Nummen hake

    ()

    sporsmal_grey_rgb
    Abstract

    BACKGROUND

    Numb chin syndrome describes sensory neuropathy characterised by numbness in the distribution of the terminal branch of the mandibular division of the trigeminal nerve. This symptom may be overlooked by patients and clinicians due to its mild nature; however, it could represent a serious underlying pathology such as inflammatory conditions or malignancy.

    CASE PRESENTATION

    A man in his seventies presented with isolated numbness on the right side of the chin, and no other neurological or constitutional symptoms. Radiology showed a lytic mass in the right side of the mandible protruding through the mental foramen. A multidisciplinary approach revealed the cause of the patient's numb chin syndrome.

    INTERPRETATION

    This case report illustrates clinical considerations in a patient with numb chin syndrome.

    Artikkel

    Sykdomsprosesser i underkjeven kan debutere med ensidig nummenhet på leppen og haken. Symptomene kan i sjeldne tilfeller være beskjedne og derfor bli oversett av klinikere og pasienter. Kasuistikken illustrerer et slikt tilfelle og noen diagnostiske betraktninger om tilstanden.

    En mann i 70-årene kontaktet lege på grunn av spontant tilkommet nummenhetsfølelse på høyre side av haken og høyre del av underleppen. Han hadde ingen andre nevrologiske symptomer, ingen B-symptomer og var ellers i god form. Ved palpasjon av underkjeven fant man svak ømhet over hakens høyre side og ved foramen mentale. Tenner og tannkjøtt fremsto som normale. Pasienten var afebril og med senkningsreaksjon, C-reaktivt protein (CRP) og leukocyttall i normalområdet. På mistanke om cerebral hendelse ble det utført CT-caput, som viste normale funn.

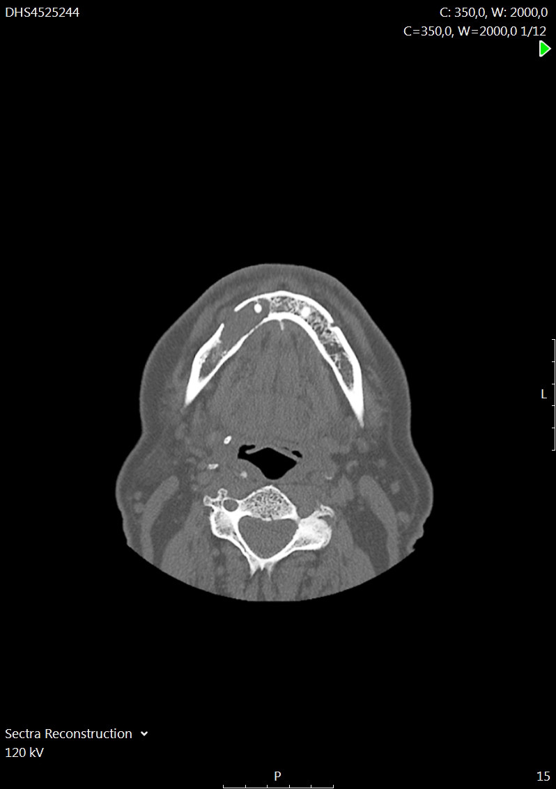
    Symptomet ga mistanke om lokal påvirkning av nervus mentalis, som gir sensibilitetsutfall på haken (figur 1) (1). Pasienten ble henvist til poliklinisk CT av ansiktsskjelettet, der man så en lytisk prosess i høyre mandibula, som protruderte gjennom en utvidet foramen mentale (figur 2). Jevne kortikalkonturer uten omkringliggende fettvevsreaksjon ga primært mistanke om tumor. Abscess kunne ikke helt utelukkes, da tannrotinfeksjoner kan ha lignende utseende. Disse infeksjonene gir imidlertid oftest mindre periapikale abscesser.

    Grunnet bekymring for mulig kreftsykdom ble pasienten henvist til et pakkeforløp ved øre-nese-hals-dagavdeling for diagnostisk avklaring. I mellomtiden oppsøkte pasienten tannlege, som fant normale ekstraorale, intraorale og periodontale forhold. Panoramarøntgen (OPG) viste en velavgrenset radiolusens apikalt om tann 44, som ga mistanke om apikal cyste. Tannlegen anbefalte at pasienten ble utredet videre på sykehus.

