En ung kvinne hadde hodepine i noen dager før hun utviklet en fatal hjerneblødning ti dager etter vaksinasjon med ChAdOx1 nCoV-19-vaksinen fra AstraZeneca.
Pasienten var en kvinne i 30-årene som arbeidet som helsepersonell. Hun hadde ikke kjent hereditet for cerebrovaskulær sykdom. 11 måneder før den aktuelle hendelsen hadde hun hatt en ukomplisert fødsel, men med 1 500 ml blødning. I slutten av svangerskapet hadde hun lett preeklampsi, som ble behandlet med labetolol 100 mg × 2. Blodtrykket bedret seg raskt etter fødselen, og labetolol ble seponert. Ved kontroll etter en måned var blodtrykket normalt uten behandling (110/70 mm Hg). De siste tre månedene før hendelsen ble hun behandlet med duroferon 100 mg × 2 for jernmangel, og hun brukte desloratadin 5 mg for allergi.
Som helsepersonell med pasientkontakt ble kvinnen tilbudt vaksine mot covid-19. Hun ble vaksinert med ChAdOx1 nCoV-19-vaksinen fra AstraZeneca. Syv dager etter vaksinasjon fikk hun hodepine. Hodepinen startet relativt brått og hadde en jevn intensitet. Pasienten tilskrev denne stress og benyttet paracetamol som smertestillende, uten at dette dempet smertene helt.
Tre dager senere, altså ti dager etter vaksinasjon, tilkom en brå forverring. Pasientens samboer hadde vært ute en liten stund, og da han kom inn igjen, var kvinnen apatisk, med snøvlete tale samt ukoordinert gange og bevegelse. De dro da til legevakten.
Ved undersøkelse på legevakt var pasienten ikke orientert for tid eller sted. Hun trengte støtte for å gå. Det ble tidlig klart at innleggelse var nødvendig, og det ble gjort en orienterende nevrologisk undersøkelse. Pasienten klarte å strekke ut tungen, som devierte lett mot venstre. Pupillene var sidelike, med lik reaksjon på lys. Gripekraften var betydelig redusert i begge hendene. Hun hadde ingen tegn til nakkestivhet eller utslett. Vitale parametere viste blodtrykk 122/70 mm Hg, puls 80 slag/min og respirasjonsfrekvens 18/min. Blodsukkeret var 6,8 mmol/L (referanseområde 4,0–6,0), hemoglobinverdien 12,2 g/dL (11,7–15,3), mens CRP-verdien var negativ (< 5 mg/L).
Man mistenkte cerebral hendelse, og pasienten ble umiddelbart innlagt på lokalsykehuset i samme bygg som legevakten. Hun ble lagt direkte på medisinsk overvåkning.
Ved innkomst ble det beskrevet nedsatt bevissthet, med GCS (Glasgow Coma Scale)-skår på 10–11. Hun hadde ekspressiv afasi, men var i stand til å samarbeide ved undersøkelse og følge instruksjoner. Det var ingen nakkestivhet. Pupillene var sidelike og bilateralt lysreagerende. Hun hadde sentral venstresidig facialisparese med blikkdeviasjon mot høyre og fullstendig venstresidig hemiparalyse. Hun kunne spontant bevege høyre sides ekstremiteter, fulgte instruksjoner og løftet høyre underekstremitet på oppfordring uten drift. Hun var i stand til å bevege høyre overekstremitet og klemme med høyre hånd. Plantarrefleksene var inverterte bilateralt. NIHSS-skalaen for slag ble beregnet til 22. Blodtrykket ble nå målt til 132/80 mm Hg, og O2-metningen var på 97 % uten O2. Respirasjonsfrekvensen var 12/min og kroppstemperaturen 36,5 °C. EKG viste sinusbradykardi med frekvens 48/min, helt kortvarig innslag av sinoatriale (SA) blokkeringer og atrioventrikulært (AV) blokk grad III. Man tolket funnene som sekundære til aktuell cerebral patologi.
