En frisk mann i 70-årene utviklet venstresidig overtrykkspneumothorax med fall i oksygenmetning og blodtrykk i forbindelse med en artroskopisk skulderkirurgi på samme side. Perioperativ ultralyd for å undersøke lungeglidning er en enkel metode for raskt å identifisere denne sjeldne, men potensielt farlige situasjonen.
En lungefrisk, 180 cm høy, ikke-røykende og veltrent mann i 70-årene gjennomgikk i høyre sideleie en to timers artroskopisk sutur av skulderens rotatormansjett (rotatorcuff) på venstre side. Ingen nerveblokade ble utført, men 20 ml lokalbedøvelse ble satt i skulderleddet før og etter operasjonen. Pasienten fikk intravenøs anestesi med remifentanil og propofol, og en larynksmaske størrelse 5 ble plassert uten problemer.
Monitorering inkluderte EKG, pulsoksymetri, blodtrykk og kapnografi. Ventilering var trykkontrollert med 9 cm vann, 40 % oksygen og uten positivt endeekspiratorisk trykk. Middelblodtrykket var stabilt på 70 mmHg, og oksygenmetning var på 95–98 %.
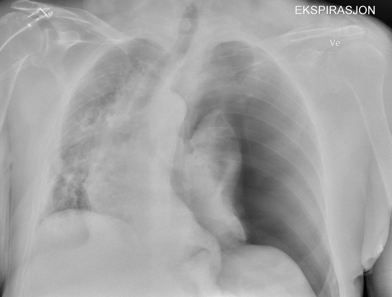
En time før operasjonsslutt falt oksygenmetningen til 89 %, tidevolumet fra 550 ml til 366 ml og middelblodtrykket fra 70 mmHg til 60 mmHg. Oksygen i inspirasjonsluft ble økt fra 40 % til 100 %, og inspiratorisk overtrykk ble økt fra 9 cm til 18 cm vann. Oksygenmetningen steg til 91 %, blodtrykket endret seg ikke. Det ble ikke lyttet på lunger eller tatt blodgass. Operasjonen ble fullført, narkosen stoppet og larynksmasken fjernet uten problemer. Ved ankomst på postoperativ avdeling var oksygenmetningen 88 % til tross for påsatt oksygenmaske med 100 % oksygen. Pasienten var tungpustet, klam og blek med blodtrykk 90/60 mmHg. Vakthavende anestesilege ble tilkalt med en gang og oppdaget med ultralyd etter få minutter manglende lungeglidning (lung sliding) av pleurabladene på venstre side. Røntgen thorax bekreftet venstresidig overtrykkspneumothorax (figur 1).
Kirurg anla i lokalanestesi et 12 French Portex-dren i femte interkostalrom på operasjonsavdelingen 1,5 time etter skulderoperasjonen. Lungen reekspanderte etter to timer med 5 mmHg sug. På intensivavdelingen tre timer etter skulderoperasjonen hadde pasienten behov for smertestillende medikamenter, men blodtrykket var normalisert og oksygentilførselen trappet ned fra 6 L til 2 L på brillekateter. Thoraxdrenet ble fjernet etter 15 timer og pasienten utskrevet 24 timer etter skulderoperasjonen. Ved oppfølging seks måneder etter var han symptomfri og aktiv.
Diskusjon
Pneumothorax etter skulderartroskopi skjer sjelden og er oftest rapportert i kasuistikker, med over 30 artikler på PubMed som beskriver tilfeller under og opptil ti timer etter skulderartroskopi (1). Det kan derfor være at flere mindre, symptomfattige pneumothoraxtilfeller forblir uoppdaget, ettersom 94 % av disse leger seg selv (2).
Pneumothorax fra ruptur av mindre bullae kan ikke utelukkes hos vår pasient. Det er imidlertid usannsynlig at bullae som ikke har sprukket under vanlig hoste, som kan generere trykk opp mot 400 cm vann (3), sprekker av luftveistrykk på 20 cm vann under en anestesi. Ventileringen under operasjonen var dessuten upåfallende, og pasienten hostet ikke noen gang med larynksmaske. Kirurgens lokalanestesi i skulderleddet nådde neppe pleurahulen grunnet avstanden, og diatermi ble ikke brukt. Det ble heller ikke satt en interskalen nerveblokade, som særlig før bruk av ultralyd kan gi pneumothorax (4).
