Forfattarbidrag: idé, utforming, søk, revisjon og godkjenning av manus.
Erlend Moen Taule er medisinstudent og forskarlinjestudent tilknytt forskingslaboratorium for hjernemetastasar ved forskingsgruppe for translasjonell kreftforsking.
Forfattaren har fylt ut ICMJE-skjemaet og oppgir ingen interessekonfliktar.
Forfattarbidrag: revisjon og godkjenning av manus.
Frits Thorsen er professor og leiar av forskingslaboratorium for hjernemetastasar ved forskingsgruppe for translasjonell kreftforsking. Han er medlem av Society of Neuro-Oncology og American Association of Cancer Research.
Forfattaren har fylt ut ICMJE-skjemaet og oppgir ingen interessekonfliktar.
McTyre ER, Johnson AG, Ruiz J et al. Predictors of neurologic and nonneurologic death in patients with brain metastasis initially treated with upfront stereotactic radiosurgery without whole-brain radiation therapy. Neuro Oncol 2017; 19: 558–66. [PubMed]
Takk for en lettlest og kortfattet oversikt over et stadig mer komplisert fagområde. Vi vil imidlertid påpeke noen forhold som vi mener bør korrigeres.
Artikkelen hevder at helhjernebestråling fortsatt spiller en viktig rolle hos pasienter med ukontrollert primærsykdom, omfattende systemiske metastaser, lavt funksjonsnivå eller multiple hjernelesjoner. Vi vil hevde at dette ikke lengre er riktig, og at man tvert imot ikke bør tilby slike pasienter helhjernebestråling. De bør tilbys optimal palliativ behandling. Oppdaterte guidelines fra bla. ASCO/ASTRO og EANO/ESMO (1, 2) støtter også dette synet og maner til varsomhet med å tilby pasienter helhjernebestråling. I tillegg viste den største av kun to publiserte randomiserte studier om helhjernebestråling versus støttebehandling alene (3) ingen positiv gevinst av strålebehandlingen verken for overlevelse eller livskvalitet. Støttebehandling til pasienter med hjernemetastaser bør i tillegg til steroider også inkludere oppfølgning av palliative enheter/team da pasientene ofte har mange umøtte behov.
Det er riktig at helhjernebestråling reduserer risikoen for vekst av mikrometastaser og dermed gir lavere intrakraniell progresjonsrate sammenliknet med stereotaksi (4). For pasienter med mange hjernemetastaser (>4), godt funksjonsnivå (ECOC 0 eller 1) og kontroll på ekstrakraniell sykdom kan derfor helhjernebestråling være et alternativ dersom systemisk behandling eller stereotaksi ikke er mulig. Våre egne, foreløpig upubliserte, prospektive data presentert på ESMO i høst, viser at man bør være svært forsiktig med helhjernebestråling til pasienter med ECOG status 2 eller dårligere.
Median overlevelse angis i artikkelen til 13 måneder. Dette er et overestimat. I uselekterte kohorter er median overlevelse rundt 6 måneder, med betydelig variasjon (5) og mange pasienter dør raskt, enten av intrakraniell eller ekstrakraniell progresjon.
Valg av behandling ved hjernemetastaser er komplisert og utfordrende og det kommer stadig nye alternativer, spesielt innen systemisk behandling. Kliniske studier, både randomiserte og prospektive kohortestudier, bør gjøres i større og mer systematisk grad. Vi vil gjerne både bidra og invitere til nasjonalt samarbeid om fremtidige studier for å bedre behandlingstilbudet til disse pasientene.
Litteratur
1. Vogelbaum MA, Brown PD, Messersmith H et al. Treatment for Brain Metastases: ASCO-SNO-ASTRO Guideline 2022;40(5):492-516.
2. Le Rhun E, Guckenberger M, Smits M et al. EANO-ESMO Clinical Practice Guidelines for diagnosis, treatment and follow-up of patients with brain metastasis from solid tumours. Annals of oncology : official journal of the European Society for Medical Oncology 2021;32(11):1332-47.
