En mann i 50-årene ble innlagt etter residiverende episoder med brystsmerter. På innleggelsesdagen synkoperte han fra sittende stilling. Utredningsforløpet avdekket en diagnose som er sjelden, men med klassiske symptomer og funn.
En mann i 50-årene med kjent hypertensjon, velregulert med kandesartan (tabletter, 8 mg × 1), ble henvist til akuttmottaket på grunn av episoder med brystsmerter. Han var normalvektig, hadde aldri røykt og hadde ingen rusbrukslidelse, og det var ingen kjent diabetes, hyperkolesterolemi, opphopning av hjertesykdom eller prematur hjertedød i familien. Over en periode på tre uker beskrev han seks episoder med brystsmerter, som kom uavhengig av stilling, matinntak og respirasjon. Foruten én anstrengelsesutløst episode ved lett jogging, oppstod alle smerteepisodene i hvile, noen ganger under søvn. Det var ingen ledsagende dyspné eller palpitasjoner. Vanligvis nådde brystsmertene smertetopp innen 10 sekunder og varte i 5–15 minutter.
Hos pasienter med brystsmerter i akuttmottak er det viktig å utelukke alvorlig livstruende sykdom som akutt hjerteinfarkt, lungeembolisme, aortadisseksjon, perforert ulcus og pneumotoraks (1).
I akuttmottaket var pasienten smertefri. Orienterende blodprøver var normale, inkludert troponin I (TnI), og elektrokardiogram (EKG) var uten tegn til iskemi. Akutt koronarsyndrom og annen akutt alvorlig sykdom ble utelukket, og pasienten ble henvist til poliklinisk CT av hjertet. Denne ble utført etter fire dager og viste åpne koronarkar uten aterosklerose, og kalsiumskår på 0.
To måneder senere ble pasienten rehenvist til akuttmottaket. Han hadde nå nærmest daglige episoder med brystsmerter. Innleggelsesdagen fikk han brystsmerter i sittende stilling, etterfulgt av et par minutters bevissthetstap ledsaget av ufrivillig vannlating. Hans kone hadde observert hendelsen. Det var ikke observert kramper eller tungebitt, og det var ingen ledsagende nevrologiske utfall. Anamnesen ga ikke mistanke om epilepsi eller vasovagal årsak til synkope, og pasienten ble innlagt for videre utredning.
Klinisk undersøkelse ved innleggelse viste normale funn. Prehospitalt EKG viste sinusrytme med frekvens 68 slag per minutt, uten tegn til iskemi. EKG ved innkomst var uendret med PQ-tid 196 ms (referanseområde 120–220 ms) og korrigert QT-tid (QTc) 421 ms (opptil 450 ms hos menn). Blodtrykket var 155/97 mmHg, arteriell blodgassanalyse og orienterende blodprøver var normale, inkludert TnI-verdi på 11 ng/L (0–30 hos menn). Transtorakal ekkokardiografi viste strukturelt normalt hjerte.
Pasienten ble kontinuerlig overvåket med telemetri og hadde gjentatte episoder med brystsmerter ledsaget av ikke-vedvarende ventrikkeltakykardi (NSVT, non-sustained ventricular tachycardia), som varte 1,4–3,4 sekunder med maksimal frekvens 205 slag per minutt. Alle episodene oppstod om morgenen, og supplerende 12-kanals-EKG under brystsmerter viste ingen ledsagende iskemi. TnI-verdien steg til maksimalt 26 ng/L under overvåkningsperioden.
De hyppigste årsakene til ventrikkeltakykardi er alvorlig koronarsykdom, hjertesvikt, akutt iskemi, strukturell hjertesykdom, kardiomyopatier, medikamenter, elektrolyttforstyrrelser, traume mot brystvegg og idiopatiske årsaker (2, 3). Ventrikkeltakykardi kan presentere seg med hjertebank, dyspné, brystsmerter, svimmelhet, synkope og i verste fall hjertestans (3). Utredning av ventrikulær arytmi innbefatter grundig anamnese inkludert familiehistorie, EKG og transtorakal ekkokardiografi. Underliggende koronarsykdom må utelukkes. MR av hjertet samt genetisk testing kan være indisert (2).
Siden koronarsykdom var utelukket to måneder før innleggelsen, med normal CT-undersøkelse av hjertet, ble primær ventrikkelarytmi mistenkt, og behandling med betablokker i form av metoprolol (depottabletter, 50 mg × 1) ble iverksatt. MR-undersøkelse av hjertet var normal og uten kontrastoppladning. Genetisk årsak til ventrikkelarytmi ble ansett som lite sannsynlig, da episodene med arytmi oppstod i hvile, og EKG var normalt med normal QTc-tid. Genetisk screening med Illumina TruSight Cardio sekvenseringssett, som inneholder 84 mutasjoner, var negativ.
