()

    sporsmal_grey_rgb
    Abstract

    Background

    Solid vulvar tumours are rare and often misdiagnosed as Bartholin's gland cysts or abscesses.

    Case presentation

    A female in her forties presented with a nontender solid tumour to the left of the posterior commissure of the labia minora. The tumour had grown slowly over the previous year, prompting her to consult a gynaecologist, even though it caused no symptoms. Ultrasound showed a fibrous tumour measuring 4 x 3 cm, close to the vagina and anus. CT showed no enlarged lymph nodes and no suspicion of infiltration to surrounding tissues. The tumour was removed by excision and sent for histological examination, which revealed a leiomyoma.

    Interpretation

    Leiomyoma is the most common solid tumour of the vulva, but still only constitutes 0.07 % of all vulvar tumours. Cysts and abscesses are much more common. Differentiation between solid tumours and cysts is very important, as their treatment differs.

    Artikkel

    Leiomyom i vulva forekommer sjelden og blir ofte feildiagnostisert som cyste eller abscess i bartholinkjertlene. Andre årsaker til benign tumor i vulva er Gartners gang-cyster, fibromer, fibroadenomer, lipomer og hamartomer. Adenom var tentativ diagnose i denne kasuistikken, men histologien viste benignt leiomyom.

    En kvinne i 40-årene ble henvist til lokalsykehus fra privatpraktiserende gynekolog grunnet langsomtvoksende, fast og uøm svulst i vulva. Hun var fra tidligere frisk og brukte ingen faste medisiner. Hun hadde ingen tidligere gynekologiske sykdommer eller operasjoner, spesielt ingen tidligere bartholinitt. Hun hadde tre barn som alle ble født vaginalt, hvorav det første barnet ble forløst med vakuum og med anlagt episiotomi.

    Hos henvisende gynekolog var det normale funn ved gynekologisk undersøkelse og ultralyd, foruten en hevelse til venstre for bakre kommissur («klokken 4–5») som strakte seg nedover mot anus. Det lignet visuelt på cyste i bartholinkjertlene, men ved palpasjon var det en fast tumor, som var uøm, glatt og fritt bevegelig til omgivende vev. Tumoren var av såpass størrelse at den lå nært både introitus og anus. Ved rektaleksplorasjon var også rektalslimhinnen fritt bevegelig over tumor. Transvaginal ultralyd gav mistanke om fibrøs tumor, som målte 4 × 3 cm. Lokalisasjonen kunne være forenlig med cyste/abscess i bartholinkjertlene, men tumoren strakte seg noe nærmere anus enn det man vanligvis ser, og var palpatorisk ikke forenlig med cyste eller abscess. Grunnet voksende, fast tumor ble hun henvist til CT-undersøkelse for å utelukke infiltrasjon i omliggende vev samt vurdering av lymfeknuter.

    CT bekken/nedre abdomen med intravenøs kontrast, venøs fase, tatt en måned senere viste en heterogen, solid og kontrastladende oppfylning mellom anus og introitus på venstre side som målte 4,4 × 3,7 × 3,7 cm. Oppfylningen lå tett mot distale vagina og analkanalen, men uten mistanke om affeksjon av tarm. Det var ingen forstørrede lymfeknuter og ingen annen åpenbar patologi.

    Vi planla eksisjon av tumor i narkose. Denne ble utført to og en halv måned etter første vurdering hos gynekolog. Tumoren var fortsatt fritt bevegelig, med kun et lite område på under 5 mm, på vaginal side, hvor den ble opplevd som adherent. Det var fortsatt ingen tegn på affeksjon av tarm. Man mistenkte primært adenom i bartholinkjertelen, og etter infiltrasjon med lokalbedøvelse like innenfor hymenalringen la man en 3 cm incisjon og dissekerte ned til tumor. Tumoren ble fattet med to tøyklyper og løsnet i all hovedsak av seg selv. Det tilkom en liten blødning i bunnen, men man oppnådde god hemostase med til sammen tre avbrutte suturer for å lukke lommen og tre avbrutte suturer i slimhinnen. Suturene ble satt med samtidig rektal støtte for å unngå gjennomgående suturmateriale til tarm.