3. Mulvenna P, Nankivell M, Barton R et al. Dexamethasone and supportive care with or without whole brain radiotherapy in treating patients with non-small cell lung cancer with brain metastases unsuitable for resection or stereotactic radiotherapy (QUARTZ): results from a phase 3, non-inferiority, randomised trial. Lancet 2016;388(10055):2004-14.
4. Brown PD, Ballman KV, Cerhan JH et al. Postoperative stereotactic radiosurgery compared with whole brain radiotherapy for resected metastatic brain disease (NCCTG N107C/CEC.3): a multicentre, randomised, controlled, phase 3 trial. The Lancet Oncology 2017;18(8):1049-60.
5. Steindl A, Brunner TJ, Heimbach K et al. Changing characteristics, treatment approaches and survival of patients with brain metastasis: data from six thousand and thirty-one individuals over an observation period of 30 years. European journal of cancer 2022;162:170-81.
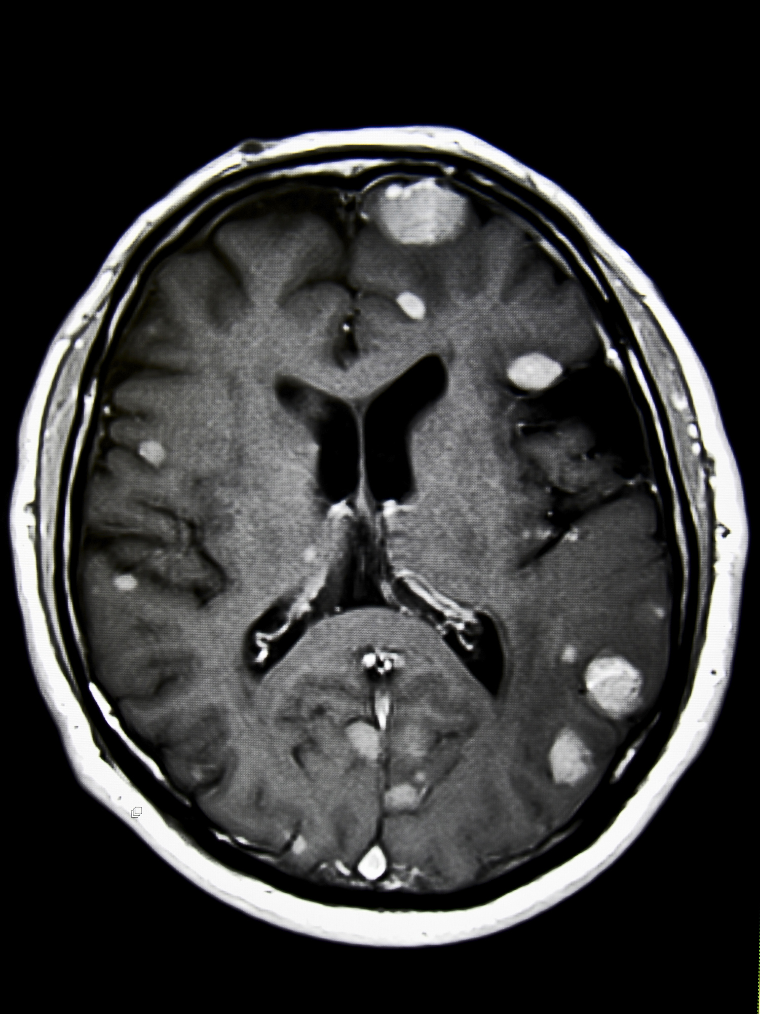
I ein kommentar til vår kliniske oversiktsartikkel Hjernemetastasar – diagnostikk og behandling (1) har Yri og hans medforfattarar stilt spørsmål ved vårt utspel om rolla av heilhjernebestråling. Vi har trekt fram visse grupper pasientar der ein i dag framleis nyttar denne modaliteten. Det er ikkje dermed sagt at vi meiner alle desse pasientane skal ha heilhjernebestråling, og vi stiller oss ikkje motstridande til varsemd knytt til denne behandlinga. I EANO/ESMO sine retningslinjer har forfattarane rett i at ein bør vere spesielt varsam kring pasientar med fleire hjernemetastasar og dårleg prognose. Likevel viser artikkelen til at heilhjernebestråling hos pasientar med forventa overleving under 3 månadar er eit alternativ (2). Det blir òg vist til at hos pasientar med over 10 hjernemetastasar og pasientar med ukontrollert ekstrakranial sjukdom, er heilhjernestråling ei tilrådd tilnærming (2). I ASCO/SNO/ASTRO sine retningslinjer tilrår ein ikkje heilhjernestråling til pasientar med asymptomatiske hjernemetastasar med Karnofsky performance status (KPS) under eller lik 50 og hos pasientar med KPS under 70 og ingen systemiske alternativ (3).