På fjerde innleggelsesdag fikk pasienten en ny episode med brystsmerter i hvile, denne gangen ledsaget av ST-elevasjoner i avledning I og V1–V4 i EKG (figur 1). Kontroll-EKG etter ett minutt viste komplett tilbakegang av ST-T-forandringene (figur 2), og pasienten var da smertefri. I to minutter vekslet hjerterytmen mellom sinusrytme og ikke-vedvarende ventrikkeltakykardi med frekvens på 170 slag per minutt. Koronar spasme ble nå mistenkt, og det ble startet opp behandling med kalsiumantagonist i form av amlodipin (tabletter, 10 mg × 1).
ST-elevasjoner i EKG er som regel forenlig med akutt koronar iskemi forårsaket av akutt okklusjon av et koronarkar (1). Andre årsaker til iskemi i EKG er spontan koronararteriedisseksjon, medfødte koronararterieanomalier, vasospastisk angina, takotsubosyndrom og perikarditt (3).
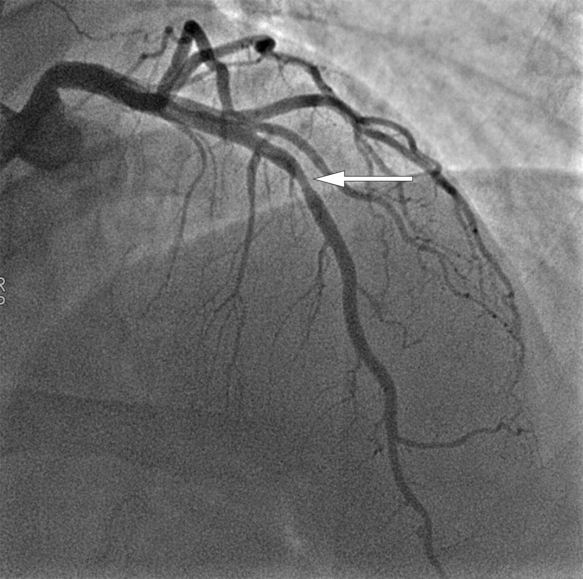
Samme dag som ST-elevasjoner ble dokumentert, ble det utført invasiv koronar angiografi for å utelukke akutt iskemi. Koronar angiografi viste en stenose i den proksimale delen av venstre koronararteries fremre nedadstigende gren (LAD, left anterior descending artery) (figur 3). Det ble gitt 2 mL nitroglyserin intrakoronart to ganger under undersøkelsen, hvor stenosen forble uendret. Stenosen ble mistenkt å være årsak til symptomene (culprit-lesjon), og det ble utført perkutan koronar intervensjon (PCI) med en medikamentfrigjørende stent (Medtronic Resolute Onyx 3,5/15 mm).
Pasienten ble observert videre med telemetri på avdelingen. Tross revaskularisering hadde han daglige episoder med brystsmerter ledsaget av ST-elevasjoner og ikke-vedvarende ventrikkeltakykardi (frekvens 150–200) (figur 4). Innleggelsesdag åtte, fire dager etter primær revaskularisering, ble det lagt til behandling med langtidsvirkende nitrat i form av isosorbidmononitrat (depottabletter, 30 mg × 1) og langtidsvirkende kalsiumkanalblokker i form av diltiazem (depottabletter, 90 mg × 2) samtidig som betablokker ble seponert på grunn av forsterket mistanke om vasospastisk angina. Dagen etter medikamentendringene, innleggelsesdag ni, var pasienten symptomfri, uten flere episoder med brystsmerter eller ventrikkeltakykardi. Kontroll med koronar angiografi ble utført for å utelukke stentproblemer som årsak til ST-elevasjoner etter PCI, og denne viste velekspandert stent. Det ble diskutert videre utredning med provokasjonstest med tilførsel av ergonovin eller acetylkolin intravenøst med regionalt senter, men dette ble vurdert som unødvendig, da den kliniske diagnosen ble ansett som rimelig sikker.
Malign arytmi som ble dokumentert under innleggelsen, ble vurdert som sannsynlig årsak til synkopen innleggelsesdagen, og pasienten fikk derfor implantert tokammer-hjertestarter (ICD, implantable cardioverter-defibrillator).
Ved kontroll tolv måneder etter utskrivelse var pasienten fortsatt symptomfri, og det har ikke vært registrert noen nye episoder med ventrikkeltakykardi.