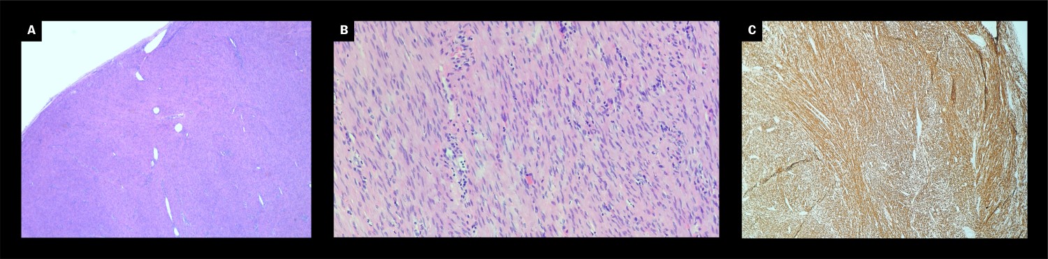
    Makroskopisk undersøkelse viste en velavgrenset knute med glatt overflate som målte 5 × 4 × 2 cm og veide 23 g. Figur 1 viser den gråhvitlige solide snittflaten sett ved gjennomskjæring av tumoren. Ved mikroskopisk undersøkelse ble det sett fasikler av spolformede celler med eosinofilt cytoplasma og elongerte kjerner uten prominente nukleoler (figur 2a og 2b). Det var lite mitoser, og nekrose ble ikke påvist. Dette var forenlig med benign tumor. Tumorcellene var immunhistokjemisk homogent positive for desmin (figur 2c) og i mindre grad for DOG-1, forenlig med glatt muskulær differensiering. Det var lav proliferasjon (Ki-67 < 5 %). SOX10, S-100, CD117 and CD34 var negative i tumorvevet. Dette resultatet utelukket en tumor med nevrogen differensiering (for eksempel schwannom) eller en gastrointestinal stromal tumor (GIST) utenfor tarmen, som ble vurdert som histologiske differensialdiagnoser. Knuten var omgitt av sparsomme kollagenfibre med kapselliknende utseende. Dette funnet bekreftet den kliniske vurderingen om at tumoren var fritt fjernet i sin helhet.

    Det ble konkludert med benignt leiomyom. Seks måneder senere har pasienten ikke hatt noen tilbakefall eller lokale plager.

    Diskusjon

    Diskusjon

    Benigne solide tumorer i vulva forekommer sjelden. Til tross for at leiomyom er det vanligste histologiske funnet, så tilsvarer det kun 0,07 % av alle tumorer i vulva (1). Leiomyom kan oppstå i alt vev med glatt muskulatur, men er vanligst i livmoren. Leiomyom i vulva oppstår oftest i labia majora og klitoris (2). Bartholincyster og abscesser er langt mer vanlige årsaker til oppfylning i vulva (3), og leiomyom baktil i labia majora, slik vår pasient hadde, vil derfor ofte bli feildiagnostisert som dette. Behandlingen er imidlertid forskjellig: Solide tumorer bør eksideres, mens bartholinitt ofte primært blir behandlet poliklinisk med incisjon, drenasje og innleggelse av ballongkateter, eventuelt marsupialisering (3). Korrekt diagnose er derfor avgjørende for å unngå unødvendige og smertefulle forsøk på feil behandling hos disse pasientene.

    For å differensiere mellom cyste/abscess og solid tumor må konsistensen av oppfylningen alltid vurderes (4, 5). Å differensiere mellom forskjellige typer solide tumorer er vanskelig preoperativt, så definitiv diagnose stilles oftest ved histologisk undersøkelse av operasjonspreparatet. Ved for eksempel hurtig vekst, vedvarende sår over tumor eller infiltrasjon i omliggende vev kan man for å utelukke malignitet vurdere biopsi i forkant.

    Pasientens perspektiv

    «Jeg opplevde det som skremmende å ha en voksende ‘svulst’. Jeg følte operasjonen gikk veldig fint og har ingen plager i ettertid.»

    Hos vår pasient ble primær undersøkelse gjort hos erfaren gynekolog, som ved funn av fast tumor henviste til CT-undersøkelse og kirurgisk eksisjon. CT-undersøkelsen i forkant av operasjonen gav flere viktige opplysninger, spesielt at det ikke var mistanke om malignitet eller infiltrasjon av omliggende vev. Samtidig er det et fåtall av kvinner med oppfylning i vulva som trenger CT-undersøkelse, og en slik undersøkelse er vanligvis ikke indisert før vurdering hos gynekolog. Kvinner med vedvarende oppfylning i vulva bør derfor alltid henvises til gynekolog, men samtidig trygges på at slike oppfylninger sjelden representerer malignitet (6). Ved suspekte tegn, som nevnt over, bør man henvise til en prioritert vurdering.

    Takk til Bjarte Nesvik for mikroskopfoto.

    Pasienten har gitt samtykke til at artikkelen blir publisert.

    Artikkelen er fagfellevurdert.

    Kommentarer  ( 0 )
    PDF
    Skriv ut

    Anbefalte artikler