En kvinne i 70-årene med feber og krampeanfall

    ()

    sporsmal_grey_rgb
    Abstract

    Background

    Chagas encephalitis is a rare but severe manifestation of reactivation in patients with chronic Chagas disease.

    Case presentation

    A woman in her seventies who was immunosuppressed after heart transplantation due to Chagas disease was admitted with convulsions, headache and visual disturbances. She developed fever, confusion and repeated convulsions. Pleocytosis was found in spinal fluid. Wet-mount microscopy of spinal fluid revealed motile Trypanosoma cruzi trypomastigotes, and multiple trypomastigotes were seen on Giemsa-stained smear, confirming reactivation of Chagas disease with meningoencephalitis. Despite benznidazole treatment, she deteriorated with pharyngeal paralysis, aphasia and increasing somnolence. Cerebral CT scan showed pathology consistent with Chagas encephalitis. Nifurtimox was added to enhance the treatment. After a week's treatment she began to improve. She completed 60 days of benznidazole and had regained normal cognitive and neurological function on later follow-up. She had no signs of myocarditis reactivation.

    Interpretation

    Chronic Chagas disease is common among Latin American immigrants in Europe. Reactivation with myocarditis after heart transplantation is well known, while encephalitis is a rare manifestation. We report a case of Chagas encephalitis in an immunosuppressed patient. Microscopy of parasites in spinal fluid revealed the diagnosis. WHO provided antiparasitic drugs, and despite severe prognosis the patient recovered fully.

    Artikkel

    En immunsupprimert kvinne i 70-årene ble innlagt etter et krampeanfall. Etter innleggelsen utviklet hun feber og forvirring. Utredningen avdekket en sjelden tilstand.

    Pasienten var en kvinne i 70-årene. Hun vokste opp i Latin-Amerika, men hadde bodd i Norge i flere tiår. Hun ble hjertetransplantert på grunn av Chagas' kardiomyopati ti år før den aktuelle hendelsen og var immunsupprimert med mykofenolat, ciklosporin og prednisolon. Hun hadde implantert hjertestarter (ICD) på grunn av arytmi.

    Pasienten ble akuttinnlagt ved medisinsk avdeling ved lokalsykehuset etter å ha blitt funnet bevisstløs av sønnen, som hadde brukt en halvtime på å vekke henne. På grunn av tungebitt og vannavgang mistenkte man at hun hadde hatt krampeanfall. Hun hadde hatt hodepine og synsforstyrrelser de siste ukene. Ved innleggelsen var hun våken og orientert, med temperatur 37,8 °C. Det var normale funn ved nevrologisk undersøkelse. CT caput samme dag viste ingen aktuell patologi. På grunn av positive funn på urinstiks (hemoglobin (Hb) 4+, leukocytter 2+) og C-reaktivt protein (CRP) på 72 mg/L (referanseområde < 5) startet man dagen etter innleggelsen med cefotaksim 1 g × 3 intravenøst mot mulig urinveisinfeksjon. Det tilkom ingen vekst i urin eller blodkulturer. Det ble konferert med nevrolog, som anbefalte poliklinisk nevrologisk vurdering etter utskrivning.

    Femte dag etter innleggelsen fikk pasienten krampeanfall og ble overflyttet til nevrologisk avdeling ved et større sykehus Hun fremsto der forvirret og hadde invertert plantarrefleks. CT caput med kontrast viste normale funn. Det ble startet antiepileptisk behandling med levetiracetam tabletter 250 mg × 2. Neste dag var pasienten høyfebril. På mistanke om encefalitt ble det gjort spinalpunksjon, som viste forhøyet celletall med 21 × 106 celler/L (< 5), hvorav 20 × 106 mononukleære celler/L, og protein 0,41 g/L (0,15–0,40). Ratioen mellom glukose i spinalvæske (3,6 mmol/L) og i serum (6,6 mmol/L) var 0,55 (> 0,6). Man startet med aciklovir 10 mg/kg × 3 intravenøst på mistanke om viral encefalitt. EEG åtte dager etter den første innleggelsen viste uspesifikke forandringer, men ikke epileptiform aktivitet. Pasienten ble flyttet tilbake til medisinsk avdeling ved lokalsykehuset.

    Pasienten hadde krampeanfall, hodepine, feber og var forvirret. Klinisk presentasjon og spinalvæskefunn var mest forenlig med infeksiøs encefalitt.

    Dyrkning av spinalvæsken var uten vekst, og polymerasekjedereaksjon (PCR) med panel for infeksjoner i sentralnervesystemet (FilmArray Meningoencephalitis (FAME) panel) var negativt for alle agens, inkludert herpes simplex-virus type 1 og 2. Antistoffer i spinalvæske og serum med tanke på autoimmun encefalitt ble ikke påvist. Aciklovir ble seponert, og pasienten ble tiende dag etter første innleggelse overflyttet til infeksjonsmedisinsk overvåkningsenhet ved regionsykehus. Hun var på det tidspunktet våken og orientert for sted, men ikke for dato.