Diskusjon
Vasospastisk angina, også kalt Prinzmetal-angina, ble for første gang beskrevet i 1959 av Prinzmetal og medarbeidere (4). Sykdommen karakteriseres av brystsmerter i hvile som skyldes fokale eller generaliserte spasmer i koronararteriene som fører til en høygradig obstruksjon, assosiert med ST-elevasjon på EKG, som raskt responderer på korttidsvirkende nitrater (4). Troponinverdier er ofte innenfor normalområdet grunnet kort varighet av iskemi (5). Spasmene kan oppstå uten foregående økt oksygenbehov i både normale og aterosklerotiske koronarkar (4).
Forekomsten er lite undersøkt, men den er rapportert å være hyppigere hos japanere enn hos den kaukasiske befolkningen (6). Blant pasienter med akutt koronarsyndrom har 1–5 % hjerteinfarkt med ikke-obstruerte koronararterier, og av disse har rundt 30 % spasmer i koronarkar (7). Ulike mekanismer er foreslått som årsak til koronar spasme, blant annet endoteldysfunksjon, dysfunksjon i det autonome nervesystemet og hyperreaktivitet i glatte muskelceller (6).
Den typiske pasienten med vasospastisk angina presenterer residiverende brystsmerter som ikke kan skilles fra klassisk angina pectoris, men som ofte oppstår i hvile og mellom midnatt og tidlig morgen. Episodene er korte og varer som regel 5–15 minutter (8). Predisponerende faktorer er mentalt stress, lett aktivitet, særlig om morgenen, kulde, hyperventilering, hypomagnesemi, Valsalvas manøver, alkoholinntak og bruk av kokain og visse typer medikamenter som adrenergika, betablokkere, kolinesterasehemmere og triptaner (6, 9). Det er beskrevet en sammenheng mellom vasospastisk angina og andre vasospastiske forstyrrelser som Raynauds fenomen og migrene (10).
For at diagnosen vasospastisk angina skal kunne stilles, må det foreligge nitratresponsiv angina med ledsagende forbigående iskemiske EKG-forandringer eller påvist spasme i koronararterier med provokasjonstesting under koronar angiografi. Provokasjonstest kan gjøres med hyperventilasjon eller tilførsel av ergonovin eller acetylkolin intravenøst (11).
Retrospektivt kan vi si at pasienten vår presenterte klassiske symptomer på vasospastisk angina. I en travel sykehushverdag kan anamnese bli nedprioritert til fordel for blodprøver, EKG og radiologiske undersøkelser. Anamneseopptak bør ha et større fokus, da diagnoser kan overses på grunn av mangelfull informasjon om forløpet før, under og etter symptomdebut. Innleggelsesdag fire ble det først reist mistanke om vasospastisk angina som årsak til symptombildet, da det ble dokumentert kortvarige ST-elevasjoner i EKG sammen med ikke-vedvarende ventrikkeltakykardi under anfall med brystsmerter. Amlodipinbehandling ble da startet opp. Grundig gjennomgang av anamnese avdekket at brystsmertene i all hovedsak oppstod i morgentimene i hvile og hadde varighet på under 15 minutter. Behandling med betablokker ble igangsatt innleggelsesdag to etter påvisning av ventrikulær arytmi, og seponert først på innleggelsesdag åtte. Dersom betablokkerbehandlingen hadde blitt seponert tidligere i forløpet, og det samtidig hadde blitt igangsatt behandling med langtidsvirkende nitrat og langtidsvirkende kalsiumkanalblokker, ville man sannsynligvis ha stilt diagnosen vasospastisk angina tidligere. I tillegg hadde det ikke vært nødvendig å utføre koronar angiografi-kontroll.
Stenting av et koronarkar med vasospasme anbefales bare dersom det samtidig foreligger obstruerende koronarsykdom (6). Hos vår pasient avdekket koronar angiografi en mulig stenose i proksimale del av LAD-arterien. Denne stenosen ble vurdert som såkalt culprit-lesjon, og dermed stentet. Det ble ikke gjort trykkmåling over stenosen eller optisk koherens-tomografi (OCT) for å kartlegge lesjonen nærmere. Ved tvil om hvorvidt en stenose er av hemodynamisk betydning, bør det kartlegges om det foreligger signifikant trykkfall over stenosen. For å vurdere lesjonens stabilitet eller for å avdekke en eventuell plakkruptur kan karet undersøkes ytterligere med OCT eller intravaskulær ultralyd, noe som ikke ble utført hos vår pasient. Retroperspektivt kan man heller ikke utelukke at det hele skyldtes vasospasme i karet.