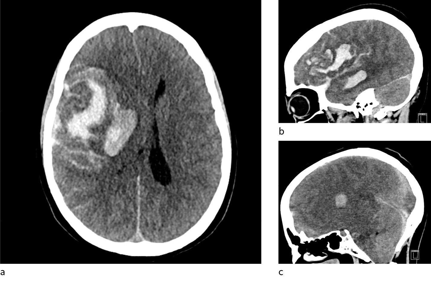
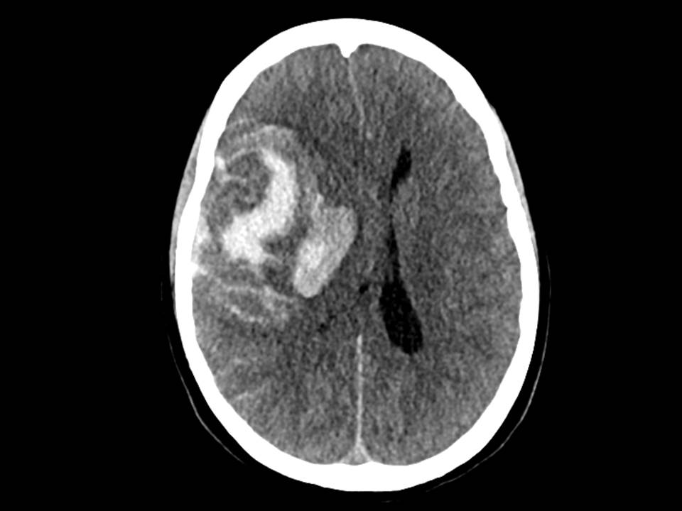
Det var sterk mistanke om intracerebral blødning, og slagalarmen ble utløst. CT caput ble rekvirert og viste en stor høyresidig intracerebral blødning temporoparietalt i forsyningsområdet til arteria cerebri media, utviklende ødem med overskyting av midtlinjestrukturer og kraftig kompresjon av høyre sideventrikkel. Det var både subaraknoidalt blod og en del ferskt blod i hjerneparenkymet (figur 1), men det var ikke synlig blod i ventrikkelsystemet. CT angiografi var uten funn av aneurisme.
Vakthavende ved laboratoriet ringte mens pasienten var til CT-undersøkelse og ga beskjed om svært lave trombocyttverdier på innkomstprøvene, 37 × 109/L (145–390). Grunnet funn av stor intracerebral blødning og relativt uttalt trombocytopeni ble det gitt traneksamsyre (Cyklokapron) 1 g intravenøst. Lokalsykehuset har fullblod, men ikke tilgang på trombocytter for transfusjon.
Blodprøveanalyser ved innleggelse ved lokalsykehus viste flere avvikende prøvesvar (kursivert): b-Hb 14,5 g/dl (11,7–15,3), b-leukocytter 12,5 × 109/L (3,5–10,0), b-nøytrofile granulocytter 10,7 × 109/L (2,0–7,5), b-lymfocytter 1,1 × 109/L (1,5–4,0), b-monocytter 0,7 × 109/L(0,2–0,8), b-trombocytter 37 × 109/L (145–390), b-MCV 94 fL (86–102), b-MCH 32 pg (27–33), p-INR 1,0 (0,9–1,2), p-aktivert partiell tromboplastintid 27 s (25–36), p-fibrinogen 2,2 g/L (1,7–4,0), p-FDP-D-dimer > 7,0 mg/L (0–0,5), s-CRP 8 mg/L (0–5) og s-haptoglobin 2,43 g/L (0,40–2,10). Elektrolytter og øvrige innkomstprøver viste normale verdier.
Overflytting til universitetssykehus ble umiddelbart besluttet. Det ble konferert med hematologisk vakthavende lege ved universitetssykehuset per telefon og ikke funnet indikasjon for å gi øvrige blodprodukter i påvente av transport. Pasienten ble informert om CT-funnene og den planlagte overflyttingen til universitetssykehus mens hun fremdeles lå i CT-maskinen. Hun var våken, og man oppfattet at hun forstod informasjonen som ble gitt.