    Symptomene og funnene i spinalvæsken passet med encefalitt, men det var ikke påvist noe etiologisk agens. Differensialdiagnostisk ble det diskutert om symptombildet kunne være uttrykk for en annen ikke-erkjent infeksjon og delir, og at det forhøyede celletallet i spinalvæsken kunne skyldes nylig gjennomgått krampeanfall.

    MR cerebrum var ønskelig som ledd i utredningen av encefalitt, men ble vurdert som for risikabelt på grunn av uisolerte ICD-ledninger i myokard. Det ble i stedet gjort ny CT caput med kontrast dag 11 etter første innleggelse, uten aktuelle funn. Det ble samtidig utført CT toraks, abdomen og bekken uten funn av infeksjonsfokus. Daglige blodkulturer de første tre dagene etter overflytning var uten vekst. PCR-test for cytomegalovirus, Epstein-Barr-virus og JC polyomavirus i plasma var negativ.

    Det ble diskutert om symptomene kunne ha sammenheng med Chagas' sykdom. Reaktivering av denne sykdommen med affeksjon av sentralnervesystemet er sjelden, men har blitt rapportert hos immunsupprimerte pasienter (1). Feber, hodepine, kramper og fokale nevrologiske utfall er typiske funn. I spinalvæsken ses ofte moderat pleocytose med overvekt av mononukleære celler, forhøyet proteinnivå og i noen tilfeller redusert glukoseratio. Billeddiagnostikk av hjernen kan vise pseudotumorer (såkalte chagomer), som ved CT ses som hypodense lesjoner med kontrastoppladning, men det er også beskrevet tilfeller med normale funn. Spinalvæske undersøkes med mikroskopi av giemsafarget utstryk og med direkte mikroskopi av ubehandlet spinalvæske (våtpreparat) som kan avdekke bevegelige Trypanosoma cruzi-trypomastigoter. Våtpreparat krever rask prøvebehandling, da parasittene allerede etter 15–20 minutter begynner å lysere og miste bevegeligheten. PCR har høyere sensitivitet enn mikroskopi, men er per i dag ikke tilgjengelig i Norge.

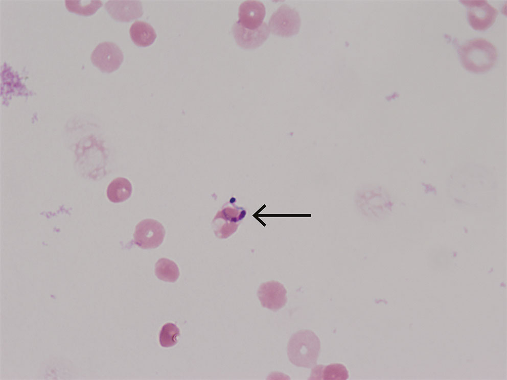
    På mistanke om Chagas-encefalitt ble det gjort ny spinalpunksjon. Vi fant levende Trypanosoma cruzi-trypomastigoter i våtpreparat (direkte mikroskopi av ubehandlet spinalvæske) (se video) og multiple parasitter i giemsafarget preparat (figur 1). Diagnosen Chagas-encefalitt ble dermed stilt 12 dager etter første innleggelse. Spinalvæske og EDTA-blod ble sendt til Bernhard-Nocht-instituttet i Hamburg, der PCR-test i ettertid bekreftet Trypanosoma cruzi-DNA.

    Dødeligheten ved Chagas-encefalitt er høy (1). Tidlig antiparasittær behandling bedrer prognosen og overlevelsen. Benznidazol er førstevalg ved både akutt og kronisk Chagas' sykdom, vanligvis i doser på 5–7,5 mg/kg per dag i 60 dager (2, 3). Nifurtimox er et alternativ, men kan gi mer bivirkninger. Begge medikamentene gis peroralt, men er ikke registrert i Norge og er heller ikke tilgjengelig i de fleste europeiske land. Påvisning av parasitter ved mikroskopi gjorde at vi fikk en sikker diagnose og kunne rekvirere medikamentene fra Verdens helseorganisasjon (WHO), som distribuerer disse på forespørsel.

    I løpet av de neste dagene ble pasienten dårligere, med svelgparese, afasi og somnolens. Tre dager etter at diagnosen ble stilt og 15 dager etter første innleggelse, ankom medikamentene, og vi startet med benznidazol tabletter 5 mg/kg. Pasienten fallerte ytterligere de neste dagene. Hun var ikke lenger kontaktbar og skåret 5–6 på Glasgow Coma Scale, der < 9 regnes som alvorlig bevissthetssvekkelse.

