Akutt hematom på halsen kan gi potensielt livstruende kompresjon av øvre luftveier. Slike pasienter må derfor undersøkes raskt og observeres nøye med hensyn til truet luftvei.
En mann i 70-årene av utenlandsk opprinnelse, bosatt i utlandet, kom til akuttmottaket etter ett døgns sykehistorie med et økende subkutant hematom i midtlinjen på halsen. Pasienten hadde fra tidligere kjent hjertesvikt, paroksysmal atrieflimmer og obstruktiv søvnapné-syndrom. Han brukte pustemaskin med kontinuerlig overtrykk når han sov. Av faste medisiner brukte han edoksaban 60 mg × 1 og amiodaron 200 mg × 1. Ti dager tidligere hadde han startet med etorikoksib 30 mg × 1 pga. ryggsmerter. Han var tonsillektomert som barn, ikke-røyker og hadde ingen kjente allergier.
Dagen i forveien hadde mannen opplevd ubehag på venstre side av halsen. Det hadde ikke vært noe traume eller inntak av fremmedlegemer. Så kom det til syne et økende hematom fortil på halsen, som fikk pårørende til å reagere.
Pasienten hadde spist uten vansker rett før han kom til mottaket. Han hadde ikke stridor eller hvile- eller taledyspné, men opplevde vokal fatigue og globusfølelse. Ved klinisk undersøkelse fant man et subkutant ellipseformet hematom anteriort på halsen. Hematomet var uømt og velavgrenset med en utstrekning på ca. 7,5 × 4 cm.
Øre-nese-halsundersøkelse utført for å kartlegge øvre luftveisanatomi og -affeksjon samt blødningskilde, avdekket ikke blødningsfokus eller hematom i farynks, larynks, nesekavitet eller munnhule. I munnhulen var det hele slimhinner uten misfarging eller tegn til blødning. Fremre rhinoskopi avdekket ingen koagler eller ulcerasjoner. Transnasal fleksibel laryngoskopi påviste ingen misfarging eller asymmetri i farynks eller ned mot larynks, men det var trange passasjeforhold i orofarynks.
Pasienten var hypertensiv med blodtrykk 180/100 mmHg, mens respiratoriske parametere var normale med respirasjonsfrekvens 15 per minutt og SpO2 på 99 % på romluft. Øvrige vitale parametere var innenfor normalt referanseområde.
Biokjemiske verdier viste hemoglobin 14,3 g/dL (referanseverdi 13,4–17,0), erytrocyttvolumfraksjon 0,41 (0,40–0,50), leukocytter 11,3 × 109/L (4,1–9,8 × 109/L), trombocytter 223 × 109/L (145–348 × 109/L), C-reaktivt protein 15 mg/L (< 5), kreatininkinase 91 U/L (referanseverdi 40–280 U/L), kreatinin 115 µmol/L (60–105) og estimert glomerulær filtrasjonshastighet 53 mL/min/1,73 m2 (> 60). I tillegg var verdier for glukose, natrium, kalium, alaninaminotransferase og gammaglutamyltransferase innenfor referanseområdet.
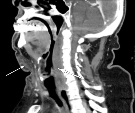
CT collum med intravenøs kontrast ble utført for å se etter blødningskilde, utbredelse av hematom og eventuelle underliggende funn. Undersøkelsen påviste ingen pågående blødning eller pseudoaneurisme. Hematomet var diffust avgrenset i bløtdelene og strakk seg fra os hyoideum til trakea og glandula thyreoidea samt retrofaryngealt med ledsagende lett innbukning i farynks dorsalt, svarende til C2–C7-nivå (figur 1).
Edoksaban ble seponert i fem dager. Pasienten hadde to dager senere planlagt retur til hjemlandet, og han ble kontrollert der åtte dager etter utskrivning. Hematomet hadde da økt i størrelse uten forverring av respirasjon eller andre vitale parametere (figur 2). Deretter gikk hematomet spontant i regress i løpet av åtte uker, og pasienten hadde ingen sekveler.
