Leverabscess utløst av et fiskeben

    ()

    sporsmal_grey_rgb
    Abstract

    BACKGROUND

    Liver abscess caused by foreign bodies constitutes a rare medical problem that few of us will encounter in a clinical setting.

    CASE PRESENTATION

    We describe a case where a woman presented with sepsis and abdominal pain. Computed tomography (CT) of her abdomen revealed a large hepatic abscess containing a foreign body. Based on the size, shape and density of the object, a fishbone was suspected.

    INTERPRETATION

    We hypothesise that she swallowed a fishbone, which then perforated the gastrointestinal tract and lodged in the liver. After interdisciplinary discussion it was decided to proceed with conservative management, and the patient was treated successfully with antibiotics for a total of 31 days.

    Artikkel

    De vanligste årsakene til leverabscess i Norge er komplikasjoner ved peritonitt eller spredning fra en systemisk infeksjon. Vi presenterer en uvanlig årsak til leverabscess hos en ellers frisk kvinne.

    En ellers frisk kvinne i 40-årene ble innlagt etter fire døgns sykehistorie med frostrier, feber og magesmerter i øvre høyre kvadrant. Ved innkomst var hun somnolent, hadde blodtrykk på 92/74 mmHg, respirasjonsfrekvens på 28 per minutt, puls på 130 slag/minutt og temperatur på 38 °C. Blodprøver viste CRP 435 mg/L (referanseområde < 6), leukocytter 9,5 × 109/L (3,5–11,0 × 109/L), kreatinin 151 µmol/L (45–90), bilirubin 40 µmol/L (5–25), alanintransaminase (ALAT) 68 U/L (< 45) og alkalisk fosfatase (ALP) 113 U/L (35–105).

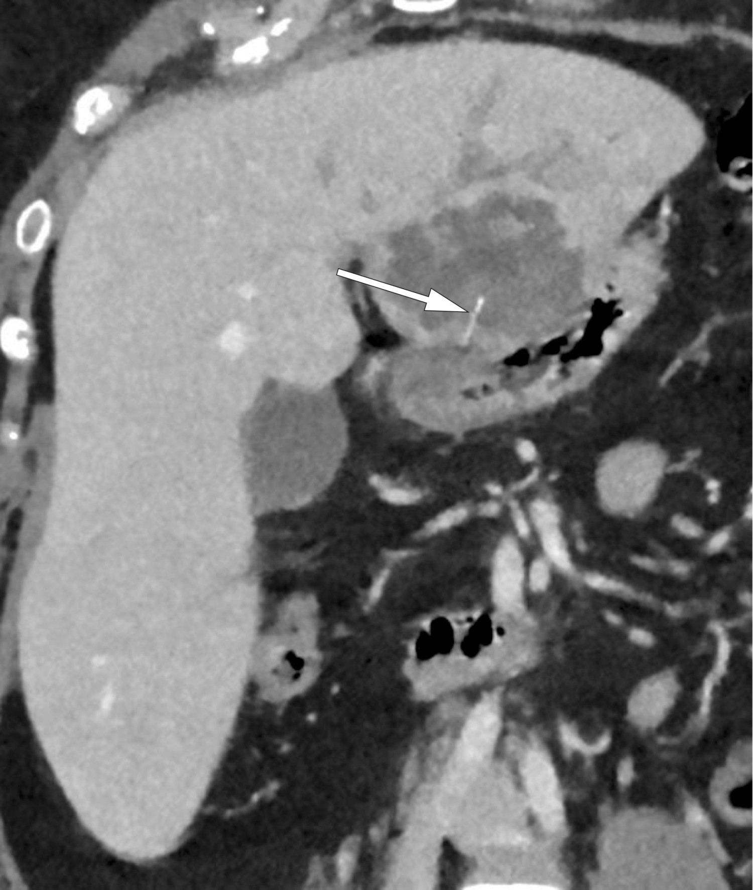
    Det kliniske bildet ble tolket som sepsis, og intensiv intravenøs væskebehandling og bredspektret intravenøs antibiotika (piperacillin 4 g/tazobaktam 0,5 g × 3 daglig) ble startet opp. Computertomografi (CT) av abdomen (figur 1) viste en stor lesjon i venstre leverlapp på 6,3 × 6,1 × 6,4 cm, som ble tolket som en primær leverabscess.

