Diagnostikk og behandling av autoimmun hepatitt

    ()

    sporsmal_grey_rgb
    Abstract

    Autoimmune hepatitis is a chronic liver disease which, if untreated, can lead to cirrhosis of the liver and liver failure. The majority of patients respond well to standard immunosuppressive therapy, but some experience adverse effects, or lack of treatment efficacy. Diagnosis, assessment of therapeutic response and choice of second-line therapy may be challenging. This article provides a summary of updated knowledge concerning diagnosis and treatment of patients with complex autoimmune hepatitis.

    Artikkel

    Autoimmun hepatitt er en kronisk leversykdom som ubehandlet kan føre til levercirrhose og leversvikt. Majoriteten av pasientene responderer godt på standard immunsuppressiv behandling, men noen opplever bivirkninger eller manglende behandlingseffekt. Diagnostikk, evaluering av behandlingsrespons og valg av annenlinjebehandling kan være utfordrende. Vi sammenfatter her oppdatert kunnskap om diagnostikk og behandling av pasienter med komplisert autoimmun hepatitt.

    Autoimmun hepatitt (AIH) er en kronisk autoimmun leversykdom med ukjent etiologi, som ubehandlet kan progrediere til levercirrhose og leversvikt (1, 2). Flere kvinner enn menn rammes (ca. 3:1). Diagnosen stilles typisk i tenårene eller 40–60 års alder, men i økende grad også hos personer over 65 år. Sykdommen er definert som sjelden, med punktprevalens 16,9/100 000 i Norge i 1995 (3). Det rapporteres imidlertid om økende forekomst i flere land (4).

    Immunsuppressiv behandling med kortikosteroider har oftest god effekt (5) og er det viktigste medikamentet for å indusere remisjon. Azatioprin, med eller uten kortikosteroider, er det viktigste medikamentet for å opprettholde remisjon. Imidlertid er det utfordringer knyttet til langvarig behandling med disse medikamentene. Grundig oppfølging og individtilpasset behandling i tett samarbeid med fastlegen er viktig, både med tanke på bivirkninger og behandlingseffekt.

    Pasienter med autoimmun hepatitt har samlet en økt risiko for levertransplantasjon eller tidlig død. Dette kan dels være knyttet til forsinket behandlingsstart som følge av etablering av diagnose først ved avansert sykdomsstadium (ca. 25 % har cirrhose og/eller dekompensert leversykdom ved diagnosetidspunktet) (4). En annen årsak kan være utilstrekkelige behandlingstiltak hos pasienter som ikke oppnår full remisjon ved standardbehandling.

    Vi presenterer her anbefalinger for diagnostikk og behandling ved autoimmun hepatitt. Artikkelen er basert på et ikke-systematisk søk i databasen PubMed, internasjonale anbefalinger og forfatternes kliniske erfaring.

    Hvordan stilles diagnosen?

    Hvordan stilles diagnosen?

    Det kliniske bildet ved autoimmun hepatitt er mangfoldig. Forhøyede transaminaser (aspartataminotransferase (ASAT), alaninaminotransferase (ALAT)) er ofte det som leder til mistanke og utredning av tilstanden, men inngår ikke i de diagnostiske kriteriene. Forhøyede leverprøver oppdages oftest hos fastlegen. Det er viktig at vedvarende forhøyede leverprøver, uansett nivå, utredes slik at sykdom oppdages. Ved forhøyede transaminaser bør fastlegen kontrollere virusserologi med tanke på virushepatitt, immunglobuliner og autoantistoffer før henvisning til gastroenterolog. De fleste pasientene har ved diagnosetidspunktet ingen eller kun uspesifikke symptomer (utmattelse (fatigue), nedsatt allmenntilstand, øvre høyre magesmerter, kvalme, kløe og/eller leddsmerter) (4, 6, 7). Hos et mindretall (ca. 25 %) manifesterer sykdommen seg som akutt hepatitt med ikterus og kvalme (1).

