Vedvarende hikke kan ha mange ulike årsaker og krever en bred diagnostisk tilnærming. Her beskriver vi en pasient med vedvarende hikke som debuterte etter forbigående magesmerter.
En mann i 70-årene ble henvist fra fastlege til akuttmottaket grunnet vedvarende hikke. Fra tidligere hadde han kronisk nyresykdom (grad 3A), insulinbehandlet diabetes type 2, var operert i buken etter et penetrerende traume flere tiår tidligere og hadde hatt refluksplager over lengre tid uten å være gastroskopert.
Elleve dager før sykehusinnleggelsen hadde pasienten oppsøkt legevakt grunnet progredierende trykkende smerter i epigastriet, med utstråling til korsrygg og nakke. Han var afebril, og det ble målt CRP 8 mg/L (< 4). Pasienten hadde god effekt av smertestillende og reiste hjem smertefri.
Påfølgende dag startet pasienten å hikke. Hikkefrekvensen varierte fra omtrent hvert sekund til perioder på opptil en time uten hikking. Pasienten fikk ikke residiv av magesmertene og hadde ingen andre plager. Han kunne ikke angi faktorer som påvirket hikken.
I akuttmottaket var pasienten afebril. Undersøkende lege i spesialisering fant lette knatrelyder basalt over begge lunger, men ellers normale funn, inkludert bløt og uøm buk uten oppfylninger samt negativt Murphys tegn. Nevrologisk undersøkelse var normal. EKG viste en patologisk Q-takk i avledning III som ikke var kjent fra tidligere.
Blodprøver viste leukocytter 14,7 · 109/L (3,5–10) hvorav nøytrofile granulocytter var 11,5 · 109/L (1,5–7,3), CRP 56 mg/L (< 4), SR 71 mm/t (< 12), troponin T 43 ng/L (< 14), kreatinin 146 μmol/L (60–105), LD 258 U/L(115–255), ALP 130 U/L (35–105) og pankreasamylase 76 U/L (10–65).
Initialt mistenkte vi pneumoni som årsak til hikke, men røntgen toraks var normal. Vi vurderte også om et gjennomgått hjerteinfarkt kunne forklare tilstanden da han hadde nyoppdagede EKG-forandringer og forhøyede troponinverdier. Kontroll av troponin etter seks timer viste uendrede verdier, og vi avventet videre hjerteutredning. En lett økt alkalisk fosfatase og amylase ble ikke vektlagt grunnet fullstendig fravær av smerter ved abdominalundersøkelse.