På vei fra CT til overvåkningsavdelingen ble pasienten merkbart dårligere, GCS-skår falt til 5–6 og hun fikk et krampeanfall, som ble kupert med midazolam intravenøst. I påvente av helikoptertransport fikk hun generell anestesi med fentanyl og propofol samt muskelrelakserende (rokuronium). Hun ble intubert og koblet til respirator. Intrakranialt trykk ble forsøkt senket med god sedasjon og hyperventilering. Arteriell blodgass etter intubasjon viste pCO2 3,92 kPa (4,5–6,1 kPa). Respiratorinnstillingene ble justert før transport med ønske om pCO2-verdi på 4–4,5 kPa. Cerebral perfusjon ble forsøkt sikret med høyt arterielt blodtrykk (MAP), som lå på rundt 90–100 mm Hg før transport. Pasienten fikk noradrenalininfusjon, og blodtrykket ble monitorert invasivt. Til tross for forsøkene på å senke det intrakraniale trykket var begge pupillene dilaterte og lysstive ved avreise fra lokalsykehuset.
Det var dårlig vær, og helikopteret måtte lande underveis. Pasienten ble transportert videre i bilambulanse til universitetssykehuset.
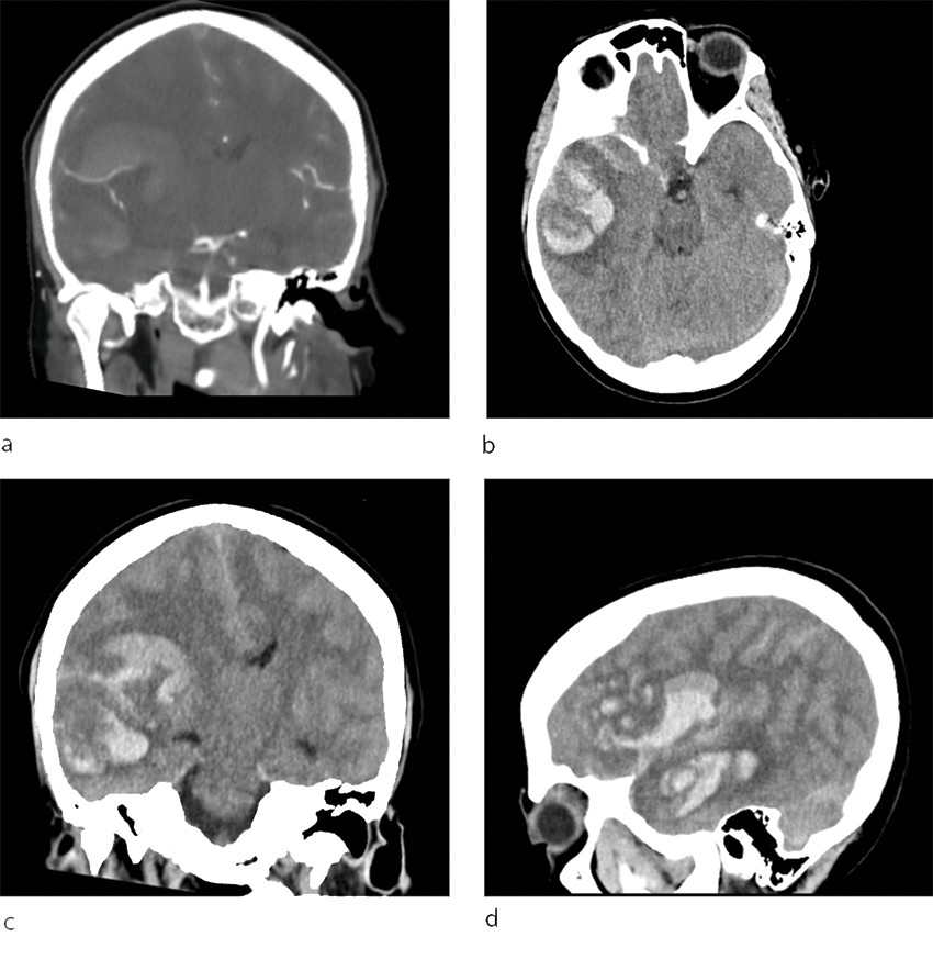
Pasienten ankom universitetssykehuset tre timer etter varsling fra lokalsykehuset. Ved mottak hadde pasienten bilateral mydriasis uten lysreaksjon. Behandling med mannitol ble igangsatt, og CT caput tatt umiddelbart etter ankomst viste progrediering av en stor intrakranial blødning med startende herniering (figur 2). Cerebral angiografi (TCD) var forenlig med opphørt blodsirkulasjon i hjernen, og videre tiltak ble vurdert som uhensiktsmessige.