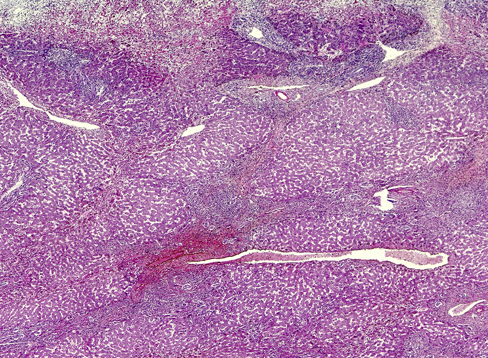
    Leverbiopsi er nødvendig for å stille diagnosen og skal tas før behandling, da behandlingen kan kamuflere histologiske funn og vanskeliggjøre diagnostikken. Typiske histologiske funn ved sykdommen er inflammatorisk aktivitet i portalområdene som sprer seg innover i leverlobuli (interfasehepatitt) og gir økt mengde plasmaceller (1). De histologiske funnene er imidlertid ikke spesifikke for autoimmun hepatitt, og diagnosen baserer seg også på forhøyet serum-immunglobulin G (IgG) og/eller moderat eller høyt titer av visse autoantistoffer (kjerneantistoffer (ANA), glatt muskulatur-antistoffer (SMA)/anti-f-actin, eventuelt anti-LKM (lever-nyre-mikrosom)-1 og anti-SLA (anti-løselige leverantigen)) (1). Anti-SLA kan iblant være det eneste positive autoantistoffet. Dette bør tas dersom de andre autoantistoffene er negative eller inkonklusive. Virale hepatitter skal utelukkes. Kroniske leversykdommer som kan representere differensialdiagnoser og/eller komorbiditet (f.eks. ikke-alkoholisk fettleversykdom, som ses hos ca. ¼, eller annen autoimmun leversykdom) bør identifiseres.

    International Autoimmune Hepatitis Study Group har publisert to skåringsverktøy for diagnostikk av autoimmun hepatitt (8, 9). Verktøyene er godt validert og kan være til god hjelp, men diagnosen autoimmun hepatitt baseres i praksis på en samlet klinisk vurdering (10).

    En usikker diagnose styrkes hvis behandlingsforsøk med steroider gir klar biokjemisk respons (8). Legemiddelindusert leverskade er en viktig differensialdiagnose som også kan respondere på steroider. Ved samtidig kronisk viral hepatitt er det i praksis vanskelig å si om det også foreligger autoimmun hepatitt. I slike tilfeller bør diagnostikk med tanke på autoimmun hepatitt, inkludert leverbiopsi, repeteres når den virale hepatitten er behandlet og i remisjon.

    Standardbehandling

    Standardbehandling

    Behandlingsindikasjon

    Behandlingsindikasjon

    Alle pasienter med aktiv autoimmun hepatitt skal i utgangspunktet behandles for å unngå progrediering til cirrhose, leversvikt, hepatocellulært karsinom og eventuelt behov for levertransplantasjon (1). Også pasienter med cirrhose bør behandles. Å avstå fra behandling i de helt eldre aldersgruppene kan være riktig, særlig ved mild sykdomsaktivitet (ALAT < 3 × øvre referansegrense) uten avansert fibrose eller symptomer, da tiårsoverlevelsen er høy (67–90 %) og behandling ofte forbundet med bivirkninger (1, 11). Hos yngre pasienter med mild sykdomsaktivitet er behandling oftest indisert. Det kan iblant være aktuelt å avvente behandlingsoppstart ved spontan klinisk, laboratoriemessig og histologisk remisjon (hepatittaktivitetsindeks < 4/18) (1). For å oppdage subklinisk sykdomsprogrediering anbefales blodprøver hver 3.–6. måned.

    Induksjonsbehandling

    Induksjonsbehandling

    Standardbehandling for autoimmun hepatitt er kombinasjonsbehandling med prednisolon og azatioprin i tråd med internasjonale retningslinjer (1). Det anbefales å starte med prednisolon i monoterapi med blodprøvekontroll etter to uker. Deretter legges azatioprin til. Denne strategien muliggjør evaluering av behandlingsrespons uten tolkningsforstyrrelser av eventuell azatioprinindusert hepatotoksisitet. Standard induksjonsbehandling er prednisolon 0,5–1 mg/kg (1), i praksis ofte rundt 40 mg, med justering primært knyttet til høy alder, spesielt høy eller lav vekt, sykdomsaktivitet og tidligere bivirkninger.

    De aller fleste oppnår tydelig klinisk respons med fall av transaminaser i løpet av få uker med denne behandlingen. IgG-nivået faller noe langsommere. Det er viktig å overvåke og tilpasse behandlingen individuelt avhengig av biokjemisk respons og bivirkninger. Azatioprin startes på 50 mg og trappes opp til 1–2 mg/kg parallelt med at prednisolon trappes ned. Tiopurinmetyltransferase (TPMT) bør måles før oppstart. Induksjonsbehandling med azatioprin alene er ikke anbefalt (12–14). Prednisolon som monoterapi kan være et alternativ for pasienter der azatioprin er kontraindisert (f.eks. ved nedsatt TPMT-aktivitet, malignitet, oppstart under graviditet), men krever oftest høyere dose og fører ikke alltid til full remisjon.

    Vedlikeholdsbehandling

    Vedlikeholdsbehandling

    Når pasienten er i stabil remisjon, er målet å gå over til azatioprin i monoterapi (1). Det er viktig å ikke trappe ned for fort, men dra nedtrappingen ut i tid for de laveste dosene. Prednisolon i lav dose som monoterapi kan iblant være et alternativ. Dersom remisjon ikke opprettholdes med monoterapi, anbefales kombinasjonsbehandling med azatioprin og lavest mulig dose prednisolon.

