, med god toleranse. Deretter fikk hun monoterapi med isavukonazol 200 mg × 1 over tre måneder. Hodepinen forsvant raskt etter behandlingsstart, og etter få døgn var synsfeltutfallene borte. Det oppsto ingen bivirkninger av behandlingen. MR-undersøkelser, som ble utført annenhver uke de første to månedene, viste gradvis reduksjon av abscesser og ødem. Siste kontroll etter tre måneder viste kun minimale restforandringer.

    Diskusjon

    Diskusjon

    På verdensbasis har det vært økt forekomst av opportunistiske infeksjoner som soppinfeksjoner de siste tiårene. Dette antas blant annet å være på grunn av økt forekomst av immunsupprimerte pasienter, særlig etter fremskritt innen transplantasjon og flere behandlingsmuligheter for inflammatoriske sykdommer (1). Medikamentell immunsuppresjon, særlig kortikosteroidbehandling, øker risikoen for aspergillose i sentralnervesystemet (2). Denne infeksjonen har en mortalitet på 85–100 % hos immunsupprimerte pasienter (1). Infeksjonene oppstår oftest gjennom hematogen spredning fra de primære infeksjonsstedene, vanligvis lunger, eller via direkte spredning fra bihuler. Sjeldnere kan det skyldes nevrovaskulære prosedyrer, vaskulære intervensjoner eller endokarditt (2). Den kliniske presentasjonen er ofte uspesifikk, med hodepine, feber, endret mental status, fokale nevrologiske utfall og epileptiske anfall som de mest rapporterte symptomer og tegn (2).

    Aspergillus, Candida og Cryptococcus er de vanligste fungale patogenene som påvirker hjernens parenkym og kan gi abscesser, meningoencefalitt, vaskulære okklusjoner, septiske infarkter og aneurismer (2, 3). Diagnosen aspergillose i sentralnervesystemet kan stilles ved dyrkning gjennom å isolere soppen ved histopatologi eller med molekylære teknikker som PCR av spinalvæske. Sistnevnte har 100 % sensitivitet og 93 % spesifisitet (2).

    Hjerneabscesser kan ha variable bildediagnostiske utrykk avhengig av agens og utviklingsstadier (4). Man kan ikke bestemme agens ut fra MR-undersøkelse, men karakteristika på standardsekvenser, diffusjonsvektede sekvenser (DWI) og susceptibilitetsvektede sekvenser kan brukes for å skille pyogene abscesser fra soppabscesser (4–6). Av sekvensene synes de diffusjonsvektede å være de mest sensitive for tidlig identifikasjon av cerebral aspergillose (5). Disse er også nyttige i differensieringen mellom soppabscesser og pyogene abscesser (tabell 1) (5). Begge kan vise diffusjonsrestriksjon i hulrom, men bakterielle abscesser har ofte homogen diffusjonsrestriksjon sentralt, i motsetning til soppabscesser, der signalet er inhomogent. Soppabscesser viser også typisk diffusjonsrestriksjon i veggene, noe som er uvanlig ved pyogene abscesser (5). Aspergillusabscesser er ofte multiple, med lobulerte konturer, ujevne indre grenser og variabel kontrastoppladning i periferien (4, 5). På T2-sekvenser og susceptibilitetsvektede sekvenser fremstilles lav intensitet sentralt, grunnet høy forekomst av paramagnetiske elementer (jern, magnesium, sink, nikkel), som er viktig for soppens vekst. Dette er uvanlig ved pyogene abscesser. Ved aspergillusabscesser kan man se hemoragisk nekrose (4, 5).

    Tabell 1

    Bildekarakteristika på MR ved hhv. bakteriell abscess og soppabscess (4).

    Bakterielle abscesser

    Soppabscesser

    Antall lesjoner

    Ofte solitære

    Multiple

    T2-vektede bilder

    Hyperintensitet sentralt
    Hypointensitet i kapsel

    Hypointensitet sentralt og i kapsel

    Diffusjonsvektede sekvenser (DWI)

    Homogent diffusjonssignal sentralt
    Ikke diffusjonsalterasjon ved kapsel

    Heterogent diffusjonssignal sentralt
    Diffusjonsrestriksjon i kapsel

    T1-vektede bilder med kontrast

    Tykt jevnt kontrastopptak

    Ujevne indre og ytre konturer

    Susceptibilitetsvektede sekvenser (SWI)

    To komplette og jevne perifere ringer (dual ring sign)

    Tykk perifer ring. Sentrale punktformede områder

    Blødning

    Sjelden

    Aspergillus

    Konklusjon

    Konklusjon

    Adekvat behandling av hjerneabscesser krever korrekt identifisering av agens, slik at riktig behandling kan igangsettes så snart som mulig. MR-undersøkelse kan bidra til å vekke mistanke om soppabscesser og bør utføres raskt og med nødvendige sekvenser.

    Pasienten har gitt samtykke til at artikkelen blir publisert.

    Artikkelen er fagfellevurdert.

    Kommentarer  ( 0 )
    PDF
    Skriv ut

    Anbefalte artikler