Pasienten ble innlagt for observasjon. Første natt fortsatte pasienten å hikke under søvn, noe som talte for en organisk årsak.
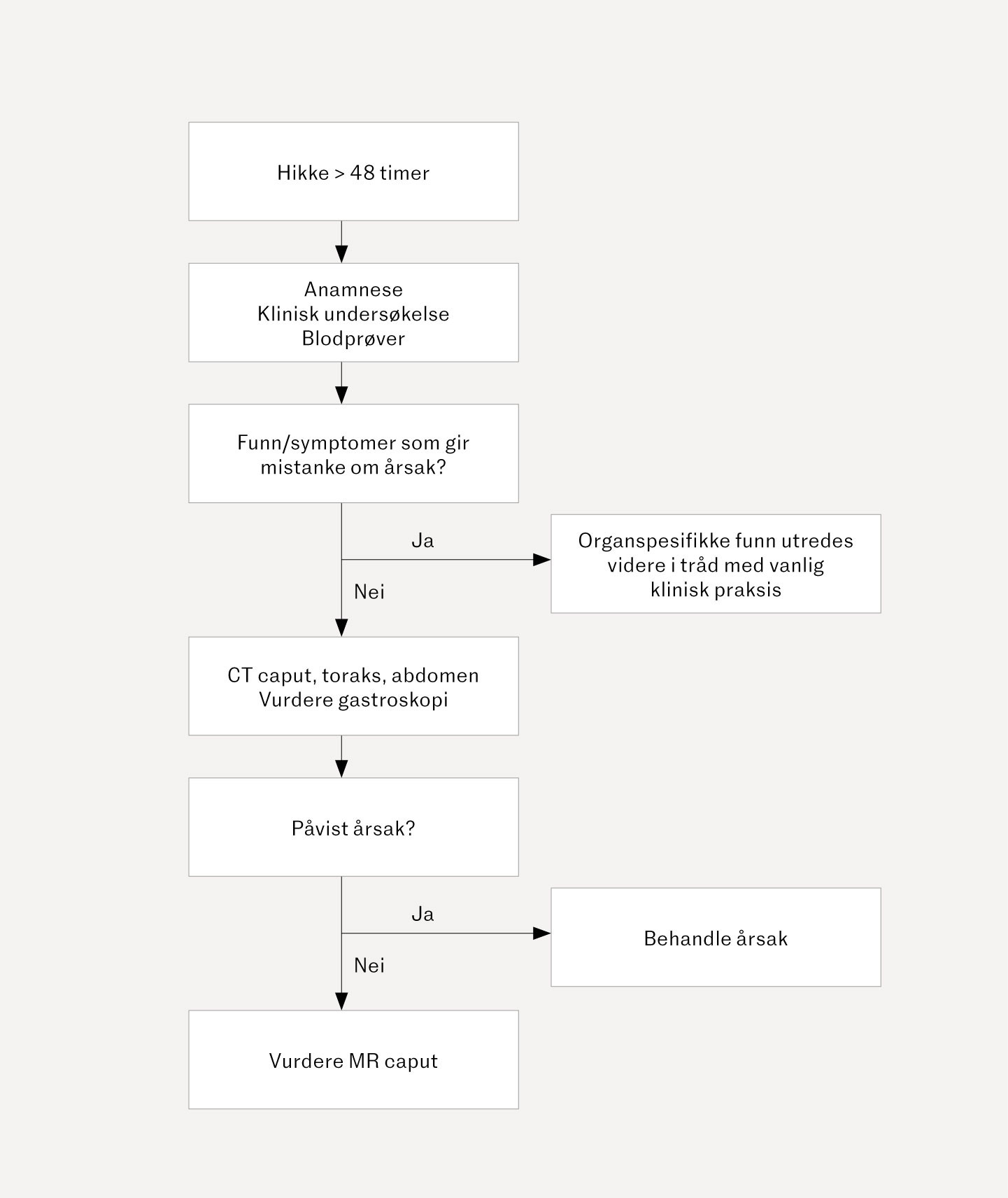
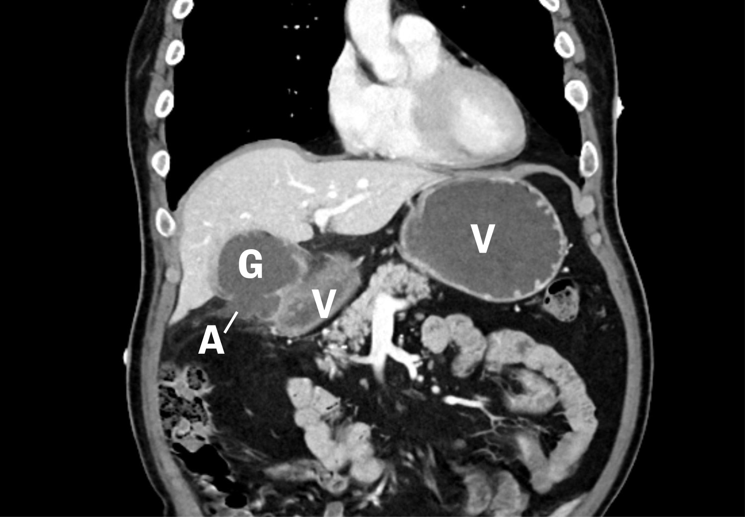
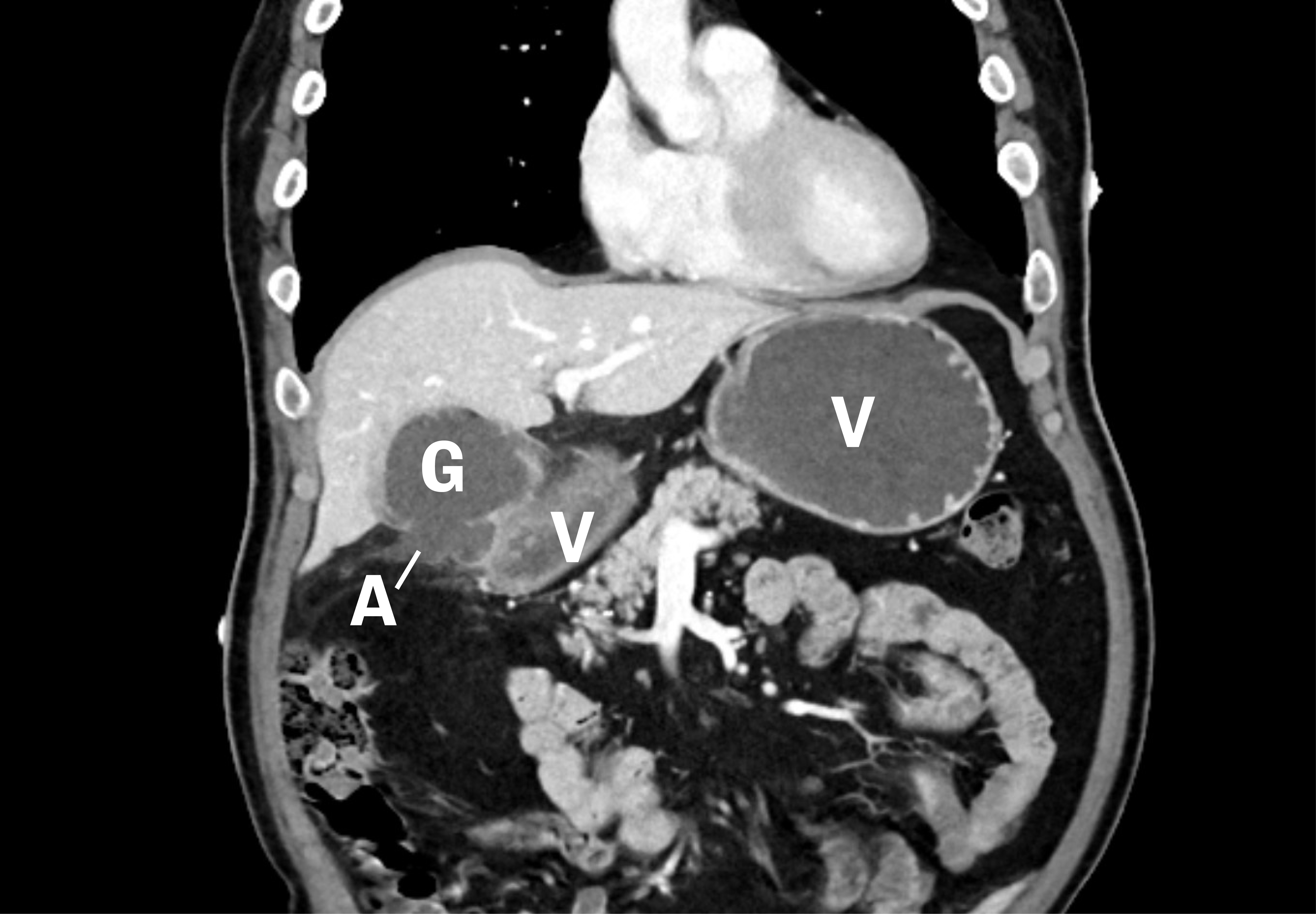
Dag 2 hadde pasienten lett fallende leukocytter 13,9 · 109/L (3,5–10), CRP 41 mg/L (< 4), ALP 120 U/L (35–105) og pankreasamylase 69 U/L (10–65), ellers var tilstanden uendret. Vi vurderte intraabdominal abscess, pankreatitt eller malignitet som aktuelle differensialdiagnoser, og henviste derfor til CT-undersøkelse av toraks og abdomen som viste en veggfortykket galleblære med økt kontrastoppladning, samt en defekt i galleblæreveggen medialt med en væskeansamling på 6,2 × 4,6 cm nær galleblæren og ventrikkel antrum. I tillegg fantes moderate reaktive forandringer i fettvevet rundt, samt noe markert ventrikkelvegg og nærliggende diafragma. Dette ble tolket som en kolecystitt med perforasjon, hvor det var dannet et avkapslet lokulament mellom galleblære og ventrikkel. Dette lokulamentet kommuniserte med galleblæren (figur 1).