    Alternativ førstelinjebehandling

    Alternativ førstelinjebehandling

    Kombinasjonsbehandling med budesonid (9 mg/dag) og azatioprin har tilsvarende effekt og mindre bivirkninger sammenliknet med standardbehandling. Denne kan forsøkes ved moderat sykdomsaktivitet og steroidbivirkninger, eksempelvis osteoporoseutvikling eller hyperglykemi/diabetes (1, 15). Vedlikeholdsdosen er uavklart. Budesonid bør ikke brukes ved cirrhose på grunn av risiko for nedsatt effekt ved portosystemisk shunting og nedsatt førstepassasjemetabolisme i leveren.

    Behandlingsmål

    Behandlingsmål

    Behandlingsmålet er klinisk, biokjemisk og histologisk remisjon. I praksis vil det si normalisering av både transaminaser og IgG. Biokjemisk respons er assosiert med lav risiko for fibroseprogrediering. Pasienter i denne gruppen kan over tid oppnå regress av leverfibrose. Dersom biokjemisk remisjon ikke oppnås ved maksimale doser og etter nøye vurdering av adherens, bør det gjøres ny utredning med tanke på komorbiditet (f.eks. alkoholisk eller ikke-alkoholisk steatohepatitt, primær biliær kolangitt eller primær skleroserende kolangitt). Ved tvil om diagnosen bør ny leverbiopsi vurderes. Ved sann behandlingssvikt (ufullstendig respons) skal annenlinjebehandling vurderes.

    Livslang behandling?

    Livslang behandling?

    Livslang behandling anbefales hos de fleste. Avslutning av behandling må veies opp mot den høye risikoen for residiv (80 % innen ett år). Histologisk remisjon oppnås betraktelig senere enn biokjemisk remisjon, og et eventuelt seponeringsforsøk bør ikke gjøres før pasienten har hatt stabil biokjemisk remisjon i minst to år under lavdosebehandling. Leverbiopsi bør vurderes før seponeringsforsøk, med mindre ALAT ligger i nedre halvdel av normalområdet og IgG er < 12 (1). Livslang oppfølging kreves.

    Annenlinjebehandling

    Annenlinjebehandling

    Før iverksetting av annenlinjebehandling bør man sikre seg at standardbehandlingen er optimalisert (tabell 1). Et mindretall av pasientene har behov for annenlinjebehandling (tabell 2) (1, 2, 12).

    Tabell 1

    Optimalisering av standardbehandling ved autoimmun hepatitt. Anbefalinger er basert på European Association for the Study of the Liver (1) og Lohse og medarbeidere (12).

    Tilfelle

    Anbefaling

    Ved bivirkninger av azatioprin

    Sjekk 6-tioguaninnukleotider/
    matriksmetalloproteinaser samt genotype av tiopurinmetyltransferase dersom dette ikke er gjort tidligere
    Ved kvalme: vurder å redusere dosen eller skifte til merkaptopurin (halv dose)
    Ved pankreatitt eller cytopeni: seponer behandlingen

    Ved utilstrekkelig effekt av azatioprin

    Sjekk for manglende etterlevelse (lave verdier av 6-tioguaninnukleotider og matriksmetalloproteinaser)
    Ved lav 6-tioguaninnukleotider/høy matriksmetalloproteinaser: vurder lav dose azatioprin (25–50 mg) i kombinasjon med 100 mg allopurinol

    Ved bivirkninger av prednisolon

    Trapp ned til lavest mulig vedlikeholdsdose
    Vurder å skifte behandling til budesonid: 6 mg × 1 er ofte tilstrekkelig som vedlikeholdsdose. Budesonid er kontraindisert ved levercirrhose

    Tabell 2

    Alternativ behandling ved autoimmun hepatitt når standardbehandling ikke har tilstrekkelig effekt eller ikke tolereres. Anbefalinger er basert på Lohse og medarbeidere (12).

    Behandling

    Kommentarer

    Ved intoleranse eller kontraindikasjoner for azatioprin1

    Mykofenolatmofetil

    Partiell eller komplett respons oppnås hos 39–84 % (19)
    Dosering: 1–2 g per dag fordelt på to doser
    Bivirkninger: gastrointestinale, benmargsdepresjon m.m.
    Det er usikkert om effekten er like god hos ikke-respondere som hos intolerante for azatioprin

    Ved ufullstendig respons på standardterapi2

    Takrolimus

    Partiell eller komplett respons oppnås hos 29–88 % (20, 21)
    Dosering: uavklart. En ny konsensusrapport (12) foreslår en standardisert startdose på 0,1 mg/kg to ganger daglig med mål om bunnkonsentrasjon < 8 ng/ml, fulgt av nedtrapping styrt av bunnkonsentrasjon og effekt etter oppnådd remisjon
    Nyrefunksjonen bør evalueres før og under behandling
    Bivirkninger: nyresvikt. Vær oppmerksom på interaksjoner

