Alkoholutløst encefalopati

    ()

    sporsmal_grey_rgb
    Artikkel

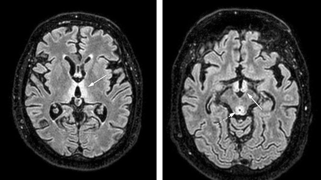
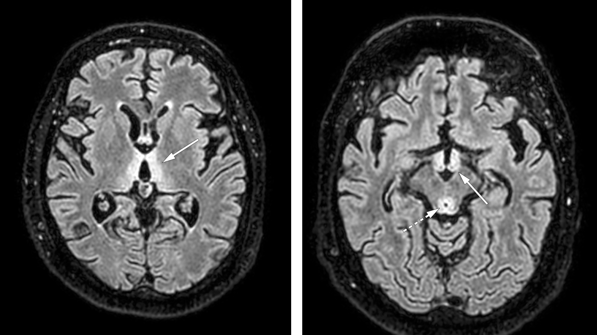
    Væskesensitive aksiale MR-bilder (FLAIR) av hjernen viser bilateralt, symmetrisk høyt signal medialt i talamus tilgrensende 3. ventrikkel (pil i bildet til venstre), i corpus mamillare (pil i bildet til høyre) og den periakveduktale grå substans (stiplet pil i bildet til høyre). Nevroradiologiske funn ga mistanke om Wernickes encefalopati.

    Pasienten var en mann i 50-årene som ble akutt innlagt i medisinsk avdeling med en nyoppstått forvirringstilstand. I akuttmottaket var han desorientert, psykomotorisk langsom og usammenhengende i talen. Han var afebril, takykard (puls 130 slag/min) og hypertensiv (blodtrykk 143/112 mmHg). Blodprøver viste lett forhøyet aspartataminotransferase (ASAT) 63 U/L (referanseområde 15–45) og alaninaminotransferase (ALAT) 76 U/L (10–70), med ratio under 2 : 1. Det ble ikke påvist etanol i serum.

    Nevrologisk undersøkelse avdekket vertikal nystagmus og bilateral partiell abducensparese (se video). Pasienten hadde redusert balanse og styringsvansker i ekstremitetene uten sikker sideforskjell. CT caput avdekket ikke sikker patologi. Funn på supplerende MR caput sammen med symptomtriaden ataksi, oftalmoplegi og mental påvirkning var karakteristiske for Wernickes encefalopati (1, 2). Det ble raskt startet med tiamin 500 mg intravenøst tre ganger daglig i to døgn, deretter 250 mg daglig i 14 dager (3). Komparentopplysninger og en fosfatidyletanol (PEth)-verdi på 0,49 µmol/L bekreftet mistanken om overforbruk av alkohol. Pasienten viste klinisk bedring med behandlingen, men seks måneder etter innleggelsen har han vedvarende utfall forenlig med Korsakoffs syndrom, en følgetilstand til Wernickes encefalopati.

    Videoen er opptak med Frenzel-brille. Pasienten hadde en spontan oppadslående vertikal nystagmus da den raske fasen av nystagmus var oppad. Nystagmusfrekvensen økte ved horisontalt sideblikk, men beholdt sin vertikale retning. Øynenes følgebevegelse var redusert til bevegelse temporalt.

    Wernickes encefalopati oppstår akutt eller subakutt, skyldes mangel på B-vitamin, spesielt tiamin, som spiller en nøkkelrolle i karbohydratmetabolismen. Feilernæring, ofte i kombinasjon med alkoholoverforbruk, er vanligste årsak til tiaminmangel. Den cerebrale skaden skyldes oksidativ og mitokondriell skade som fører til apoptose. Fokal laktacidose i sårbare hjerneområder forårsaker også sekundært ødem, oksidasjon, betennelse og skader på hvit substans (3). Rask tilførsel av tiamin vil kunne bedre symptomene.

    Pasienten har gitt samtykke til at artikkelen og video blir publisert.

    Artikkelen er fagfellevurdert.

    Kommentarer  ( 1 )
    PDF
    Skriv ut

    Anbefalte artikler