    På sykehuset supplerte man med CT toraks-abdomen-bekken, som var uten malignitetssuspekte forandringer. Pasienten ble henvist til kjevekirurg for biopsi. Ved intraoral tilgang tømte det seg tyktflytende puss ved perforasjon av foramen mentale. Tann 45 ble fjernet, og man fant en stor pussfylt benkavitet. Mikrobiologisk dyrkning viste oppvekst av Streptococcus oralis og Actinomyces odontolyticus, begge sensitive for klindamycin og penicillin. Histopatologi viste nekrotisk benvev med markert kronisk betennelse, men ingen maligne celler. De mikroskopiske funnene passet med det klinisk inntrykket av akutt osteomyelitt utgående fra tann 45.

    Ny granskning av panoramarøntgen tatt i 2010 og 2016 viste antydning til apikal radiolusens på tann 44 som kunne gi mistanke om at infeksjonen hadde utgått fra denne tannen. Tann 45 hadde imidlertid en anatomisk sentral plassering uten tydelig avgrensning til den osteolytiske prosessen. På rotspissen hadde tann 45 også påleiring (sklerotiserende apikal periodontitt) som kunne tyde på en kronisk infeksjon i denne tannen. I fravær av andre kliniske funn som økt mobilitet og perkusjonsømhet av tenner, men utfall av sensibilitet i området, ble dette røntgenfunnet avgjørende. Man antok at tann 45 mest sannsynlig var årsak til infeksjonen, og tannen ble fjernet.

    Ved klinisk kontroll fire uker senere var pasienten fortsatt nummen i samme område, men det var pen intraoral tilheling. Videre plan innebar 4–6 uker med antibiotikabehandling og rotfylling av de tilgrensende tennene (44 og 46).

    Diskusjon

    Diskusjon

    Nummen hake kjennetegnes ved sensibilitetsutfall på hake og hud/slimhinne på nedre leppe, og kan være ledsaget av smerter, hovent tannkjøtt, løse tenner eller smerter. I internasjonal litteratur omtales gjerne symptombildet som numb chin syndrome eller mental nerve entrapment (1, 2).

    Nummen hake skyldes utfall av sensibilitet i innervasjonsområdet til hele eller deler av nervus alveolaris inferior. Mulige årsaker er blant annet traume, tannprosedyrer, småkirurgi på leppen, periapikal tanninfeksjon, akutt eller kronisk osteomyelitt sekundært til infeksjon i tenner og deres støttevev, metastatisk kreftsykdom eller primære tumorer eller cyster i kjeven (1). Infeksiøse, inflammatoriske og immunologiske årsaker inkluderer humant immunsviktvirus (HIV), borreliose, sarkoidose, systemisk lupus erythematosus, temporalisarteritt og andre vaskulitter (1). Symptomene kan også forårsakes av osteonekrose i kjeven knyttet til bruk av bisfosfanater (3).

    Primære maligne tumorer eller metastaser til kjeven er en sjelden årsak til nummen hake som klinikere bør være klar over (4). I en oversiktsartikkel over 16 studier som involverte 136 pasienter med malignitetsrelatert nummen hake, var brystkreft den hyppigst assosierte maligniteten (40,4 %), fulgt av lymfom (20,5 %), prostatakreft (6,6 %) og leukemi (5,1 %) (5). At symptomene kan minne om tannsmerter, osteomyelitt, kjeveleddsplager eller trigeminusnevralgi, kan forsinke diagnosen.

    Kasuistikken illustrerer et uvanlig tilfelle av osteomyelitt med diffuse symptomer, der kliniske og radiologiske funn initialt ikke ga mistanke om infeksjon. Dette resulterte i en unødvendig helkropps-CT i forkant av undersøkelse hos kjevekirurg og bekymringer hos pasienten.

    Mange med nummen hake vil oppsøke tannlege først, og diagnostiske betraktninger er viktig å kjenne til for denne yrkesgruppen. Som kasuistikken illustrerer kan tverrfaglig samarbeid mellom leger, tannleger og kjevekirurg være viktig i utredning av tilstanden. Skader på n. alveolaris inferior tilheler som regel spontant (6, 7). Pasientens sensibilitet i leppe og hakehud er nå normalisert.

    Pasienten har gitt samtykke til at artikkelen blir publisert.

    Takk til Radiologisk avdeling ved Diakonhjemmet Sykehus for hjelp med figur.

    Artikkelen er fagfellevurdert.

    Kommentarer  ( 0 )
    PDF
    Skriv ut

    Anbefalte artikler