    Ciklosporin

    Dosering: En ny konsensusrapport (12) foreslår en standardisert startdose på 2 mg/kg to ganger daglig med mål om bunnkonsentrasjon < 120 ng/ml, fulgt av nedtrapping etter oppnådd remisjon
    Nyrefunksjonen bør evalueres før og under behandling
    Bivirkninger: nyresvikt

    Andre medikamenter med rapportert, men sparsom dokumentasjon av effekt

    Infliksimab, metotreksat, sirolimus, everolimus, rituksimab, cyklofosfamid

    1Optimalisering av behandling eller merkaptopurin kan forsøkes først, se tabell 1. Dersom behandling med mykofenolatmofetil er kontraindisert eller viser ufullstendig effekt, bør man vurdere alternativ annenlinjebehandling som for ufullstendig respons på standardterapi

    2Mykofenolatmofetil kan også forsøkes, men synes mindre effektivt for å indusere remisjon hos denne pasientgruppen. Behandlingsalternativ, dosering og effekt bør dokumenteres standardisert for å danne grunnlag for evidensbaserte anbefalinger

    Ved intoleranse overfor azatioprin anbefales mykofenolatmofetil kombinert med prednisolon dersom tiltakene i tabell 1 ikke har effekt, dernest andre annenlinjemedikamenter (1, 16).

    Ved ufullstendig respons på standardterapi der det i serum er tilfredsstillende nivåer av 6-tioguaninnukleotider (6-TGN), den aktive metabolitten av azatioprin som står for ønsket effekt, og der eventuell leverbiopsi viser histologisk aktiv autoimmun hepatitt, er annenlinjebehandling indisert og bør velges ut fra bivirkningsprofil (tabell 2). Mykofenolatmofetil kan forsøkes, men synes mindre effektivt for å indusere remisjon (17–19). Takrolimus og ciklosporin er de mest aktuelle alternativene, der den førstnevnte er best dokumentert (12, 20, 21). Sparsomme data foreligger for andre medikamenter (metotreksat, infliksimab, sirolimus, everolimus, rituksimab, cyklofosfamid).

    Det gis ikke lenger individuell refusjon fra HELFO for annenlinjeterapi. Disse medikamentene skrives nå på h-resept etter godkjenning fra helseforetakets fagdirektør.

    Klinisk oppfølging

    Klinisk oppfølging

    Pasienter med autoimmun hepatitt har også ofte (14–44 %) annen autoimmun sykdom (22, 23). På diagnosetidspunktet bør det screenes for tyreoideasykdom og cøliaki, som forekommer hyppig sammen med sykdommen (2). Pasientene bør følges både i gastromedisinsk poliklinikk og hos fastlege, med oppmerksomhet rettet mot sykdomsaktivitet (transaminaser, IgG), komplikasjoner og komorbiditet (24). Leverstivhetsmåling med transient elastografi er et godt verktøy for å evaluere utvikling av avansert leversykdom og cirrhose. Målingene har liten verdi under pågående leverinflammasjon og må måles når pasienten er i remisjon. Vi fraråder alkoholbruk og tilråder at man er forsiktig med paracetamol ved aktiv hepatitt med transaminaser > 5 ganger øvre normalområde.

    Da sykdommen ofte debuterer hos unge pasienter, blir graviditet en problemstilling. Hos kvinner i fertil alder kan aktiv autoimmun hepatitt medføre amenoré og nedsatt fertilitet og er assosiert med for tidlig fødsel, vekstretardasjon hos fosteret samt økt sykdomsaktivitet, særlig i tiden etter fødsel (25). Biokjemisk remisjon bør tilstrebes i året før planlagt graviditet (2). Behandlingen bør kontinueres under svangerskapet.

    Levertransplantasjon

    Levertransplantasjon

    Levertransplantasjon ved autoimmun hepatitt vurderes ved alvorlig forløp, dekompensert leversykdom eller hepatocellulært karsinom. Prognosen etter levertransplantasjon er god, men residiv kan imidlertid forekomme (2).

    Forfatterne er tilknyttet Nasjonalt nettverk for autoimmune leversykdommer, som er et forskningsregister og en biobank for autoimmun hepatitt og andre autoimmune leversykdommer. Formålet er å oppnå ny kunnskap om sykdomsforløp og prognose, som blant annet kan bidra til effektdokumentasjon for annenlinjealternativer.

    Artikkelen er fagfellevurdert.

    Kommentarer  ( 0 )
    PDF
    Skriv ut

    Anbefalte artikler