Pasienten fikk piperacillin-tazobactam intravenøst (dose 4/0,5 g × 3) og ble overflyttet til gastrokirurgisk avdeling. Han hadde fortsatt ingen plager utover hikke. Grunnet lang varighet avstod man fra kolecystektomi, og det ble gjort ultralydveiledet perkutan drenasje med et grisehalekateter (8 French) til galleblæren på dag 3. Etter dette stoppet hikken.
Dag 4 begynte pasienten igjen å hikke, og ny CT-undersøkelse viste lett økende størrelse på galleblære og væskelokulamentet. Det kom ikke mer væske på drenet, så det ble byttet til et større dren (10 French) dag 5, hvor det spontant tømte seg 30 ml puss. Pasienten sluttet å hikke på dag 6. Dyrkning av galle viste oppvekst av Klebsiella pneumoniae sensitiv for piperacillin-tazobactam, som ble administrert i totalt åtte dager. Pasienten ble også gastroskopert uten funn av alternativ forklaring på hikken.
Kontroll med kolangiografi på dag 12 viste normale forhold. Drenet ble seponert dag 16, og han ble samme dag utskrevet med polikliniske kontrolltimer for vurdering av kolecystektomi i rolig fase.
Diskusjon
Hikke skyldes ufrivillige periodiske kontraksjoner av diafragma og eventuelt interkostalmuskulatur, etterfulgt av reflektorisk lukking av glottis. Dette skyldes forstyrrelser i hikke-refleksbuen, som utgjøres av afferente nervefibre, sentralnervesystemet og efferente motoriske nervefibre (1). Hikke klassifiseres vanligvis etter varighet som akutt (< 48 timer), vedvarende (> 48 timer) eller intraktabel (> 1 måned). Akutt hikke er nesten alltid selvbegrensende, og trenger ingen videre utredning. Vedvarende og intraktabel hikke forekommer sjeldent, og krever utredning av mange mulige årsaker fra ulike organsystemer (ramme 1). Hikke som vedvarer under søvn, taler for en organisk årsak fremfor en psykogen (2).
Sentralnervesystemet
Hjerneslag, meningitt, encefalitt, traumatisk hjerneskade, intrakranielle svulster, nevromyelitis optica, Parkinsons sykdom, epilepsi, multippel sklerose.
Perifere årsaker (n. phrenicus, vagus, sympatikus)
Gastroøsofageal reflukssykdom, hiatushernie, øsofaguscancer, ventrikkeldistensjon, magesår, pankreatitt, intraabdominal abscess eller tumor, tarmobstruksjon, hjerteinfarkt, perikarditt, torakalt aortaaneurisme, øvre og nedre luftveisinfeksjoner, astma, lungekreft, fremmedlegemer i nese eller øre.
Andre årsaker
Elektrolyttforstyrrelser, nyresykdom, diabetes, alkohol, medikamenter (bl.a. steroider, dopaminagonister, cytostatika, benzodiazepiner, opioider, anestesimidler), intubasjon, kirurgi, gastroskopi eller psykogene årsaker.