Forfattarane viser til eit arbeid frå Wien (4) som har sett på nærmare 7000 pasientar i tidsperioden 1986-2020, der ein faktisk ser ein auke i bruk av heilhjernestråling frå 20.9% i tidsperioden 1986-1990 til 25.3% i perioden 2010-2020.
Median overleving hos pasientar med hjernemetastasar er eit komplekst tema, og litteraturen er svært heterogen. I vår referanse (5) har ein sett på 7000 pasientar frå fleire institusjonar i fleire land i tidsperioden 2006-2017, og er grunnlaget for det diagnosespesifikke prognostiske verktøyet.Yri og hans medforfattarar sine tal baserer seg blant anna på pasientar frå 80-talet. Det er riktig at i Sperduto og han sine medforfattarar sin artikkel (5) er median overleving noko overestimert, då pasientar som berre fekk støttande behandling er ekskludert (5). Ser ein på median overleving i artikkelen frå Wien sin seinaste periode er det likevel ein markant skilnad mellom artiklane. Det er vanskeleg å tenkje seg at dette er grunna eksklusjon av pasientar berre på støttande behandling, då berre 3.4 % i studien frå Wien fekk «Best supportive care» (3).
Vi har prøvd å skildre moglegheiter innan behandling for visse grupper, og med eit avgrensa tal ord til rådighet er det nyansar som ikkje blir skildra. Vi meiner framleis ein førebels kan seie heilhjernestråling er ein viktig del av behandling hos utvalde pasientar og ser fram til å lese forfattarane sine data i ein kommande publikasjon.
Litteratur
1. EM Taule, et alt. Hjernemetastasar – diagnostikk og behandling. Tidsskr Nor Legeforen 2022; 142. doi: 10.4045/tidsskr.21.0809
2. Le Rhun E, Guckenberger M, Smits M et al. EANO-ESMO Clinical Practice Guidelines for diagnosis, treatment and follow-up of patients with brain metastasis from solid tumours. Annals of oncology : official journal of the European Society for Medical Oncology 2021;32(11):1332-47.
3. Vogelbaum MA, Brown PD, Messersmith H et al. Treatment for Brain Metastases: ASCO-SNO-ASTRO Guideline 2022;40(5):492-516.
4. Steindl A, Brunner TJ, Heimbach K et al. Changing characteristics, treatment approaches and survival of patients with brain metastasis: data from six thousand and thirty-one individuals over an observation period of 30 years. European journal of cancer 2022;162:170-81.
Får du ikke vist PDF-filen eller vil lagre filen, kan du høyreklikke på PDF-ikonet. Velg «Lagre mål/fil som..» og hent så opp PDF-filen i for eksempel Acrobat Reader.
Takk for en lettlest og kortfattet oversikt over et stadig mer komplisert fagområde. Vi vil imidlertid påpeke noen forhold som vi mener bør korrigeres.