Artiklene vi har funnet, indikerer at pneumothorax ved skulderkirurgi skyldes selve operasjonen, da pneumothorax alltid forekommer på samme side som artroskopien (5). Flere tilfeller av pneumomediastinum og subkutant emfysem uten pneumothorax tyder også på at luften stammer fra artroskopien, ikke fra lungene (6). I en artroskopisk skulderoperasjon som denne opprettes 3–5 porter i huden for artroskop og kirurgiske instrumenter. Det brukes sug og infusjonspumpetrykk på 30–60 mmHg (41–82 cm vann) med omtrent 20 liter 0,9 % NaCl gjennomskyll.
«Når det gjelder min opplevelse av situasjonen, må jeg jo bare si at jeg merket lite til selve hendelsen og hadde heller ingen reaksjoner etterpå.»
En mulig mekanisme er at undertrykket fra artroskopipumpene suger luft gjennom åpne arbeidsportaler, og at dette veksler med overtrykk som presser både luft og vann inn i det omkringliggende vevet i skulderleddet (7). Når artroskopet tas ut og inn mange ganger, kan luft også følge med som en sykkelpumpe. Luft kan også komme inn i skyllevæsken via løse slangekoblinger, om skyllevæskeposene ikke byttes tidsnok og det kommer luft i slangesettet, eller om sårflikene virker som en enveisventil under bevegelse av skulderen (6). Skyllevæsken kan også føre til hydrothorax (8). Luft og vann kan følge fasciesjikt og kanaler inn i pleurahulen, basert på embryologiske og radiologiske funn (9).
Vår pasienthistorie viser at artroskopisk skulderkirurgi en sjelden gang kan føre til pneumothorax. Perioperativ ultralyd for å visualisere lungeglidning er en enkel metode for raskt å identifisere og dermed håndtere denne potensielt farlige situasjonen.
Pasienten har gitt samtykke til at artikkelen blir publisert.
Artikkelen er fagfellevurdert.
- 1.
Bamps S, Renson D, Nijs S et al. Pneumothorax after Shoulder Arthroscopy: A Rare but Life-threatening Complication. J Orthop Case Rep 2016; 6: 3–5. [PubMed][CrossRef]
- 2.
Brown SGA, Ball EL, Perrin K et al. Conservative versus Interventional Treatment for Spontaneous Pneumothorax. N Engl J Med 2020; 382: 405–15. [PubMed][CrossRef]
- 3.
Fontana GA, Lavorini F. Cough motor mechanisms. Respir Physiol Neurobiol 2006; 152: 266–81. [PubMed][CrossRef]
- 4.
Klaastad O, Sauter AR, Dodgson MS. Brachial plexus block with or without ultrasound guidance. Curr Opin Anaesthesiol 2009; 22: 655–60. [PubMed][CrossRef]
- 5.
Sun WC, Kuo LT, Yu PA et al. Pneumothorax, an Uncommon but Devastating Complication following Shoulder Arthroscopy: Case Reports. Medicina (Kaunas) 2022; 58: 1603. [PubMed][CrossRef]
- 6.
Van Nieuwenhuyse ESM, Kerens B, Moens J et al. Subcutaneous emphysema after shoulder arthroscopy. A case report and review of the literature. J Orthop 2017; 14: 287–9. [PubMed][CrossRef]
- 7.
Kateros K, Skotidis E, Bablekos GD et al. Pneumothorax After Shoulder Arthroscopy: A Rare Complication of Rotator Cuff Repair Surgery. Cureus 2023; 15: e36774. [PubMed][CrossRef]
- 8.
Connett B, Krohn EF, Hilu J. Complete Hydrothorax After Revision Shoulder Arthroscopic Surgery: A Case Report. Cureus 2022; 14: e23590. [PubMed][CrossRef]
- 9.
Lee SY, Chen CH, Sheu CY et al. The radiological manifestations of the aberrant air surrounding the pleura: in the embryological view. Pulm Med 2012; 2012: 290802. [PubMed][CrossRef]