Synkopen innleggelsesdagen antas å være forårsaket av malign arytmi. Det foreligger lite data om implanterbar hjertestarter hos pasienter med malign arytmi og vasospastisk angina. Ifølge retningslinjene til European Society of Cardiology har behandling med implanterbar hjertestarter klasse 1A anbefaling hos pasienter med dokumentert ventrikkelflimmer eller ved hemodynamisk ustabil ventrikkeltakykardi uten reversibel årsak, i tillegg til optimal medisinsk behandling (2). I et materiale fra 2014 fra Eschalier og medarbeidere diskuteres sekundærprofylaktisk implanterbar hjertestarter hos pasienter som overlever hjertestans på grunn av ventrikkelarytmi som skyldes vasospastisk angina (12). Optimal medisinsk behandling anses ikke trygt nok til å forebygge nye episoder med vasospasmer og malign arytmi (12, 13). På grunnlag av denne vurderingen, i samråd med regionalt sykehus, fikk vår pasient implanterbar hjertestarter. Det kan diskuteres hvorvidt det skulle vært implantert langtids-hjerterytmeovervåker i stedet for implanterbar hjertestarter for å kartlegge forekomst av ventrikkeltakykardi etter at medikamentell behandling for vasospasme var optimalisert.
Prognosen for pasienter med spasmeangina er god ved medikamentell behandling, men noe dårligere hos pasienter som har gjennomgått hjerteinfarkt (14). Hos pasienter med tidligere hjerteinfarkt er de viktigste prognostiske faktorene forekomst av ST-elevasjoner, bruk av kalsiumkanalblokker, venstre ventrikkelfunksjon, røyking og alkoholinntak (14). Hos pasienter uten tidligere hjerteinfarkt er forekomst av ST-elevasjoner, bruk av kalsiumkanalblokker og utbredelse av koronarsykdom individuelle faktorer som påvirker overlevelse (14). Pasientene må få råd om å unngå røyking og alle medikamenter som kan forverre eller utløse vasospasmer. Det er svært viktig at behandlingen med kalsiumkanalblokker ikke blir seponert (14).
Konklusjon
Hos pasienter med residiverende, koronarsuspekte brystsmerter med ST-elevasjoner og med eller uten ventrikkeltakykardi er det viktig å tenke på vasospastisk angina som differensialdiagnose når koronarsykdom er utelukket, slik at rett behandling kan iverksettes tidlig.
Pasienten har gitt samtykke til at artikkelen blir publisert.
Artikkelen er fagfellevurdert.
- 1.
Kohn MA, Kwan E, Gupta M et al. Prevalence of acute myocardial infarction and other serious diagnoses in patients presenting to an urban emergency department with chest pain. J Emerg Med 2005; 29: 383–90. [PubMed][CrossRef]
- 2.
Zeppenfeld K, Tfelt-Hansen J, de Riva M et al. 2022 ESC Guidelines for the management of patients with ventricular arrhythmias and the prevention of sudden cardiac death. Eur Heart J 2022; 43: 3997–4126. [PubMed][CrossRef]
- 3.
Dalen H, Forfang K, Haugaa K et al. Kardiologi Klinisk veileder. 2. utg. Oslo: Gyldendal Norsk Forlag, 2019: 231–3.
- 4.
Prinzmetal M, Kennamer R, Merliss R et al. Angina pectoris. I. A variant form of angina pectoris; preliminary report. Am J Med 1959; 27: 375–88. [PubMed][CrossRef]
- 5.
Arrebola-Moreno AL, Arrebola JP, Moral-Ruiz A et al. Coronary microvascular spasm triggers transient ischemic left ventricular diastolic abnormalities in patients with chest pain and angiographically normal coronary arteries. Atherosclerosis 2014; 236: 207–14. [PubMed][CrossRef]
- 6.
Matta A, Bouisset F, Lhermusier T et al. Coronary Artery Spasm: New Insights. J Interv Cardiol 2020; 2020: 5894586. [PubMed][CrossRef]
- 7.
Pasupathy S, Air T, Dreyer RP et al. Systematic review of patients presenting with suspected myocardial infarction and nonobstructive coronary arteries. Circulation 2015; 131: 861–70. [PubMed][CrossRef]
- 8.
Ogawa H, Yasue H, Oshima S et al. Circadian variation of plasma fibrinopeptide A level in patients with variant angina. Circulation 1989; 80: 1617–26. [PubMed][CrossRef]
- 9.
Stricker BH. Coronary vasospasm and sumatriptan. BMJ 1992; 305: 118. [PubMed][CrossRef]
- 10.