Artikkelen hevder at helhjernebestråling fortsatt spiller en viktig rolle hos pasienter med ukontrollert primærsykdom, omfattende systemiske metastaser, lavt funksjonsnivå eller multiple hjernelesjoner. Vi vil hevde at dette ikke lengre er riktig, og at man tvert imot ikke bør tilby slike pasienter helhjernebestråling. De bør tilbys optimal palliativ behandling. Oppdaterte guidelines fra bla. ASCO/ASTRO og EANO/ESMO (1, 2) støtter også dette synet og maner til varsomhet med å tilby pasienter helhjernebestråling. I tillegg viste den største av kun to publiserte randomiserte studier om helhjernebestråling versus støttebehandling alene (3) ingen positiv gevinst av strålebehandlingen verken for overlevelse eller livskvalitet. Støttebehandling til pasienter med hjernemetastaser bør i tillegg til steroider også inkludere oppfølgning av palliative enheter/team da pasientene ofte har mange umøtte behov.
Det er riktig at helhjernebestråling reduserer risikoen for vekst av mikrometastaser og dermed gir lavere intrakraniell progresjonsrate sammenliknet med stereotaksi (4). For pasienter med mange hjernemetastaser (>4), godt funksjonsnivå (ECOC 0 eller 1) og kontroll på ekstrakraniell sykdom kan derfor helhjernebestråling være et alternativ dersom systemisk behandling eller stereotaksi ikke er mulig. Våre egne, foreløpig upubliserte, prospektive data presentert på ESMO i høst, viser at man bør være svært forsiktig med helhjernebestråling til pasienter med ECOG status 2 eller dårligere.
Median overlevelse angis i artikkelen til 13 måneder. Dette er et overestimat. I uselekterte kohorter er median overlevelse rundt 6 måneder, med betydelig variasjon (5) og mange pasienter dør raskt, enten av intrakraniell eller ekstrakraniell progresjon.
Valg av behandling ved hjernemetastaser er komplisert og utfordrende og det kommer stadig nye alternativer, spesielt innen systemisk behandling. Kliniske studier, både randomiserte og prospektive kohortestudier, bør gjøres i større og mer systematisk grad. Vi vil gjerne både bidra og invitere til nasjonalt samarbeid om fremtidige studier for å bedre behandlingstilbudet til disse pasientene.
Litteratur
1. Vogelbaum MA, Brown PD, Messersmith H et al. Treatment for Brain Metastases: ASCO-SNO-ASTRO Guideline 2022;40(5):492-516.
2. Le Rhun E, Guckenberger M, Smits M et al. EANO-ESMO Clinical Practice Guidelines for diagnosis, treatment and follow-up of patients with brain metastasis from solid tumours. Annals of oncology : official journal of the European Society for Medical Oncology 2021;32(11):1332-47.
3. Mulvenna P, Nankivell M, Barton R et al. Dexamethasone and supportive care with or without whole brain radiotherapy in treating patients with non-small cell lung cancer with brain metastases unsuitable for resection or stereotactic radiotherapy (QUARTZ): results from a phase 3, non-inferiority, randomised trial. Lancet 2016;388(10055):2004-14.
4. Brown PD, Ballman KV, Cerhan JH et al. Postoperative stereotactic radiosurgery compared with whole brain radiotherapy for resected metastatic brain disease (NCCTG N107C/CEC.3): a multicentre, randomised, controlled, phase 3 trial. The Lancet Oncology 2017;18(8):1049-60.
5. Steindl A, Brunner TJ, Heimbach K et al. Changing characteristics, treatment approaches and survival of patients with brain metastasis: data from six thousand and thirty-one individuals over an observation period of 30 years. European journal of cancer 2022;162:170-81.
