Vondt for å sitte

    ()

    sporsmal_grey_rgb
    Artikkel

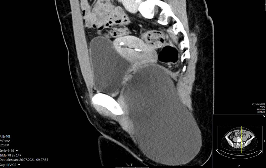
    Bildet viser en unilokulær cyste med en glatt og jevn innside som inneholder rikelig med kuleformede talg- og hårelementer (bilde 1). Den ble fjernet in toto og helt uten ruptur. Sagittalt CT-bilde av bekken tatt preoperativt viser en stor, unilokulær cystisk oppfylning i venstre fossa ischiorectalis, som gir lett kranial forskyvning av musculus levator ani (bilde 2). Lesjonen ble målt til 16,3 × 9,8 × 8,8 cm. Histologisk undersøkelse postoperativt avdekket en cyste kledd av plateepitel med underliggende hårsekker med arrector pili-muskler samt talg- og svettekjertler (bilde 3).

    Det histologiske bildet, sammenholdt med anatomisk lokalisasjon og radiologi, var forenlig med en dermoid cyste i fossa ischiorectalis. Dermoide cyster er benigne og oppstår som en feilutvikling når ektodermale elementer fanges langs de embryonale linjene i fosterlivet og insidensen hos barn er ca. 3 per 100 000 (1, 2). 70 % av tilfellene oppdages innen fem års alder, men noen lesjoner oppdages ikke før i voksen alder (1). Histologisk er cystene bygget opp av en epidermal og dermislignende cystevegg med svettekjertler og hårstrukturer (1, 2). Cystene oppstår vanligst på hodet og i nakkeregionen, men kan forekomme over hele kroppen og vokser vanligvis sakte (3). Indisert behandling er kirurgisk ekstirpasjon av cysten (1).

    Pasienten var en kvinne i 20-årene som i noen år hadde kjent ubehag, smerter og etter hvert en oppfylling i venstre nates. Pasienten oppsøkte helsehjelp flere ganger, og hver gang ble symptomene tolket som muskulære. Symptomene forverret seg, slik at hun etter hvert ikke klarte å sitte på venstre side. Cysten ble oppdaget, og det ble anbefalt kirurgisk behandling. I månedene før behandling merket hun at lesjonen vokste og at huden over ofte ble blå og misfarget.

    Pasienten har etter den perianale incisjonen i perineum og ekstirpasjon av cysten hatt nedsatt sensibilitet i operasjonsområdet og i venstre side av underlivet.

    Pasienten har gitt samtykke til at artikkelen blir publisert.

    Artikkelen er fagfellevurdert.

    Kommentarer  ( 0 )
    PDF
    Skriv ut

    Anbefalte artikler