Endometriose rammer hovedsakelig bekkenet, men tilfeller har blitt rapportert i de fleste organer i kroppen. Denne kasuistikken beskriver umbilikal endometriose, en sjelden lokalisasjon av sykdommen, som bør overveies hos pasienter med ømme oppfyllinger i navlen med sykliske forandringer.
En kvinne i 30-årene kontaktet sin fastlege grunnet to år med utvikling av en polypøs oppfylling i navlen. Huden var ved første legekonsultasjon blek og reaksjonsløs, men ved senere kontakt blålig (figur 1). Kvinnen opplevde mye ubehag, og det siste året hadde det vært en forstørrelse av og blødning fra området i forbindelse med menstruasjon og ved overdrevent matinntak. Hun var fra tidligere frisk, nullipara med regelmessige menstruasjoner og uten dysmenoré, dyspareuni eller dysuri. Hun var ikke operert i buken, og det var ingen arr i området.
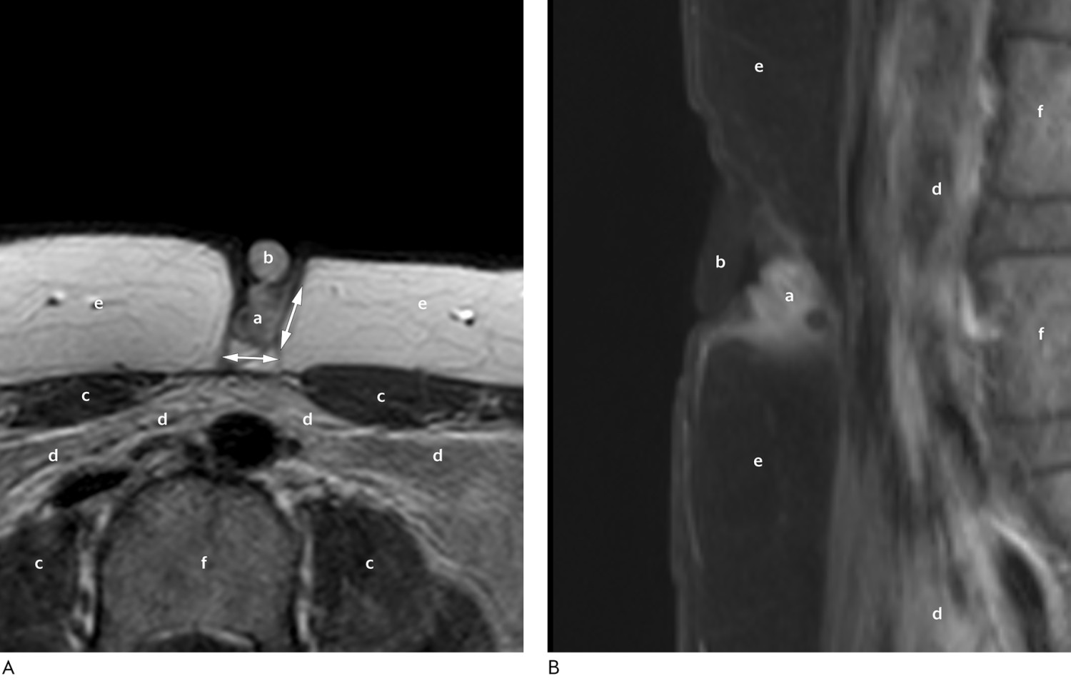
Ultralyd viste polypøse lesjoner som smeltet sammen i dypet av navlen, tolket som mulig endometriose eller urachusfistel. Det ble anbefalt videre utredning med magnetisk resonanstomografi (MR). Ni uker etter konsultasjonen ble MR-undersøkelsen gjennomført med standard bløtvevstumorprotokoll. Denne viste en velavgrenset lesjon 1 cm i diameter i fettvevet ekstraabdominalt ved umbilicus med kontrastoppladning av usikker etiologi, forenlig med endometriose eller granulom (figur 2). Sarkom ble vurdert som mindre sannsynlig, men det ble anbefalt henvisning til sarkomgruppen ved universitetssykehus. Her ble det tatt finnålsaspirasjon, som var forenlig med endometriose. Kvinnen ble henvist videre til lokalsykehusets kvinneklinikk. Klinisk undersøkelse her viste en 7 mm stor rund oppfylling superfisielt i navlen og to mindre oppfyllinger proksimalt for denne. Området varierte mellom hudfarge og rødlig farge, og oppfyllingene var myke ved palpasjon. Transvaginal ultralyd viste en upåfallende uterus og normale ovarier bilateralt. Indre genitalia, blære og tarm var fritt mobile og uømme.
Oppfyllingene ble fjernet i generell anestesi ved eksisjon av hud ned til underliggende muskelfascie. Ved histologisk undersøkelse ble diagnosen umbilikal endometriose bekreftet. Materialet var fragmentert, og radikalitet kunne ikke vurderes. Kvinnen ble utskrevet uten videre oppfølging, med beskjed om rekontakt ved behov.
