Struma og stridor

    ()

    sporsmal_grey_rgb
    Artikkel

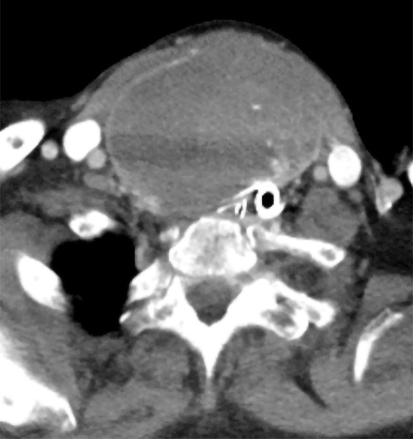
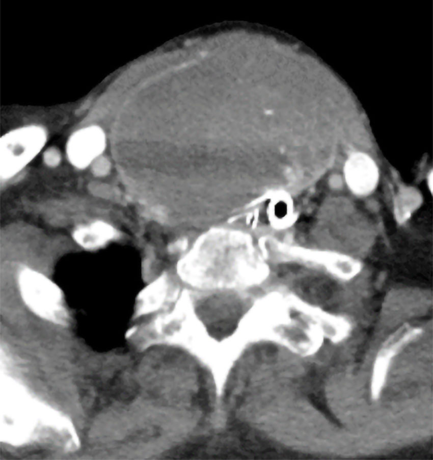
    Kontrastforsterket aksialt CT-bilde av halsen viser stor oppfylling i relasjon til høyre tyreoidealapp med diameter 8 cm (og 10 cm kraniokaudal utbredelse fra nivå med C4/C5 til Th2/Th3). Trakea er betydelig komprimert og dislokert posterolateralt mot venstre (pasienten er intubert). De cervikomediastinale blodkarene synes upåvirket.

    Pasienten var en kvinne i 80-årene som ble innlagt med akutt dyspné oppstått i forbindelse med trening. Anamnestisk ble pasienten utredet for et godartet struma flere tiår tilbake. Strumaet hadde siden økt i størrelse, men hun hadde vært uten symptomer fra luftveiene fram til det aktuelle.

    Grunnet uttalt inspiratorisk stridor kombinert med stort struma, ble pasienten vurdert til å ha truet luftvei. Hun ble umiddelbart tatt til operasjonsstue og endotrakealt intubert (tube størrelse 7) i våken tilstand via fleksibelt skop, med beredskap for nødtrakeotomi og koniotomi under prosedyren. Man fant betydelig subglottisk trakealstenose med kun få millimeters lumen, noe som gjorde intuberingen vanskelig.

    Pasienten ble deretter respiratorbehandlet på intensivavdeling og undersøkt med CT collum i påvente av kirurgi. Hun ble dypt sedert og muskelrelaksert for å minimere risiko. Påfølgende dag ble det utført ukomplisert høyresidig hemityreoidektomi, der trakea ble frigjort og vurdert som åpen og stabil. Pasienten ble ekstubert på operasjonsstuen og utskrevet fra intensivavdelingen i velbefinnende etter to dager.

    Knuter i tyreoidea er hyppig forekommende. De aller fleste er benigne og trenger ingen oppfølging (1). Benigne knuter i tyreoidea kan likevel vokse og i enkelte tilfeller bli livstruende, som her. Som illustrert i denne kasuistikken, er det viktig at pasienter med respiratorisk besvær og tumor på halsen akuttinnlegges i sykehus med anestesi- og intubasjonsberedskap, da de kan ha truet luftvei.

    Pasienten har gitt samtykke til at artikkelen blir publisert.

    Artikkelen er fagfellevurdert.

    Kommentarer  ( 0 )
    PDF
    Skriv ut

    Anbefalte artikler