Pneumomediastinum etter sternalpunksjon

    ()

    sporsmal_grey_rgb
    Artikkel

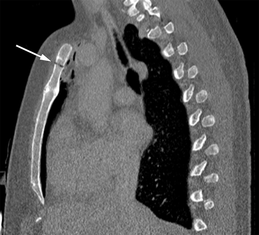
    CT-bildet viser stikk-kanal gjennom manubrium sterni (bilde 1: sagittalt, benvindu) og retrosternal luft (bilde 2 på tidsskriftet.no: aksialt, lungevindu) etter aspirasjon av benmarg fra sternum hos en ung kvinne med akutt myelogen leukemi. Benmargsundersøkelsen ble utført standardmessig med sternalnål med skjold på korrekt sted, sentralt i manubrium sterni. Etter at mandrengen ble fjernet, hørtes en surklelyd idet pasienten trakk pusten. Det var ingen motstand ved forsøk på aspirasjon, benmarg lot seg ikke aspirere og pasienten fikk samtidig lett ubehag i venstre skulder. Hun hadde ingen andre symptomer.

    CT thorax ble tatt umiddelbart og påviste perforasjon gjennom bakre sternumkorteks og luft retrosternalt. CT-undersøkelsen viste ingen tegn til punksjon av lunge eller pneumotoraks, og man antar derfor at luften ble sugd inn gjennom nålen idet pasienten trakk pusten. Pasienten hadde ingen andre symptomer, og vitalia var stabile. Hun ble derfor behandlet konservativt med sengeleie og oksygen og kunne skrives ut etter 24 timer. Det var ingen ytterligere komplikasjoner, og videre behandlingsforløp for leukemi ble ikke påvirket. I forbindelse med behandlingsforløpet er det tatt gjentatte røntgen toraks, med normale funn.

    Sternalaspirasjon utført på korrekt måte er ansett som en trygg undersøkelse med svært få komplikasjoner. I en retrospektiv studie av 6 112 benmargsundersøkelser ble det kun rapportert én komplikasjon (1). De vanligste komplikasjonene etter benmargsdiagnostikk er blødning. Blødninger er hovedsakelig forårsaket av koagulopati og/eller trombocyttdysfunksjon grunnet underliggende benmargssykdom, og ikke feil utført prosedyre (2). Ved korrekt utført prosedyre er komplikasjoner som punksjon av hjerte, sentrale kar eller lunge regnet som ekstremt sjeldne.

    Aspirasjon og mikroskopi av benmarg er essensielt i diagnostikken av benmargssykdommer og utføres hovedsakelig fra manubrium sterni eller crista iliaca posterior superior. Benmarg kan også aspireres fra crista iliaca anterior og tibia, men dette er teknisk vanskeligere og smertefullt, grunnet tykkere benstruktur.

    Som CT-bildene viser, har manubrium sterni en tykkelse på ca. 1 cm. Sternalnål med skjold skal derfor alltid benyttes, og andre deler av sternum enn manubrium sterni skal ikke punkteres. Undersøkelsen kan gjøres også under antikoagulasjonsbehandling og ved alvorlig trombocytopeni (trombocytter under 10 ∙ 109/L) uten transfusjon av trombocyttkonsentrat. Ved mistanke om benmargssykdom foreligger det ingen kontraindikasjoner mot undersøkelsen.

    Pasienten har gitt samtykke til at artikkelen blir publisert. Artikkelen er fagfellevurdert.

    Kommentarer  ( 0 )
    PDF
    Skriv ut

    Anbefalte artikler