    EEG viste grov encefalopati med epileptiform aktivitet. CT caput 17 dager etter første innleggelse viste økt tetthet i begge frontallappene med tegn til blødning, forenlig med nekrotisk-hemoragiske nodulære lesjoner typiske for Chagas-encefalitt. Benznidazoldosen ble økt til 7,5 mg/kg, og nifurtimox tabletter 10 mg/kg ble lagt til. I samråd med kardiologer ved Rikshospitalet ble immunsuppresjonen endret fra mykofenolat til azatioprin, da dette gir mindre risiko for reaktivering av Chagas' sykdom (4). Pasienten hadde uendret troponin T-nivå, normale EKG-funn og ingen holdepunkter klinisk eller ekkokardiografisk for reaktivering av Chagas-myokarditt.

    En uke etter behandlingsoppstart ble pasienten bedre. Hun var våken, kunne klype i hendene og bevege tær på oppfordring. Etter diskusjon med kolleger i utlandet ble nifurtimox seponert, og benznidazol ble redusert til 5 mg/kg for å minske risikoen for bivirkninger. Bedringen fortsatte gradvis. Hun hadde svelgvansker med aspirasjonsrisiko og fikk ernæring via PEG-sonde. Etter en måned med behandling begynte hun å gjenvinne språkfunksjonen og svarte adekvat med enkeltord. Hun ble mobilisert og kunne ved overflytning til rehabiliteringsopphold 1,5 måneder etter behandlingsoppstart gå med støtte.

    Etter seks uker med tverrfaglig spesialisert rehabilitering ble hun overflyttet til kommunal rehabilitering. Ved kontroll på sykehuset en måned etter avsluttet 60 dagers kur med benznidazol kom pasienten gående med rullator, klar og orientert. Hun spiste normalt, og PEG-sonden ble seponert. Celletallet i spinalvæsken var normalisert, og Trypanosoma cruzi-PCR i blod og spinalvæske var negativ. Kontroller for encefalitt ble avsluttet, og pasienten fortsatte oppfølging hos kardiolog som tidligere.

    Diskusjon

    Diskusjon

    Chagas' sykdom er endemisk i Latin-Amerika, hvor den er en vanlig årsak til hjertedød på grunn av ventrikulære arytmier, hjertesvikt og/eller tromboemboliske hendelser (3, 5). Sykdommen forårsakes av protozoen Trypanosoma cruzi, som oftest overføres vektorbårent via blodsugende chagasteger (6). Sykdommen kan også smitte fra mor til barn, via kontaminert mat, via blod og ved organtransplantasjon.

    Infeksjonen er oftest asymptomatisk initialt, men noen få utvikler akutt myokarditt eller meningoencefalitt noen uker etter smitte. Pasientene forblir kronisk infiserte, og 30–40 % utvikler klinisk sykdom etter 10–30 år, oftest i form av kardiomyopati. Hjertetransplantasjon er livreddende behandling ved alvorlig Chagas-kardiomyopati, men det er stor risiko for disseminering av parasitter til transplantatet og reaktivering av sykdommen når pasienten immunsupprimeres (7).

    Vår pasient var fulgt opp som anbefalt etter hjertetransplantasjon med PCR-monitorering av Trypanosoma cruzi. Ett år etter transplantasjonen hadde hun reaktivering av Chagas-myokarditt, med arytmier og positive PCR-funn i myokardbiopsi og blod. Det ble implantert hjertestarter og gitt behandling i 90 dager med benznidazol.

    Chagas-encefalitt er en sjelden, men alvorlig tilstand. Dødeligheten hos immunsvekkede er rapportert å være 85 % (1, 8). Vår pasienthistorie viser imidlertid at selv ved koma og alvorlige nevrologiske funn kan behandling føre til et liv med normal kognitiv funksjon og uten åpenbare senskader.

    Kronisk Chagas' sykdom er en vanlig tilstand, med risiko for kardiomyopati og gastrointestinal sykdom. Sykdommen er endemisk i Latin-Amerika, men har spredt seg til andre kontinenter ved migrasjon. Prevalensen blant latinamerikanske innvandrere til Europa er estimert til 4 % (9). Flertallet av personer med asymptomatisk kronisk Trypanosoma cruzi-infeksjon er trolig udiagnostiserte, da helsepersonell i ikke-endemiske områder ofte har lite kjennskap til sykdommen.