Vedvarende hikke bør utredes for å finne en årsak, da disse kan være alvorlige, som eksempelvis kreftsykdom. Ledsagende plager bør føre til symptomrettet utredning av disse. Pasientens medikamenter bør gjennomgås med hensyn til om hikke er en kjent bivirkning. Det bør gjøres otoskopi samt klinisk undersøkelse av hals, toraks, abdomen og nevrologisk status. Dersom verken anamnese, undersøkelse eller blodprøver kan påvise en etiologisk årsak, bør man ha lav terskel for CT caput, collum, toraks og abdomen tidlig i forløpet samt vurdere MR caput (2, 3). I tillegg bør gastroskopi utføres for å utelukke spiserørskreft (4) (figur 2). Fordi hikke er vanlig ved langtkommen kreftsykdom, bør man også vurdere om videre utredning får behandlingsmessig konsekvens (2).
Behandling av hikke rettes primært mot årsak. Symptomatisk behandling kan gis under utredningen. Fysiske manøvere som å holde pusten eller Valsalvas manøver, kan forsøkes (4). Få studier har undersøkt medikamentvalg ved langvarig hikke. Det er enighet om at protonpumpehemmere bør være førstevalg ved ukjent årsak. Dette har få bivirkninger, og gastroøsofageal reflukssykdom er en vanlig årsak til vedvarende hikke (2–4). Øvrige medikamenter mot hikke, virker oftest via dopamin- eller GABA-reseptorer (2). Av disse kan man vurdere baklofen peroralt (dose 5–20 mg × 3), gabapentin peroralt (dose 300–600 mg × 3) eller metoklopramid parenteralt eller peroralt (dose 10 mg × 3), men kunnskapsgrunnlaget er begrenset (2, 3). Ved mistenkt perifer årsak er det ingen felles enighet om medikamentvalg blant disse. Ved ukjent eller mistenkt sentralnervøs årsak foreslås baklofen eller gabapentin som førstevalg (2, 3).
Akutt kolecystitt gir vanligvis smerter under høyre kostalbue og infeksjonssymptomer. Atypisk presentasjon er imidlertid ikke uvanlig, spesielt ved økende alder. Hos pasienter over 65 år, er 5 % smertefrie (5).
Vi fant kun én publisert kasuistikk hvor kolecystitt forårsaket hikke. Her hadde pasienten ingen magesmerter, men hikke av fem dagers varighet. Han ble kolecystektomert, og hikken stoppet på femte postoperative dag (6).
Vår kasuistikk illustrerer at vedvarende hikke kan ha en intervensjonskrevende årsak, som en intraabdominal abscess. Nær anatomisk lokalisasjon med reaktive forandringer tett på diafragma, og samsvar i tid mellom galleblæredrenasje og opphørt hikke, taler for at hans perforerte kolecystitt var årsaken til hikken.
Pasienten har gitt samtykke til at artikkelen blir publisert.
Artikkelen er fagfellevurdert.
- 1.
Nausheen F, Mohsin H, Lakhan SE. Neurotransmitters in hiccups. Springerplus 2016; 5: 1357. [PubMed][CrossRef]
- 2.
Steger M, Schneemann M, Fox M. Systemic review: the pathogenesis and pharmacological treatment of hiccups. Aliment Pharmacol Ther 2015; 42: 1037–50. [PubMed][CrossRef]
- 3.
Reichenbach ZW, Piech GM, Malik Z. Chronic Hiccups. Curr Treat Options Gastroenterol 2020; 18: 43–59. [PubMed][CrossRef]
- 4.
Cole JA, Plewa MC. Singultus. Treasure Island, FL: StatPearls Publishing, 2022.
- 5.
Parker LJ, Vukov LF, Wollan PC. Emergency department evaluation of geriatric patients with acute cholecystitis. Acad Emerg Med 1997; 4: 51–5. [PubMed][CrossRef]
- 6.
Safa R, Berbari I, Hage S et al. Atypical presentation of gangrenous cholecystitis: A case series. Am J Emerg Med 2018; 36: 2135.e1–5. [PubMed][CrossRef]