Diskusjon
Akutt hematom med relasjon til øvre luftveier er en potensielt livstruende tilstand og kan defineres som akutt blødning i ett eller flere vevsrom i hode-hals-regionen. Tilstanden kan være spontan eller med kjent årsak. I en systematisk oversikt er de to vanligste lokalisasjonene for akutt hematom det sublingvale og det retrofaryngeale rommet, der minst ett av disse er affisert i mer enn 90 % av tilfellene (1). Litteraturgrunnlaget er størst for pasienter med warfarinbehandling.
Pasienten sov med kontinuerlig overtrykk. Dette kan gi økt trykk og lokal inflammasjon i øvre luftveier, og han hadde økt risiko for blødning grunnet bruk av direkte faktor Xa-hemmer. I tillegg sto han på etorikoksib, en COX-2-hemmer med teoretisk blødningsrisiko i form av trombocytopeni, noe pasienten ikke hadde. Etorikoksib kan sammen med hypertensjonen ha bidratt til redusert renal blodgjennomstrømning, med påfølgende nyresvikt.
Nyresvikt og interaksjon mellom amiodaron og edoksaban kan ha vært utslagsgivende for at det oppsto en akutt blødning. Konsentrasjonen av edoksaban kan øke opptil 40 % ved samtidig nyresvikt og amiodaronbruk, og aktuelle pasienter bør følges med tanke på økt blødningsfare (2). Til tross for denne kjente risikoen er ikke dosereduksjon av edoksaban rutinemessig anbefalt ved bruk av amiodaron eller ved kreatininclearance > 50 mL/min. Da pasienten ikke var hjemmehørende i Norge, forelå det ingen tidligere blodprøveverdier å sammenligne med. Om nyresvikten var nyoppstått eller kronisk, kunne man derfor ikke vite med sikkerhet.
CT collum viste at hematomet strakk seg retrofaryngealt, uten at dette var synlig i slimhinnen i farynks. I litteraturen er det beskrevet både akutt intubasjon og akutt trakeotomi for å sikre åpne luftveier hos denne pasientgruppen (3, 4). Dette ble ikke funnet nødvendig, da respiratoriske parametere var upåfallende. Pasienten hadde heller ikke stridor og var våken og orientert.
Hematom i relasjon til store vener på halsen kan øke det venøse trykket, med påfølgende stuvning i mer distal sirkulasjon og i ytterste konsekvens intrakraniale komplikasjoner sekundært til trykkøkningen (5, 6). Pasienten hadde kjent hjertesvikt som også kan ha påvirket trykket i halsvenene.
Pasienten har gitt samtykke til at artikkelen blir publisert.
Artikkelen er fagfellevurdert.
- 1.
Karmacharya P, Pathak R, Ghimire S et al. Upper Airway Hematoma Secondary to Warfarin Therapy: A Systematic Review of Reported Cases. N Am J Med Sci 2015; 7: 494–502. [PubMed][CrossRef]
- 2.
Ray WA, Chung CP, Stein CM et al. Risk for Bleeding-Related Hospitalizations During Use of Amiodarone With Apixaban or Rivaroxaban in Patients With Atrial Fibrillation : A Retrospective Cohort Study. Ann Intern Med 2023; 176: 769–78. [PubMed][CrossRef]
- 3.
Abukhder M, Hulme J, Nathoo S et al. Spontaneous retropharyngeal haematoma with direct oral anticoagulant medication. BMJ Case Rep 2021; 14: e240369. [PubMed][CrossRef]
- 4.
Ashraf A, Bannon M, Smith C et al. Upper airway hematoma: An unusual presentation of acute upper airway obstruction. Respir Med Case Rep 2022; 36: 101613. [PubMed][CrossRef]
- 5.
Devaraja K, Nayak DR, Kordcal AR et al. Cushing's reflex secondary to neck haematoma following thyroidectomy. BMJ Case Rep 2018; 2018: bcr2018226639. [PubMed][CrossRef]
- 6.
Warken C, Rotter N, Maurer JT et al. Retropharyngeal hematoma in the context of obstructive sleep apnea: a case report and review of the literature. J Med Case Rep 2019; 13: 269. [PubMed][CrossRef]