Kliniske tester viste ikke tegn til cerebral aktivitet, og man planla derfor for organdonasjon. I forbindelse med organdonasjon ønsket man å utelukke malignitet, og pasienten ble henvist til hematologisk tilsyn på grunn av trombocytopeni. Det fremkom av journalen at trombocyttverdiene hadde vært normale ved tidligere målinger, siste verdi var fra ca. et år før det aktuelle, 325 × 109/L (145–390). Det ble gjort blodutstryk og benmargsaspirat, som ikke viste tegn til malignitet. Hennes trombocytopeni ble vurdert til mest sannsynlig å skyldes perifert forbruk, enten gjennom disseminert intravaskulær koagulasjon (DIC) eller immunologisk mediert trombocytopeni. Det ble bemerket at blodprøvene ikke tydet på en tilstand med disseminert intravaskulær koagulasjon.
Pasienten forble sedert frem til respiratorbehandlingen ble avsluttet. Hendelsen ble meldt som mulig bivirkning til Statens legemiddelverk på bakgrunn av trombocytopeni og hjerneblødning ti dager etter vaksinasjon.
Ved obduksjon, begjært av Folkehelseinstituttet, ble dødsårsaken bekreftet å være stor intrakranial blødning. Det ble ikke funnet tegn til aneurisme i området der blødningen startet. Det ble heller ikke funnet tegn til synlige tromber i andre store kar, inkludert lyskearterier, og det var normale organfunn. I lys av flere lignende tilfeller (1) gjorde man senere nye undersøkelser og fant små tromber av fersk karakter i sinus transversus, pannelapper og i arteria pulmonalis. Det ble også påvist antistoffer til platefaktor 4.
Hendelsen som vi beskriver i denne kasuistikken, undersøkes fortsatt av Legemiddelverket, og en endelig konklusjon foreligger foreløpig ikke.
Diskusjon
Kasuistikken beskriver en ung kvinne som fikk en fatal cerebral hendelse i etterkant av vaksinasjon med AstraZenecas ChAdOx1 nCoV-19-vaksine mot covid-19. På dette tidspunktet var det ikke meldt noen hendelser med samme alvorlighetsgrad eller likhetstrekk i Norge (2), og det var ikke en kjent bivirkning av vaksinen. Imidlertid var det omtalt sjeldne tilfeller av trombocytopeni etter covid-19-vaksiner med mRNA-teknologi (3), og immunologisk mediert trombocytopeni var omtalt som en komplikasjon til covid-19-sykdom (4).
Få dager etter denne hendelsen ble det meldt fra Rikshospitalet om flere tilfeller av alvorlige blodpropper og blødninger hos pasienter som hadde fått identisk vaksine. Også disse pasientene hadde lave trombocyttall, og i disse tilfellene klarte man å finne en sammenheng mellom hendelsene og vaksinen (1). Tilstanden er etter dette omtalt som vaksineindusert trombotisk trombocytopeni (VITT), som kjennetegnes av lave trombocyttall, trombedannelser og antistoff mot platefaktor 4 (1, 5). I lys av denne kunnskapen ble det gjort nye undersøkelser, og man fant også hos vår pasient tendens til trombedannelse med små tromber i sinus transversus, pannelapper og a. pulmonalis. Det ble også påvist antistoff mot platefaktor 4. Samlet sett er det derfor mye som taler for at dette var et tilfelle av vaksineindusert trombotisk trombocytopeni. Retrospektivt må man spørre seg om blødningen sett på CT representerte et venøst hemoragisk infarkt tilsvarende det som ble sett hos flere pasienter på Rikshospitalet (1), og om blødningskomponenten kan ha vært dominerende som følge av vaksineindusert trombotisk trombocytopeni. Et venøst infarkt kunne kanskje forklare pasientens hodepine.