    En ny granskning av CT-undersøkelsen påfølgende dag vakte mistanke om et fremmedlegeme i relasjon til leverabscessen. Fremmedlegemets tetthet og utseende kunne passe med et fiskeben. Klinisk mistenkte man perforasjon fra ventrikkelen. Ultralyd, som ble utført i forbindelse med anleggelse av dren til abscessen, bekreftet mistanken om et fremmedlegeme (figur 2). Det kom spontant blodtilblandet pusslignende væske på drenet, og man sikret prøver for bakteriologisk bestemmelse. Gastroskopi dagen etter viste normale forhold, og man så ingen mulighet for å fjerne fremmedlegemet.

    I både blodkultur og abscessinnhold var det oppvekst av Streptococcus intermedius, som var følsom for påstartet antibiotikabehandling. Det var ikke tegn til endokarditt ved ekkokardiografi, utført på innleggelsens fjerde dag. Kontroll-CT abdomen dag 9 viste økt trabekulært kontrastladende vev og minsket væskeinnhold, tolket som tegn på tilheling. Imidlertid hadde det oppstått trombose i en vene i nær relasjon til abscessen. Det ble startet opp med 10 mg apiksaban per os 2 × daglig, med planlagt behandlingsvarighet på tre måneder.

    Drenet ble fjernet etter ti dager grunnet lite produksjon. Totalt ble kvinnen behandlet i 21 dager med intravenøs antibiotika (piperacillin/tazobaktam i fire døgn, deretter benzylpenicillin 1,2 g × 4 i seks døgn, etterfulgt av ceftriakson 2 g × 1 gang daglig i hjemmet) og deretter ti dager antibiotikabehandling per os (amoksicillin 500 mg/klavulansyre 125 mg × 3 daglig), med god klinisk og biokjemisk effekt.

    Ved første kontroll tre uker etter utskrivning viste ultralyd at størrelsen på abscessen var redusert til 3 × 2,5 cm. Pasienten var plaget av fatigue, men hadde lite smerter og ingen nattesvette eller feber. Etter tverrfaglig diskusjon med gastrokirurg og infeksjonslege vurderte man at fremmedlegemet ikke egnet seg for fjerning. Ny CT abdomen kontroll etter fire måneder viste total tilbakegang av abscessen, men med intakt mistenkt fremmedlegeme. I skrivende stund er pasienten fortsatt på bedringens vei.

    Diskusjon

    Diskusjon

    Leverabscess fra fremmedlegeme forekommer sjelden. Det er ikke verifisert hva fremmedlegemet hos vår pasient var, men vår teori er et fiskeben som har perforert ventrikkelen og gitt abscess i leveren. Dette kan ikke verifiseres uten å fjerne objektet, men basert på utseende, tetthet og form er det sannsynlig at dette dreier seg om et fiskeben. Pasienten selv informerte om at hun hadde spist fisk en tid tilbake, men kunne selv ikke huske å ha svelget et ben.

    De fleste fremmedlegemer passerer gastrointestinalkanalen uten noen problemer, og kun 1 % av fremmedlegemer vil gi perforasjon (1). I de få tilfellene der fremmedlegemer forårsaker perforasjon, kan de gi alvorlige utfall i form av peritonitt eller intraabdominale abscesser. I litteraturen er det også rapportert om tilfeller der infeksjonstendenser er første symptom og tilfeller der uspesifikke magesmerter er ledende symptom (2–4). Perforasjon kan skje hvor som helst i gastrointestinalkanalen, men er vanligst i pylorus eller duodenum (1).

    Ved en sjelden tilstand som denne finnes ikke randomiserte kliniske studier der man har undersøkt hva som er best av kirurgisk eller konservativ behandling. Det er beskrevet kasuistikker og pasientserier. Bekki og medarbeidere understreker viktigheten av å fjerne fremmedlegemet som den mest effektive behandlingen (5). Kasuistikken til Yang og medarbeidere viser vellykket konservativ behandling med antibiotika (4). I vårt tilfelle ble det derfor viktig å diskutere fordeler og ulemper ved konservativ versus kirurgisk behandling. Etter tverrfaglig diskusjon med både gastrokirurger og infeksjonsmedisiner lokalt valgte vi ultralydveiledet drenasje av abscessen med tilpasset antibiotikabehandling etter resistensbestemmelse. Basert på tilgjengelig litteratur anså man risikoen for komplikasjoner som større ved leverkirurgi. Residivfaren for abscessutvikling er vanskelig å evaluere ut fra tilgjengelig litteratur. Pasienten følges per nå videre av egen lege.

    Pasienten har gitt samtykke til at artikkelen blir publisert.

    Artikkelen er fagfellevurdert.

    Kommentarer  ( 0 )
    PDF
    Skriv ut

    Anbefalte artikler