    Vår pasient hadde vært innlagt med arytmi og hjertesvikt i Norge, men diagnosen Chagas-kardiomyopati ble først stilt da hun senere ble innlagt med ventrikkeltakykardi under et opphold i Latin-Amerika. Hjertetransplantasjon er en ikke uvanlig behandling ved Chagas' sykdom. I Brasil er Chagas-kardiomyopati den tredje vanligste indikasjonen for hjertetransplantasjon (10). Risiko for reaktivering med myokarditt i transplantatet var hele 61 % i en rapport fra USA (7). Det er bakgrunnen for anbefalingen om oppfølging etter transplantasjon med PCR-undersøkelse fra blod og myokard og behandling ved reaktivering, slik vår pasient fikk med påfølgende sykdomskontroll i mange år før hun fikk ny reaktivering med encefalitt. Det anbefales regelmessig monitorering med tanke på reaktivering det første året etter transplantasjon, en måned etter eventuell steroidbehandling for rejeksjon samt dersom det tilkommer feber eller tegn til myokarditt (11).

    Ved kronisk asymptomatisk Trypanosoma cruzi-infeksjon er serologi med antistoffpåvisning den mest sensitive diagnostiske metoden. Ved akutt infeksjon eller reaktivering kan parasittene ofte påvises i blod eller spinalvæske ved mikroskopi eller PCR. Mikroskopi av spinalvæske ved mistanke om encefalitt er en relativt enkel metode som krever lite ressurser, og i dette tilfellet bidro det til rask avklaring (video). Rutinemikroskopi av grampreparat fra spinalvæske vil ikke påvise infeksjonen, da man må spesialfarge med giemsa for å visualisere parasittene (figur 1). Bakteriedyrkning og standard PCR med sentralnervesystempanel vil være negativ.

    Benznidazol og nifurtimox har vist effekt på Trypanosoma cruzi i randomiserte studier (2). Feksinidazol, som brukes mot afrikansk sovesyke forårsaket av Trypanosoma brucei gambiense, er nylig vist å ha effekt mot Chagas' sykdom i en randomisert studie, men er foreløpig ikke i bruk grunnet bivirkninger med nøytropeni (12). Benznidazol er best undersøkt og har effekt spesielt ved akutt og tidlig kronisk infeksjon. Studier av behandlingseffekt baserer seg på serokonversjon eller PCR-negativitet etter behandling. Den hittil største randomiserte kontrollerte studien av benznidazol hos pasienter med kronisk Chagas' sykdom og kardiomyopati viste at signifikant flere var PCR-negative etter behandling, men gjennom fem års oppfølging var det ingen effekt på risikoen for forverring av kardiomyopati (13).

    Behandling av asymptomatiske seropositive pasienter er ikke undersøkt i større randomiserte studier, men ikke-randomiserte studier har vist redusert risiko for kardiomyopati og redusert mortalitet (14, 15). Behandling av asymptomatiske pasienter er derfor vanlig praksis i de fleste land (16). Behandling anbefales så tidlig i forløpet som mulig, mens hos eldre pasienter med kronisk Chagas' sykdom og organpåvirkning veies risikoen for bivirkninger opp mot nytten (5). Det finnes ingen behandlingsstudier av encefalitt hos immunsupprimerte, men både benznidazol og nifurtimox har god penetrasjon til sentralnervesystemet, og vi valgte å gi kombinasjonsbehandling til vår pasient da hun var i kritisk forverring etter oppstart med benznidazol.

    Chagas' sykdom er vanligvis en kronisk tilstand der medikamentell behandling ikke haster. Ved akutt infeksjon eller reaktivering er rask behandling viktig. Kontaktinformasjon for rekvirering av benznidazol og nifurtimox og rådgiving om Chagas' sykdom er tilgjengelig på Verdens helseorganisasjons nettside (17).

    Vektorbåren smitte forekommer ikke i Europa, men sykdommen kan overføres fra mor til barn, via blod eller ved organtransplantasjon. I Norge er det innført kontrolltiltak som skal hindre smitteoverføring ved blodtransfusjon (18). Vertikal overføring fra seropositiv mor forekommer ved rundt 5 % av fødsler og hos opptil 30 % hvis mor er PCR-positiv (3). Mer enn 90 % av barn født med smitte blir kurert dersom de behandles i første leveår (2). Benznidazol og nifurtimox er kontraindisert under graviditet, men behandling av fertile kvinner kan hindre smitte i senere svangerskap (19).

    Trypanosoma cruzi-antistofftest gjøres ved Nasjonal referansefunksjon for serologisk parasittdiagnostikk ved Universitetssykehuset Nord-Norge. Alle pasienter av latinamerikansk opprinnelse med arytmi, kardiomyopati eller forstørrede viscera bør testes for Chagas' sykdom. Screening og behandling av Chagas' sykdom hos asymptomatiske latinamerikanske immigranter i Europa er kostnadseffektivt (16). Antistofftest hos risikogrupper og behandling av seropositive bør anbefales også i Norge for å hindre smitteoverføring i svangerskap og forebygge organkomplikasjoner ved Chagas' sykdom.

    Pasienten har gitt samtykke til at artikkelen blir publisert.

    Artikkelen er fagfellevurdert.

    Kommentarer  ( 0 )
    PDF
    Skriv ut

    Anbefalte artikler