Det er fremdeles begrenset erfaring med tilstanden, og denne kasuistikken beskriver hvordan et sannsynlig tilfelle av vaksineindusert trombotisk trombocytopeni kan manifestere seg både klinisk, radiologisk og laboratoriemessig. Denne tilstanden kan debutere med hodepine, som hos vår pasient, eller med synsforstyrrelser, epileptiske anfall, magesmerter, brystsmerter, åndenød eller hevelse eller smerter i benet (6). Det finnes behandling (7), og prognosen bedres vesentlig om man gjenkjenner tilstanden før det oppstår alvorlige og irreversible komplikasjoner.
Flere land rapporterer nå om lignende hendelser etter vaksinasjon. Tilstanden er sjelden, og nettopp derfor er det viktig å belyse disse hendelsene. Vaksinen er nyutviklet og en viktig del av vaksineprogrammet for store deler av verden. I etterkant av disse hendelsene gikk Folkehelseinstituttet ut med en advarsel om mulige alvorlige bivirkninger av vaksinen (8). Videre vaksinasjon med AstraZeneca-vaksinen er nå satt på vent i Norge. Regjeringen har satt ned en ekspertgruppe som skal gjøre en helhetlig risikovurdering før vaksinen eventuelt tas i bruk igjen. Folkehelseinstituttet har meldt at siden det er få som dør av covid-19 i Norge nå, ser det ut til at risikoen for død, særlig for yngre personer, vil være større om man lar seg vaksinere med AstraZeneca-vaksinen enn risikoen er for å dø av sykdommen (9). Det er tankevekkende, men denne kunnskapen hadde man ikke da vår pasient ble tilbudt vaksinen.
Pasientens pårørende har gitt samtykke til at artikkelen blir publisert.
Artikkelen er fagfellevurdert.
- 1.
Schultz NH, Sørvoll IH, Michelsen AE et al. Thrombosis and Thrombocytopenia after ChAdOx1 nCoV-19 Vaccination. N Engl J Med 2021; 384: NEJMoa2104882. [PubMed][CrossRef]
- 2.
Statens legemiddelverk. Meldte mistenkte bivirkninger av koronavaksiner. https://legemiddelverket.no/Documents/Bivirkninger%20og%20sikkerhet/Rapporter%20og%20oversikter/Koronavaksiner/20210302Rapport%20over%20meldte%20bivirkninger%20av%20koronavaksine.pdf Lest 27.4.2021.
- 3.
Lee E-J, Cines DB, Gernsheimer T et al. Thrombocytopenia following Pfizer and Moderna SARS-CoV-2 vaccination. Am J Hematol 2021; 96: 534–7. [PubMed][CrossRef]
- 4.
Bhattacharjee S, Banerjee M. Immune Thrombocytopenia Secondary to COVID-19: a systematic review. SN Compr Clin Med 2020; 2: 1–11. [PubMed][CrossRef]
- 5.
Greinacher A, Thiele T, Warkentin TE et al. Thrombotic Thrombocytopenia after ChAdOx1 nCov-19 Vaccination. N Engl J Med 2021; 384: NEJMoa2104840. [PubMed][CrossRef]
- 6.
International Society on Thrombosis and Haemostasis. Vaccine-Induced Immune Thrombotic Thrombocytopenia (VITT) Diagnostic Flow Chart (Updated 20 April, 2021). https://cdn.ymaws.com/www.isth.org/resource/resmgr/news/ISTH_VITT_Flow_Chart_Final.pdf Lest 27.4.2021.
- 7.
International Society on Thrombosis and Haemostasis. ISTH Interim Guidance for the Diagnosis and Treatment on Vaccine-Induced Immune Thrombotic Thrombocytopenia (Updated 20 April, 2021). https://cdn.ymaws.com/www.isth.org/resource/resmgr/ISTH_VITT_Guidance_2.pdf Lest 27.4.2021.
- 8.
Folkehelseinstituttet. AstraZeneca-vaksinen: Når skal lege oppsøkes. https://www.fhi.no/nyheter/2021/nar-skal-lege-oppsokes/ Lest 27.4.2021.
- 9.
Folkehelseinstituttet. Til deg som har fått første dose av AstraZeneca-vaksinen. https://www.fhi.no/contentassets/0b879d03f7ac43d18df994980638a02f/til-deg-som-har-fatt-forste-dose-av-astrazeneca.pdf Lest 27.4.2021.