I ein kommentar til vår kliniske oversiktsartikkel Hjernemetastasar – diagnostikk og behandling (1) har Yri og hans medforfattarar stilt spørsmål ved vårt utspel om rolla av heilhjernebestråling. Vi har trekt fram visse grupper pasientar der ein i dag framleis nyttar denne modaliteten. Det er ikkje dermed sagt at vi meiner alle desse pasientane skal ha heilhjernebestråling, og vi stiller oss ikkje motstridande til varsemd knytt til denne behandlinga. I EANO/ESMO sine retningslinjer har forfattarane rett i at ein bør vere spesielt varsam kring pasientar med fleire hjernemetastasar og dårleg prognose. Likevel viser artikkelen til at heilhjernebestråling hos pasientar med forventa overleving under 3 månadar er eit alternativ (2). Det blir òg vist til at hos pasientar med over 10 hjernemetastasar og pasientar med ukontrollert ekstrakranial sjukdom, er heilhjernestråling ei tilrådd tilnærming (2). I ASCO/SNO/ASTRO sine retningslinjer tilrår ein ikkje heilhjernestråling til pasientar med asymptomatiske hjernemetastasar med Karnofsky performance status (KPS) under eller lik 50 og hos pasientar med KPS under 70 og ingen systemiske alternativ (3).
Forfattarane viser til eit arbeid frå Wien (4) som har sett på nærmare 7000 pasientar i tidsperioden 1986-2020, der ein faktisk ser ein auke i bruk av heilhjernestråling frå 20.9% i tidsperioden 1986-1990 til 25.3% i perioden 2010-2020.
Median overleving hos pasientar med hjernemetastasar er eit komplekst tema, og litteraturen er svært heterogen. I vår referanse (5) har ein sett på 7000 pasientar frå fleire institusjonar i fleire land i tidsperioden 2006-2017, og er grunnlaget for det diagnosespesifikke prognostiske verktøyet.Yri og hans medforfattarar sine tal baserer seg blant anna på pasientar frå 80-talet. Det er riktig at i Sperduto og han sine medforfattarar sin artikkel (5) er median overleving noko overestimert, då pasientar som berre fekk støttande behandling er ekskludert (5). Ser ein på median overleving i artikkelen frå Wien sin seinaste periode er det likevel ein markant skilnad mellom artiklane. Det er vanskeleg å tenkje seg at dette er grunna eksklusjon av pasientar berre på støttande behandling, då berre 3.4 % i studien frå Wien fekk «Best supportive care» (3).
Vi har prøvd å skildre moglegheiter innan behandling for visse grupper, og med eit avgrensa tal ord til rådighet er det nyansar som ikkje blir skildra. Vi meiner framleis ein førebels kan seie heilhjernestråling er ein viktig del av behandling hos utvalde pasientar og ser fram til å lese forfattarane sine data i ein kommande publikasjon.
Litteratur
1. EM Taule, et alt. Hjernemetastasar – diagnostikk og behandling. Tidsskr Nor Legeforen 2022; 142. doi: 10.4045/tidsskr.21.0809
2. Le Rhun E, Guckenberger M, Smits M et al. EANO-ESMO Clinical Practice Guidelines for diagnosis, treatment and follow-up of patients with brain metastasis from solid tumours. Annals of oncology : official journal of the European Society for Medical Oncology 2021;32(11):1332-47.
3. Vogelbaum MA, Brown PD, Messersmith H et al. Treatment for Brain Metastases: ASCO-SNO-ASTRO Guideline 2022;40(5):492-516.
4. Steindl A, Brunner TJ, Heimbach K et al. Changing characteristics, treatment approaches and survival of patients with brain metastasis: data from six thousand and thirty-one individuals over an observation period of 30 years. European journal of cancer 2022;162:170-81.
5. Sperduto PW, Mesko S, Li J et al. Survival in Patients With Brain Metastases: Summary Report on the Updated Diagnosis-Specific Graded Prognostic Assessment and Definition of the Eligibility Quotient. J Clin Oncol 2020; 38: 3773–84