Fregner i skjelettet

    ()

    sporsmal_grey_rgb
    Artikkel

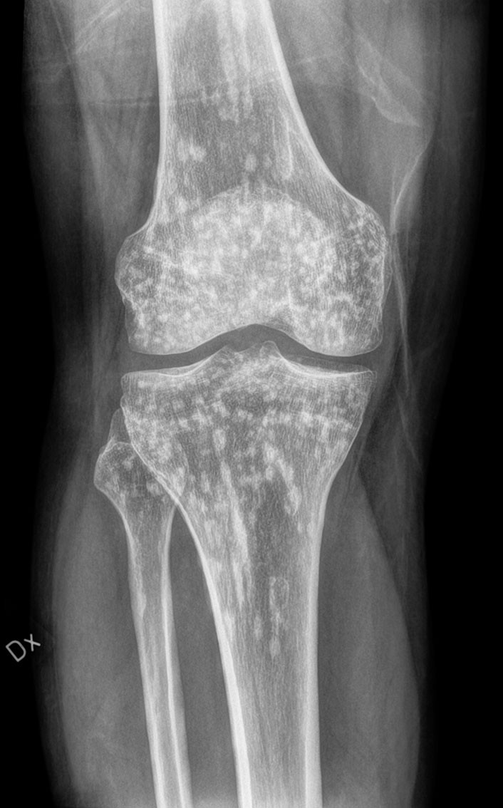
    Røntgenbildet viser multiple flekkvise sklerotiske lesjoner i både femur, tibia og fibula. Bildet ble tatt da en tidligere frisk mann i slutten av trettiårene oppsøkte ortopedisk skadepoliklinikk etter et fall med vridning av kneet. Han kunne på dette tidspunktet ikke belaste det vonde benet, og opplevde at en bøyd knestilling ga mindre ubehag. Pasienten ble henvist til akutt røntgen for å utelukke brudd. Røntgenfunnet er forenlig med osteopoikilose og tolkes som et tilfeldig funn, ikke relatert til pasientens aktuelle skade. Pasientens smertetilstand i kneet gikk over av seg selv uten aktive tiltak.

    Osteopoikilose er en benign autosomal dominant tilstand man kan finne i skjelettet, karakterisert av områder med små sklerotiske lesjoner (1). Osteopoikilose finnes oftest i de lange rørknoklene, i hender og føtter, i bekkenet og i skulderbladene. Tilstanden er sjelden, med en insidens på 1: 50 000 (2). Den oppstår like hyppig hos kvinner og menn, og gir vanligvis ingen symptomer. Tilstanden progredierer ikke til malignitet, og påvirker ikke skjelettkvaliteten. Det er ikke nødvendig med MR-undersøkelse for å stille diagnosen. På en eventuell MR vil lesjonene ha lav signalintensitet, både på T1- og T2-vektede bilder, og dermed fremstå som svarte flekker.

    Pasienten har gitt samtykke til at artikkelen blir publisert.

    Artikkelen er fagfellevurdert.

    Kommentarer  ( 1 )
    PDF
    Skriv ut

    Anbefalte artikler