Keller KB, Lemberg L. Prinzmetal's angina. Am J Crit Care 2004; 13: 350–4. [PubMed][CrossRef]
- 11.
Beltrame JF, Crea F, Kaski JC et al. International standardization of diagnostic criteria for vasospastic angina. Eur Heart J 2017; 38: 2565–8. [PubMed]
- 12.
Eschalier R, Souteyrand G, Jean F et al. Should an implanted defibrillator be considered in patients with vasospastic angina? Arch Cardiovasc Dis 2014; 107: 42–7. [PubMed][CrossRef]
- 13.
Bassand JP, Hamm CW, Ardissino D et al. Guidelines for the diagnosis and treatment of non-ST-segment elevation acute coronary syndromes. Eur Heart J 2007; 28: 1598–660. [PubMed][CrossRef]
- 14.
Yasue H, Takizawa A, Nagao M et al. Long-term prognosis for patients with variant angina and influential factors. Circulation 1988; 78: 1–9. [PubMed][CrossRef]
Jeg leser Tidsskriftets kasuistikker i "Noe å lære av" med stor interesse og gleder meg over disse som en kilde til undring og vedlikehold av medisinsk kunnskap som jeg ikke bruker til daglig. Dette gjelder i høyeste grad også artikkelen av Bugge og medarbeidere som presenterte sykehistorien og utredningen av "En mann i 50-årene med brystsmerter og synkope".
De siste kasuistikkene har jeg lest "sammen med" den nye "følgesvennen" ChatGPT-4. Hovedregelen min er aldri å spørre ChatGPT om noe som jeg ikke selv vet svaret på siden ChatGPT er kjent for å kunne "hallusinere". For kasuistikkene bryter jeg denne regelen og lar det gå sport i det: Hvordan klarer jeg meg mot en språkmodell som er trent opp på enorme mengder med tekst, men ikke spesifikt innen medisin og heller ikke oppdatert siden 2021. Den kan altså ikke ha "sett" kasuistikken til Bugge og medarbeidere.
Jeg pleier først å gi ChatGPT noen korte innledende setninger som kontekst. Det er for å unngå at den tror at det er jeg som er syk og svarer med at jeg må oppsøke lege. Jeg skrev derfor inn følgende i meldingsfeltet (prompt'en):
"Her er en pasientkasuistikk. Kan du gi en rekke med prioriterte tentative diagnoser og forslag til oppfølging?" og la inn det første avsnittet i Bugge og medarbeideres artikkel:
"En mann i 50-årene med kjent hypertensjon,.. ...og varte i 5–15 minutter."
I løpet av få sekunder kom svaret fra ChatGPT:
"Dette er en kompleks pasientkasuistikk som krever klinisk vurdering, men basert på den gitte informasjonen kan følgende liste over tentativt prioriterte diagnoser vurderes:
Tentative diagnoser:
1. Koronar hjertesykdom (angina pectoris eller ustabil angina): Dette er den mest alvorlige årsaken til brystsmerter og bør alltid vurderes først, særlig hos en person med kjent hypertensjon.
2. Prinzmetals angina: Dette er en form for angina forårsaket av en spasme i en av koronararteriene. Den kan oppstå i hvile, ofte om natten.
3. Perikarditt: Betennelse i perikardiet (hjertesekken) kan forårsake skarp, stikkende smerte.
4. Mitral ventil prolaps: Noen ganger kan dette forårsake brystsmerter, selv om det vanligvis er assosiert med andre symptomer som palpitasjoner.
5. Gastroøsofageal reflukssykdom (GERD) eller spiserørskrampe: Selv om smerten beskrevet i denne kasuistikken ikke ser ut til å være relatert til matinntak, er det fortsatt en mulighet.
6. Muskel-skjelettsmerte: Relatert til musklene og skjelettet i brystveggen.
7. Lungeemboli eller dyp venetrombose: Disse kan forårsake brystsmerter, men pasienten har ikke dyspné, som vanligvis er til stede ved en lungeemboli.
8. Øvrige årsaker: Herpes zoster, pneumothorax, og andre mindre vanlige årsaker til brystsmerter."
I tillegg kom forslag og begrunnelser til supplerende undersøkelser som blant annet EKG, blodprøve til troponiner og D-dimer, ekkokardiografi og koronar angiografi.
Jeg ble slått av ChatGPT også denne gangen og var egentlig ganske imponert (jeg er ikke kardiolog). Som leger og lærere haster det å ta stilling til om og hvordan vi ønsker å bruke disse verktøyene. Jeg ba om råd fra ChatGPT som bl.a. svarer: "...teknologi er et verktøy, ikke en erstatning for menneskelig dømmekraft, erfaring og empati."