Diskusjon
Ved endometriose befinner funksjonelt endometrielignende vev seg utenfor uterus, en tilstand som rammer 5–10 % av kvinner i reproduktiv alder (1–3). Den hyppigste lokalisasjonen er i bekkenet, men endometriose kan forekomme i de fleste organer i kroppen. Umbilikal endometriose utgjør 0,5–1,2 % av alle endometriosetilfeller og deles inn i en primær og en sekundær type (3–5). Primær umbilikal endometriose har ukjent etiologi (6) og oppstår spontant uten tidligere gjennomgått abdominal kirurgi. Denne typen utgjør rundt 70 % av alle tilfellene med umbilikal endometriose (3, 7). Sekundær umbilikal endometriose anses å utvikle seg iatrogent i operasjonsarr (7, 8).
De fleste pasientene har syklisk forverring av symptomene ved menstruasjon. Hyppigst ses det da hevelse, smerter og blødning i det affiserte området (4, 7, 9). Knuten er ofte pigmentert, og en typisk størrelse er rundt 2 cm i diameter (3, 4, 6). Typisk viser tilstanden seg i 30-årene (3, 5, 8, 10), men det er rapportert om pasienter helt ned i 16-årsalderen (11).
Billeddiagnostikk kan være til hjelp for å bestemme de anatomiske forholdene, men den endelige diagnosen stilles histologisk (5, 6). Differensialdiagnoser omfatter hernie, abscess, cyste, lipom, granulom, urachusfistel, sarkom, malignt melanom og primær eller metastatisk karsinom (5).
Behandlingen av umbilikal endometriose er kirurgi med bred eksisjon (2, 3, 7). Hormonell behandling kan gi symptomlindring, men er ikke kurativ (2). I rundt 35 % av tilfellene av umbilikal endometriose ses samtidig endometriose i bekkenet (3). Forekomst av umbilikal endometriose gir i seg selv ikke grunn til rutinemessig laparoskopi. Slik undersøkelse bør kun utføres hvis det foreligger andre funn eller symptomer (8). Histologisk undersøkelse skal alltid utføres for å utelukke malignitet, som forekommer i 0,3–2,8 % av tilfellene (6, 8–10). Residiv etter kirurgi er uvanlig (8).
Pasienten har gitt samtykke til at artikkelen blir publisert.
Artikkelen er fagfellevurdert.
- 1.
Zondervan KT, Becker CM, Koga K et al. Endometriosis. Nat Rev Dis Primers 2018; 4: 9. [PubMed][CrossRef]
- 2.
Hirata T, Koga K, Kai K et al. Clinical practice guidelines for the treatment of extragenital endometriosis in Japan, 2018. J Obstet Gynaecol Res 2020; 46: 2474–87. [PubMed][CrossRef]
- 3.
Dridi D, Chiaffarino F, Parazzini F et al. Umbilical Endometriosis: A Systematic Literature Review and Pathogenic Theory Proposal. J Clin Med 2022; 11: 995. [PubMed][CrossRef]
- 4.
Victory R, Diamond MP, Johns DA. Villar's nodule: a case report and systematic literature review of endometriosis externa of the umbilicus. J Minim Invasive Gynecol 2007; 14: 23–32. [PubMed][CrossRef]
- 5.
Ghosh A, Das S. Primary umbilical endometriosis: a case report and review of literature. Arch Gynecol Obstet 2014; 290: 807–9. [PubMed][CrossRef]
- 6.
Calagna G, Perino A, Chianetta D et al. Primary umbilical endometrioma: Analyzing the pathogenesis of endometriosis from an unusual localization. Taiwan J Obstet Gynecol 2015; 54: 306–12. [PubMed][CrossRef]
- 7.
Hirata T, Koga K, Osuga Y. Extra-pelvic endometriosis: A review. Reprod Med Biol 2020; 19: 323–33. [PubMed][CrossRef]
- 8.
Santos Filho PVD, Santos MPD, Castro S et al. Primary umbilical endometriosis. Rev Col Bras Cir 2018; 45: e1746. [PubMed][CrossRef]
- 9.
Hirata T, Koga K, Kitade M et al. A National Survey of Umbilical Endometriosis in Japan. J Minim Invasive Gynecol 2020; 27: 80–7. [PubMed][CrossRef]
- 10.
Kyamidis K, Lora V, Kanitakis J. Spontaneous cutaneous umbilical endometriosis: report of a new case with immunohistochemical study and literature review. Dermatol Online J 2011; 17: 5. [PubMed][CrossRef]
- 11.
Nellihela L, Al-Adnani M, Kufeji D. Primary Umbilical Endometriosis in an Adolescent Girl: Unsuspected Pathology. European J Pediatr Surg Rep 2020; 8: e10–3. [PubMed][CrossRef]